Introduction
The dobutamine stress echocardiogram is a widely used study in the diagnosis of coronary artery disease and myocardial viability. It is considered safe, however serious life-threatening complications have been reported, such as cardiac rupture, myocardial infarction, ventricular arrhythmias, asystole, cerebrovascular accident, supraventricular tachycardia, symptomatic bradycardia, coronary spam1. We present the case of a patient who suffered a cardiac rupture during dobutamine stress echocardiography in the stratification after an acute myocardial infarction.
Case presentation
A 68-year-old man with a history of chronic smoking, systemic arterial hypertension and diabetes mellitus 2, the rest of the antecedents were denied. He was admitted to the emergency department due to an episode of typical angina pectoris of more than 24 hours of evolution, attending due to persistence of symptoms. The initial electrocardiogram showed Q waves in DII, DIII, AVF, V5-V6 with ST elevation 2 mm in the same leads. In his studies, CK 485 and CK MB 69 stand out, not having troponin in the hospital. A Killip Kimball I inferolateral myocardial infarction of 24 hours of evolution was considered.
Given the time of evolution, it was stabilized with optimal medical treatment (We do not have a cardiac catheterization lab in the hospital and our tertiary referral hospital is six hours away).
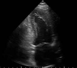
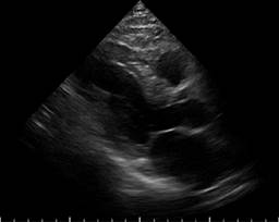
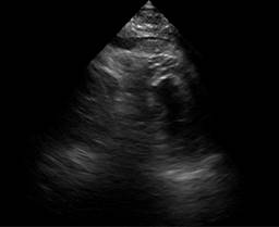
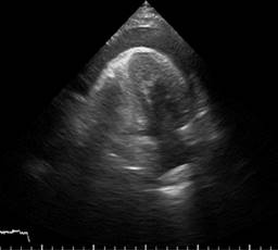
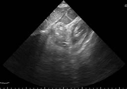
A transthoracic echocardiogram was performed that showed septoapical, apical, inferior apical akinesia, no thinned cardiac segments. Left ventricular ejection fraction (LVEF) 45%, type 1 diastolic dysfunction E/A 0.6, E/e 10, normal dimensions of the right heart chambers with normal right ventricular ejection fraction at rest. Systolic pulmonary artery pressure 26 mmHg, estimated by tricuspid reverse gradient. No pericardial effusion at rest (Figures 1 to 3). The patient evolved to be hemodynamically stable, so a stress echocardiogram was performed to search for viability/residual ischemia on the 6th day after admission to hospitalization. A 5-stage protocol was initiated, starting at 5 μg/kg/min, reaching 20 μg/kg/min. The patient persisted with septoapical and apical akinesia and developed an ischemic response due to developing basal and medial inferior hypokinesia. No changes were recorded in the electrocardiogram at this dose of dobutamine. Esmolol 30 mg intravenous single dose was administered at the beginning of the recovery phase and the study was terminated. In first minutes of recovery, the patient showed sudden deterioration in alertness and pulseless electrical activity. The echocardiogram showed pericardial effusion with a hematic appearance and echocardiographic data of tamponade (Figures 4 to 6). The patient presented cardiorespiratory arrest, so intravenous fluids were administered and an emergency pericardiocentesis was performed, achieving expansion of the right ventricle but with rapid formation of a new pericardial effusion. Later on, he presented asystole which did not revert to basic or advanced cardiovascular resuscitation.
Discussion
The dobutamine stress echocardiogram is associated with a low rate of complications, with a mortality rate of less than 0.01%, mainly due to ventricular arrhythmias.1 Cardiac rupture has been reported in patients with akinesia or inferior dyskinesia, as result of a recent inferior infarction within 4-12 days. There are reports of cases in which the patient develops sudden chest pain and loss of consciousness accompanied by pulseless electrical activity due to electromechanical dissociation.2-5 In most of the reported cases, the result is fatal. Inotropic stimulation of necrotic and thinned tissue can increase wall stress and result in rupture at the site of least resistance.6 It has been reported of cases where stimulation at low doses (10 μg/kg/min) produces a powerful inotropic stimulation that causes myocardial rupture, observing that the infarction of the inferior wall is more susceptible to rupture.3,4 In this case, the baseline study did not find thinned segments, pericardial effusion or any echocardiographic data compatible with cardiac rupture.7
The characteristics found coincide with what has been reported in the literature, where it has been carried out in the early stratification of the infarction and with cardiac rupture at low doses of dobutamine, with the difference that occurred in the early recovery immediately after the suspension of dobutamine and administration of esmolol.
Conclusions
Excluding ventricular tachycardia, the occurrence of complications during stress echo that can be life threatening is 1 in 1,573. Cardiac rupture during stress echo is a fatal complication, fortunately extremely rare. Recent inferior infarction and a dyskinetic zone have been reported in the literature as high-risk characteristics to present.
Proper selection of the patient, a baseline echocardiogram without risk characteristics for rupture, and the time to perform the study after the infarction can reduce the incidence of this complication.










nueva página del texto (beta)








