Introducción
En la actualidad, la esplenectomía es una opción terapéutica para una variedad de patologías hematológicas, especialmente aquellas refractarias a tratamiento médico, como la púrpura trombocitopénica idiopática (PTI)1.
Inicialmente, el abordaje de elección era abierto; sin embargo, el uso de la cirugía de mínima invasión presenta ventajas como menor dolor postoperatorio, una recuperación más rápida, menor sangrado y mejores resultados estéticos sin comprometer el resultado final. La cirugía laparoscópica ha tomado ventaja y, actualmente, se ha convertido en el abordaje estándar en pacientes sometidos a esplenectomía de forma electiva para patologías hematológicas benignas y malignas2.
La esplenectomía laparoscópica (EL) fue descrita por primera vez en 1991 por Delaitre y Maignien3. A través del tiempo, la técnica y los resultados han mejorado gracias a nuevas herramientas laparoscópicas, principalmente con el uso de energía monopolar, bipolar o ultrasónica.
Previamente, la esplenectomía era reservada para pacientes sin esplenomegalia y enfermedades benignas; sin embargo y debido a una mejoría en la técnica quirúrgica y la existencia de instrumentos avanzados de laparoscopía, hoy en día, pueden operarse pacientes con esplenomegalia importante e incluso pacientes con padecimientos oncológicos que ameritan resección del bazo. La EL es preferible y segura para pacientes con esplenomegalia, sin embargo, en aquellos con esplenomegalia masiva, definida como un diámetro de 20 cm o más en su eje mayor, aún es un tema en controversia debido a los múltiples retos relacionados con un bazo agrandado, como el espacio de trabajo limitado, dificultad en la retracción y extracción, adherencias, y potencial trauma vascular y esplénico4. En la actualidad, la esplenomegalia masiva sigue siendo considerada una contraindicación absoluta o relativa para la EL en muchos centros de salud5.
Reportamos el caso de un paciente con PTI y esplenomegalia masiva, sometido a esplenectomía laparoscópica de forma electiva. Se describe la técnica quirúrgica utilizada además de una breve revisión de la literatura.
Caso clinico
Reportamos el caso de un paciente el sexo masculino de 34 años de edad con diagnóstico de púrpura trombocitopénica idiopática previo consentimiento informado y autorización. Como antecedentes personales patológicos cuenta con múltiples transfusiones por el padecimiento principal. Niega antecedentes quirúrgicos, traumáticos y alérgicos. Recibió tratamiento, por parte del servicio de hematología, a base de esteroide y danazol durante los últimos 8 años; sin embargo, persistió con cifras bajas de plaquetas llegando a menos de 20,000/mm3. Presentó, en una ocasión, sangrado de tubo digestivo alto masivo y requirió manejo intrahospitalario, múltiples endoscopias y transfusiones.
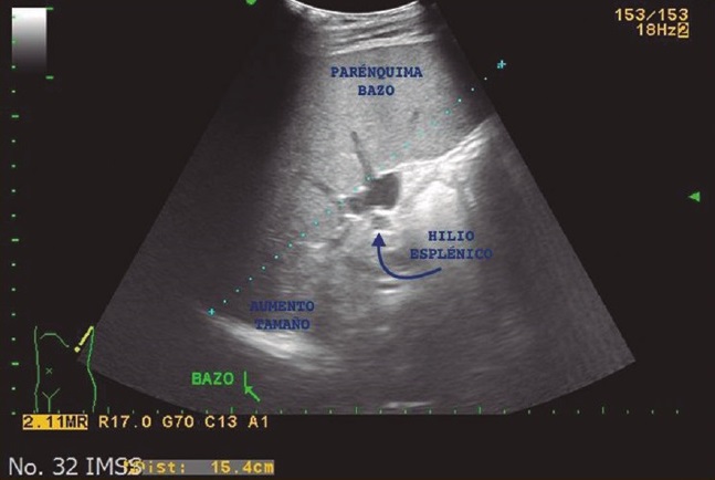
Fue enviado a la consulta externa del servicio de cirugía general por falla en el tratamiento médico. Como parte del protocolo preoperatorio, se solicitaron ultrasonido abdominal (figura 1) y tomografía axial computada (figura 2) para determinar las características anatómicas de bazo, además de estudios de laboratorio, se reportó una cifra preoperatoria de plaquetas de 27,000/mm3. Se decidió intervención quirúrgica de forma programada con plan de esplenectomía laparoscópica. Se solicitó valoración por el servicio de infectología para la aplicación de vacunas contra bacterias encapsuladas, las cuales fueron aplicadas 48 horas posteriores a la cirugía.

Imagen: otorgada por los autores
Figura 1 Ultrasonido abdominal de paciente con PTI y esplenomegalia

Imágenes: otorgadas por los autores
Figura 2 Tomografía axial computada de paciente con PTI que demuestra aumento en los ejes mayores del bazo (flecha).
Técnica quirúrgica
El paciente fue colocado en decúbito lateral derecho, posterior a la inducción anestésica e intubación (figura 3). Se insufló neumoperitoneo con técnica de Palmer a 15 mmHg. Posteriormente se colocaron 3 trocares: la primera de 12 mm (óptico) subcostal izquierdo en línea axilar anterior, y bajo visualización directa, el segundo trocar de 12 mm (cirujano) subcostal izquierdo en línea medio-clavicular y el tercer trocar de 5 mm (trabajo) subcostal izquierdo en línea axilar posterior (figura 4).

Figura 4 Disposición de trócares: a) óptico: 12 mm subcostal izquierdo línea axilar anterior, b) cirujano: 12 mm subcostal izquierdo línea medio clavicular, c) trabajo: 5 mm línea axilar posterior.
Se realizó laparoscopía diagnóstica y se inició disección del bazo liberando ligamentos lienocólico con energía ultrasónica (figura 5a), al igual que los ligamentos esplenorrenal (figura 5b) y esplenofrénico (figura 5c) y gastroesplénico (figura 5d). Se continuó la disección del hilio esplénico colocando grapas de titanio en la vena esplénica, y ligadura con nudo extracorpóreo con sutura monofilamento no absorbible de la arteria esplénica (figura 6). Se realizó la extracción completa de la pieza quirúrgica ampliando la incisión del puerto de trabajo. Se revisó la cavidad por tejido esplénico accesorio sin identificar, se verificó hemostasia y se colocó drenaje en lecho quirúrgico exteriorizándolo por incisión en línea axilar posterior.

Figura 5 a) Disección ligamento lienocólico, b) esplenorrenal, c) esplenofrénico y d) gastroesplénico. Todos los ligamentos mencionados están señalados en la imagen por la línea punteada (- - - - -).

Figura 6 Disección del hilio esplénico. Flecha blanca: arteria esplénica. Flecha negra: vena esplénica.
Se envió la pieza quirúrgica a estudio histopatológico, el cual reportó medidas de 25 × 16 cm con un peso de 1,235 gramos (figura 7). El tiempo quirúrgico fue de 115 minutos, con un sangrado transoperatorio de 800 cm3. Durante la evolución postoperatoria, se inició dieta líquida el primer día de postoperatorio. Se aplicaron vacunas antineumococo al segundo día y fue egresado a domicilio a las 72 horas del evento quirúrgico.

Imágenes: otorgadas por los autores
Figura 7 Bazo, a) cara posterior, b) cara anterior, c) hilio esplénico.
Se realizó seguimiento por la consulta externa, presentó una evolución favorable con cifra plaquetaria de control de 168,000/mm3. Actualmente se encuentra en vigilancia por parte de nuestro servicio.
Discusión
Hoy en día, el abordaje estándar para la realización de una esplenectomía, en la mayoría de los centros de referencia, es laparoscópico. En la esplenectomía, la cirugía laparoscópica está indicada, especialmente en pacientes jóvenes con PTI sin esplenomegalia. Sin embargo, las características clínicas y anatómicas de las patologías que requieren de la esplenectomía como tratamiento, pueden influir en el resultado de la EL6.
La Asociación Europea de Cirujanos Endoscopistas (EAES) publicó en sus guías del 2008, las siguientes recomendaciones:
Se prefiere el abordaje laparoscópico sobre el abierto para la mayoría de las indicaciones, ya que reduce las complicaciones y la recuperación es más corta.
La EL se recomienda para patologías benignas y malignas, y en caso de esplenomegalia, la cirugía puede acompañarse de mayores complicaciones, por lo que se requiere de mayor experiencia.
Durante la EL en patologías hematológicas autoinmunes, se recomienda realizar la búsqueda de tejido esplénico accesorio para evitar la recurrencia de la enfermedad.
En pacientes con esplenomegalia (pero no esplenomegalia masiva), la EL es segura y preferible en manos experimentadas.
En la esplenomegalia masiva se debe considerar la esplenectomía laparoscópica asistida con mano o el abordaje abierto.
La hipertensión portal secundaria a cirrosis hepática es una contraindicación para la EL2 al igual que la coagulopatía no corregida.
Habitualmente, para la mayoría de las indicaciones para esplenectomía, la pieza quirúrgica no requiere estar intacta para el análisis histopatológico, por lo que es factible la morcelación y retiro a través de incisiones pequeñas. Aun cuando se requiere de la pieza completa como en patologías malignas, la incisión necesaria para la extracción de la misma es menor, comparado con aquellas realizadas en la cirugía abierta7.
Aun así, en ocasiones, el tamaño del bazo determina la posibilidad de utilizar la mínima invasión como parte del manejo y, por lo tanto, es importante definir las características anatómicas del bazo de forma preoperatoria con estudios de gabinete.
El conocimiento de la anatomía es esencial para la preparación del hilio esplénico y la liberación del órgano. Anatómicamente, el bazo es un órgano intraperitoneal, localizado en el hipocondrio izquierdo y fijo en su posición debido a los ligamentos esplenorrenal, esplenocólico, esplenofrénico y gastroesplénico. Las medidas normales de este órgano en un paciente sano, son de 11 × 7 × 4 cm, con un peso promedio entre 150-200 gramos8.
De acuerdo a las guías publicadas por la EAES, se define como esplenomegalia a un bazo cuyo eje largo es mayor a 15 cm, y esplenomegalia masiva si mide más de 20 cm. La importancia de definir el tamaño del bazo, radica en predecir, de cierta manera, la evolución transquirúrgica del paciente. La presencia de esplenomegalia masiva se encuentra relacionada a un evento quirúrgico más complejo por factores como limitación en el espacio de trabajo, aumento en el riesgo de sangrado por la presencia de circulación colateral, lesión inadvertida de estructuras vasculares, dificultad para la retracción y extracción de la pieza quirúrgica, además de un aumento en el tiempo quirúrgico. Sin embargo, gracias a una mejoría en las habilidades laparoscópicas de los cirujanos y la existencia de instrumentos avanzados de laparoscopía, la esplenectomía vía laparoscópica ha sido utilizada a pesar de que el bazo tenga medidas de más de 20 cm en su eje mayor2,9. No obstante, es importante tener en mente que la esplenomegalia masiva se asocia a una mayor morbilidad postoperatoria (20-60%), tanto en el abordaje abierto como en el de mínima invasión6, y la tasa de conversión varía de 3-18% con el sangrado, siendo la principal indicación de conversión10.
Para superar estas limitaciones, se han propuesto y reportado otras medidas complementarias al uso de la laparoscopía en casos de esplenomegalia masiva, como la embolización preoperatoria de la arteria esplénica, y la esplenectomía laparoscópica asistida con mano o una combinación de ambas. Sin embargo, a pesar de que la embolización produce una reducción dramática del tamaño del bazo, se han reportado complicaciones como embolismo pulmonar e infartos de otros órganos. Además, el dolor también puede ser importante, por lo que la embolización debe ser realizada unas horas previas al procedimiento quirúrgico11,12,13.
En esta última década, el abordaje laparoscópico es, sin duda, una ventaja en cuestión a días de hospitalización, regreso a actividades, menor dolor postoperatorio, menor incidencia de hernias incisionales, y mejores resultados estéticos14. Además, está claramente definido que la incidencia de complicaciones postquirúrgicas seguidas de una EL, son menores que en la cirugía abierta15. También se ha visto que en pacientes con PTI, la respuesta a corto plazo es de 90%, y a largo plazo de 80 o hasta el 100%9.
Conclusiones
La púrpura trombocitopénica idiopática representa uno de los trastornos hematológicos más frecuentes y es la primera causa de esplenectomía. Es importante conocer las manifestaciones clínicas que da esta enfermedad, al igual que el tratamiento ideal de acuerdo a las guías de manejo publicadas, tanto nacionales como internacionales. Cabe mencionar que la opción quirúrgica debe considerarse opción cuando el tratamiento médico no ha sido exitoso o cuando existen complicaciones. El abordaje dependerá, de igual manera, de lo reportado en la literatura, la experiencia del cirujano y del entorno clínico del paciente. Se ha demostrado que la EL es una opción viable y segura con tasas bajas de conversión, morbilidad baja, menor tiempo de hospitalización, no solamente para patologías benignas, sino también para patologías malignas14,16,17.










text new page (beta)




