SciELO - Scientific Electronic Library Online

 
vol.68 número1Localización atípica de linfoma primario de sistema nervioso central en región selar Reporte de un caso y revisión de la literaturaPanorama actual de los derechos sexuales y reproductivos en Latinoamérica índice de autoresíndice de materiabúsqueda de artículos
Home Pagelista alfabética de revistas  

Servicios Personalizados

Revista

Articulo

Indicadores

Links relacionados

  • No hay artículos similaresSimilares en SciELO

Compartir


Revista de la Facultad de Medicina (México)

versión On-line ISSN 2448-4865versión impresa ISSN 0026-1742

Rev. Fac. Med. (Méx.) vol.68 no.1 Ciudad de México ene./feb. 2025  Epub 28-Feb-2025

https://doi.org/10.22201/fm.24484865e.2025.68.1.07 

Casos clínicos

Caso clínico radiológico

Haga su diagnóstico

Ana Paola Cerda Sáncheza 
http://orcid.org/0000-0002-0375-9974

David Monterrosas Ustarána 
http://orcid.org/0009-0000-2141-6206

Alejandra Valdés Gómeza 
http://orcid.org/0009-0006-1253-5012

a Departamento de Imagenología. Hospital Ángeles Pedregal. Ciudad de México, México.


Sección a cargo del Dr. José Luis Ramírez-Arias

Paciente del sexo femenino de 8 meses de edad, sin antecedentes relevantes, fue llevada al servicio de urgencias por sus padres debido a episodios de dolor abdominal y vómitos durante las últimas 8 horas. El padre refirió que la niña parecía estar relativamente bien entre un episodio y otro. Además, mencionó la presencia de evacuaciones sanguinolentas en dos ocasiones.

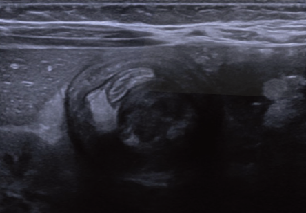
  1. Se realizó una ecografía abdominal urgente que incluyó imágenes ecográficas transversales y longitudinales (figuras 1 y 2). ¿Cuál es el diagnóstico más probable?

    1. Apendicitis aguda

    2. Intususcepción

    3. Linfoma

    4. Divertículo de Meckel

    Figura 1 Ultrasonido abdominal del flanco derecho en plano transversal. 

    Imágenes: A. P. Cerda Sánchez et al.

    Figura 2 Ultrasonido abdominal del flanco derecho en plano longitudinal 

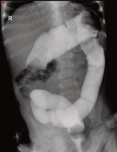
    Figura 3 Colon por enema: se observa el paso del medio de contraste hidrosoluble hasta el ángulo hepático 

  2. La invaginación intestinal consiste en la penetración de una porción del intestino en un segmento adyacente, lo que provoca obstrucción intestinal y, en ocasiones, isquemia intestinal. ¿Cuál de las siguientes es la causa más frecuente de esta afección?

    1. Fibrosis quística

    2. Pólipos intestinales

    3. Etiología idiopática

    4. Vacuna contra el rotavirus

  3. ¿Qué signo puede identificarse en las imágenes obtenidas por ultrasonido en plano longitudinal?

    1. Signo de la dona

    2. Signo del pseudoriñón

    3. Signo de la diana creciente

    4. Signo del sándwich

  4. ¿Cuál de los siguientes es el síntoma clínico inicial más frecuente en la invaginación intestinal?

    1. Dolor intermitente por cólicos

    2. Letargo

    3. Masa abdominal palpable

    4. Evacuaciones en jalea de grosellas

  5. ¿Cuál es la medida terapéutica recomendada para la reducción de la invaginación intestinal en niños?

    1. Cirugía laparoscópica

    2. Colonoscopía

    3. Descompresión mecánica con gas argón

    4. Colon por enema con medio hidrosoluble

Respuestas: 1: b; 2: c; 3: b; 4: a; 5: d.

BIBLIOGRAFÍA

Anderson DR. The pseudokidney sign. Radiology. 1999 May;211(2):395-7. https://doi.org/czp2Links ]

Del-Pozo G, et al. Intussusception: US findings with pathologic correlation--the crescent-in-doughnut sign. Radiology. 1996 Jun;199(3):688-92. doi:10.1148/radiology.199.3.8637988. [ Links ]

Swischuk LE, et al. Intussusception: indications for ultrasonography and an explanation of the doughnut and pseudokidney signs. Pediatr Radiol. 1985 Sep;15(6):388-91. https://doi.org/c3m2rdLinks ]

Recibido: 16 de Septiembre de 2024; Aprobado: 26 de Noviembre de 2024

* Autora para correpondencia: Ana Paola Cerda Sánchez. Correo: dra.paolacerda@gmail.com

Creative Commons License Este es un artículo publicado en acceso abierto bajo una licencia Creative Commons