Introducción
La traqueobroncopatía osteocondroplásica (TBO) es una enfermedad rara caracterizada por la presencia de nódulos osteocartilaginosos en la submucosa de la tráquea y los bronquios principales.1-3 A pesar de su baja incidencia, estimada entre 0.25 y 0.3% en estudios de autopsia,1,4-6 con una prevalencia mayor entre la cuarta y séptima década de la vida.1,5,6 Los síntomas al inicio son inespecíficos, pudiéndose confundir con asma y en ocasiones con síntomas graves que pueden comprometer severamente la función respiratoria. La etiología de la TBO permanece incierta; aunque se plantea asociación con déficit de inmunoglobulina A y la proteína morfogenética de hueso 2,6 su diagnóstico suele ser desafiante debido a la presentación inespecífica de los síntomas.5,7,8
Los pacientes con TBO pueden presentar una variedad de síntomas respiratorios, que incluyen tos, hemoptisis, disnea y sibilancias, que a menudo son atribuidos a otras enfermedades más comunes.3,5 En casos severos, la TBO puede provocar obstrucción de la vía aérea y falla ventilatoria,1 requiriendo intervención médica y quirúrgica para su manejo.
En este reporte, presentamos el caso de un paciente con diagnóstico de TBO, quien fue admitido a nuestra institución con un cuadro clínico de tos persistente y disnea progresiva que evolucionó a falla ventilatoria. A través de estudios de imagen y broncoscopia, se identificaron características patológicas compatibles con TBO que se manejó con dilataciones neumáticas de las áreas estenóticas para así prevenir resecciones innecesarias con alto riesgo de fístulas y progresión de las estenosis. Este caso subraya la importancia del diagnóstico temprano y el manejo adecuado de esta rara enfermedad para prevenir complicaciones severas y mejorar los resultados clínicos del paciente.
Presentación del caso
Paciente masculino de 76 años de edad que ingresó a nuestra institución con un cuadro clínico de un mes de evolución, el cual se exacerbó en los últimos 15 días. Los síntomas incluían tos con expectoración hemoptoica y mucopurulenta, dificultad respiratoria y desaturación progresiva, con marcado esfuerzo respiratorio evidenciado por el uso de músculos accesorios.
Al ingreso al Servicio de Urgencias, se realizaron estudios diagnósticos que revelaron acidosis respiratoria hipercápnica con compensación metabólica parcial e hipoxemia: pH 7.293 (normal 7.35-7.45), PCO2 75.1 mmHg (35-45 mmHg), PO2 51.1 mmHg, HCO3-act 35.5 mmol/L (21-25 mmol/L), SO2 83.6%, y relación PaO2/FiO2 de 1.60 mg/dL. El hemograma no mostró evidencia de leucocitosis ni neutrofilia, con un recuento de leucocitos de 7.14 × 103/μL (normal 3.7-10.1), %neutrófilos 69.0% (39.6-73.3%), %linfocitos 21.8% (18.0-48.3%), hemoglobina 13.0 g/dL, hematocrito 44.3%, y recuento de plaquetas 472 × 103/μL.
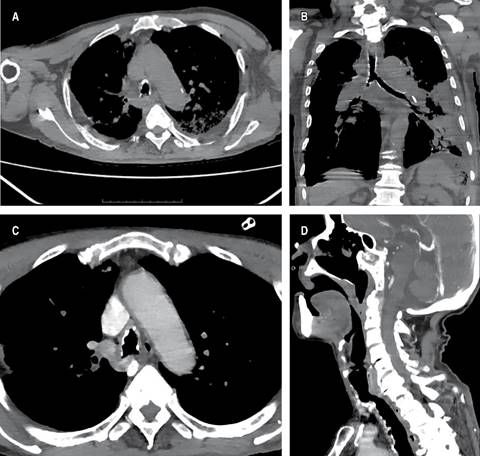
La tomografía de tórax (Figura 1) mostró opacidades reticulares intersticiales parahiliares bilaterales, más acentuadas en el campo pulmonar izquierdo, extendiéndose hacia los segmentos V, VIII, IX y X, con ocupación del espacio alveolar, aumento de la densidad del parénquima pulmonar y presencia de broncograma aéreo. Además, se identificó una lesión calcificada dependiente de la pared lateral a nivel de anillo traqueal 8, de aproximadamente 2 cm, que protruye hacia la luz traqueal.

Figura 1: A) Tomografía de tórax en corte axial con ventana de tejidos blandos en la cual se identifica lesión exofítica nodular con calcificación parcial localizada en la pared traqueal a nivel de C8 con compromiso parcial de la luz traqueal. B) Tomografía computarizada de tórax en corte coronal en ventana de tejidos blandos en la que se evidencia calcificación irregular de la pared traqueal hasta el bronquio principal con presencia de nodulaciones submucosas; se identifica, además, la consolidación basal izquierda con presencia de broncograma aéreo compatible con proceso neumónico. C) Tomografía computada de tórax contrastada en corte axial en ventana de tejidos blandos en la cual se identifica la imagen de nódulos calcificados en la pared traqueal anterior y lateral, de aspecto nodular con irregularidad en la superficie de la luz traqueal, respetando la pared posterior. D) Tomografía computada de tórax contrastada en corte sagital en ventana de tejidos blandos en la que se identifican protrusiones de las lesiones nodulares parcialmente calcificadas hacia la luz traqueal en la región anterior a nivel de C8 que generan estenosis de la misma, se observa la pared posterior completamente respetada sin lesiones en su superficie.
Dado lo anterior, se consideró falla ventilatoria secundaria a neumonía de predominio basal izquierdo, exacerbada por estenosis traqueal, lo que requirió el manejo con ventilación mecánica no invasiva (VMNI). Fue valorado por el Servicio de Neumología, que recomendó la realización de fibrobroncoscopia para estudio microbiológico y toma de muestras. En la fibrobroncoscopia se observó una mucosa con lesión fibrótica dependiente de la pared lateral, de consistencia dura, localizada a 2 cm de las cuerdas vocales, que comprometía el 80% de la luz traqueal. Además, distal a la lesión, se evidenció una mucosa infiltrada e indurada, con múltiples lesiones nodulares de aspecto blanquecino que protruyen hacia la luz traqueal, respetando la pared posterior de la tráquea y dificultando el paso del broncoscopio.
Las biopsias tomadas mostraron una pared traqueal recubierta por epitelio respiratorio sin displasia, dispuesto en un estroma laxo, con cartílago hialino maduro sin alteraciones histopatológicas. No se observaron granulomas ni células neoplásicas. El cultivo del lavado broncoalveolar fue negativo para hongos y la prueba molecular de reacción en cadena de la polimerasa (PCR, por sus siglas en inglés) para Mycobacterium tuberculosis no la detectó.
El paciente fue valorado por el Servicio de Cirugía de Tórax, que decidió realizar una resección endoscópica de la lesión traqueal. Durante el procedimiento, se evidenció estenosis traqueal a 2 cm de la tráquea, con una lesión dependiente de la pared lateral izquierda y anterior de la tráquea (Figura 2), de consistencia dura y calcificada, además de múltiples lesiones tipo empedrado. El procedimiento se realizó sin complicaciones.

Figura 2: A) Imagen de fibrobroncoscopia en la cual se identifica mucosa con lesión fibrótica dependiente de la pared lateral, de consistencia dura, localizada a 2 cm de las cuerdas vocales, que comprometía el 80% de la luz traqueal. B) Imagen de fibrobroncoscopia en la que se observa, distal a la lesión principal obstructiva, mucosa infiltrada e indurada, con múltiples lesiones nodulares de aspecto blanquecino que protruyen hacia la luz traqueal, respetando la pared posterior de la tráquea y dificultando el paso del broncoscopio.
Posteriormente, el paciente continuó con una evolución clínica adecuada, recibiendo manejo antimicrobiano por sospecha de proceso neumónico y sin requerir nuevos ciclos de VMNI. Hubo una mejoría en la gasometría, con corrección de la acidosis respiratoria (pH 7.377) y descenso de la pCO2 a 67.7 mmHg, con relación PaO2/FiO2 de 288 mmHg. Fue dado de alta y valorado en seguimiento ambulatorio un mes después del procedimiento, sin presentar dificultad respiratoria ni estridor inspiratorio, y con un adecuado patrón respiratorio.
Discusión
La TBO en una patología rara de la vía aérea, caracterizada por displasia benigna de la tráquea y bronquios principales, descrita por primera vez por Rokitansky7 en 1855 y, más tarde, en 1957 descrito microscópicamente por Wilks.5,9,10 En 1910 Achoff la llamó «traqueopatía osteoplástica»10 y, posteriormente, en 1964 Secrest y colaboradores le dieron el nombre actual de TBO.2 Hasta la fecha no ha sido esclarecida su etiología, pero se han generado hipótesis que sugieren se asocia con patologías autoinmunes como timoma, rinitis crónica atrófica, amiloidosis, linfomas, quistes epidérmicos y miastenia gravis.6,7 En el caso de nuestro paciente, no se identificaron patologías autoinmunes al momento del diagnóstico; sin embargo, sí presentó cuadro infeccioso pulmonar tal cual se describe en la literatura que es característico de esta patología, las exacerbaciones por infecciones pulmonares recurrentes.
Radiológicamente se caracteriza por calcificación cartilaginosa de las paredes de las vías respiratorias principales que protruye hacia la luz en aspecto de «jardín de piedras»,6 exceptuando la pared membranosa posterior,6 los cuales fueron los hallazgos evidenciados en la tomografía del paciente que presentamos en este caso; además, su edad de presentación se encuentra en pacientes entre los 40 y 80 años de edad.5,6 Nuestro paciente se encuentra en este rango de edad dado que tiene 76 años de edad y los hallazgos en la broncoscopia evidenciaron lesiones nodulares blanquecinas que protruían hacia la luz traqueal, respetando la pared posterior de la tráquea; además, en el procedimiento quirúrgico, se evidenció la descripción clásica de mucosa en empedrado, lo cual concuerda con lo descrito en la literatura.
Los síntomas clínicos suelen ser inespecíficos, desde asintomáticos, cursando con tos crónica, hemoptisis, hasta síntomas severos como obstrucción de la vía aérea que genera falla ventilatoria;7 nuestro paciente se presentó con cuadro de tos, hemoptisis y disnea, llevándolo a falla ventilatoria, probablemente exacerbada por un proceso neumónico concomitante que generó disminución del calibre de la estenosis por acumulación de secreciones lo que empeoró su sintomatología.
En la literatura se establece como principal diagnóstico diferencial la amiloidosis traqueobronquial, y otras como como la papilomatosis, sarcoidosis endobronquial, enfermedad de Wegener, las cuales, al igual que la amiloidosis, no respetan la pared posterior de la tráquea que a diferencia de la TBO sí respeta la pared posterior de la tráquea.3,6,7,11,12 En nuestro paciente los hallazgos tomográficos y endoscópicos concuerdan con que la pared posterior se encontraba completamente respetada, lo cual apoya más el diagnóstico de TBO; además, se descartaron otros posibles diagnósticos diferenciales como los granulomas tuberculosos calcificados descartados por PCR para Mycobacterium negativo e histopatología sin evidencia de granulomas. La literatura describe en los hallazgos histopatológicos, la presencia de fosfato de calcio en la submucosa y proliferaciones benignas de hueso y cartílago, se puede identificar además metaplasia escamosa.10 En el caso del paciente de este reporte, en la histopatología se identificó la presencia de pared traqueal recubierta por epitelio respiratorio sin displasia, dispuesto en un estroma laxo, con cartílago hialino maduro sin alteraciones histopatológicas de acuerdo con lo reportado en la literatura.2
El tratamiento depende de los síntomas que presenta el paciente y la respuesta a cada uno de los previamente realizados, requiriendo terapia corticoide inhalada, manejo antibiótico recurrente,6 resección endobronquial con láser, colocación de stent traqueal,12 resección traqueal o traqueostomía; sin embargo, no existe un tratamiento definitivo para curar esta patología.6,7 Nuestro paciente inicialmente requirió terapia broncodilatadora y corticoide asociado a VMNI; y dado los hallazgos endoscópicos de obstrucción del 80% de la luz traqueal asociado a signos de falla ventilatoria, se decidió llevar a resección con láser endotraqueal con adecuada respuesta clínica, resolviendo la inminencia de falla ventilatoria, con mejoría en la gasometría y sin requerimiento de uso de VMNI. Un mes posterior al procedimiento se valoró de manera ambulatoria, encontrándose paciente sin síntomas de dificultad respiratoria.
Conclusiones
La TBO es una enfermedad rara de presentación infrecuente y sintomatología respiratoria inespecífica que puede tener un impacto significativo en la calidad de vida de los pacientes debido a la obstrucción de la vía aérea que produce. La realización de estudios diagnósticos, incluyendo tomografía de tórax y broncoscopia, son necesarios para la exclusión de otros diagnósticos diferenciales, hasta llegar al estudio histopatológico. Aunque su etiología sigue siendo desconocida y no existe un tratamiento definitivo, un enfoque multidisciplinario y un manejo adecuado pueden llevar a una mejora significativa en la calidad de vida de los pacientes. La vigilancia continua y la evaluación periódica son esenciales para gestionar eficazmente esta condición rara y compleja.










nova página do texto(beta)


