Case report
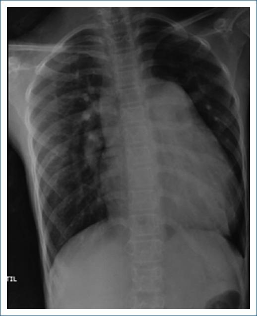
A 10-year-old girl with 2 months of recurrent epistaxis, fatigue, and severe cardiomegaly was referred for a cardiology consultation (Fig. 1).
Physical examination revealed a short stature, 93% saturation, a bulged left hemithorax, palpable apex beat, fourth left intercostal thrill, pulmonary grade IV/VI systolic murmur with a metallic second heart sound. Electrocardiogram showed right ventricle (RV) hypertrophy with volume and pressure overload. Echocardiogram showed no atrial septal defect (ASD) (Fig. 2A), severe right atrium and ventricle enlargement (Fig. 2B), pulmonary pressure estimated by tricuspid regurgitation of 98 mmHg plus atrial pressure (Fig. 2C and D), and mild biventricular dysfunction.

Figure 2 A: echocardiographic assessment intact atrial septum (white arrow). B: severe enlargement of the right chambers, the apex is given by the RV (white arrow). C and D: mild tricuspid regurgitation (PG 98 mmHg). RV: right ventricle.
A contrast-enhanced tomography (CT) was performed with a 256-slides somaton definition flash tomograph non-gated protocol, 4.5 mSv radiation, and 1 mL/kg contrast dose, which showed mixed partial anomalous pulmonary venous return (PAPVR). There are two veins: the left inferior pulmonary and one from a small segment of the right lung draining to the left atrium (Fig. 3) and the rest of the left pulmonary circulation drained by independent vessels through a collector on the innominate vein (Fig. 3A-D). The rest of the right pulmonary circulation was divided in three veins draining to the superior vena cava (SVC), severe RV and pulmonary artery (PA) dilation was documented (Fig. 3E), and no ASD was observed.

Figure 3 A: multiplanar tomography in coronal view showing severe RV and main pulmonary artery (MPA) dilatation, the RSPV is connecting with the SVC (white arrow). B: transverse view demonstrating the two small left and right PV that drain into the LA. C: volumetric reconstruction demonstrating the LPV ascending with the VV draining into the innominate vein (arrows). D: volumetric reconstruction in a posterior view where the 2 PV draining to the LA are seen (arrows). E: severe enlargement of the SVC and the shunt of the of the RSPV to the SVC. RV: right ventricle; RSPV: right superior pulmonary vein; SVC: superior vena cava; PV: pulmonary vein; LA: left atrium; VV: vertical vein.
Right heart catheterization revealed a mean PA pressure of 63mmHg, 24 WU of pulmonary vascular resistance, and 24 WU of systemic vascular resistance, with 1:1 relation using 21% of O2, and under 100% of O2, the pulmonary vascular resistance dropped to 7.5 WU and with NO they dropped to 3 WU demonstrating a good response to vasodilaton. However, due to the high surgical risk, the family refused surgical treatment; therefore, diuretics and bosentan were commenced. A septostomy was also performed to decompress the right heart, this had little impact on oxygen saturation (90-93%); however, there was a substantial improvement in symptoms returning to NYHA functional class I with mild increase in left ventricle volumes on the cardiac magnetic resonance.
During the general approach, a karyotype confirmed Tuner’s syndrome (45-X 16qh+) (50).
Discussion
Turner syndrome has an incidence of one in 2500-3000 newborns.
Our patient had no classic signs (except for short stature), so diagnosis was delayed.
About 50% of Turner syndrome patients present with heart defects, being aortic affection 75%.
The increased use of magnetic resonance imaging (MRI) and CT has permitted other cardiac defects diagnosis, like persistent left SVC and partial anomalous pulmonary venous connection (PAPVC)1.
Our patient had an uncommon PAPVR with supernumerary pulmonary veins on the left side, forming a great collector draining to the innominate vein, three right veins draining to the SVC, and only one vein (inferior left) to the left atrium.
Gutmark-Little et al., using MRI have already reported a 13% prevalence of PAPVR in adult women with Turner syndrome, most of them without ASD1.
To the best of our knowledge, this is the first description of supernumerary pulmonary veins in Turner’s syndrome. There are a few reports of PAPVC in Turner syndrome without surgical repair in which heart failure develops in the fifth decade of life2. While the therapeutic response to the endothelin inhibitor, Bosentan was favorable in our patient, with very limited options after refusing surgical treatment, the long-term outcomes remain unclear3,4.
Conclusion
PAPVC in Turner syndrome can be underdiagnosed and a delayed diagnosis has been associated with an increased risk of PA hypertension and heart failure. In the cases of turner syndrome (TS), particularly with no ASD and progressive right-sided cardiac dilation and/or heart failure, careful assessment of pulmonary vein anatomy should be obtained.










nova página do texto(beta)



