INTRODUCCIÓN
El síndrome de Mallory-Weiss fue descrito por primera vez en 1929 por G. Kenneth Mallory y Soma Weiss. Se caracteriza por el desgarro longitudinal de la mucosa de la unión gastroesofágica. Es una causa de hemorragia de tubo digestivo superior y puede presentarse en cualquier etapa de la vida1. Desafortunadamente, existe una brecha entre el conocimiento tradicional que se enseña en la carrera de médico cirujano y los nuevos conocimientos desarrollados con respecto a este síndrome. Debido a ello, hemos conjuntando en este artículo una breve revisión de la literatura, de forma que el estudiante tenga acceso a los trabajos más recientes relacionados a esta patología. Adicionalmente, exponemos el caso de un paciente con diagnóstico de Mallory-Weiss, así como el tratamiento elegido, proporcionándole al médico en formación un escenario clínico que permita aterrizar los conocimientos expuestos en este trabajo.
PRESENTACIÓN DEL CASO
Se trata de un paciente masculino de 40 años de edad que acudió al servicio de urgencias de nuestra institución por presentar hematemesis, melena, datos de hipovolemia, e hipo de 2 días de evolución. Como antecedentes de importancia, refirió consumo de alcohol a razón de 15 copas cada tercer día. Al interrogatorio presentaba disnea, astenia, adinamia y dolor mal localizado de predominio mesogástrico. A la exploración física se encontraron frecuencia cardíaca de 156 latidos por minuto, frecuencia respiratoria de 26 respiraciones por minuto, y temperatura de 36.1 °C. El paciente mostraba un claro estado de obnubilación y escala de Glasgow 13/15. Durante la exploración física llamó la atención la presencia de dolor durante la palpación superficial y profunda de la región meso y epigástrica.
Se administraron soluciones intravenosas para reemplazo de líquidos y se realizó un estudio endoscópico. Durante la endoscopía diagnóstica se demostró esófago de forma, calibre y distensibilidad normales, de color rosa pálido hasta el tercio distal. En la región de la unión gastroesofágica, se identificó un coágulo adherente a la mucosa de 5 mm, sin datos de sangrado activo, con lo que se diagnosticó un desgarro de Mallory-Weiss. El tratamiento se realizó mediante endoscopía. Se optó por una inyección local de adrenalina con colocación posterior de liga. El paciente fue dado de alta sin complicaciones.
DISCUSIÓN
La hemorragia gastrointestinal a causa de una laceración fue descrita por primera vez en 1879 por Quincke. En 1929, Kenneth Mallory y Soma Weiss realizaron la autopsia de 15 pacientes con hemorragia gastrointestinal y antecedente de nausea y alcoholismo. Encontraron en varios casos la presencia de laceraciones longitudinales de la mucosa de la unión gastroesofágica. En el análisis microscópico observaron que dichas lesiones abarcaban hasta la capa muscular profunda. En ese entonces, esta condición era mortal debido a la pérdida de sangre2. Hoy se conoce que el desgarro se produce por un aumento súbito de la presión intraesofágica e intraabdominal que se transmite a la unión gastroesofágica provocando el desgarro de la mucosa. El sangrado ocurre cuando la lesión involucra el plexo venoso o arterial esofágico adyacente3.
Tradicionalmente, se considera al vómito como principal factor desencadenante, asociado a consumo de alcohol regular en el 33-65% de los casos2,4. Sin embargo, actualmente se han identificado otras etiologías como cetoacidosis, abuso de cannabis, úlcera esofágica, úlcera gástrica, pancreatitis, quimioterapia, hiperémesis gravídica, lesiones traumáticas de tórax y abdomen, tos excesiva, convulsiones, y levantamiento de pesas4. Debido al incremento en la disponibilidad de procedimientos endoscópicos actuales, ha habido un aumento en el número de casos de causas iatrogénicas en procedimientos como la dilatación esofágica, terapia de disrupción neumática esofágica inferior para acalasia o ecocardiograma transesofágico5. A pesar de que el hipo se ha reconocido como otro factor predisponente clásico de esta patología, sólo encontramos 5 casos reportados de este síndrome como consecuencia del mismo6.
A pesar de que el síndrome de Mallory-Weiss se ha considerado como una de las principales causas de sangrado de tubo digestivo alto (STDA), estudios recientes arrojan información contradictoria al respecto. En 1983, los autores Palma y Rivas evaluaron la experiencia obtenida con respecto al STDA en su hospital, durante un periodo de 3 años. Concluyeron que de un total de 1,542 (100%) endoscopías realizadas, únicamente 20 (1.29%) de ellas fueron positivas para síndrome de Mallory-Weiss. En un 66% de los casos se presentó en pacientes de 20-50 años y en un 33% en > 60 años. De acuerdo a su estudio, el síndrome se presentó principalmente en hombres (93.3%). Bhattarai Subash, Raj Dewan K, et. al. realizaron un estudio observacional, transversal y prospectivo de pacientes con STDA en el departamento de Gastroenterología del Colegio de Ciencias Médicas y Hospital Escuela en Nepal, desde enero de 2015 a junio de 2017. El estudio tenía como objetivo definir la incidencia de síndrome de Mallory-Weiss en pacientes con STDA, basándose en datos clínicos y endoscópicos. Se incluyeron a 600 pacientes de entre 14 y 88 años con datos de STDA, 410 hombres (68.3%) y 190 mujeres (31.7%). Encontraron que la principal causa de STDA fue la presencia de várices esofágicas (40.7%) y en segundo lugar la enfermedad ácido-péptica (31.7%). De entre las causas no variceales, se encontraron: úlcera duodenal (18.6%), úlcera gástrica (13.1%), lesión erosiva en mucosa (12.7%), hipertensión portal (6.7%), síndrome de Mallory-Weiss (4.6%) y neoplasias gastrointestinales (3.6%). El síndrome de Mallory-Weiss se presentó con mayor frecuencia en hombres (media de edad de 49.6 años) y en menor proporción en mujeres (media de edad 39.8 años). Los autores de dicho estudio concluyeron que el síndrome de Mallory-Weiss actualmente no es una causa común de STDA7.
Se reconocen a la hematemesis, al vómito y a la epigastralgia como los síntomas más comunes del síndrome de Mallory-Weiss. En el estudio realizado por Palma y Rivas, 80% de los pacientes con dicho diagnóstico presentó hematemesis, y 20%, epigastralgia. Otros síntomas reportados fueron: hipovolemia, melena, y pirosis8. En el estudio realizado por Bhattarai y cols., se encontró que 50% de los pacientes presentó antecedente de vómito; 64.3%, hematemesis; 10.7%, melena, y sólo el 7.1%, datos de choque7.
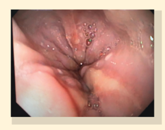
De acuerdo con autores como Guelrud, el síndrome de Mallory-Weiss debe sospecharse como diferencial en pacientes con sangrado de tubo digestivo alto y antecedente de vómito o náusea. El método diagnóstico de elección es la endoscopía (figura 1)5.

Figura 1 Erosiones a nivel de unión esofagogástrica de circunferencia eritematosa y centro blanquecino (fibrosis) de longitud máxima de 0.6 cm compatible con lesión de Mallory-Weiss en fase de cicatrización
El tratamiento de esta patología consiste en medidas farmacológicas, no farmacológicas e intervencionistas.
El tratamiento no farmacológico consiste en medidas de soporte como fluidos intravenosos, evitar el uso de ácido acetil salicílico, AINE y anticoagulantes. Si el paciente presenta sangrado activo o inestabilidad hemodinámica se debe administrar solución cristaloide en bolos y transfusión de derivados sanguíneos3. En los estudios que revisamos para la elaboración de este trabajo, encontramos que el uso de paquetes globulares se ha reportado entre el 26-61% de los pacientes7,9.
Es importante mencionar que, si el paciente presenta datos de choque por sangrado activo, se recomienda el uso de medidas terapéuticas endoscópicas.
Las técnicas disponibles son10:
Terapia de inyección endoscópica de epinefrina: Las ventajas que ofrece este tratamiento es su bajo costo, fácil aplicación, y la disminución de los días de estancia intrahospitalaria. Como efecto adverso la epinefrina puede provocar taquicardia ventricular (porque se absorbe en la circulación sistémica). Por ello, se debe evitar el uso en pacientes con antecedentes de enfermedad arterial coronaria. Los mecanismos hemostáticos de la epinefrina local son la contracción vascular, compresión mecánica contra los vasos y agregación plaquetaria. La terapia con epinefrina puede ser insuficiente en algunos pacientes, por lo que autores como Kim y cols.,10 recomiendan utilizarla como terapia combinada.
Electrocoagulación endoscópica: Es importante recordar que la coagulación repetitiva conlleva el riesgo de lesión y perforación transmural, debido a la pared esofágica relativamente delgada.
Hemoclips endoscópicos: Es un procedimiento fácil de usar para tratar lesiones hemorrágicas en tejidos no fibróticos como en el caso del síndrome de Mallory-Weiss. Sin embargo, debido a la ubicación de la hemorragia en la unión gastroesofágica, la colocación de hemoclip es desafiante y probablemente sea más difícil desde el punto de vista técnico. En un estudio se comparó la eficacia de la ligadura de bandas y la colocación de hemoclip en pacientes con síndrome de Mallory-Weiss con sangrado activo, encontrando que los 2 procedimientos fueron equivalentes para la hemostasia primaria (100%) y tasa de nuevas hemorragias (6% frente a 10%, respectivamente). Por lo tanto, la colocación de hemoclip y la ligadura de bandas parecen proporcionar un manejo seguro y efectivo en esta patología. Sin embargo, en la terapia combinada con inyección de epinefrina y hemoclip, la inyección previa de epinefrina podría provocar edema tisular en el sitio de la hemorragia, lo que puede interrumpir la colocación del clip o promover el desprendimiento del clip.
Ligadura de banda endoscópica: La principal ventaja es su facilidad técnica en comparación con otros procedimientos hemostáticos, es muy útil para las lesiones hemorrágicas en el tejido no fibrótico y casi se produce perforación esofágica. El vaso visible está ligado en su aspecto más profundo, proporcionando hemostasia definitiva y colocación firme de la banda ligada
Se ha encontrado en la literatura que la tasa de éxito para hemoclips endoscópicos es de 94-100%; para la ligadura de banda endoscópica, de 93-100%, y para la inyección endoscópica con epinefrina y electrocoagulación es de 77%. Huang y cols. Describen que el hemoclip endoscópico y el uso de epinefrina inyectada tienen la misma eficacia en sangrado activo por síndrome de Mallory-Weiss, aun cuando el paciente se encuentre en estado de choque o presente múltiples comorbilidades11,12.
Los registros de complicaciones, resangrados y muerte varían de acuerdo a los estudios publicados. De acuerdo con Cameron, entre el 3-12% de los pacientes muere a causa de la hemorragia excesiva y comorbilidades tales como coagulopatías, trombocitopenia, abuso de alcohol y falla orgánica múltiple3. Bhattarai y cols. realizaron un seguimiento a los 7 y 28 días de inicio de síntomas y no registraron un solo caso de muerte7. Por otro lado, Fujisawa y cols. reportaron una tasa de mortalidad de 9.7%, provocado principalmente por la presencia de comorbilidades, edad avanzada, estado de choque, niveles bajos de hemoglobina, prolongación de tiempos de coagulación, elevación de AST/ALT o resangrado13. Akhtar y cols. reportaron una mortalidad de 10%14. Harris y cols. reportaron una mortalidad posterior a 30 días de inicio de síntomas de 11.7%1.
CONCLUSIÓN
El conocimiento que se posee sobre el síndrome de Mallory-Weiss se ha extendido durante los últimos 20 años. Hoy en día se reconoce, por ejemplo, que el síndrome de Mallory-Weiss ya no se encuentra entre las causas más frecuentes de sangrado de tubo digestivo alto. Los estudios realizados al respecto también han permitido identificar múltiples factores de riesgo que antes no se habían descrito. El avance de las técnicas endoscópicas y de reemplazo de volumen han permitido disminuir las complicaciones e incrementar las tasas de éxito en el manejo de esta entidad, como se ilustró en el caso previamente presentado.










nueva página del texto (beta)



