Introduction
Since the first case of septic cardiomyopathy was reported in 2010, multiple reviews highlighted the importance of ultrasound evaluation of patients with sepsis. The data remain ambiguous; there is no objective definition of septic cardiomyopathy, and it remains a challenge to establish well-defined criteria. For its correct approach, a new standardized definition is necessary, as well as guidelines for the diagnostic approach.1 Derived from the findings of different hemodynamic profiles in septic shock, it is necessary to standardize the measurement and use of ultrasound variables to monitor myocardial function in these patients. Its importance lies in the fact that standardization, dissemination, and knowledge of the entity favor its identification, reducing mortality due to complications of sepsis.2
Case presentation
A 25-year-old woman, originally from Campeche, Mexico, with no relevant clinical antecedent and a history of two pregnancies, at the time was carrying a full-term pregnancy, which before the onset of symptoms was resolved by delivery without complications. Twenty-four hours after her discharge, the patient had a fever for four days. On the fifth day, she experienced severe acute chest pain, dyspnea, diaphoresis, and palpitations. The patient received medical attention at a local hospital unit and was subsequently referred to the next level of care. The patient was treated in the emergency department with signs of acute respiratory failure; she was admitted to the intensive care unit, where non-invasive mechanical ventilation was started. The condition was associated with arterial hypotension, tissue hypoperfusion, and fever. Biochemical blood studies at the time showed leukocyte count of 16.570 × 103/μL, neutrophils 88.00 × 103/μL, lymphocytes 8.0 × 103/μL, hemoglobin of 12.44 g/dL. Hematocrit 38.95%, mean globular volume 83.96 fL, mean Hemoglobin concentration of 26.68 pg, mean concentration of corpuscular hemoglobin 31.94 g/dL, distribution index of erythrocytes (RDW) 14.37%, platelets 167,200 × 103/μL, mean platelet volume 11.11 fL. Serum urea level of 40.88 mg/dL, blood urea nitrogen (BUN) 19.00 mg/dL, serum creatinine 0.66 mg/dL, uric acid 3.20 mg/dL. Serum sodium 151.34 mEq /L, potassium 3.40 mEq /L, chlorine 119.49 mEq /L, magnesium 1.85 mg/dL, phosphorus 4.45 mg/dL, calcium 7.58 mg/dL. Total bilirubin 0.92 mg/dL, conjugated bilirubin 0.67 mg/dL, unconjugated bilirubin 0.25 mg/dL, aspartate amino transferase (AST) 51.31 U/L, alanine amino transferase (ALT) 28.96 U/L, gammaglutamyl transpeptidase (GGT) 131.58 U/L, alkaline phosphatase (FA) 120.63 U/L, total proteins 4.70 g/dL, serum albumin 4.90 g/dL, globulin 3.50 g/dL, activated partial thromboplastin time (aPTT) 24.80 sec. Prothrombin time (PT) 16.10 sec. International Normalized Index (INR) 1.31 and procalcitonin 1.89 ng/mL. The electrocardiograms performed initially only showed sinus tachycardia of up to 130 beats per minute. Later, the patient presented atrial fibrillation-type arrhythmias that reverted to the therapeutic approach.
With the clinical suspicion of septic shock, broad-spectrum antimicrobial and vasopressors were started, and invasive mechanical ventilation, sedation, and analgesia were needed. Initial laboratory studies highlighted leukocytosis and anemia, a hyperdynamic hemodynamic pattern in gas analysis, and the transthoracic echocardiogram showed a decrease in the left ventricular ejection fraction (LVEF) at 36%, left ventricular dilation, and compromised global motility with moderately depressed systolic function and suspected peripartum cardiomyopathy.
As part of the study protocol, cultures of blood, urine, and bronchial secretions were obtained, all without the development of microorganisms, also serological tests for COVID-19, influenza, and human immunodeficiency virus (HIV) with negative results, the initial procalcitonin was 2,580 ng/mL. An abdominal ultrasound revealed widespread free fluid and uterine alterations suggestive of endometritis. Due to the poor response to the initial fluid resuscitation and persistence of hemodynamic instability, it was decided to perform exploratory laparotomy, finding purulent fluid in the abdominal cavity and placental remains during uterine curettage.
After surgery, there was significant clinical improvement, a decrease in acute phase reactants, and remission of the hemodynamic pattern; withdrawal of hemodynamic support and invasive mechanical ventilation was achieved. At this point biochemical blood test performed showed a reduction in leukocyte count with 13.310 × 103/μL, neutrophils 79.00 × 103/μL, hemoglobin 9.59 g/dL, hematocrit 26.13%, medium globular volume 93.12 fL, concentration mean hemoglobin 30.56 pg, mean corpuscular hemoglobin concentration 32.81 g/dL, RDW 13.51%, platelets 382,500 × 103/μL, mean platelet volume 9.0 fL. Serum urea 17.12 mg/dL. BUN 8.0 mg/dL, serum creatinine 0.38 mg/dL. Uric acid 2.70 mg/dL, serum sodium 142.20 mEq/L, potassium 4.40 mEq/L, chlorine 108.75 mEq/L, magnesium 1.99 mg/dL, phosphorus 2.88 mg/dL, calcium 7.09 mg/dL. Total bilirubin 0.84 mg/dL, conjugated bilirubin 0.58 mg/dL. Unconjugated bilirubin 0.26 mg/dL, AST 26.96 U/L. ALT 20.07 U/L. Lactic deydrogenase (DHL) 288.09 U/L, aPTT 33.40 sec. PT 22.20 sec. INR 1.79, and procalcitonin 0.20 ng/mL. Erythrocyte sedimentation rate (ESR) 50.00 mm/h, D-dimer 9.34 μg/mL and creatine phosphokinase (CPK) 68.36 U/L. Troponin curve couldn’t be obtained. After 48 hours, an echocardiographic control was performed, which reported improvement in the LVEF with 46%, left ventricular dilation, generalized hypokinesia, and decreased systolic function, changes suggestive of sepsis-induced cardiomyopathy.
The antimicrobial regimen was followed, and she was discharged to the general ward. During initial mobilization, the patient presented with a sudden intense onset of retrosternal chest pain, tachycardia, dyspnea, tachypnea, and hypotension associated with a decrease in oxygen saturation, with suspicion of acute pulmonary embolism. A new echocardiogram showed right ventricular pressure overload with a dicrotic notch on pulmonary valve Doppler. Pulmonary angiography (CTPA) reported a filling defect in branches of the right pulmonary artery and amputation of the circulation in the left pulmonary artery and some areas in the right circulation, bilateral atelectasis, and images that suggested probable thrombosis of the iliac veins, the study confirmed the diagnosis, classifying it as high risk. The electrocardiogram recorded elevation of the ST segment in precordial leads v1 to v4 and D-dimer 9,340 ng/mL. The therapy used was oxygen and unfractionated heparin, showing improvement in less than 24 hours.
An echocardiogram performed on the tenth day showed an increase in the contractile function of the left ventricle. LVEF of 63%, showing reversibility of the morphological alterations and contractility, concluding that it was septic cardiomyopathy and acute pulmonary embolism. In a control CTPA, reversibility of the previously described filling defects was observed. Also, serum procalcitonin in normal ranges, anticardiolipin, and anti-beta 2 glycoprotein antibodies were negative; also, the presence of lupus anticoagulant and protein S deficiency with overactivity of anti-thrombin III antibodies were found.
Discussion
Sepsis is an organic dysfunction caused by a deregulated host response to an infection, and septic shock occurs when important circulatory, metabolic, and cellular abnormalities occur, necessitating the use of vasopressors. Sepsis is the most important cause of morbidity and mortality in patients admitted to intensive care units, with 48.9 million cases occurring worldwide each year.3 The high mortality is due to its most common complications, septic shock, multiple organ dysfunction syndrome, and sepsis-induced cardiomyopathy or septic cardiomyopathy (SCM), of which the prevalence varies widely from 10 to 70% in inpatients with sepsis, developing it implies a 1.4-fold increase in the risk of death during hospitalization compared to patients who do not develop it. Among the risk factors for presenting it are being a man, a young adult, having high lactate levels and high severity scores, as well as patients with pre-existing heart disease or diabetes.4,5
Although most infections that occur during pregnancy and the postpartum period are mild, the physiological and immunological adaptations present during pregnancy make women more susceptible to sepsis. The period of greatest vulnerability is postpartum; sepsis during this period causes up to 75,000 deaths a year.6 Its presence in pregnant patients is rare; it is estimated that one case in every 8,338 births, and the association between SCM and postpartum sepsis is an even rarer presenting entity and implies high mortality.7
In 1975, myocardial dysfunction in sepsis was described for the first time by Heyndrickx and collaborators, who documented the phenomenon in experiments with animal models. By 1982, it was observed that this had a self-limiting nature, and in 1996, Clowes, through hemodynamic monitoring and invasive measurements in the pulmonary artery, confirmed the development of myocardial depression in patients with septic shock.8 In 1984, Parker introduced the concept of sepsis-induced cardiomyopathy. In his study, patients with septic shock were subjected to ventriculography with simultaneous use of radionucleotide and subsequently to catheterization of the right ventricle, finding that in some of them, the ejection fraction of the right ventricle was less than 38% both in patients with high cardiac output and with normal or low cardiac output. Its importance was such that in 2005, Annan and collaborators proposed sepsis-induced cardiomyopathy as a diagnostic criterion for severe sepsis.9
Despite there being no formal definition, all authors agree that it shares characteristics such as having an acute onset, a poor response to initial resuscitation and catecholamines, being reversible in a period of seven to 10 days after the onset of the condition, and after resolving the septic state, also having ruled out coronary ischemia as a triggering cause.10,11 All the clinical data on cardiac dysfunction is manifested, elevation of biomarkers of damage, decrease in the LVEF, structural alterations, and changes in the conduction system and hemodynamics.12
Septic cardiomyopathy is characterized by alterations in left and right ventricular function with the following proposed ultrasound criteria: decrease in LVEF of less than 45%, S’ wave < 7.5 cm/s, global longitudinal strain (GLS) < -20%. Lateral E’ wave values < 7 cm/sec and lateral E’/e ratio > 13 cm/sec. Right ventricular dysfunction characterized by right and left ventricular dilatation > 0.6, Tricuspid annular plane systolic excursion (TAPSE) < 16 mm, Tissue Doppler imaging (TDI) Str’ wave < 10 cm/s and right ventricular fractional area change < 35%. Finally, there is a decrease in cardiac output as well as dilation of the left ventricle.1,13,14
Multiple secondary pathways to the host’s already known deregulated immune response towards the infection have been proposed, which seek to explain how these are associated with changes in myocardial contractility and generate the changes found in septic cardiomyopathy to try to explain the pathophysiological mechanism. The trigger is sympathetic activation, which generates changes and alterations in myocardial performance and contractility. When tachycardia exists, diastolic filling time is reduced, the lusiotropic effect is lost, deficiencies in filling are generated, and myocardial contractility is worsened. The state of hyperinflammation present leads to immunoparesis, causing the deregulated response. To date, there is no complete understanding of how all the changes in the immune system and the release of inflammatory mediators are related to cardiomyopathy due to sepsis. What is known is that these mechanisms have consequences on the short- and long-term prognosis, increasing mortality and the risk of presenting future cardiovascular events.15
During the infection process, pathogens enter the bloodstream, stimulating the immune system through pathogen-associated molecular patterns (PAMPs), damage-associated molecular patterns (DAMPs) and by activation of the complement system via toll-like receptors (TLRs), giving initiation to an excessive inflammatory response and cytokine storm, which compromises contractility, affects cardiac output, reduces coronary perfusion, generates local disturbances to microcirculation, triggering compensatory responses and shutdown of cellular metabolic pathways, causing regional tissue hypoperfusion and damage to the endothelium.
At the mitochondria in septic cardiomyocytes, the morphology is altered, which causes loss of the barrier function, and through metabolic and structural changes, DNA is damaged, compromising cellular function and increasing membrane permeability, which activates apoptosis signaling pathways dependent on caspases, mainly pyroptosis and other forms of cell death such as necroptosis, ferroptosis, and autophagy, triggered by different substances such as endotoxins, exotoxins, lipids, and RNA or DNA sequences, this through signaling pathways activated during injury to cardiomyocytes such as the MAPK, PI3K/AKT/mTOR and TLR/NF-kB pathways. MAPK is involved in a variety of cellular processes, including mitosis, apoptosis itself, differentiation, and cell proliferation.15 Other signaling pathways confer future therapeutic importance, such as PI3K/protein kinase B AKT, which can suppress cardiomyocyte apoptosis and mitigate sepsis-induced myocardial damage by improving cardiomyocyte function. All of the aforementioned pathways activate pattern recognition receptors (PRRs), initiating a massive inflammatory response and establishing a phase of immunosuppression.16,17
Mitochondrial damage generated by oxidative stress reduces antioxidant capacity and thus generates an imbalance in metabolic processes, causing mitochondrial respiratory dysfunction. Inadequate adenosine triphosphate (ATP) production and imbalance results in direct damage and death of the cardiomyocyte. In some cases, the impairment of mitochondrial functions in damaged cells causes them to reach a state of apparent «mitochondrial hibernation», which favors energy saving in response to ischemia and promoting mitochondrial synthesis, helping to maintain the long-term viability of the mitochondria; this process could be involved in the reversibility of damage in septic cardiomyopathy.16
In 1985, myocardial depressant factors also intervened in the pathophysiology; studies in animal models reported that there was a reduction in the amplitude and speed of contraction of myocardial cells that were infiltrated with serum from animals with sepsis. It was then confirmed that there are different inhibitory factors directly related to cardiac contractility that are increased during sepsis and septic cardiomyopathy. These myocardial depressant factors act as direct inhibitors and intervene in two ways: in the downregulation of beta receptors and in reducing the adrenergic response through the action of inflammatory cytokines and nitric oxide (NO).18
Various substances involved in the inflammatory response have been considered myocardial depressants, including tumor necrosis factor alpha (TNF-α), interleukine-1 (IL-1), interleukine-6 (IL-6), complement-activated C3, C5a or membrane attack complex, anaphylatoxin and lipopolysaccharide (LPS), among other cytokines, LPS, high mobility group band-1 (HMGB-1), extracellular histones, and metalloproteinases of the extracellular matrix such as matrix metalloproteinase-9, all these increase their values and generate a depressant effect during the first phases of sepsis, normalizing their levels at 48 hours of the onset of the inflammatory response. In conclusion, the pathophysiological mechanism is complex, from the activation of the sympathetic nervous system that results in metabolic changes, an excessive inflammatory response, mitochondrial damage and oxidative stress, autophagy, and apoptosis mechanisms, and the imbalance in calcium homeostasis in cardiomyocytes, the downregulation of beta-adrenergic receptors, vasoplegia that compromises circulation are what finally produces myocardial depression with the clinical manifestations typical of the entity.12,19
The gold standard for diagnosis of SCM is the echocardiogram. In addition to the existing clinical characteristics, we used different echocardiographic variables for the analysis of the case. Echocardiograms were performed on day one of the onset of symptoms, at 48 hours, on day 10, and subsequently at seven months and one year. Initial echocardiograms show dilation of the left ventricle, accompanied by alterations in segmental motility. The left ventricle recovered its normal size without alterations in motility after 10 days.20,21
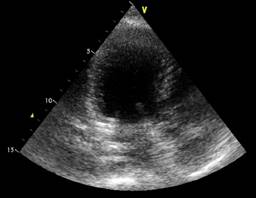
The initial LVEF was 36%, and 48 hours later, it was 47% (Figure 1). The echocardiogram showed important dilation of the left ventricle (Figure 2). The echocardiographic controls performed on the tenth day, at seven and 12 months, showed recovery and normal LVEF, demonstrating complete reversibility at 10 days that continues up to one year (Figure 3). There was no compromise in cardiac output according to measurements in the five echocardiograms performed. The cardiac index was calculated using the Dubois cardiac index estimation formula; the cardiac index was not altered during the development of the pathology.22 GLS is also used to assess left ventricular systolic function in patients with septic shock. It detects subtle changes in myocardial contractility and is more sensitive and accurate in evaluating systolic ventricular function compared to LVEF. We obtained a GLS of -14% initially (Figure 4); in the 12th month of echocardiographic control, normalization of the values was found with a GLS of -20.6% (Figure 5), therefore recovery of systolic function, which is considered normal at values of -18% to -20%. Measurement of variables through direct methods was not possible.

Figure 1: A two-chamber view showing the dilation of the left ventricle and the ejection fraction in the echocardiogram was performed 48 hours after the onset of the condition. LVEF = left ventricular ejection fraction. A2C = apical two-chamber (view). SV = stroke volume. LVLs = left ventricular length at end-systole. LVESV = left ventricular end-systole volume. LVLd = left ventricular length at end-diastole. LVEDV = left ventricular end-diastole volume.

Figure 2: An apical 3-chamber view of the echocardiogram was performed after 48 hours, where spherical dilation of the left ventricle was observed.

Figure 3: A two-chamber view showing the reversibility of the changes in the morphology of the left ventricle and the recovery of the ejection fraction in the echocardiogram performed one year later. EF = ejection fraction (biplane). A2C = apical two-chamber (view). SV = stroke volume. LVEDV BP = left ventricular end-diastole volume (biplane). LVESV BP = left ventricular end-systole volume (biplane). LVEF = left ventricular ejection fraction. LVEDV = left ventricular end-diastole volume. LVESV = left ventricular end-systole volume. LVLs = left ventricular length at end-systole. LVLd = left ventricular length at end-diastole.

Figure 4: The global longitudinal strain was obtained, and an echocardiogram performed in the first 24 hours of the onset of the condition. ANT_SEPT = anteroseptal (view). ANT = anterior (view). LAT = lateral (view). POST = posterior (view). INF = inferior (view). SEPT = septal (view). GLPS_Avg = global longitudinal peak strain average.

Figure 5: The global longitudinal strain was obtained in an echocardiogram performed after one year with normal values. ANT_SEPT = anteroseptal (view). ANT = anterior (view). LAT = lateral (view). POST = posterior (view). INF = inferior (view). SEPT = septal (view). GLPS_Avg = global longitudinal peak strain average.
In the echocardiographic assessment of the diastolic function of the left ventricle, dilation of the left atrium was found. In the echocardiogram performed at 10 days, at seven, and at 12 months, measurements that establish reversibility of the atrial dimensions were found. The filling pattern was normal during the evolution of the pathology, and the E/A ratio was reported to be 1.03, with the normal range of said value being 0.75 up to 1.5. The assessment of systolic function using tissue Doppler was abnormal, manifesting alterations in the contractility of the right ventricle. The right atrium showed dilation until reaching reversibility of its structure; the maximum velocity of the tricuspid valve maintained average values of 2.6 m/sec, in addition to the presence of a dicrotic notch when measuring pulmonary artery flow using Doppler. Concluding that the patient had systolic and diastolic dysfunction (Figure 6) with preserved cardiac output during the acute stage of the condition, subsequent changes suggestive of acute pulmonary embolism that would be corroborated by CTPA (Table 1).
Table 1: Echocardiograms performed.
| Echocardiogram performed | |||||
|---|---|---|---|---|---|
| On day one | After 48 hours from the initial symptoms | On day 10 | After 7 months | After one year | |
| Septum (mm) | 11 | 14 | 8.0 | 8.0 | 9.0 |
| Posterior wall (mm) | 11 | 9.0 | 9.0 | 0.6 | 0.7 |
| End-diastolic volume (mL) | 111 | 118 | 144 | 135 | 106 |
| End-systolic volume (mL) | 54 | 56 | 144 | 45 | 37 |
| Stroke volume (mL) | 57 | 62 | 81 | 91 | 69 |
| Fractional shortening (%) | 27 | 27 | 30 | 37 | 36 |
| Left ventricular ejection fraction (%) | 36 | 47 | 63 | 64 | 61 |
| End diastolic diameter (mm) | 49 | 50 | 54 | 53 | 48 |
| End systolic diameter (mm) | 36 | 36 | 38 | 33 | 31 |
| Cardiac output (mL) | 5,586 | 6,944 | 6,075 | 6,370 | 3,136 |
| Cardiac index (L/min/m2) | 3.6 | 4.48 | 3.92 | 4.11 | 3.13 |
| Left atrium | 48 × 42 mm, dilated, without thrombi | 48 × 44 mm, dilated without thrombi | 47 × 43 mm slightly dilated without thrombi | 50 × 40 mm normal | 58 × 32 mm normal |
| Right atrium | 45 × 52 mm, dilated without thrombi | 45 × 53 mm, dilated without thrombi | 45 × 37 mm normal and without thrombi | 44 × 33 mm normal | 43 × 34 mm normal |
| Left ventricle | Dilated, adequate thickness of its walls | Dilated, adequate thickness of its walls | Normal size, adequate wall thickness | Normal size, adequate wall thickness | Normal size, adequate wall thickness |
| Eccentricity index | Not reported | 1.58 | 1.9 | Not reported | 1.81 |
| Mitral annular plane systolic excursion (cm/sec) | 6.0 | 9.0 | 11 | 7.0 | 7.0 |
| Tricuspid valve E/A wave ratio | – | 1.03 | – | – | 1.3 |
| Isovolumetric relaxation time (msec) | 44 | 59 | 59 | 67 | 67 |
| Global longitudinal peak strain (%) | -14.4 | Not reported | Not reported | Not reported | -20.6 |
| Tricuspid annular plane systolic excursion by tissue Doppler (cm/sec) | 13 | 15 | 15 | 12 | 8.1 |
| Systolic pulmonary artery pressure (mmHg) | 38.8 | 32.5 | 28.7 | 21.7 | 21.8 |
| Maximum speed of the tricuspid valve (m/sec) | 2.8 | 3.4 | 2.4 | 2.1 | 2.2 |
Women have a four to five times greater risk of presenting acute pulmonary embolism during pregnancy compared to women who are not pregnant. Its prevalence is one to 1.72 in every 1,000-3,000 births. The most severe form is acute pulmonary embolism of high risk, which causes hemodynamic instability due to extensive pulmonary arterial obstruction and requires the use of aggressive reperfusion therapies with systemic thrombolysis as the first line of treatment. The risk increases in the peripartum period and early postpartum, where there is a very high risk of bleeding. Cases of pulmonary embolism associated with pregnancy are responsible for 10 to 15% of maternal deaths in Europe and North America.23,24 The high thrombotic risk is attributed to the physiological hypercoagulable state induced by pregnancy, as well as the decrease in venous return in the lower extremities due to mechanical obstruction by the uterus.
There are no specific biomarkers for SCM, but during early septic shock, N-terminal prohormone of brain natriuretic peptide (NT-proBNP) and troponin I are elevated. These are related to greater mortality due to septic shock. However, their presence is not related to the induced myocardial dysfunction due to sepsis. Some recently proposed potential biomarkers are eotaxin-1/CCL11, lipocalin 10 (Lcn10), and sestrin. Eotaxin-1/CCL11 was identified as a potential biomarker to predict 30-day mortality in patients with SCM, and the rest are being investigated for their relationship with the pathology.25 There are also no specific electrocardiographic manifestations; changes similar to those observed during an acute coronary syndrome usually occur, including depression or elevation of the ST segment, Q wave, left bundle branch block, changes in the T wave, prolongation of the QT interval, in addition, an increase on the risk of presenting cardiac arrhythmias.26
Treatment and therapy should be directed to the cause of sepsis in accordance with what is established by international guidelines. New treatments studied at the molecular level focus on the prevention of SCM, with objectives directed at the inflammatory cytokines TNF-α and IL-6. In addition to seeking to block the production of NO, these strategies have not been demonstrated to be effective.27 Molecules such as mirR 187a-3p are proposed to be involved in the activation of inflammation and ventricular remodeling.28 Drugs such as levosimendan have been used with promising results, and ventricular assistance devices such as IABP have been used to improve cardiac output and reduce the need for vasopressors. At least 12 cases have been reported in the literature from inpatients with SCM with left ventricular dysfunction who did not respond to conventional treatment and in whom this device was used with favorable results.29 ECMO has also been used successfully as a last-ditch therapy in patients with cardiogenic shock and sepsis who develop septic cardiomyopathy.
Other molecules under study are enzymes such as Sirtuin 6 (SIRT6), which has demonstrated a protective effect against endotoxins in SCM.30 Pellino 1 (Peli 1), a ubiquitin ligase that causes inhibition of apoptosis and oxidative stress and preserves cardiac function in models with myocardial infarction.31 Sivelestat, an inhibitor of the human neutrophil elastase protein, has shown improvement in viability and suppresses apoptosis of stimulated cells. In vivo, it has been associated with an improvement in survival rate and reduces serum levels of cardiac troponin, TNF-α, and IL-1B, improving cardiac function and reducing cardiomyocyte apoptosis, among other beneficial molecular effects. In conclusion, sivelestat can play a protective role against sepsis-induced myocardial dysfunction by activating the PI3K/AKT/mTOR signaling pathway.32
In the context of the case, initially, with the clinical signs obtained and the echocardiographic data, we consider other entities, such as peripartum cardiomyopathy, as a differential diagnosis. This is defined as non-ischemic idiopathic cardiomyopathy, manifested with heart failure secondary to diastolic dysfunction of the left ventricle present towards the last month of pregnancy and in the first five months after birth in women without a history of cardiovascular disease or any other clinical explanation for heart disease. Therefore, the clinical picture of acute heart failure that is complicated by arrhythmias and thromboembolic events added to an infectious origin as the cause of cardiac dysfunction excludes this variable as a diagnosis.33,34
As part of the study protocol and thinking about long-term anticoagulation treatment, immunological studies were requested in search of autoimmune diseases that could complicate the evolution, obtaining negative results in screenings for antiphospholipid syndrome (APS), systemic lupus erythematosus (SLE) as well as determination of protein S, protein C and antithrombin III. We found protein S deficiency, in addition to the increase in antithrombin III, changes typical of the hypercoagulable state of pregnancy, which consists of an increase in the concentrations of coagulation factors VII, factor VIII, as well as Von Willebrand factor, fibrinogen, and plasminogen inhibitor activating factor, while protein S levels decrease.35
Conclusions
We conclude that it is important to make the condition known so that it can be suspected and treated in time. We highlight the importance of using ultrasonographic monitoring in critical areas without replacing classic hemodynamic monitoring systems and establishing standardized echocardiographic indices for its proper approach. Defining and unifying criteria, as well as standardizing echocardiographic measurement parameters, will provide them with prognostic value and improve their approach. Recently, research has been progressing to find useful biomarkers and potential treatments, improving survival. However, these are not yet reproducible or applicable to the large population of existing patients with sepsis.
Currently, there is no reference to this entity in management guidelines, which means that it could be unknown to many if it is not suspected. Therefore, it is not adequately addressed; this increases short- and long-term mortality in all patients who develop septic cardiomyopathy during sepsis. As it is an entity related to serious infectious processes, it is usually outside the daily management of some doctors, internists, cardiologists, and emergency physicians, with the approach being carried out by intensive care doctors. We consider that every inpatient with hemodynamic instability should be approached with critical care echocardiography. Its use has recently become relevant and is already considered a pillar of diagnostic support in emergency and intensive therapy areas.
At present, there are no studies that describe the long-term follow-up of sepsis survivors who develop septic cardiomyopathy. With the case presented, we demonstrate that early intervention with the help of current tools such as ultrasound makes a big difference, targeted treatment and Echocardiographic monitoring at key moments in the development of the pathophysiology of septic cardiomyopathy was key to guiding management, medium-term follow-up demonstrates a favorable evolution, and finally the 1-year control verifies the reversibility of the entity, the good prognosis and the absence of the development of long-term cardiovascular events.










nueva página del texto (beta)




