Introducción
La presencia de fístula pancreaticopleural (FPP) es una rara complicación de pancreatitis crónica, aguda o trauma pancreático. El contenido de una fístula pancreática puede ingresar a la cavidad torácica por el hiato esofágico, el ángulo costodiafragmático e incluso a través del diafragma.1-3 El derrame pleural puede presentarse en pacientes con pancreatitis aguda hasta en 9%; otras complicaciones pulmonares de pancreatitis aguda o crónica son neumonitis, atelectasia, disnea con distrés respiratorio.4-6 Casos de FPP se han descrito apenas en 0.4% de los pacientes con pancreatitis y hasta en 4.5% de aquellos que presentan pseudoquiste pancreático, sobre todo en los que están asociados a alcoholismo.1,4,6 Los síntomas mayormente descritos son disnea, dolor torácico y tos de manifestación crónica; asimismo, presencia de derrame pleural, el cual es más frecuente del lado izquierdo.7-9 El mecanismo se da ante la presencia de un pseudoquiste bien delimitado o roto, o bien, un conducto pancreático donde la actividad enzimática lisa los tejidos, lo que favorece una comunicación pleuroperitoneal que se trasforma en una fístula desde el quiste hacia la cavidad pleural.8-10 Niveles extremadamente altos de amilasa en líquido pleural (> 50,000 UI/L) además de estudios de imagen en correlación con la presentación clínica del paciente deben sugerir la presencia de FPP.9,10 Para el tratamiento de FPP se ha descrito abordaje por colangiopancreatografía retrógrada endoscópica, así como el abordaje torácico.10
Presentamos dos casos que fueron abordados por toracotomía con drenaje, lavado y decorticación, además del uso de sondas endopleurales posoperatorias con lo que se logró la remisión en ambos pacientes.
Presentación de casos
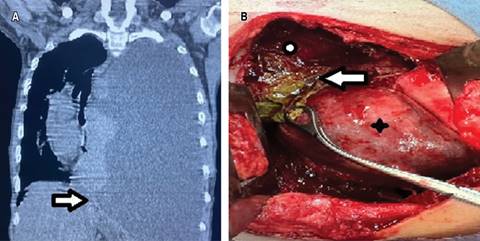
Caso clínico 1. Hombre de 39 años, con antecedente de alcoholismo crónico, con episodios de dolor abdominal recurrente. Inició su padecimiento tres meses previos a su ingreso, con dolor pleurítico en hemitórax izquierdo, se agregó disnea progresiva y ataque al estado general; se tomó radiografía de tórax en la cual se identificó derrame pleural. Se realizó toracocentesis y se obtuvo líquido pleural de aspecto oscuro, espeso; mismo que, al análisis citológico y citoquímico, presentó cifras de amilasa en 16,043 U/L y con criterios de Light de exudado neutrofílico. Posteriormente, al realizar tomografía axial computarizada (TAC) de tórax y abdomen (Figura 1A), se identificó comunicación de líquido libre del abdomen con el hemitórax izquierdo, por lo que se decidió llevar al paciente a la sala de quirófano para realizar toracotomía posterolateral; se encuentra pleura parietal con grosor de 8 mm y visceral de 5 mm, abundante material de fibrina y pus en cavidad, un trayecto fistuloso entre la cavidad abdominal y diafragma izquierdo de 1 cm de diámetro (Figura 1B), con colección de 100 mL de líquido blanquecino. Se realizó lavado y decorticación hasta lograr adecuada expansión pulmonar, el trayecto fistuloso se desbridó; se identificaron bordes y se realizó cierre del defecto con sutura no absorbible de polipropileno 2/0 (Figura 1C); se verificó reexpansión pulmonar. Posterior al tratamiento, el paciente cursó con adecuada evolución clínica; los drenajes endopleurales, con gasto serohemático que disminuyó hasta su retiro cinco días después del procedimiento. Se realizó TAC de control, la cual mostró disminución de la colección pancreática inicial. Después de valoración por el Servicio de Gastroenterología, se dejó manejo conservador. A los seis meses de vigilancia con TAC de tórax, sin evidencia de complicaciones.

Figura 1: A) Tomografía del caso 1; muestra derrame pleural izquierdo. B) Sitio de fístula en diafragma. C) Cierre de defecto con sutura no absorbible.
Caso clínico 2. Hombre de 27 años, en sus antecedentes destaca alcoholismo desde los 14 años y episodios de dolor abdominal presentados desde un año previo a la valoración, por lo que acude a atención hospitalaria. Refiere disnea progresiva además de aumento del dolor abdominal, a lo que se agrega dolor torácico. Se le realizó TAC de tórax que reportó ocupación de hemitórax izquierdo asociado a derrame pleural masivo, con desplazamiento a la derecha de estructuras mediastinales (Figura 2A). Se colocó sonda endopleural izquierda, la cual, tras la colocación, persiste con gasto de aproximadamente 600 mL diarios durante dos semanas, de aspecto oscuro de consistencia líquida. Continúa con deterioro respiratorio, por lo que es referido al Área de Cirugía de Tórax donde solicitan análisis del líquido pleural, el cual revela exudado hemático con niveles elevados de amilasa (195 U/L) y lipasa (3,095 U/L). Además, mostraba leucocitosis y trombocitosis en reporte de biometría hemática. Se complementa con TAC de abdomen y se identifica colección abdominal peripancreática que corresponde con pseudoquiste pancreático. Se decide pasar a quirófano; se realiza lavado y decorticación izquierda; se identifica derrame pleural secundario a pseudoquiste pancreático comunicado a hemitórax izquierdo a través del hiato esofágico, atrapamiento pulmonar, derrame pleural septado y fibrotórax izquierdo (Figura 2B). En el posoperatorio, los drenajes pleurales produjeron bajo gasto, de aspecto serohemático (30-100 mL/día); son retirados al día cinco y siete del posquirúrgico. Se realizó TAC de control donde persiste colección abdominal mínima. Posterior a valoración por el Servicio de Gastroenterología, se decide mantener conducta expectante. El paciente cursó con buena evolución posquirúrgica y fue dado de alta en el día 10 del posoperatorio. En seguimiento posquirúrgico, al mes y a los tres meses con radiografía simple de tórax y a los seis meses con TAC de tórax, no presenta evidencia de complicaciones.
Discusión
La fístula pancreaticopleural es una rara complicación que se presenta en paciente con patología pancreática. Dentro de su fisiopatología, se describe a un conducto pancreático con fugas o un pseudoquiste que puede acceder a la cavidad pleural a través de un hiato diafragmático o directamente transdiafragmático; también se ha descrito comunicación en el ángulo costodiafragmático.1
En nuestros pacientes, la comunicación desde el pseudoquiste hacia el tórax se presentó transdiafragmático y a través del hiato esofágico. No existen pautas claras para el manejo de la FPP porque es una entidad rara; se ha informado que 50% de la FPP se cerrará con medidas conservadoras, con la subsiguiente resolución del derrame.4),(10
La FPP es una entidad poco frecuente y de difícil diagnóstico debido a que presenta manifestaciones clínicas inespecíficas; esto genera un retraso en el diagnóstico que requiere un alto índice de sospecha. Algunos diagnósticos diferenciales son: derrame pleural paraneumónico, así como el asociado a neoplasia; el antecedente de alcoholismo, pacientes jóvenes y dolor abdominal asociado, favorecen el diagnóstico. El tiempo promedio para diagnosticar la FPP es de alrededor de cinco semanas.4,7,10 En los casos que presentamos, además de ser cuadros de varias semanas de evolución, la presencia de derrame de color oscuro persistente, el antecedente de alcoholismo, el estudio de líquido pleural, así como los estudios de imagen, tanto de región abdominal como de tórax, nos permitieron llegar al diagnóstico, lo cual coincide con el tipo de abordaje referido en la literatura para este tipo de pacientes.1,4,7,10
Como se mencionó, en la mayoría de los casos, el tratamiento es conservador sin requerir alguna intervención quirúrgica a tórax. Existen opciones para el manejo de estos pacientes como lo descrito en una serie de cuatro casos, reportada por Munirathinam M y colaboradores en la India; los cuales resolvieron mediante manejo endoscópico del pseudoquiste de páncreas, terapia de nutrición parenteral total, octreótido y drenaje torácico con resultados favorables sin requerir cirugía torácica.8-10
El tratamiento quirúrgico está indicado en caso de fracaso del tratamiento médico (se consideran 3-4 semanas) u obstrucción del conducto pancreático. O bien, cuando existen derrames loculados no susceptibles de ser resueltos mediante colocación de drenaje torácico. La mortalidad operatoria es de 3 a 5%. Se ha informado recurrencia hasta en 11% de los casos. El resultado a largo plazo es bueno en 80-95% de los casos, con una mortalidad global de FPP de 5%.1,7,9,10
En nuestros casos, la falta de respuesta al tratamiento y la larga evolución de éstos, hicieron que se decidiera por el manejo quirúrgico. En donde el lavado, decorticación y desmantelamiento de la fístula fueron la base del éxito de su resolución con una evolución más corta de dos semanas en comparación con estadías de tres y hasta seis semanas posterior al tratamiento.1,4,9,10
Conclusiones
La fístula pancreaticopleural es una complicación rara y de difícil diagnóstico, requiere un protocolo de estudio bien realizado aunado a alta sospecha de esta entidad, realizar TAC de tórax y abdomen, así como de líquido pleural que incluya valores de enzimas pancreáticas.
El manejo quirúrgico es un recurso que debe considerarse en casos que no responden al manejo endoscópico del pseudoquiste, o bien en paciente con complicaciones torácicas que requieren su abordaje por cirugía.










nueva página del texto (beta)



