Introduction
Mitral subvalvular ventricular aneurysm (AVSM) is considered a rare heart disease, the origin of which is not yet well defined.1 However, there are several etiological hypotheses associated with this condition. It is currently accepted that it originates from congenital mitral valve annulus and endomyocardial weakness in susceptible individuals who are exposed to certain biological agents or chronic inflammatory phenomena that cause remodeling and fibrosis of the subvalvular structures, resulting in the formation of aneurysms with varying degrees of mechanical involvement of the mitral valve (MV).2
Corvisart et al. first reported this clinical entity just over two centuries ago, and since then, several studies have suggested a link between this mitral valve anomaly and varying degrees of mitral regurgitation (MR).3 For years, it was associated almost exclusively with young adults of African descent, which has been losing legitimacy in the last decade due to reports of patients of a wide range of races, ages, and nationalities.1-3
AVSM constitutes the lowest reported incidence among all isolated MV diseases, with about 1% of cases.3 On the African continent, it was first described in Nigeria in 1962 with a series of 12 cases.4 According to the classification of Singh et al., taking into consideration the location and extent, it is classified into three types: Type I (localized single neck), type II (multiple necks), and type III (entire mitral annulus).5
Clinically, patients may remain asymptomatic for many years and maybe detected incidentally; in other cases, they may present with classic symptoms of heart failure (HF), mitral regurgitation (MR), ventricular arrhythmias, thrombotic events and/or myocardial ischemia secondary to extrinsic compression of the coronary arteries, and sudden death in the worst cases.1-5
Today, with new cardiac imaging technologies, as well as the wide availability of transthoracic echocardiography (TTE) and transesophageal echocardiography (TEE), computed tomography (CT) and recently three-dimensional (3D) echocardiography and magnetic resonance imaging, this entity has disappeared from myth to an increasingly frequent reality within its limited spectrum. These techniques are able to accurately define the location, extent and severity of MR, as well as the degree of communication with the left ventricle (LV).1,3,5,6
Surgical resection is considered the corrective method of choice when performed by experienced personnel, with encouraging success rates and very low mortality.6
The present report refers to the case of a 28-year-old Angolan patient with severe MR due to AVSM.
Case presentation
A 28-year-old Angolan woman with a history of pulmonary tuberculosis six years ago was referred to the cardiology department for progressive worsening of dyspnea over the past ten months, associated with easy fatigue and considerable weight loss. She had no known history of endocarditis and multiple admissions to a tertiary care unit for HF. She was evaluated at the cardiology service of the Girassol clinic to define the origin of the diagnosed MR; initially, rheumatic valve disease was considered, given the local epidemiological context. The physical examination drew attention to the weight loss and the presence of a regurgitant murmur at the mitral level.
Tests performed
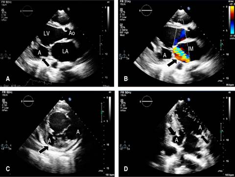
A 12-electrocardiogram was performed, showing sinus rythm but with signs of left chamber overload (Figure 1). A transthoracic echocardiogram was then requested, which revealed an image suggestive of aneurysm formation in mitral subvalvular projection located at the level of the posterior leaflet (in submitral projection) communicating freely with the LV and presence of severe MR with the enlarged left atrium (Figure 2). The transesophageal echocardiogram (TEE) confirmed a severe MR, and the single neck of the aneurysm connected to the LV is better visualized without a thrombus image within the aneurysm (Figure 2). Cardiac angiotomography (Figure 3A-C): illustrates mitral subvalvular aneurysmal dilatation and a communicating aneurysm (Figure 3D).

Figure 1: 12-lead electrocardiogram shows sinus rhythm, narrow QRS complexes, with signs of left chamber overload.

Figure 2: Transthoracic echocardiogram. A) Two-dimensional mode in long-axis parasternal view with the presence of an aneurysm in the basal portion of the LV posterolateral wall at the mitral subvalvular level (arrow). B) Colorful Doppler image with severe mitral regurgitation (arrow). C) Aneurysm (arrow). D) Fistulated aneurysm (arrow). A = aneurysm; LA = left atrium; Ao = aorta; LV = left ventricle; IM = insuficiency mitral.
Discussion
AVSM is a rare anomaly diagnosed in any age and ethnic group, but with a higher documented incidence among young African adults.1 Since its first description,3,7 AVSM has been the subject of numerous debates in an attempt to discover its true etiology and to clarify its relationship primarily in this group of individuals.1-4
Although its incidence is certainly underestimated worldwide,7 several recently published reports show a variable prevalence in different countries.3-6 Humberto et al., in a systematic review of all relevant articles worldwide between 1962 and 2018, identified 150 patients diagnosed with a subvalvular aneurysm, with the majority being submitral aneurysms (140) and 125 of these of congenital origin.1
It is now generally accepted that AVSM is related to the presence of congenital weakness of the posterior MV annulus fibrosus, and this phenomenon could constitute the fundamental anatomical substrate for conditioning individuals susceptible to this condition, especially when exposed to certain infectious and inflammatory processes or degenerative processes involving the perivalvular endocardium.1,4-7 This raises some the questions: why is there such a predisposition in black African individuals, are they only discovered and reported incidentally in our environment, or is the exclusive genetic basis of the disease in our environment? Or is the exclusive genetic basis at the heart of these questions?
Contradictorily, Africa is a predominantly poor continent, with few technological resources to diagnose this disease. In this particular sense, a Brazilian study contradicts the hypothesis that AVSM is an exclusive phenomenon of African ancestry, comparing this reality with the degree of research in the region on a given topic, as in the case of Chagas’ cardiopathy in that country.8
Several cases are diagnosed incidentally, probably because in the early stages, there is usually no symptomatology that draws the attention of professionals to this entity, which delays the best approach to these patients.9 This may have occurred with the patient in question. However, we had already received her with symptoms of severe HF.
Angolan authors report a wide range of age groups of these patients, and based on these reports; we can infer that the incidence in Angola seems to be considerably high if we take into account the numerous published cases in relation to other African countries to be due to the high burden of infectious diseases, where rheumatic heart disease, syphilis, and tuberculosis continue to have the greatest negative impact on morbidity and mortality, with a possible causal relationship in the etiopathogenesis of AVSM, as mentioned above.1,6,9 In this regard, Wolpowitz et al. state that syphilis initially causes the formation of pulsatile diverticula in susceptible individuals (congenital weakness of the LV wall in the vicinity of the atrioventricular groove), but this granulomatous disease is not considered a common cause of AVSM among Africans.10
Amidst these controversies about the origin of AVSM, it can be admitted that a multifactorial phenomenon seems to be the explanation for the supposed predisposition of Africans. From the point of view of an anatomical vulnerability of LV structures at the mitral subvalvular level linked to the peculiar epidemiology of the aforementioned infectious diseases, which present a pathophysiological link resulting in chronic inflammation, progressive degeneration of the endocardial junction with the mitral-aortic ring.6-8
The clinical image is varied, but the MR and the resulting varying degrees of HF motivate the search for medical attention, all caused by volume overload of the left chambers, highlighting the importance of including AVSM as an etiological diagnosis in patients with MR.1-3 Other less common symptoms are lethal arrhythmias, precordial pain, the presence of thromboembolic phenomena, and myocardial ischemia due to compression of the coronary arteries by the aneurysm.5 Treatment is eminently surgical with excellent long-term survival worldwide.1,6,8,10
This clinical case presented a clinical image of HF associated with severe MRI, later confirmed by echocardiography. The dyspnea and progressive fatigue were related to valve dysfunction, in addition to the size of the aneurysm that can accommodate large regurgitant volumes during systole. MRI is considered secondary to the displacement of the posterior mitral annulus and separation of the subvalvular apparatus, resulting in mitral leaflet coarctation failure, a finding consistent with recently published reports.1,8,10
It is clear from the present report that diagnosis and treatment, in this case, were late, as the patient was already in NYHA functional class IV. The patient was referred to the Girassol Clinic Cardiovascular and Thoracic Center for surgical correction.
Resection of the aneurysm was performed, and an attempt was made to perform MV plastic surgery, which was not possible due to the advanced degree of dislocation of the posteromedial papillary muscle and its respective chordae tendineae. The patient presents a good clinical evolution with one year of follow-up and is in NYHA functional class I.
Conclusions
Many clinical and pathophysiological aspects of this rare entity related to mitral regurgitation in individuals who are usually young and, interestingly, from the African continent remain unknown, and the reasons remain unclear. We believe that future research can shed light on these facts so that it will be possible to identify vulnerable individuals early and thus avoid extreme repercussions on the heart of those affected.










nueva página del texto (beta)



