Introducción
La pielonefritis enfisematosa (PE) es una infección aguda y necrotizante del parénquima renal y los tejidos circundantes, asociada a alta morbimortalidad, caracterizada por la presencia de gas en el parénquima renal, el sistema colector o la grasa perirrenal.1 Afecta con mayor frecuencia a las mujeres (razón 5:4).2 La diabetes mellitus tipo 2 (DM2) es el factor de riesgo más prevalente, en alrededor del 90% de los casos; la obstrucción ureteral es otro factor de riesgo.2
La PE es considerada una afección con baja prevalencia y la información procede predominantemente de reportes de casos, sobre todo de países con ingreso bajo.3
Dentro de los patógenos aislados con más frecuencia se encuentran Escherichia coli, Klebsiella pneumoniae y Proteus mirabilis.1 E. coli es un microorganismo fermentador de lactosa que metaboliza junto con glucosa y produce elevados niveles de H y CO2, lo que resulta en la formación de gas.2 Una serie de casos reportó que E. coli causó PE en el 69% de los casos y K. pneumoniae en el 29%.4
Los síntomas suelen ser inespecíficos. La tríada de fiebre, dolor en el flanco y náusea es el cuadro clínico más frecuente.1 Los datos clínicos y paraclínicos únicamente sugieren sepsis de origen renal. La ecografía y la radiografía simple solo son precisas en el 69% y el 65% de los casos, respectivamente. El diagnóstico y la clasificación se realizan mediante tomografía computada, que demuestra la presencia de gas y la extensión de la enfermedad, siendo la base para el ampliamente utilizado sistema de clasificación propuesto por Huang y Tseng.1 Esta clasificación consta de cinco categorías con valor pronóstico. La clase 1 se caracteriza solo por gas en el sistema colector; la clase 2 por gas en el parénquima renal sin extensión al espacio extrarrenal; la clase 3A por extensión de gas o absceso al espacio perirrenal; la clase 3B por extensión de gas o absceso al espacio pararrenal; y la clase 4 por PE bilateral o un riñón único funcional con PE.5
Las opciones de tratamiento han evolucionado desde cirugías agresivas a terapias conservadoras con tratamiento farmacológico y en ocasiones drenaje con nefrostomías percutáneas o catéter.6 Hasta finales de la década de 1980, la nefrectomía de emergencia y el drenaje quirúrgico abierto más la administración de antibióticos fueron los tratamientos más elegidos, reportándose unas tasas de mortalidad del 21-78%4 y del 40-50% en un metaanálisis.3 Huang et al.4 reportaron una tasa de mortalidad del 40% (n = 48) en pacientes tratados exclusivamente con antibioticoterapia;5 la mortalidad se atribuyó a complicaciones sépticas.
El drenaje percutáneo es una opción de tratamiento. Existen reportes de mayores tasas de éxito terapéutico en PE con la combinación de antibióticos y drenaje, lo que se asoció a una disminución significativa de la mortalidad y la conservación de la función del riñón afectado en aproximadamente el 70% de los casos. El drenaje percutáneo debe realizarse cuando hay áreas localizadas de gas y en pacientes con tejido renal funcional.3
Actualmente, el tratamiento consiste en la corrección de los trastornos hemodinámicos, hidroelectrolíticos y metabólicos subyacentes, y el uso de antibióticos de amplio espectro, como cefalosporinas de tercera o cuarta generación, así como carbapenémicos. La decisión de qué antibiótico elegir deberá estar acorde con los reportes de los cultivos y la resistencia bacteriana en el sitio de atención. La nefrectomía se reserva como último recurso en ausencia de respuesta a la terapia conservadora.1
En síntesis, las estrategias propuestas de tratamiento incluyen: 1) manejo médico solo con antibióticos; 2) drenaje percutáneo más antibioticoterapia; 3) antibióticos más nefrectomía de emergencia, y 4) drenaje percutáneo más antibioticoterapia y nefrectomía de emergencia.
Algunos factores de riesgo asociados a desenlaces desfavorables en los pacientes con PE son trombocitopenia, leucocitosis y hallazgos tomográficos ≥ 3 en la clasificación de Huang-Tseng.7
Son excepcionales los reportes con más de 50 casos y no existe consenso sobre cuál es el mejor tratamiento para la PE. Existen estudios que identifican factores de riesgo asociados a fracasos terapéuticos, pero pocos reportan los desenlaces asociados al tipo de tratamiento.1,8,9
El presente estudio tuvo el objetivo de obtener información de expedientes clínicos de los pacientes con PE que fueron atendidos en el servicio de medicina interna del Hospital General de México Dr. Eduardo Liceaga, acerca de sus agentes etiológicos, desenlaces clínicos de acuerdo con las modalidades de tratamiento y hallazgos tomográficos.
Material y métodos
Se realizó un estudio observacional, analítico, transversal y retrospectivo. Los criterios para la selección de expedientes clínicos de pacientes hospitalizados en el servicio de medicina interna del Hospital General de México Dr. Eduardo Liceaga, de enero de 2018 a diciembre de 2023, fueron los siguientes: expedientes de mujeres y hombres ≥ 18 años, con diagnóstico de PE, tomografía computada confirmando el diagnóstico, toma de muestra para urocultivo, resultados de biometría hemática y perfil químico, con cualquier comorbilidad y tipo de tratamiento principal para la PE, así como el registro de días de hospitalización y el motivo de egreso. Se realizó un análisis descriptivo de las variables cualitativas (frecuencias y porcentajes) y cuantitativas (media y desviación estándar). El análisis inferencial incluyó análisis de diferencias de medias con la prueba de t de Student y análisis de la varianza, dada la distribución normal de las variables. También se efectuó análisis de tablas cruzadas evaluadas mediante la prueba χ2, análisis de correlaciones (Pearson o Spearman, dependiendo de las variables contrastadas), tasa de letalidad y regresión de Cox para evaluar la supervivencia. Se consideró diferencia estadísticamente significativa un valor de p ≤ 0.05. Se utilizó el programa estadístico SPSS (IBM, USA) V27.0 para Windows.
Resultados
Se incluyeron 51 expedientes clínicos de personas hospitalizadas con diagnóstico principal de PE y que cumplieron con los criterios de selección. La tabla 1 muestra las principales características clínicas y auxiliares del diagnóstico que fueron documentados en la muestra analizada.
Tabla 1 Descripción de los principales atributos clínicos y de auxiliares del diagnóstico (n = 51)
| Variable | n | % |
|---|---|---|
| Sexo | ||
| Mujer | 33 | 64.7 |
| Hombre | 18 | 35.3 |
| Diabetes mellitus tipo 2 | ||
| Sí | 36 | 70.6 |
| No | 15 | 29.4 |
| Litiasis urorrenal | ||
| Sí | 31 | 60.8 |
| No | 20 | 39.2 |
| Choque séptico | ||
| Sí | 14 | 27.5 |
| No | 37 | 72.5 |
| Alteración neurológica al egreso | ||
| Sí | 6 | 11.8 |
| No | 45 | 88.2 |
| Lesión renal aguda (KDIGO) | ||
| No | 12 | 23.6 |
| Grado 1 | 35 | 68.6 |
| Grado 2 | 2 | 3.9 |
| Grado 3 | 2 | 3.9 |
| Clasificación de Huang-Tseng | ||
| Estadio 1 | 14 | 27.5 |
| Estadio 2 | 8 | 15.7 |
| Estadio 3A | 13 | 25.5 |
| Estadio 3B | 11 | 21.6 |
| Estadio 4 | 5 | 9.8 |
| Clasificación dicotómica de Huang-Tseng | ||
| No grave (estadios 1, 2 y 3A) | 35 | 68.5 |
| Grave (estadios 3B y 4) | 16 | 31.5 |
| Hiponatremia | ||
| Sí | 31 | 60.8 |
| No | 20 | 39.2 |
| Leucocitosis | ||
| Sí | 37 | 72.5 |
| No | 14 | 27.5 |
| Trombocitopenia | ||
| Sí | 10 | 19.6 |
| No | 41 | 80.5 |
| Anemia | ||
| Sí | 12 | 23.5 |
| No | 39 | 76.5 |
| Motivo de egreso | ||
| Mejoría | 48 | 94.1 |
| Defunción | 3 | 5.9 |
El promedio de edad fue de 52 años (± 11), el promedio del índice de masa corporal fue de 25 kg/m2 (± 3), la tasa de filtrado glomerular calculada al egreso fue de 65 ml/min/1.73 m2 como promedio (± 35), y el tiempo de estancia hospitalaria fue de 10 días (± 5) como promedio.
La tabla 2 muestra la frecuencia de los reportes de los urocultivos, evidenciando el predominio de aislamiento de E. coli. En la tabla 3 se expresan los grupos de tratamientos utilizados que se reportaron en los expedientes clínicos.
Tabla 2 Resultados de los urocultivos. En 34 de los 51 casos hubo desarrollo bacteriano (66%), correspondiendo al 85% de los cultivos positivos el aislamiento de Escherichia coli, predominando E. coli productora de betalactamasas de espectro extendido
| Aislamiento en urocultivo | n |
|---|---|
| Escherichia coli BLEE + | 23 |
| Sin desarrollo bacteriano | 9 |
| Escherichia coli no BLEE | 6 |
| No reportado | 6 |
| Klebsiella pneumoniae | 3 |
| Pseudomonas aeruginosa | 2 |
| Muestra contaminada | 2 |
BLEE: betalactamasas de espectro extendido.
Tabla 3 Grupos de tratamientos usados en los pacientes con pielonefritis enfisematosa (n = 51)
| Variable | n | % |
|---|---|---|
| Grupos de tratamientos empleados | ||
| Antibiótico + drenaje por radiología intervencionista | 41 | 80.4 |
| Antibióticos + intervención quirúrgica | 7 | 13.7 |
| Antibióticos | 3 | 5.9 |
| Grupos dicotómicos de tratamientos empleados | ||
| Antibiótico + drenaje por radiología intervencionista | 41 | 80.4 |
| Antibióticos solos o acompañados de cirugía | 10 | 19.6 |
El contraste de sexo, la clasificación dicotómica de Huang-Tseng, los tipos de tratamiento agrupados y el motivo de egreso, contra el comportamiento de las variables edad, días de estancia e índice de masa corporal, no mostró diferencias estadísticamente significativas en ningún caso (prueba t de Student para muestras independientes, p > 0.05).
Se registraron siete casos (13.7% del total) que recibieron nefrectomía (incluidos en el grupo de tratamiento antibiótico más intervención quirúrgica). En los expedientes clínicos se documentó el fallecimiento de tres pacientes, representando una tasa de letalidad del 5.9% (Tabla 4).
Tabla 4 Características de las personas fallecidas que estuvieron hospitalizadas con diagnóstico principal de pielonefritis enfisematosa
| Caso 1 | Caso 2 | Caso 3 | |
|---|---|---|---|
| Sexo | Mujer | Hombre | Mujer |
| Edad, años | 33 | 38 | 60 |
| Comorbilidad | DM2, urolitiasis | DM2, urolitiasis | DM2 |
| Estancia | 9 días | 8 días | 11 días |
| Huang-Tseng | 5 | 3 | 4 |
| Bacteria aislada en urocultivo | E. coli BLEE + | E. coli BLEE + | E. coli BLEE + |
| TFGE/AKI | 119/2 | 86/1 | 71/3 |
| Hiponatremia | Sí | Sí | No |
| Choque séptico | Sí | Sí | No |
| Tratamiento | Antibiótico + drenaje por radiología intervencionista | Antibiótico solo o con cirugía | Antibiótico + drenaje por radiología intervencionista |
AKI: Acute Kidney Injury; BLEE: betalactamasas de espectro extendido; DM2: diabetes mellitus tipo 2; TFGE: tasa de filtración glomerular estimada, expresada en ml/min
El análisis de correlación de Spearman entre el egreso por defunción y la gravedad de la lesión renal aguda (Acute Kidney Injury [AKI]) mostró un coeficiente de correlación de −0.354 y un valor de p = 0.011, interpretándose que la mayor gravedad de lesión renal aguda se asoció con defunción.
Utilizando análisis de tablas de contingencia se encontraron diferencias estadísticamente significativas con la prueba de χ2 (p = 0.002) al comparar el grado de lesión renal aguda y el fallecimiento, evidenciando que las tres personas fallecidas tuvieron diferentes grados de lesión renal.
El choque séptico fue documentado en 14 casos (27.5% del total), y al contrastarlo con la mortalidad no mostró asociación significativa (p > 0.05). Tampoco hubo asociación estadísticamente significativa entre hiponatremia y mortalidad.
Se documentó que dos de las 41 personas que fueron tratadas con antibiótico y drenaje por radiología intervencionista fallecieron durante su estancia hospitalaria (tasa de letalidad del 4.87%), en tanto que una de las 10 personas que recibieron antibióticos solos o acompañados de cirugía murió durante la hospitalización (tasa del 10%).
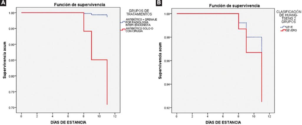
La figura 1 muestra el análisis de supervivencia realizado con regresión de Cox, teniendo como covariables categóricas el tipo de tratamiento agrupado (Figura 1A) y por la clasificación dicotómica de Huang-Tseng (Figura 1B).

Figura 1 A: representación de la supervivencia ajustada por grupo de tratamiento. B: representación de la supervivencia ajustada por gravedad según la clasificación dicotómica de Huang-Tseng. El análisis estadístico para ambos ajustes no mostró significancia estadística en ninguno de ellos (p > 0.05) ni ninguna covariable que se identificara como de mayor riesgo que otras.
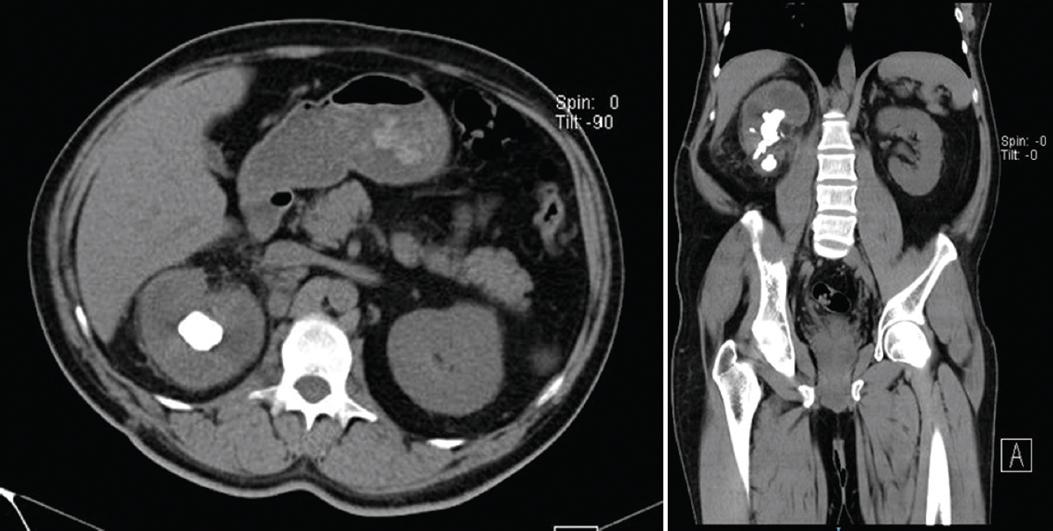
En las figuras 2 y 3 se ilustra un caso representativo de los 51 pacientes con PE, incluyendo hallazgos tomográficos.

Figura 2 Paciente de sexo masculino de 41 años con pielonefritis enfisematosa derecha Huang II y lito coral incompleto derecho, con reporte de urocultivo sin desarrollo. En la tomografía computada abdominopélvica se observa una imagen hiperdensa compatible con un lito piélico obstructivo de 900 UH, que condiciona dilatación de todo el sistema colector renal, más un lito a nivel del cáliz medio e inferior homolateral, además de gas en el parénquima y el sistema colector, con presencia de niveles hidroaéreos.

Figura 3 Caso del mismo paciente de la figura 2 posterior a tratamiento con carbapenémico más colocación percutánea de catéter de 10 Fr de nefrostomía derecha y pielografía percutánea. Tras 14 días de estancia fue egresado por mejoría. La tomografía computada abdominopélvica simple muestra una imagen hiperdensa de aproximadamente 30 × 20 mm y 1045 UH, con presencia de hidronefrosis homolateral leve y riñón contralateral sin alteraciones. Se observa disminución del gas en el parénquima y el sistema colector, con ausencia de niveles hidroaéreos respecto a la tomografía previa.
Discusión
En este estudio, la PE tuvo una prevalencia del 64.7% en mujeres y se documentó DM2 en el 70.6% de los casos. La mayor afectación en mujeres concuerda con un reporte del 68.9%,8 aunque la razón de afectación en nuestro estudio fue de 3:1, diferente de la reportada de 5:41 o 4:1.10 Respecto a la presencia de DM2, el 70.6% de los pacientes vivían con ella, porcentaje inferior al encontrado en una revisión sistemática y metaanálisis reciente que identificó 37 estudios observacionales con 1146 pacientes con diagnóstico de PE y el 82.5% vivían con DM2.8 Es necesario realizar más estudios en México, ya que el 18.3% de su población adulta padece DM211 y es un factor de riesgo en el curso de PE12 que requiere tratamiento especial.13
Todos los casos de este estudio iniciaron sus síntomas antes de la hospitalización, aunque se ha reportado también como una infección nosocomial.14
Los 51 casos incluidos superan a la mayoría de las publicaciones relacionadas con la PE, que tienden a ser pequeñas series de casos o reportes de un caso.8,15-18 Dentro de los pocos trabajos que superan los 50 casos está el estudio multicéntrico de Olvera Posada et al.19 llevado a cabo de 2005 a 2012 en México, reportando 62 pacientes, agrupados por tipo de tratamiento en médico, mínimamente invasivo y quirúrgico, como en el presente estudio. Los estudios de Sokhal et al.20 y Puvvada et al.,21 en India, incluyeron 74 y 72 pacientes, respectivamente.
En cuanto al aislamiento en urocultivo, E. coli productor de betalactamasas de espectro extendido (BLEE) fue el patógeno aislado en mayor proporción, seguido de E. coli no BLEE y en tercer lugar de K. pneumoniae, al igual que en otros reportes.1,22 Existen algunos reportes de aislamiento de Candida spp. como etiología de la PE,23 pero en nuestro estudio no se documentó ningún caso.
Las variables de clasificación de Huang-Tseng se clasificaron de manera dicotómica en no grave (estadios 1, 2 y 3A) y grave (estadios 3B y 4), así como por grupo de tratamiento en antibiótico más drenaje por radiología intervencionista y antibióticos solos o acompañados de cirugía; esto con el objetivo de obtener un menor desbalance entre los grupos de comparación.
En cuanto a la clasificación dicotómica de Huang-Tseng, los tipos de tratamiento agrupados y el motivo de egreso, no hubo diferencias estadísticamente significativas con relación a los días de estancia y la tasa de filtrado glomerular al egreso. En este estudio se evidenció que una mayor gravedad de lesión renal aguda se asoció con defunción. Lo anterior contrasta con el metaanálisis de Desai y Batura8 sobre factores de riesgo y tratamiento en PE, en el cual no hubo evidencia de que la DM2, la litiasis, la uropatía obstructiva, la lesión renal aguda o la proteinuria se asociaran a mayor mortalidad. Ante dicho hallazgo, habrá que poner mayor énfasis en próximos estudios acerca del impacto de la lesión renal aguda en la supervivencia de los pacientes con PE, así como plantear intervenciones oportunas para prevenir la progresión de la lesión renal.
Un estudio reportó que el 14.5% de pacientes con PE fallecieron, sin diferencias entre las distintas modalidades de tratamiento;19 sin embargo, en el presente estudio, la letalidad fue notoriamente inferior (5.9%) y hubo diferencias dependiendo del grupo de tratamiento: 4.8% con el tratamiento de antibióticos y drenaje por radiología intervencionista y 10% en el grupo que recibió antibióticos solos o acompañados de cirugía.
Se han reportado como factores de riesgo asociados a desenlaces desfavorables en PE la trombocitopenia, la leucocitosis y la gravedad por tomografía computada,7 así como el estado de choque, la sepsis, la nefrectomía de emergencia, la confusión y la hiponatremia, y en particular estos dos últimos, con un riesgo hasta siete veces mayor que los que no los presentan.8 La hiponatremia y el choque séptico no mostraron asociación estadísticamente significativa con la mortalidad, en contraste con los estudios previamente mencionados. En un metaanálisis que incluyó 45 estudios con 1303 pacientes se documentó que ser mujer y haber sido sometido a intervención mínimamente invasiva (nefrostomía percutánea o colocación de una endoprótesis ureteral) se asociaron con menores tasas de mortalidad.24
La supervivencia ajustada por grupo de tratamiento y por gravedad según la clasificación dicotómica de Huang-Tseng no mostró significancia estadística en ninguno de ellos.
El tratamiento con catéter para drenaje guiado por tomografía ha demostrado una mayor tasa de éxito que la inserción guiada por ultrasonido; en los pacientes incluidos en este estudio, todos los drenajes fueron realizados guiados por ultrasonido, debido a su mayor disponibilidad y menor costo.
El rol de la instilación directa con antibióticos vía catéter de nefrostomía no está claro en cuanto a reducción de la morbilidad. Hollingshead et al.2 reportaron la recuperación completa de un paciente con PE bilateral tras el tratamiento con descompresión percutánea con nefrostomías e instilación directa de piperacilina-tazobactam; sin embargo, dicho paciente también recibió betalactámicos sistémicos, por lo que no se podría atribuir la respuesta al tratamiento únicamente a la instilación directa del antibiótico y el drenaje.
Existen reportes de casos específicos de PE en receptores de trasplante de riñón, y se trata de una complicación drástica de infección inicial en el sitio de la herida quirúrgica.25 En estos casos es de suma importancia el control glucémico, así como el manejo y el cuidado de la herida para prevenir la extensión de microorganismos productores de gas hacia el riñón trasplantado.
Con la evidencia documentada, el manejo inicial de la PE debe ser conservador y mínimamente invasivo. La presencia de los factores de riesgo antes mencionados podría ayudar a predecir quiénes necesitarán un manejo más agresivo o invasivo. En el presente estudio, todos los pacientes sometidos a cirugía o nefrectomía recibieron previamente tratamiento con drenaje por catéter, que fracasó o hubo recidiva.
A pesar de que este estudio no demostró significancia estadística en cuanto a supervivencia con relación al grupo de tratamiento y la clasificación de Huang-Tseng, esto puede atribuirse al tamaño de la muestra. En la literatura actual se ha reportado que el manejo conservador con drenaje percutáneo sí disminuye la morbimortalidad y se va posicionando como una opción de primer orden aunado al tratamiento con antibióticos,26-28 así como la nefrectomía temprana en casos seleccionados.29 En este estudio hubo siete casos de pacientes nefrectomizados, de los cuales uno falleció. Existe evidencia de que los pacientes que viven con DM2 tratados quirúrgicamente o con nefrectomía tuvieron menor tasa de mortalidad, del 35%, comparada con una tasa del 75% en pacientes con tratamiento conservador; sin embargo, esto se demostró en un estudio de 1973 en el que el tratamiento con drenaje se incluyó en el grupo de pacientes tratados quirúrgicamente.30
En población mexicana, en la mayoría de las ocasiones en que los pacientes presentan datos compatibles con infección de vías urinarias alta o complicada se inicia antibioticoterapia empírica, como fue el caso de todos los pacientes incluidos en este estudio, que también en su mayoría recibieron tratamiento dirigido con carbapenémico posterior al aislamiento en urocultivo que demostrara susceptibilidad. Existen cuadros abigarrados que dificultan el diagnóstico, como coexistencia de etilismo crónico y DM2.31
Las limitaciones principales del estudio son que se trata de un estudio observacional, pues aunque se haya tratado de controlar los sesgos, el nivel de la calidad de la evidencia no es tan elevado como en los estudios aleatorizados. Aunque el tamaño de muestra en el estudio es de los más grandes publicados en la literatura, carece de la magnitud suficiente para hacer inferencias robustas.
Conclusiones
Este estudio evidenció que, en los pacientes con PE, el uso conjunto de antibioticoterapia con drenaje mediante radiología intervencionista se asoció con una disminución de la morbimortalidad, que la DM2 fue el factor de riesgo más prevalente y que fueron mujeres las personas más afectadas.










text new page (beta)


