Introducción
El carcinoma de células escamosas (CCE) es una neoplasia cutánea maligna de queratinocitos epidérmicos. Tiene la capacidad de infiltración local y diseminación a distancia. Las opciones terapéuticas incluyen cirugía excisional o de Mohs, radioterapia y crioterapia, entre otras. La elección de este tipo de tratamiento depende tanto de las características de la lesión como de la propia patología clínica del paciente1,2.
El síndrome del ápex orbitario (SAO) se caracteriza por una constelación de síntomas y signos secundarios al daño sufrido por las estructuras que pasan tanto por la fisura orbital superior como por el canal óptico: ramas oftálmicas, nasociliares y frontales del PC V, ramas superiores e inferiores de los PC III, IV y VI, vena oftálmica superior, arteria oftálmica y nervio óptico. Puede manifestarse como proptosis, diplopía, pérdida de visión, ptsosis, midriasis e hipo o hiperestesia. Los hallazgos de la fundoscopia son variables y dependen del grado de afectación del nervio óptico y de las estructuras vasculares y en ambos casos suelen incluir papiledema, hemorragias retinianas, edema macular y signos isquémicos3-6.
Caso clínico
Este es el caso de un varón de 51 años que acude a la unidad de oftalmología con pérdida de visión en el ojo derecho. Su historia médica incluye cirrosis hepática alcohólica, encefalopatía y varices esofágicas que obligó a practicar un trasplante hepático, diabetes esteroidea secundaria y un CCE en la región de la cola de una ceja a tratamiento con cirugía y radioterapia acompañado de neuralgia del trigémino.
Tras un análisis oftálmico completo, al paciente se le diagnostica trombosis venosa central y se le prescribe un tratamiento a base de inyecciones antiangiogénicas. El paciente respondió bien al tratamiento antiangiogénico introcular y alcanzó una agudeza visual tras 3 inyecciones de ranibizumab de 20/20. El paciente también fue derivado para someterse a un análisis hematológico que reveló la presencia de síndrome antifosfolípido iniciándose tratamiento anticoagulante.
Diez meses después, el paciente volvió a ser derivado a la unidad de oftalmología tras sufrir una nueva pérdida de visión en el ojo derecho acompañada de un intenso dolor periorbitario que no había desaparecido con un tratamiento de pregabalina. Su agudeza visual se había establecido contando dedos a 1 metro de distancia y la fundoscopia realizada había revelado la presencia de papiledema en el disco óptico, hemorragias retinianas y exudados algodón-lana. La tomografía de coherencia óptica (OCT) confirmó la presencia de edema macular cistoide, razón por la cual se prescribió un nuevo tratamiento antiangiogénico. Dos semanas después, acude a urgencias con un cuadro de ptosis completa en el párpado derecho. Los movimientos extraoculares habían quedado abolidos por completo lo cual empeoró la agudeza visual del paciente (Fig. 1). El paciente también presentaba defecto pupilar aferente relativo. Las hemorragias retinianas y el edema macular se mostraron persistentes y la OCT reveló la presencia de engrosamiento de las capas retinianas por oclusión arterial acompañada de trombosis venosa (Fig. 2).

Figura 2 Apariencia de edema macular cistoide (EMC) en la tomografía de coherencia óptica con fluido subretiniano asociado.
Ante la sospecha de SAO se realizó una resonancia magnética (MR) que no detectó ninguna masa apical; el único hallazgo de importancia fue una trombosis de la vena oftálmica. Realizamos un análisis completo para descartar procesos infecciosos e incorporamos corticosteroides intravenosos y carbamazepina oral al tratamiento con pregabalina.
Como el paciente no mejoró con el tratamiento con corticoides descartamos la posibilidad de pseudomotor orbitario o síndrome de Tolosa Hunt. Tampoco se observaron signos clínicos de mucormicosis y pocas probabilidades de trombosis del seno cavernoso o afectación por herpes zoster.
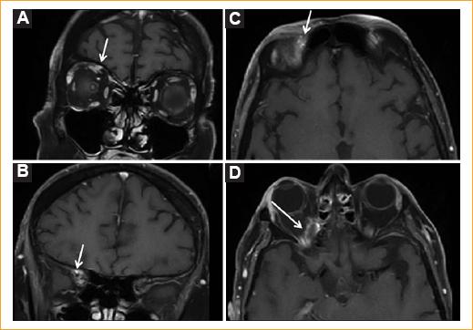
La segunda RM realizada un mes después de la primera reveló un engrosamiento del nervio frontal derecho desde la fisura superior orbitaria hasta el seno cavernoso (Fig. 3). Estos hallazgos, dentro del contexto clínico del paciente, llevaron al diagnóstico de infiltración carcinomatosa del nervio frontal derecho.

Figura 3 Técnicas de RM de alta resolución de cerebro y órbitas. A y B: las secciones coronales en secuencia T1 con FAT SAT con contraste con gadolinio muestran el engrosamiento del nervio frontal en su trayectoria intraorbitaria (A está en relación a los músculos y B a la trayectoria de la fisura orbitaria superior). C y D: secciones axiales en secuencia T1 con FAT SAT con contraste con gadolinio C: se aprecia el nervio engrosado en su trayectoria superior cerca del foramen supraorbitario y D: su trayectoria intraorbitaria.
El paciente fue derivado al oncólogo y recibió radioterapia local e infiltración de los ganglios de Gasser para controlar el dolor. La agudeza visual del ojo derecho no mejoró y se redujo a la percepción de la luz. No obstante, tanto la ptosis como los movimientos oculares sí mejoraron con la radioterapia. La agudeza visual del ojo izquierdo no se vio afectada y siguió siendo de 20/20. El paciente falleció 12 meses después del diagnóstico de SAO.
Discusión y conclusiones
El diagnóstico diferencial de un paciente con signos de SAO incluye la polineuropatía diabética, la trombosis del seno cavernoso, el síndrome de Tolosa Hunt, el pseudomotor orbitario, la mucormicosis, el herpes zoster y, en ciertos casos, la extensión carcinomatosa. El SAO puede ser amenazante para la vida y de ahí la importancia de un diagnóstico de sospecha clínica3-5,7.
El CCE cutáneo periorbitario puede invadir la órbita y la invasión perineural (IPN) lleva asociado un mal pronóstico. Los pacientes con un contexto clínico de CCE que son diagnosticados inicialmente de neuralgia del trigémino deben someterse a vigilancia periódica porque algunos podrían beneficiarse de un tratamiento precoz de la IPN antes de desarrollar SAO, que resulta confirmatorio del diagnóstico de extensión metastásica8-10.
La RM es la técnica de imágenes diagnóstica por excelencia para estudiar el ápex orbitario, pero puede llegar a pasar por alto esta patología en las fases iniciales de la enfermedad6,11,12. La agresividad de este caso de CCE que requirió 4 cirugía y tratamiento con radioterapia nos hace pensar en la posibilidad de extensión carcinomatosa, aunque la RM descartó este extremo al principio.
Los corticosteroides son útiles en la mayoría de los casos de SAO, pero su uso es controvertido en otros casos3,4,6. En nuestro paciente, la rápida evolución de los signos clínicos y las pocas probabilidades de etiología infecciosa nos hicieron decantarnos por un tratamiento intravenoso con la intención de minimizar las secuelas neurológicas. La falta de respuesta al tratamiento con corticosteroides reafirmó nuestras sospechas de SAO y una segunda RM vino a confirmarlas.
La radioterapia se asocia a una mayor supervivencia en pacientes con IPN y resulta una alternativa menos agresiva que la cirugía de exenteración en pacientes con un pronóstico vital corto1,2,13-15. Se observó una mejoría clínica de la ptosis en nuestro paciente, si bien la patología muscular y retiniana no cambió en modo alguno tras el tratamiento con radioterapia.
El diagnóstico de SAO se basa tanto en la sospecha clínica como en la confirmación mediante técnicas de imágenes. No obstante, en casos con signos clínicos claros y análisis y hallazgos de imágenes iniciales normales, la decisión de iniciar el tratamiento de forma precoz puede mejorar tanto el pronóstico como la calidad de vida del paciente.










nueva página del texto (beta)



