Introducción
El linfoma primario del tubo digestivo fue inicialmente descrito por Billroth en 1871; representa del uno al 4% de los tumores malignos del tracto gastrointestinal.1 Los órganos del aparato digestivo se afectan, en orden de presentación, de la siguiente manera: estómago (60%), intestino delgado (25%) y colon (14%).1 La etiología del linfoma gastrointestinal es desconocida, pero la mayoría están asociados a mucosa (MALT).1,2 Para determinar un linfoma primario de tubo digestivo, el criterio es morfológico y se incluyen análisis inmunofenotípico e inmunogenético. Los criterios que se utilizan para determinar si un linfoma es primario de tubo digestivo son los descritos por Dawson1 (Tabla 1).
Tabla 1: Criterios de Dawson para establecer un linfoma primario de tubo digestivo.
| 1. Tumor gastrointestinal confirmado histológicamente como un linfoma |
| 2. Sin hepatomegalia y/o esplenomegalia |
| 3. Sin adenopatías periféricas |
| 4. Sin datos de linfoma en el tórax mediante tomografía computarizada o telerradiografía de tórax |
| 5. Pruebas hemáticas y biopsia de la médula ósea reportadas como normales |
El linfoma primario del colon (LPC) es una neoplasia infrecuente y su incidencia es de 0.2 a 0.5%; el inmunofenotipo B incluye los linfomas de células del manto, que se presentan como poliposis linfomatosa múltiple, y los linfomas tipo Burkitt y no Burkitt.2,3
Existen ciertas patologías que se han asociado a un aumento en la incidencia de LPC, tales como colitis ulcerativa crónica inespecífica (CUCI), enfermedad de Cröhn, pacientes inmunocomprometidos portadores de VIH o postrasplantados.4
En el 5% de los pacientes existen tumores sincrónicos o poliposis múltiple difusa en varios o todos los segmentos del colon.4 La poliposis linfomatosa múltiple (PML) es una forma inusual de linfoma de células B no Hodgkin gastrointestinal que se manifiesta por la presencia de numerosos pólipos linfomatosos a lo largo de uno o más segmentos largos del tracto gastrointestinal. Las manifestaciones clínicas y morfológicas características fueron presentadas por Cornes en 1961; desde entonces, no más de 100 casos han sido reportados.4 El tratamiento de elección para el linfoma primario de colon es la resección quirúrgica.4-6 En algunos pacientes se ha observado un aumento en la supervivencia cuando se agrega quimioterapia adyuvante y/o radioterapia.7
El siguiente caso de LPC es de los pocos que se han documentado en nuestra unidad hospitalaria y en México. No se tiene una estadística nacional de los linfomas extraganglionares.
Caso clínico
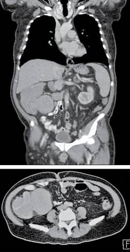
Paciente masculino de 62 años de edad sin antecedentes médicos, referido al Servicio de Cirugía General por presentar tres meses de evolución con sangrado de tubo digestivo bajo caracterizado por evacuaciones melénicas, astenia, adinamia, dolor abdominal localizado sobre todo en la fosa iliaca derecha y pérdida de peso de aproximadamente 10 kg en los últimos dos meses. Dentro de sus exámenes de laboratorio sólo se reportó anemia (hemoglobina: 10.1) como única alteración. Se realizó una tomografía abdominopélvica con contraste intravenoso (Figura 1), la cual reportó una imagen hipodensa de 12 × 12 cm en el ciego y colon ascendente, compatible con neoplasia de colon; no se describieron adenopatías ni evidencia de lesiones metastásicas. Se llevó a cabo una colonoscopia (Figura 2), que mostró pared engrosada en el ciego y colon ascendente, con múltiples lesiones polipoides de 1 a 2 cm de diámetro que se extendían hasta el ángulo hepático, engrosamiento difuso a nivel del colon ascendente con estenosis del 50% de la luz; el reporte final fue síndrome polipósico con neoplasia de colon asociada. Se tomaron múltiples biopsias del tumor y pólipos de mayor tamaño. El reporte histopatológico definitivo concluyó linfoma de colon variedad de células B (CD 20 positivo) y con componente de poliposis linfomatosa múltiple (Figura 3). El paciente fue programado para cirugía. Se efectuó de forma convencional hemicolectomía derecha extendida con íleo-transverso anastomosis laterolateral con grapadora lineal. La evolución fue satisfactoria; el paciente egresó al sexto día postoperatorio. Se le dio seguimiento por la consulta de oncología.

Figura 1: Tomografía abdominopélvica con contraste intravenoso, imagen hipodensa de 12 × 12 cm en el ciego y colon ascendente.

Figura 2: Colonoscopia, reportó pared engrosada en el ciego y colon ascendente, con múltiples lesiones polipoides.
Discusión
La OMS (Organización Mundial de la Salud) define el linfoma MALT como un linfoma extranodal compuesto de células B morfológicamente heterogéneas pequeñas, incluyendo células de la zona marginal (tipo centrocito), células semejantes a las células monocitoides, linfocitos pequeños e inmunoblastos dispersos y células tipo centroblasto.1 El estómago es el sitio más común; los linfomas MALT de colon son muy raros y su presentación como poliposis linfomatosa múltiple (PLM) es todavía más rara.
La poliposis linfomatosa múltiple fue descrita por primera vez por Cornes en 1961.3 Se han informado varios casos de una forma de PLM de linfoma de células del manto, y la mayor serie reportó el seguimiento de 31 pacientes con PLM.4 Su frecuencia se estima en el 9% del linfoma gastrointestinal primario, con una población predominantemente masculina; la edad media es de 63 años en el momento del diagnóstico. La participación de muchos segmentos del tracto digestivo sin síntomas clínicos es rara, el principal signo es el sangrado de tubo digestivo.4,5 En la mayor serie publicada (31 casos) por Ruskoné-Fourmestraux y sus colaboradores, todos los casos tuvieron problemas digestivos. Los síntomas inaugurales principales son dolor abdominal, diarrea y sangrado gastrointestinal bajo. Los tumores obstructivos que conducen a la cirugía no son comunes. La participación del colon y del intestino delgado es casi constante (90% de los casos), seguida por la del recto (60% de los casos) y el estómago (50% de los casos).6 La participación del esófago es excepcional. Una invasión de ganglios linfáticos mesentéricos se encuentra con frecuencia.6
Las imágenes radiográficas y endoscópicas de pacientes con PML muestran pólipos lisos y sésiles característicos de 2 mm a varios centímetros de diámetro, que afectan a uno o más segmentos del intestino.5,6
La colonoscopia juega un papel vital en la detección de pólipos en el colon, así como para la obtención de biopsias. La diferenciación de la poliposis linfomatosa de la poliposis adenomatosa, hamartomatosa mediante una evaluación colonoscópica y radiológica sola es difícil y puede a menudo confundirse. El examen histopatológico es el estándar de oro en estos casos; por lo tanto, la técnica de biopsia sobre biopsia durante la colonoscopia es siempre preferible y aconsejada. Se debe realizar una evaluación histomorfológica de la biopsia valorada por un patólogo experto.7 Las similitudes histológicas pueden encontrarse en el linfoma PLM y MALT, sobre todo cuando se encuentra una proliferación celular difusa; por lo tanto, son necesarios estudios inmunohistoquímicos.8 Las células tumorales en PLM expresan marcadores de células B (tales como CD19, CD20 y CD22) y el marcador de células T CD5.9 Este antígeno se expresa normalmente por una subpoblación menor de células B en la zona del manto folicular adulto de los ganglios linfáticos.3,10 La falta de marcadores de células T como CD3 es común en la poliposis linfomatosa múltiple asociada. Estas propiedades morfológicas e inmunohistoquímicas indican que la PLM se origina a partir de la zona de la célula del manto.11
Conclusión
El LPC es una causa muy poco frecuente de linfoma de colon; asimismo, la variedad de poliposis linfomatosa múltiple como subtipo de linfoma de colon de células B -como se muestra en el caso clínico que expusimos- es más rara aún (0-1-0.5%). Ésta es una entidad clínica de linfoma con características histológicas bien definidas. Es importante durante los estudios endoscópicos la técnica de biopsia sobre biopsia para obtener una adecuada muestra de tejido para su diferenciación histopatológica.
En pacientes con linfoma primario de colon y la variedad de PLM, se ha documentado que el pronóstico es menor. Como en el caso que reportamos, es importante obtener un diagnóstico preciso antes de someter al paciente a cirugía. El tratamiento quirúrgico del LPC es mandatorio. Teniendo en cuenta la topografía y distribución en el colon, se puede planear una resección segmentaria de colon con anastomosis, o en algunos casos de poliposis diseminada, la colectomía total y la proctocolectomía, si hay poliposis en el recto. La quimioterapia adyuvante está indicada en la mayoría de los casos; incluye regímenes con ciclofosfamida, vincristina y prednisona o doxorrubicina, tenipósido y ciclofosfamida. La mayoría de los pacientes con MCL (linfoma de células del manto) muestran una buena respuesta inicial a la quimioterapia; sin embargo, algunos pueden volverse refractarios.
El tiempo medio de supervivencia depende de la etapa del tumor, grado de invasión y extensión de la enfermedad; en promedio, va desde 20 meses hasta cinco años. Se han reportado casos de curación en etapas iniciales de la enfermedad.3,11










text new page (beta)



