Introducción
El tumor fibroso solitario de la pleura (TFSP) tiene una incidencia de 2.8 casos/100,000 habitantes por año, afectando con mayor frecuencia a mujeres en la sexta y séptima décadas de la vida.1,2 La mayoría de TFSP tiene un comportamiento benigno, aunque de 12 a 32% pueden tener un comportamiento maligno llevando a la muerte por recurrencia local y metástasis.2 Además, el TFSP benigno puede transformarse a maligno incluso muchos años después de su resección completa,1 reportándose recidiva hasta 17 años después.
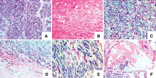
Histológicamente por definición es vimentina positivo,2 el CD34 y Bcl-2 se expresan en la mayoría.2 En 1989, England et al. describieron las características de malignidad como tumores de alta celularidad, pleomorfismo nuclear, > 4 mitosis/10 campos de alto poder (Figura 1A-F). El TFSP maligno típicamente se presenta como neoplasias lobuladas de diámetro mayor de 10 cm, con zonas de hemorragia y necrosis,3 la mayoría se origina en la pleura visceral (68-78%) y son pediculados (57-83%).4,5 Al momento del diagnóstico se presentan síntomas en 50-72% de los pacientes,5 siendo los más frecuentes dolor torácico (16-59%), disnea (14-40%) y tos (8-24%).5,6

Figura 1:A: HE áreas hiper- e hipocelulares entremezcladas con haces de colágeno y fibrosis; B: células fusiformes pleomórficas; C: patrón vascular hemangiopericitoide; D: infiltración a pleura parietal; E: mitosis atípicas (> 4 mit/10 CAP); F: infiltración vascular.
El estudio inicial es la radiografía posteroanterior de tórax (Figura 2) y la tomografía computarizada de tórax es el estudio de elección7 (Figura 3). El tratamiento es la resección quirúrgica en bloque por la alta probabilidad de recurrencia, con márgenes de 1-2 cm.5,8 Para los tumores malignos o recidivantes se recomienda terapia adyuvante con quimio- o radioterapia.9 La tasa de recurrencia es de hasta 9%, principalmente en tumores malignos y sésiles, ocasionando la muerte por tumores intratorácicos extensos irresecables y metástasis a distancia.10
De Perrot et al. establecen una clasificación pronóstica con cuatro categorías de acuerdo con su probabilidad de recurrencia, clasificando al TFSP en tipo 1: tumor pediculado benigno con 2% de recurrencia; tipo 2: tumor benigno sésil con 8%; tipo 3: tumor maligno pediculado con 14%, y tipo 4: tumor maligno sésil con 63% de recurrencia y 30% de mortalidad a dos años.11
Presentamos la experiencia en el manejo del TFSP en el Instituto Nacional de Enfermedades Respiratorias (INER) Ismael Cosío Villegas de la Ciudad de México, así como los casos de recidiva y sus características.
Material y métodos
Estudio observacional, descriptivo, retrospectivo y transversal. Se incluyó a los pacientes sometidos a resección de TFSP en el INER de enero de 2008 a diciembre de 2017. Se describen datos sociodemográficos, presentación clínica y por imagen, manejo quirúrgico, análisis histopatológico e inmunohistoquímico del tumor y el seguimiento posquirúrgico. Se describen la tasa de recidiva y de mortalidad, describiendo la asociación entre éstas y los factores asociados a malignidad encontrados y estableciendo una relación entre los hallazgos de esta serie y lo descrito en la literatura. El análisis estadístico se realizó con el programa Epi info 3.5.1, para las variables dicotómicas se utilizó la prueba de χ2 y, en caso de no ser adecuada, la prueba exacta de Fisher.
Resultados
En el período de 2008 a 2017 se intervinieron en el INER a 26 pacientes para resección de TFSP, 17 mujeres (65.3%) y nueve hombres (34.6%), la edad promedio de presentación fue 52.7 años con un rango de 17 a 73 años.
Se presentaron síntomas en 24 pacientes (92.3%), los más frecuentes fueron: disnea en 18 pacientes (69.2%); tos en 16 (61.5%); dolor torácico en 12 (46.1%); síntomas generales (astenia, adinamia, fiebre, diaforesis) en siete (26.9%); pérdida de peso >10 kg en seis (23%); síndromes paraneoplásicos en un paciente que presentó Doege-Potter (3.8%).
El tamaño promedio fue de 19 cm con un rango de 32 a 2 cm, de los cuales 21 (80.7%) fueron mayores de 10 cm. Se encontró pedículo en 17 casos (65.3%) y derrame pleural en 11 (42.3%).
La distribución topográfica del tumor fue basal izquierda en 14 casos (53.8%), basal derecha en seis (23%), apical en cuatro (15.3%) e intraparenquimatoso en dos (7.6%). Se presentó invasión a estructuras adyacentes en cinco casos (19.2%) y desplazamiento mediastinal en 13 (50%). El origen de los tumores fue de pleura visceral en 17 pacientes (65.3%), 11 en TFSP benignos (61.1%) y sies en TFSP malignos (75%).
En cuanto al abordaje quirúrgico, éste fue toracotomía posterolateral en 19 pacientes (73%) (Figura 4) con tumores de entre 8 a 30.5 cm, Clamshell en tres pacientes (11.5%) con tumores de 27 a 32 cm, y toracoscopia en cuatro pacientes (15.3%) para tumores de 2 a 5 cm. Se requirió resección extendida en 17 pacientes (65.3%) (Figura 5): resección pulmonar en cuña en 14 pacientes (53.8%), lobectomía en uno (3.8%), neumonectomía en uno (3.8%) y resección de tumor en bloque con pared torácica en un caso (3.8%) (Figura 6). El sangrado transoperatorio promedio fue de 998 ml con el mayor sangrado de 5 l durante la resección de tumor de 30.5 cm en eje mayor, el cual requirió neumonectomía. Se presentaron complicaciones posquirúrgicas en seis pacientes (23%): dolor posquirúrgico > 30 días en tres pacientes (11.5%), alteraciones del ritmo cardíaco en dos pacientes (7.69%), neumonía en un paciente (3.8%), infección de herida quirúrgica en dos pacientes (7.69%). La mortalidad perioperatoria fue 11.5% (tres pacientes) secundario a choque hipovolémico (un caso), choque cardiogénico posterior a descompresión cardíaca (un caso) en un tumor de 32 x 24 x 17 cm con peso aproximado de 5 kg y un caso secundario a deterioro ventilatorio y alteraciones del ritmo cardíaco por compresión tumoral.
El resultado histopatológico de la pieza quirúrgica fue TFSP en todos los casos, 18 benignos (69.2%) y ocho malignos (30.7%) de acuerdo con criterios establecidos previamente. La inmunohistoquímica de estos tumores resultó positiva para CD34 en 25 casos (96.1%), vimentina en 20 (76.9%), Bcl-2 en 11 (42.3%) y CD99 en siete (26.9%). De los ocho casos catalogados como malignos, se presentó recidiva en dos (25%) (Tabla 1). Los factores correspondientes a malignidad fueron > 4 mitosis/10 campos de alto poder, hipercelularidad, pleomorfismo nuclear, Ki67 > 5% y necrosis > 10% (Tabla 2).
Tabla 1: Inmunohistoquímica.
| Total (n = 26) | Benignos (n = 18) | Malignos (n = 8) | |
|---|---|---|---|
| Vimentina | 20 (76.9%) | 13 (72.2%) | 7 (87.5%) |
| CD34 | 25 (96.1%) | 17 (94.4%) | 8 (100%) |
| CD99 | 7 (26.9%) | 4 (22.2%) | 3 (37.5%) |
| Bcl-2 | 11 (42.3%) | 7 (38.8%) | 4 (50%) |
Tabla 2: Datos de malignidad y asociación a recidiva.
| Total (n = 8) | Recidiva (n = 2) | ||
|---|---|---|---|
| > 4 mitosis/10 CAP | 4 (50%) | 2 (100%) | p = 0.018 |
| Hipercelularidad | 5 (62.5%) | 1 (50%) | p = 0.353 |
| Pleomorfismo nuclear | 2 (25%) | 1 (50%) | p = 0.150 |
| Ki67 > 5% | 3 (37.5%) | 1 (50%) | p = 0.221 |
| Necrosis > 10% | 5 (62.5%) | 1 (50%) | p = 0.457 |
El primer caso de recidiva fue en mujer de 63 años con un tumor basal izquierdo que ocupaba 90% de hemitórax, se realizó tumorectomía parcial con reporte histopatológico de TFSP benigno, adecuada evolución posquirúrgica. Después de 14 meses presentó recidiva, resecando tumor bilobulado de 29 y 16.3 cm, pediculado a pleura visceral con invasión a pared torácica, requiriendo resección extendida de dos costillas y músculos intercostales, con sangrado transoperatorio de 2,100 ml. El reporte histopatológico de la pieza quirúrgica fue compatible con TFSP maligno, la paciente evolucionó al deterioro de la función cardíaca con alteraciones persistentes del ritmo, desarrolló neumonía que evolucionó a sepsis falleciendo 25 días posteriores a la cirugía.
El segundo caso es una mujer de 73 años que fue intervenida quirúrgicamente resecando tumor con eje mayor de 25.5 cm, requiriendo resección pulmonar en cuña (lóbulo medio y superior), con resección subóptima de lesión en superficie diafragmática, se evacuaron 150 ml de derrame pleural, sangrado transoperatorio de 2,800 ml. El reporte histopatológico de la pieza quirúrgica reportó TFSP con hipercelularidad, > 10 mitosis atípicas/10 campos de alto poder, inmunohistoquímica positiva para vimentina y CD34, Ki67:1 5%. En el mes, 23 pacientes de seguimiento posquirúrgico presentaron recidiva. Se resecó un tumor bilobulado de 30 cm en eje mayor (Figura 7) adherido firmemente a diafragma y segmento posterior; así como una segunda lesión en topografía apical de 5 x 8 cm, se realiza resección de tumor en bloque y de metástasis apical (Figura 8) requiriendo resección pulmonar en cuña, ambas lesiones de morfología sésil, dependientes de pleura parietal, sangrado transoperatorio de 1,800 ml. El reporte histopatológico fue compatible con TFSP maligno con pleomorfismo nuclear, hipercelularidad, > 4 mitosis atípicas/10 campos de alto poder, zonas de hemorragia y necrosis (Figura 9). La inmunohistoquímica resultó positiva para vimentina, CD34, calponina y S-100. La paciente presentó un postquirúrgico normoevolutivo y se decidió terapia adyuvante con radioterapia.
Discusión
El TFSP es una neoplasia infrecuente, de comportamiento biológico incierto, la mayoría de TFSP se origina en la pleura visceral3,5 y son pediculados,1,3,6 lo cual concuerda con los hallazgos de nuestra serie presentándose en 65.3% de los casos. Comúnmente, es descrito como un tumor de comportamiento benigno,2 aunque en nuestra serie encontramos características de malignidad en 30.7% de los casos y recidiva en 7.7%, lo cual concuerda con lo reportado por England y de Perrot et al.4,11
El comportamiento biológico incierto de este tumor genera la necesidad de identificar factores asociados a comportamiento maligno y recurrencia. En el estudio de factores asociados de comportamiento maligno, Lanhon et al.6 reportaron asociación estadísticamente significativa en tumores que condicionan síntomas, sésiles y multifocales.
En nuestro estudio encontramos mayor incidencia de comportamiento maligno en tumores mayores de 10 cm, sintomáticos y asociados a derrame pleural; sin embargo, en el análisis univariado sólo se encontró significancia estadística en la presencia de síntomas generales como fiebre, diaforesis, astenia y adinamia (p = 0.013), pérdida de peso mayor de 10 kg en los últimos seis meses (p = 0.004) e invasión a estructuras adyacentes (p = 0.020) (Tabla 3).
Tabla 3: Factores asociados a malignidad.
| Síntomas atípicos: | p = 0.0138 |
| Pérdida de peso: | p = 0.004 |
| Invasión a estructuras adyacentes: | p = 0.020 |
Es conveniente destacar que la morfología del tumor (sésil/pediculado) o el origen en pleura parietal o visceral no resultó útil para predecir el comportamiento del tumor, a diferencia de lo establecido por Tapias et al. en su sistema de clasificación pronóstica.8
El estudio de factores asociados a recurrencia ha presentado gran controversia, los principales factores asociados a recurrencia reportados por England y de Perrot et al.4,11 son la presencia de tumores sésiles y malignos. Boddaert et al.3 agregaron el derrame pleural y Lanhon et al.6 la negatividad para CD34. Sin embargo, en nuestra serie no se encuentra relación estadísticamente significativa entre recurrencia y la morfología sésil, derrame pleural o la negatividad para CD34, incluso el 100% de los casos de recurrencia fueron CD34 positivos. Posteriormente, Franzen et al.1 presentaron mediante análisis univariado asociación de recurrencia a tumores mayores de 10 cm con alto índice mitótico (> 10 mitosis atípicas en 10 campos de alto poder) y Ki-67 > 12%.
En nuestra serie mediante análisis univariado se identifica relación estadísticamente significativa para recurrencia a la presencia de > 4 mitosis/10 campos de alto poder (p = 0.018), pérdida de peso mayor de 10 kg en los últimos seis meses (p = 0.046), invasión a estructuras adyacentes (p = 0.030) y resección quirúrgica subóptima (p = 0.003) (Tabla 4). Ningún parámetro de inmunohistoquímica resultó estadísticamente significativo para predecir comportamiento maligno o recurrencia. Debido al número limitado de la muestra no es posible realizar un análisis multivariado.
Conclusiones
El TFSP es una neoplasia infrecuente, cuando son mayores de 15 cm tienen mayor probabilidad de presentar comportamiento maligno y los mayores de 25 cm tienen mayor riesgo de recurrencia (p = 0.06). Aunque el tratamiento estándar es la resección en bloque del tumor con estructuras adyacentes involucradas. El 30% de los tumores resecados presenta características de malignidad, principalmente en tumores mayores de 10 cm (p = 0.13), que se acompañan de síntomas atípicos (p = 0.004) e invasión a estructuras adyacentes (p = 0.02). En estos tumores se recomienda terapia adyuvante con quimio- o radioterapia. Se presenta recidiva en 7.7% de los casos durante los primeros 24 meses posteriores a la resección quirúrgica. Por ello, se recomienda seguimiento con tomografía computarizada de tórax cada seis meses durante el primer año y posteriormente en forma anual. Los principales factores asociados a recidiva son la resección quirúrgica subóptima (p = 0.03) y presencia en la pieza quirúrgica de más de 4 mitosis/10 campos de alto poder (p = 0.01). El tratamiento de la recidiva es resección quirúrgica en bloque acompañada de terapia adyuvante.










nueva página del texto (beta)










