Introduction
Restrictive cardiomyopathy (RCM) is a heart muscle disease that leads to diastolic dysfunction with preserved systolic function in the early stages. The cardiac muscle is affected by abnormal stiffness affecting the ventricle; this leads to increased diastolic pressure in the atrium, causing hypertrophy.1 RCM represents approximately 2.5-5% of all cases of cardiomyopathies in children. RCM is the least common of three original subtypes of cardiomyopathies: hypertrophic, dilated, and restrictive. The etiology is considered idiopathic. However, with recent advances in genetics, it has been found that sarcomere genes may play an essential role in its genesis.2 Other possible infiltrative diseases have been identified in adults (Amyloidosis, Sarcoidosis, Hereditary Haemochromatosis, and Fabry’s disease).3
The phenotype of the condition can manifest in first-degree relatives with different modes of inheritance. There have been reports of autosomal dominant (most common form), autosomal recessive, X-linked, and mitochondrial modes of inheritance. The different phenotypes and modes of inheritance encourage diagnostics screening and diagnosis during genetic counseling for families with members known to have the condition.4,5 Therefore, the collaboration between cardiology clinicians and geneticists is essential for correctly diagnosing and treating these patients. The American College of Medical Genetics and Genomics (ACMG) recommends the study of 59 genes related to phenotypic manifestations of cardiomyopathies.6 The best-described genes in the genesis of RCM are DES, TTR, TNNI3, TNNT2, MYH7, TPM1, FLNC, GLA, MYBPC3, ACTC1, MYL2, and MYL3. Because of the genetically monogenic disease characteristic, RCM can manifest with at least one of the genes mentioned above.4
The TNNI3 gene encodes subunit I of cardiac troponin. This protein uses intracellular calcium as a sensor regulating the interaction between thick and thin myofilaments. Subunit I is responsible for the inhibitory function of the protein. It prevents the interaction of Actin and Myosin in the absence of Ca2)+. The malfunction of this subunit produces alterations in Ca2)+, leading to stiffness of the ventricle.7
Clinically, patients can report shortness of breath, chest pain, fatigue, and lower limb edema. On examination, patients can present with an S4 gallop rhythm on auscultation, pulmonary crackles, and wheezing. Thorax X-rays can show atrial hypertrophy and pulmonary congestion. The ECG can be abnormal in most cases with wide P waves, conduction disturbances, and ventricular repolarization due to branch involvement, leading to AV blocks. Echocardiography reveals a variable degree of bilateral atrial hypertrophy and significant diastolic dysfunction. Tricuspid and mitral regurgitation are common findings. There are no defined diagnostic criteria for RCM in children; however, the left atrium size is often used as a reference for diagnosis. Some guidelines recommend additionally measuring the mitral valve E/A ratio, which is > 2 in advanced diastolic dysfunction stages. Cardiac MRI may be a diagnostic alternative to demostrate the atrial cavity and ventricular myocardial enlargement of the atrial cavity due to infiltrative diseases; therefore, it is usually more helpful in adults than children.8-10
Treatment is aimed at secondary causes when present. In adults, the treatment objective is to reduce the protein production that affects the myocardium in cases where genetic disorders cause RCM and supportive measures until cardiac transplantation is possible. Loop diuretics and aldosterone inhibitors are preferred over other antihypertensive medications such as ACE inhibitors and ARBs. They are not well tolerated because of their hypotensive effect. Creatinine and electrolytes must be monitored during their use.
Additionally, β-blockers and calcium antagonists are not commonly indicated because they may reduce the heart rate affecting the optimal cardiac output for patients with normal heart rates. However, they can be used in some presentations. Digoxin’s use is limited for tachyarrhythmias management because the preserved systolic function may lead to digitalis intoxication. Amiodarone may be considered for this function.3,9 RCM has a poor prognosis, the worst among all myocardiopathy. Studies show that patient mortality after diagnosis 2-3 years without cardiac transplantation is 50 and 75% at five years.8,10
Case presentation
A 12-year-old Honduran patient with no previous medical history was admitted with a one-day history of hemoptysis associated with a 4-month background of non-productive cough, shortness of breath, and palpitations. The patient seemed to have low weight for her age and appeared chronically ill on examination. The physical examination revealed a height of 154 cm and a weight of 35.45 kg for a body surface of 1.23 m2. An abdominal examination revealed hepatomegaly, but the rest of the physical examination was unremarkable. Family history revealed that her half-sister had been diagnosed with hypertrophic cardiomyopathy at the age of 15.
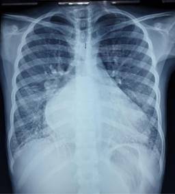
One of the first-degree relatives of the patient had genetic investigations which reported a heterozygous mutation in gene TNNI3, classified as a variant of uncertain significance associated with Dilated cardiomyopathy 2A (OMIM:611880), Dilated cardiomyopathy 1FF (OMIM: 613286), Restrictive cardiomyopathy familial 1 (OMIM: 115210), Hypertrophic cardiomyopathy 7 (OMIM: 613690), all of which have an autosomal dominant inheritance pattern. A diagnosis of cardiomyopathy was suspected due to the clinical presentation and family history. Findings in the initial chest X-ray (Figure 1) revealed cardiomegaly, bilateral atrial enlargement, and pulmonary congestion, and those on the ECG (Figure 2) showed a sinus rhythm, bilateral atrial enlargement, and right ventricle strain supported the suspected diagnosis. The echocardiogram (Figure 3) confirmed the bilateral atrial dilation (LA; 34.8 cm2, RA: 34.1 cm2), an E/A ratio greater than 2, and a PSAP of 47 mmHg, and a left atrial volume of 154 cm3. Using the recommendations for chamber quantification by the European Society of Cardiology, those values were classified as severely abnormal as the atrial volume was above 73 mL. Therefore, indicating severe damage to the left atrium. Abdominal ultrasound confirmed hepatomegaly with dilation of suprahepatic veins. PCR SARS-CoV-2 was negative.

Figure 1: Image corresponding to chest X-ray on arrival. Cardiomegaly with notable biatrial hypertrophy and pulmonary venous congestion.

Figure 3: Transthoracic echocardiography. A) Parasternal long axis view. The left atrium shows hypertrophy. B and D) four cardiac chamber views. Severe atrial dilation without ventricular compromise can be seen. C) Parasternal short axis view. Important dilation on the left atrium, including cardiac appendage.
After considering the patient’s history, physical examination, and investigation results, the parent team concluded that the patient was suffering from restrictive cardiomyopathy. Genetic investigations were considered to confirm the mutation present, but this was not pursued due to the difficult access and elevated cost of the test in the country. As part of the initial management, we started furosemide 20 mg IV TDS, Spironolactone 25 mg PO OD, Enalapril 5 mg PO BD, and Aspirin 100 mg PO OD. After discharge, the patient had another admission due to persistent symptoms and hyponatremia. The patient’s medications were adjusted during the second admission, and new ones were added (Furosemide 40 mg PO TDS, Bisoprolol 2.5 mg PO OD, Amlodipine 2.5 mg daily PO OD). Unfortunately, given the poor clinical response to medical treatment, a cardiac transplant has been considered the best treatment option. However, Honduras has no access to public or private transplant services.
Discussion
In Honduras, a developing country, most investigations for these cardiovascular conditions are difficult to access. This case is of a 12-year-old female with a reserved prognosis due to a poor response to medical treatment. The patient should undergo a heart transplant as soon as possible, but unfortunately, there are no private or public transplant services in Honduras. The family history of a 21-year-old maternal sister with a known diagnosis of hypertrophic cardiomyopathy with a TNNI3 gene mutation represents an essential aspect of this case, helping establish a clinical diagnosis in the absence of available genetic investigations.
The TNNI3 gene mutation has been associated with hypertrophic, dilated, and restrictive cardiomyopathy (Table 1).11 Although our patient lacks genetic investigation due to financial limitations, the mode of inheritance (autosomal dominant inheritance mainly, but autosomal recessive, X-linked, and mitochondrial-transmitted disease can occur),12 clinical presentation, and echocardiogram findings helped conclude the diagnosis. Echocardiograms are essential in developing countries where most genetic investigations are not readily available. Echocardiograms help recognize the phenotype of the different cardiomyopathies following diagnostics criteria.13,14
Table 1: Family’s echocardiographic analysis. It shows how the same gene may affect the same family members with different disease phenotypes.
| Age | Sex | Age of symptomatology onset | ECG | LVD mm |
LVS mm |
ISVD mm |
LVPWD mm |
LVEF % |
Left atrium | RA cm2 |
E/A ratio |
|||
|---|---|---|---|---|---|---|---|---|---|---|---|---|---|---|
| Diameter mm |
Area cm2 |
Volume cm3 |
||||||||||||
| Patient | 12 | Female | 12 | Biatrial growth | 32.20 | 22.20 | 5.21 | 3.26 | 60.00 | 45.50 | 47.70 | 154.00 | 27.60 | > 2 |
| Relative | 26 | Female | 15 | Left ventricular Hypertrophy |
38.10 | 20.40 | 16.00 | 12.80 | 80.00 | 31.10 | 14.30 | 43.00 | 12.60 | Normal |
ECG = electrocardiogram. LVD = left ventricle in diastole. LVS = left ventricle in systole. IVSD = interventricular septum in diastole. LVPWD = left ventricle posterior wall in diastole. LVEF = left ventricular ejection fraction. RA = right atrium. Age is represented in years.
Diagnostic criteria
There are no established diagnostic criteria for RCM in the pediatric age. Therefore, diagnosis can be based on a thorough clinical and physical evaluation, a complete patient and family history, and various specialized investigations. In this case, the patient arrived for the first time at the hospital with critical cardiac symptoms such as progressive dyspnoea, cough, and palpitations. Chronic disease evidence was appreciated at first sight due to her cachexic look. The patient’s relative had a confirmed cardiac diagnosis at a young age. A complete cardiac study was made considering all the previously mentioned.
The patient’s X-rays, combined with clinical findings, confirmed a global cardiac illness. The electrocardiogram revealed the presence of atrial hypertrophy, which led to echocardiography to determine atrial involvement and measure how much this impacted cardiac function. The echocardiogram reported an atrial diameter of 45.5 mm and an area of 47.7 cm2. According to the European Society of Cardiology,15 the patient had a severe compromise of both her left and right atria. Even though the FEV was not affected, the E/A ratio showed a restrictive filling pattern due to the atrial compromise. In conclusion, a diagnosis of restrictive cardiomyopathy was an adequate diagnosis according to both clinical and echocardiographic data.
Management
The management is usually directed at to controlling congestive symptoms. Loop diuretics, as mentioned before, represent the main stem of treatment. Loop diuretics help control pulmonary congestion, peripheral edema, and ascites. However, RCM represents challenging management because it requires close monitoring if diuresis is overdone, causing a further decline in stroke volume and causing hypotension.16 The management requires a tailored approach based on an individual case. As part of the initial management of our patient, loop diuretics, Aldosterone Inhibitors, and Angiotensin-Converting Enzyme Inhibitors were used. Even though scientific studies discourage the use of Enalapril as an antihypertensive, in this particular case, it was used as part of heart failure therapy, which is why only 5mg was indicated. Nonetheless, the patient required an adjustment to the therapy because of a poor response. Although not recommended due to their effect on heart rate,3 the need to use Calcium Channel Blockers and Beta-blockers represented an improvement in the clinical course. At this stage, these medications were beneficial because the patient had persistent tachycardia. Low doses of Bisoprolol were prescribed for Warfarin failure afterward. A heart transplant represents a definitive treatment option given the limited effective medical therapies, poor mechanical support options and a genetic risk factor that leads to rapid progression or sudden death. It is known that overall waitlist mortality for children with RCM is around 10% and increases if patients require mechanical support while on the waitlist. After a transplant, patients can have a five-year survival of around 77%. Improved risk stratification methods will help identify patients who can benefit from a transplant early in the disease.11
Conclusions
In this case, a clinical diagnosis of restrictive cardiomyopathy is established in a paediatric patient with a family background of TNNI3 gene mutation. We considered this case relevant because of various reasons. First, it reminds us of the importance of genetic investigations in relatives of a patient with cardiomyopathy, highlighting the old paradigm of clinical cardiology and genetic investigations, which is not common in developing countries. Second, it helps us understand the impact of one genetic defect on the different phenotypes of diseases in a single organ. Third, restrictive cardiomyopathy is not the most common in the paediatric population.










nueva página del texto (beta)



