Introdución
Las metástasis coroideas (MC) se consideran actualmente como la tumoración intraocular maligna más frecuente del adulto1-5. Por estudios post mortem se cree que la prevalencia varía entre un 8% y un 10% en los pacientes con metástasis sistémicas2. Las MC tienen mayor frecuencia en el sexo femenino, con una edad promedio de 53 años y con antecedente de neoplasia2-5.
Los tumores que se han reportado con mayor riesgo de presentar metástasis coroideas son el cáncer de mama, aproximadamente en un 50% del total de los casos, y el cáncer pulmonar, en un 22-29%1-5. En la literatura universal se han documentado pocos casos de MC secundarias a adenocarcinoma de páncreas como primera manifestación de este cáncer6.
La sintomatología ocular ocasionada por las MC suele ser baja visual o visión borrosa en un 80%, miodesopsias o fotopsias en menos del 10%, fotofobia en un 5%, dolor ocular en menos del 5% e incluso un 30% de los pacientes pueden estar totalmente asintomáticos1-4.
Las manifestaciones clínicas oftalmológicas dependerán de múltiples factores, como el tipo de tumor primario y el nivel de invasión tumoral. Regularmente se observa una masa subrretiniana (72%), de coloración amarillenta (94%), asociada a líquido subrretiniano (73%)5. En promedio se presentan 1.6 lesiones de forma unilateral, involucrando el polo posterior, en la región macular y temporal al ecuador3-5.
El diagnóstico suele realizarse de manera multidisciplinaria; cuando existe el antecedente de neoplasia suele ser más sencillo y dirigido2. Si la forma de presentación es por la afectación ocular, suele ser más complejo y se realiza con estudios auxiliares oftalmológicos y sistémicos2-5. El diagnóstico diferencial de las MC incluye enfermedades retinianas inflamatorias e infecciosas, y otros tumores intraoculares7.
El tratamiento dependerá del tumor primario, de si hay otros sitios de metástasis, del grado de función visual y de las condiciones sistémicas del paciente2. El pronóstico para los pacientes con MC es malo; en general, la supervivencia varía de meses a 5 años1-5.
Caso clínico
Varón de 26 años sin antecedentes médicos ni oftalmológicos de importancia. Acude por presentar baja visual súbita de 20 días de evolución del ojo izquierdo (OI) asociada a fotofobia intensa y cefalea. Presentaba una agudeza visual del ojo derecho (OD) logMAR 0.0, con el OI cuenta dedos a 50 cm.
Los reflejos pupilares fotomotor y consensual se encontraban sin alteraciones en el OD y disminuidos en el OI. La visión cromática se evaluó por medio de las laminillas de Ishihara, obteniendo 8/8 en el OD y 0/8 en el OI. El segmento anterior de ambos ojos se encontraba sin alteraciones. La presión intraocular por medio de tonometría de Goldmann era de 12 mmHg en el OD y de 13 mmHg en el OI.
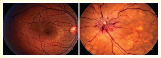
En el fondo de ojo se observó el OD sin alteraciones y en el OI coriorretinitis con infiltración del nervio óptico, con datos de desprendimiento de retina seroso localizado en el polo posterior (Fig. 1). Se le realizó angiografía con fluoresceína sódica, en la cual se detectaron dos datos de hiperfluorescencia del OI: fenómeno de fuga a nivel del disco óptico y fenómenos de acúmulo generalizado en el polo posterior. Se le realizó tomografía de coherencia óptica de dominio espectral macular, en la cual el OD se encontró sin alteraciones y el OI mostró datos de disrupción de la membrana limitante interna, pérdida de la línea elipsoide, puntos hiperreflécticos probablemente compatibles con los segmentos externos de los fotorreceptores, así como imagen de doble joroba en el epitelio pigmentario de la retina. Posteriormente se le realizó ultrasonido ocular en modos A y B (Fig. 2).

Figura 2 Ultrasonido ocular que muestra un desprendimiento de retina seroso, de la papila a la periferia de 360°, y una lesión coroidea en el polo posterior de mediana reflectividad, sin vascularidad que invada la esclera y la grasa orbitaria.
Por medio de laboratorios sistémicos se descartaron enfermedades infecto-contagiosas (VDRL [Venereal disease research laboratory], TORCH [toxoplasmosis, otras infecciones, rubéola, citomegalovirus, herpes], sífilis, citomegalovirus, Chikungunya, dengue y virus de la inmunodeficiencia humana). La biometría hemática mostró anemia leve y un patrón infiltrativo por las pruebas de funcionamiento hepático. El paciente presentaba una lesión en el cuero cabelludo, ulcerada, con secreción hemática y datos de necrosis, de aproximadamente de 3 × 3 cm, motivo por el cual se solicitó interconsulta al servicio de dermatología, donde realizaron una biopsia escisional de la lesión del cuero cabelludo, que se reportó como carcinoma anexial microquístico, probablemente secundario a otra tumoración.
A continuación fue valorado por el servicio de oncología médica, donde se decidió realizar una tomografía computarizada toracoabdominal con contraste, en la cual se observó un parénquima hepático heterogéneo con múltiples lesiones hipodensas, de distribución aleatoria, afectando el hígado y la cabeza del páncreas. Los marcadores tumorales sanguíneos mostraron unos valores de CA19-9 de 194,000 U/ml (valores de referencia: 0-37), antígeno carcinoembrionario de 568 ng/ml (valores de referencia: 0-3) y alfa-fetoproteína y antígeno prostático específico dentro de los valores normales. Se le realizaron una tomografía por emisión de positrones (Fig. 3) y una biopsia hepática (Fig. 4).

Figura 4 Biopsia de hígado por aguja gruesa infiltrada por adenocarcinoma de fenotipo pancreaticobiliar. Inmunomarcación positiva citoplasmática para CK20 y CK7, y nuclear para CDX2.
Debido al diagnóstico de adenocarcinoma de páncreas en estadio IV, con metástasis en hígado, tejido óseo y globo ocular, se le dio tratamiento con cinco ciclos de quimioterapia con el esquema m-FOLFIRINOX (oxaliplatino, ácido fólico, irinotecán bisemanal y 5-fluorouracilo). El pronóstico establecido de sobrevida del paciente es del 5% a 5 años.
Discusión
Son pocos los casos documentados en todo el mundo de MC secundarias a cáncer de páncreas. Presentamos el primer reporte de caso en un paciente mexicano.
Shields, et al.5 realizaron una de las revisiones más importantes de la literatura internacional sobre MC, en la cual describieron las características clínicas y los resultados de supervivencia de 2214 casos correspondientes a 1310 ojos de 1111 pacientes, de los cuales solo en ocho pacientes, todos de raza blanca (caucásicos), fueron secundarios a cáncer de páncreas, con una edad promedio de 66 años, el 75% mujeres, con presentación unilateral en el 88% y con coloración amarillenta y líquido subrretiniano, y el 63% tenía el antecedente de cáncer de páncreas.
En otro estudio, Shah, et al.4, en los Estados Unidos de América, reportaron cinco casos de MC por cáncer de páncreas, de los cuales cuatro eran mujeres, con edades > 40 años, y las características oftalmológicas más importantes que reportaron fueron la presentación unilateral, la lesión única de coloración amarillenta y el desprendimiento de retina seroso extenso. Todos los pacientes tenían el antecedente de cáncer de páncreas previo a las manifestaciones oftalmológicas.
Arango, et al.6, en Colombia, reportaron un caso clínico de una mujer de 58 años con pérdida visual como primera manifestación de cáncer de páncreas.
Considerando lo previamente descrito, nuestro paciente es un caso sumamente raro, debido a que no es frecuente que se presente baja visual como primera manifestación sistémica de cáncer de páncreas. De igual modo, la edad, el sexo y la raza de nuestro paciente son poco frecuentes en los casos de adenocarcinoma de páncreas sin signos sistémicos ni factores de riesgo de importancia para el desarrollo de la neoplasia. En general, la sobrevida de los pacientes con cáncer de páncreas a 5 años es menor del 7%, y en aquellos con tumores resecables aumenta a un 15-25%8.










nueva página del texto (beta)




