Introducción
Uno de los grandes problemas a los que nos enfrentamos los radiólogos es la falta de información clínica o de antecedentes importantes del paciente al que se le realizará un estudio. Además, el paciente frecuentemente tiene un conocimiento limitado respecto a los tratamientos que se le han realizado.
Los hallazgos incidentales postquirúrgicos o la alteración de la anatomía normal, secundaria a los procedimientos aplicados a los pacientes, dificultan y retrasan la lectura de imágenes por parte de los radiólogos, así como el riesgo incrementado de cometer errores de interpretación, que son los que finalmente producen mayores perjuicios, como diagnósticos omitidos, incorrectos o tardíos, con una frecuencia del 10 a 15%1. En este artículo reportamos el caso de un paciente que desconocía el procedimiento realizado después del retiro de la vesícula biliar.
La colangitis aguda es una complicación que se presenta con fiebre, dolor cólico en la parte superior del abdomen y sensibilidad, y que con mayor frecuencia se debe a coledocolitiasis 2. También existen otras complicaciones, tanto agudas como crónicas3.
La colangiorresonancia es actualmente el estándar de oro para el diagnóstico de la patología biliar, ya que ofrece una valoración panorámica de su anatomía tanto intra como extrahepática, y de sus variantes de la normalidad. Es útil en el diagnóstico de la litiasis biliar, con una sensibilidad del 80% y una especificidad del 90%4.
CASO CLÍNICO
Descripción del caso
Paciente del sexo femenino, 46 años con antecedentes quirúrgicos conocidos de colecistectomía abierta hace 26 años, funduplicatura por hernia hiatal hace 19 años, apendicectomía laparoscópica hace 17 años y cesárea electiva.
Refirió dolor abdominal agudo localizado en el hipocondrio derecho (EVA 7/10) que se atenuaba con la dorsiflexión, acompañado de elevación de enzimas hepáticas, lo que sugirió coledocolitiasis. Se presentó además con náuseas y emesis de contenido bilioso en varias ocasiones.
Al examen físico, presentó abdomen blando, depresible, con cicatrices postquirúrgicas, dolor a la palpación superficial en hipocondrio derecho, Murphy (+), sin signos de irritación peritoneal.
En los exámenes de laboratorio se encontró leucocitosis e incremento importante de lipasa (778), así como elevación de las transaminasas y de la FA/GGT.
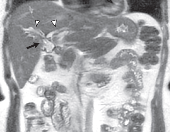
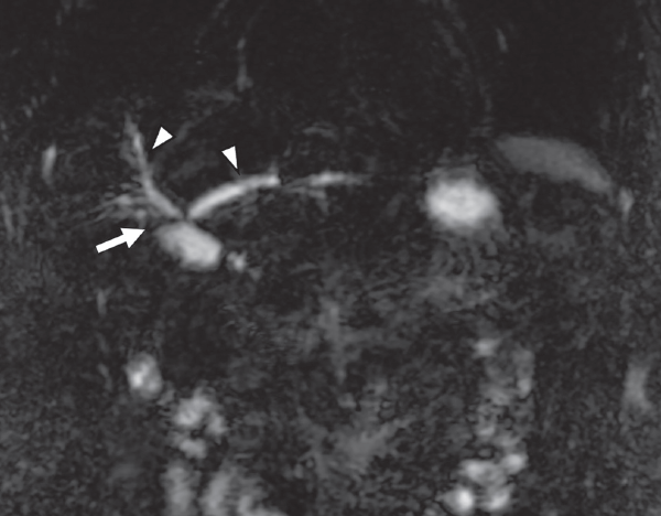
Ante la posibilidad moderada de coledocolitiasis y pancreatitis aguda, se solicitó colangiorresonancia en donde se observaron imágenes compatibles con derivación bilioyeyunal antecólica con anastomosis del hepático derecho anterior, posterior e izquierdo independientes (figuras 1 y 2), y datos de colangitis. Se observó dilatación de la vía biliar distal en el segmento IV con retracción de la cápsula focal (figura 3).

Imágenes: A. Lomas Guim et al.
Sitio de anastomosis biliodigestiva hepatoyeyunal (flecha). Conducto hepático derecho anterior y conducto hepático derecho anterior y conducto hepático izquierdo (cabezas de flechas).
Figura 2 RM coronal T2 finos
DISCUSIÓN
La anastomosis biliodigestiva es un procedimiento en el que se une a la vía biliar de forma directa con el intestino, y se realiza cuando alguna parte o la totalidad del colédoco ha quedado inservible. Existen varias indicaciones: tumores en la cabeza del páncreas o en las vías biliares, malformaciones biliares, trasplante de hígado, resección hepática lesiones del conducto biliar común iatrogénicas, traumáticas, inflamatorias o por coledocolitiasis3.
La reconstrucción del flujo biliar más frecuente es la hepaticoyeyunostomía. Consiste en conectar la vía biliar con un asa yeyunal, que se toma aproximadamente a 40-50 cm distal al ligamento de Treitz, lo que genera dos extremos: el extremo distal se ancla transmesocólicamente o antecólicamente en el área del hilio hepático o en el borde del conducto biliar, y el asa distal, de vuelta en el intestino, se sitúa a aproximadamente 50 cm para prevenir el reflujo biliar. Esta era la que tenía nuestro paciente, sin saberlo (figura 4).
Las complicaciones posoperatorias tempranas más comunes son la insuficiencia y el sangrado. Estas complicaciones pueden ser valoradas por ecografía, tomografía o resonancia magnética4.
La estenosis suele presentarse con o sin ictericia, posiblemente como colangitis con fiebre, ictericia y prurito. La ecografía abdominal y la tomografía computarizada (TC) suelen mostrar conductos biliares intrahepáticos dilatados. Los abscesos intrahepáticos pueden ocurrir con sobreinfección6.
La colangitis se refiere a la inflamación de los conductos biliares que puede evolucionar a fibrosis, cirrosis biliar terminal y, finalmente, insuficiencia hepática. La colangitis se clasifica en aguda (AC) y crónica (CC), según su etiología o sitio de alteración del flujo biliar. La CC exige que los síntomas duren al menos 6 meses; de lo contrario, se denomina colangitis aguda6.
Las características típicas de la colangitis aguda, que incluyen fiebre, dolor cólico en la parte superior del abdomen y sensibilidad, se deben con mayor frecuencia a coledocolitiasis. Las colangitis no bacterianas, por ejemplo, inmunomediadas o virales, suelen evolucionar más lentamente. Los virus (por ejemplo, citomegalovirus [CMV], virus de la inmunodeficiencia humana [VIH]), ya sea por invasión directa, destrucción celular mediada por inmunidad o infección bacteriana u oportunista asociada) pueden causar colangitis, particularmente en pacientes inmunocomprometidos7.
La colangitis es relativamente poco común. En promedio, en los Estados Unidos hay menos de 200,000 casos de colangitis aguda al año. La obstrucción del conducto biliar común (CBD) por cálculos sigue siendo la causa más frecuente de colangitis aguda bacteriana y la colangitis aguda ocurre en 6-9% de los pacientes ingresados por cálculos biliares. La coledocolitiasis representa hasta el 80% de los casos de colangitis aguda8.
En los últimos años, ha aumentado la prevalencia de otras causas, incluida la instrumentación del árbol biliar, enfermedades malignas y colangitis esclerosante. Actualmente, las neoplasias malignas representan entre el 10 y el 30% de todos los casos9.
La colangiorresonancia es actualmente el estándar de oro para el diagnóstico de la patología biliar, ya que ofrece una valoración panorámica de su anatomía tanto intra como extrahepática y sus variantes de la normalidad. Es útil en el diagnóstico de la litiasis biliar con una sensibilidad del 80% y especificidad del 90%10.
Esta técnica de imagen se basa en las diferencias en el tiempo de relajación de los líquidos (como la bilis) y los tejidos adyacentes a la vía biliar. Como consecuencia, se observa un incremento en la intensidad (blanco) de la señal del líquido biliar y pancreático e hipointensidad en los órganos sólidos adyacentes. Por lo tanto, no requiere el uso de medio de contraste.
Las ventajas de la colangiorresonancia magnética son que se trata de un método no invasivo, que no requiere el uso de contraste intraductal o intravenoso. Por ello, no necesita anestesia y permite evaluar las vías biliares en su estado natural, sin provocar su dilatación. Este método es especialmente útil en pacientes con anastomosis bilioentérica, ya que facilita la evaluación de la anatomía postquirúrgica y sus posibles complicaciones.
Existen algunas desventajas, como fallas en la interpretación que se puede dar en la reconstrucción MIP (Proyección de Imagen Máxima, por sus siglas en inglés: Maximum Intensity Projection), ya que esta técnica puede obscurecer defectos pequeños de llenado, dificultando su identificación. Se puede confundir la anatomía ductal si se realizan imágenes incompletas. La presencia de estructuras metálicas, el gas duodenal o gástrico producen artefacto de susceptibilidad, lo que dificulta la visualización de las estructuras. También es posible malinterpretar la presencia de aire como litiasis, y las compresiones vasculares pueden dar lugar a la pseudoobstrucción de los conductos biliares4.
La poca disponibilidad del equipo, claustrofobia, artefactos metálicos, falta de colaboración del paciente son parte de las limitaciones que podemos encontrar al realizar este estudio.
Para evitar errores diagnósticos, es importante conocer los antecedentes clínicos y quirúrgicos del paciente. Existen varios tipos de errores en el campo de la radiología, dentro de los cuales los más frecuentes son los de percepción, de tipo de estudio, de comunicación y cognitivos, dentro de este último el error por falta de antecedentes clínicos tiene mucha importancia, pues algunos signos radiológicos pueden ser malinterpretados como esperables o anormales, dependiendo del caso1. La ventaja de poseer los datos clínicos y el informe detallado de los hallazgos quirúrgicos y complicaciones en la medida que se pueda ayudaría a orientar los hallazgos encontrados en los estudios de imagen, especialmente cuando nos enfrentamos a alteraciones anatómicas postquirúrgicas y datos inespecíficos como posibles complicaciones11.
La colangiorresonancia permite detectar complicaciones como biliomas, abscesos, quistes o hematomas, con una sensibilidad de 86% y especificidad del 83%12.
Para un diagnóstico más certero, se puede añadir contraste hepatoespecífico. Esta sustancia se elimina por vía biliar y permite la identificación de fugas de los conductos biliares.
CONCLUSIONES
La colangiorresonancia es el método de elección para la valoración de la vía biliar y sus complicaciones. Es necesario conocer las diferentes secuencias para obtener imágenes de calidad que permitan una adecuada interpretación.
Conocer las distintas técnicas quirúrgicas permite al médico radiólogo identificar las posibles complicaciones y hallazgos esperados.
La obtención de datos clínicos y antecedentes quirúrgicos de los pacientes es uno de los pilares fundamentales antes de realizar los estudios de resonancia magnética, para llevar a cabo una adecuada planificación de las secuencias.
A pesar de que la colangitis como complicación tiene una baja incidencia, es de suma importancia referir cualquier dato que pueda hacer sospechar de colangitis, ya que sus repercusiones conllevan una alta tasa de morbimortalidad.










nueva página del texto (beta)







