Servicios Personalizados
Revista
Articulo
Indicadores
-
Citado por SciELO -
Accesos
Links relacionados
-
Similares en
SciELO
Compartir
Gaceta médica de México
versión On-line ISSN 2696-1288versión impresa ISSN 0016-3813
Gac. Méd. Méx vol.142 no.1 Ciudad de México ene./feb. 2006
Imágenes en Médicina
Malformación del sistema pancreáticobiliar como causa de perforación espontánea de la vía biliar extrahepática
A pancreatobiliary malformation causing spontaneous perforation of the extrahepatic bile duct
Carlos BaezaHerrera,* Ulises Darío MedellínSierra, Héctor SanjuánFabián, Newton JiménezGonzález y Luís Manuel GarcíaCabello
Departamento de Cirugía, Hospital Pediátrico Moctezuma, México, D.F., México
Recibido en su versión modificada: 29 de agosto del 2005
Aceptado:02 de septiembre del 2005
Coordinador: Manuel Cardoso Ramon
* Correspondencia y solicitud de sobretiros:
Dr. Carlos Baeza Herrera
Departamento de Cirugía
Hospital Pediátrico Moctezuma
Oriente 158 No. 189 Col. Moctezuma 2a Secc.,
Delegación Venustiano Carranza
C.P. 15500 , México, D.F.,
Tel: 55714057 y 55711737
Resumen
La ascitis biliar usualmente resulta de la perforación espontánea o traumática del conducto biliar principal, usualmente en la unión con el conducto cístico. La obstrucción ductal distal, el reflujo hacia la vía biliar común, la debilidad o una muy localizada malformación mural de la pared del conducto común han sido propuestas como causas probables. Presentamos el caso de una niña de 11 meses de edad quien sufrió ascitis biliar como consecuencia de la ruptura del colédoco. La perforación probablemente se debió a una malformación de la unión pancreáticobiliar. Se le derivó la bilis hacia el exterior mediante una sonda.
Palabras clave: Ascitis biliar, perforación vía biliar externa
Summary
Biliary ascitis usually results from a spontaneous or traumatic perforation of the common bile duct, usually at the junction with the cystic duct. Distal duct obstruction, pancreatic fluid reflux up the common bile duct, congenital weakness or a localized mural malformation of the wall of the common duct have been proposed as possible causes. We present an 11monthsold infant girl who developed a biliary ascitis as a consequence of biliary rupture. Perforation was due to malformation of the pancreaticobiliary junction. An uneventful external derivation by tube was performed.
Key words: Biliary ascitis, perforation of the common bile duct
Resumen de la historia clínica
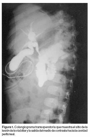
Paciente femenino de 11 meses de edad quien inició su padecimiento dos semanas antes de su ingreso con fiebre no cuantificada, evacuaciones liquidas en número de cuatro al día y vómito, motivo por el cual fue internada en un hospital general iniciándose tratamiento con alimentación endovenosa y antimicrobianos. Tres días después presentó distensión abdominal y ausencia de evacuaciones, motivo por el que fue enviada a nuestra unidad hospitalaria. A la exploración clínica se encontró sin ictericia, bien hidratada, irritable y con sonda nasogástrica instalada a través de la cual drenaba líquido biliar. El abdomen era globoso con perímetro de 52 cm, doloroso a la palpación superficial y peristalsis disminuida. La citología hemática mostró leucocitosis de 12,900, neutrófilos de 58%, linfocitos de 30% y hemoglobina de10.0 grs%. Aproximadamente 4 horas después, se efectuó laparotomía exploradora encontrándose l000 cc de líquido biliar en la cavidad peritoneal y gotas lipoidicas sobrenadantes, por lo que se exploró la vía biliar en donde se encontró una perforación de 1.2 por 0.9 cms en la unión de los conductos hepático común, cístico y colédoco. Con este hallazgo se optó por reparar la lesión y colocar en su interior de la vía biliar una sonda calibre 5F. La evolución del gasto por la sonda descendió de 100 a 5 cc cada 24 horas; en el octavo día se efectuó una colangiografía de control en la que muestra la fuga del medio de contraste (Figura 1) y dilatación de la vía biliar principal, visualización del conducto de Wirsung y en la confluencia de ambos, la estenosis producto de la colangitis crónica (Figura 2). Se inició la vía oral y fue dada de alta al 12avo día de estancia hospitalaria con citología hemática y pruebas de función hepática normales.


Discusión
La perforación del conducto biliar extrahepático es una entidad clínica altamente específica de la infancia. Es poco frecuente y hasta 1980, en todas las edades, se habían referido alrededor de 50 casos en la literatura desde que Dijkstra describió el primer caso en 1936.1,2
Es causada frecuentemente por traumatismo, pero también puede ser consecuencia de otros mecanismos como la presencia de algún defecto morfológico de la vía biliar extrahepática, en el que se establece que el reflujo pancreático, la colangitis, el debilitamiento de la pared, la estenosis del colédoco y el aumento en la presión intraluminal propician que se pierda la función del esfínter en la unión del colédoco con el conducto pancreático determinando juntos que la perforación se instale.3,4
Otra de las malformaciones que están bajo sospecha es la que sugiere que al desembocar en el duodeno de manera anormal uno y otro conductos, el biliar y el pancreático, el esfínter de Oddi no cumple con su función, lo que trae como consecuencia reflujo de líquido pancreático hacia el colédoco e inflamación crónica que a la postre culmina con debilitamiento de la pared, porque durante el desarrollo embriológico normal, la unión de los conductos migran distalmente por el interior de la pared duodenal para emerger en la luz, incluidos dentro del esfínter.5
Casi siempre sucede en la unión del conducto cístico con el colédoco, lo que da sustento a la primera teoría sin embargo, se ha sugerido que puede también ser debida a la presencia de bilis espesa, infección viral y pancreatitis. Por lo anterior, se ha llegado a pensar que la perforación y el quiste del colédoco son manifestaciones de un mismo espectro de enfermedades cuyo denominador común son defectos congénitos inespecíficos.6
Comúnmente se manifiesta con distensión abdominal progresiva e ictericia7 y para identificar la ascitis biliar, es generalmente utilizada la paracentesis.8 Respecto al manejo, el drenaje de la colección biliar puede ser suficiente sin embargo, existen otros recursos más complejos como la colocación de una sonda en "T", la exploración y sutura de la vía biliar y derivaciones biliodigestiva. Otra opción menos practicada es la colédococolédocoanastomosis.9
Referencias
1. Lilly JR, Altman RP. The biliary tree. In: Ravitch MM, Welch KJ, Benson CD, Aberdeen E, Randolph JG. Pediatric Surgery. Volume 2. Third edition. Year Book Med Pub. Chicago. 1979; 835. [ Links ]
2. Ohkawa H, Takahashi H, Maie M. A malformation of the pancreaticobiliary system as a cause of perforation of the biliary tract in childhood. J. Pediatr Surg 1977; 12:541546. [ Links ]
3. Lloyd DA, Mickel RE. Spontaneous perforation of the extrahepatic bile ducts in neonates and infants. Br J Surg 1980; 67:621623. [ Links ]
4. Stringel G, Mercer S. Idiopathic perforation of the biliary tract in infancy. J Pediatr Surg 1983; 18:546549. [ Links ]
5. Flake AW. Disorders of the gallbladder and biliary tract. In: Oldham KT, Colombani PM, Foglia RF. Surgery of the Infants and Children. LippincottRaven. Philadelphia. 1997;14051407. [ Links ]
6. Ohi R, Nio M. The jaundiced infant: Biliary atresia and other obstructions. In: O'Neill JA, Rowe MI, Grosfeld JL, Fonkalsrud EW, Coran AG. Pediatric Surgery. Volume 2. Mosby, St. Louis Mo. 1998;1478. [ Links ]
7. Sigalet DL. Biliary tract disorders and portal hypertension. In: Ashcraft KW. Pediatric Surgery. third Edition, WB Saunders Co, Philadelphia. 2000; 590591. [ Links ]
8. Lilly RJ, Weintraub HW, Altman RP. Spontaneous perforation of the extrahepatic bile ducts and bile peritonitis in infancy. Surgery 1974; 75:664673. [ Links ]
9. Ben Yahib S, Al Rabea A, Al Sammarrai A. An unusual bile duct injury in a child after blunt abdominal trauma. J Pediatr Surg 1999; 34:116163. [ Links ]













