Introducción
Las neoplasias torácicas mediastinales se pueden presentar en los diferentes compartimentos de este (anterior, medio y posterior). A su detección, debe realizarse el diagnóstico diferencial de acuerdo con el compartimento afectado, basado en el conocimiento de la anatomía de las estructuras que lo constituyen y la epidemiología1.
Los tumores de células germinales no seminomatosos (TCGNS) primarios de mediastino son neoplasias inusuales con características histopatológicas similares a los originados en las gónadas2.
Dentro de los TCGNS se encuentran los teratomas, que a su vez se dividen en dos grandes grupos, maduros e inmaduros. De acuerdo con la Organización Mundial de la Salud (OMS), los teratomas de mediastino se presentan con mayor frecuencia en el compartimento anterior (prevascular), en segundo lugar, a nivel del timo y, rara vez, en el compartimento posterior. Representan < 10% de los tumores mediastinales, ocurren tanto en pacientes prepuberales como en adultos, sin predominio de sexo. Los teratomas puros representan el 60-93% de los tumores de células germinales (TCG) mediastinales en adultos y tanto los teratomas maduros como los inmaduros pueden estar asociados o no a otros TCG3.
Por definición, los teratomas maduros se caracterizan por tener componentes tisulares de dos o más capas del disco embrionario trilaminar, a saber, endodermo, mesodermo y/o ectodermo; y por ser histológicamente bien diferenciados4,5.
Su tratamiento estándar es la resección quirúrgica completa, destacando que por sus características biológicas se consideran tumores quimiorresistentes y radiorresistentes. Presentamos el caso de un paciente de mediana edad, con diagnóstico de teratoma maduro mediastinal irresecable3,4,6-9.
Presentación del caso
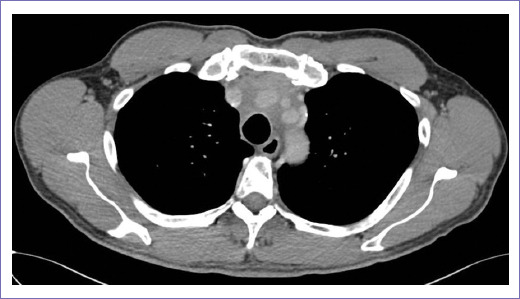
Paciente de sexo masculino de 55 años, dedicado a actividades agrícolas, con antecedente de exposición a pesticidas, fertilizantes y herbicidas. Niega consumo de alcohol o tabaco. Resto de antecedentes sin relevancia para el caso. Se valoró a paciente con antecedente de dos años con accesos de tos no productiva, que exacerbaba a la ingesta de líquidos, así como pérdida ponderal de 40 kg de peso. Previamente valorado por neumología, con tomografía computarizada (TC) de tórax realizada en junio de 2021 (Fig. 1), con reporte de tumor mediastinal, y dos tomas de biopsia con reportes histopatológicos no concluyentes. En julio de 2022 se realizó tercera toma de biopsia del tumor mediastinal, guiada por tomografía que reportó tejido muscular infiltrado por neoplasia con diferenciación cartilaginosa, con morfología sugerente de neoplasia benigna, a considerar teratoma. En agosto de 2021, se sesiona caso multidisciplinariamente y se considera irresecable, por lo que se envió a valorar manejo por radiooncología.

Figura 1 Tomografía computarizada simple y contrastada de tórax de junio del 2021. Corte axial donde se observa tumoración con densidad de tejidos blandos que envuelve el tronco braquiocefálico derecho, con oclusión subtotal.
En primera valoración se encontró al paciente con taquicardia, con frecuencia cardiaca de 101 lpm, peso corporal de 76 kg e índice de masa corporal de 23. Estado funcional por Escala de Karnofsky (KPS) del 90%. Con red venosa colateral en cuello derecho. Se decidió otorgar tratamiento de radioterapia hipofraccionada con la finalidad preoperatoria vs. paliativa. Se planeó tratamiento a dosis de 37.5 Gy en 15 fracciones, para otorgar 1 fracción/día, de lunes a viernes. La técnica utilizada fue radioterapia de intensidad modulada, con delimitación de volúmenes de tratamiento de acuerdo con la comisión internacional de unidades y medidas de radiación (ICRU) en su reporte número 83 (Figs. 2 y 3)10.

Figura 2 Tomografía computarizada simple de tórax de planeación de radioterapia de octubre del 2021 correspondiente con contorno de volumen de tratamiento, en la cual se observa tumoración mediastinal de densidad tejidos blandos, con ensanchamiento mediastinal en eje lateral.

Figura 3 Tomografía computarizada simple de planeación de tratamiento de octubre 2021. Representación gráfica de la distribución volumétrica de la dosis prescrita.
Al término del tratamiento con radioterapia, se encontró al paciente únicamente con radiodermitis G1, de acuerdo con la escala de Criterios de Terminología Común para Eventos Adversos Versión 5.0 (CTCAE v5.0), con buena tolerancia. Se envió a cirugía torácica, donde se consideró nuevamente tumor irresecable11.
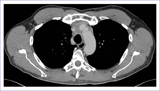
En diciembre de 2021 acudió a un mes del término de tratamiento con radioterapia, refiriéndose asintomático. Con signos vitales en parámetros de normalidad. Presentando radiodermitis G1 por CTCAE v5.0. En febrero de 2022 se realizó TC de tórax que reportó en mediastino anterior una lesión tumoral con densidad de tejidos blandos y calcificaciones gruesas que envuelve el tronco braquiocefálico derecho, carótida común izquierda y subclavia ipsilateral con calcificaciones gruesas localizadas en el espacio prevascular de menor tamaño y densidad, con reducción de 0.4 cm en su diámetro axial, comparado con estudio previo (Fig. 4).

Figura 4 Tomografía computarizada simple y contrastada de tórax de febrero 2022 de valoración de respuesta a tratamiento. Corte axial donde se observa tumoración con densidad de tejidos blandos que envuelve el tronco braquiocefálico derecho, sin ocluirlo, con reducción de 4 mm en diámetro axial.
En marzo de 2022 refirió tos en menor intensidad, mejoría en deglución de líquidos, así como persistencia de disfonía y disnea de medianos esfuerzos. Sin datos de esofagitis, dolor costal u otros relacionados con el tratamiento con radioterapia. A la exploración física, con ganancia ponderal de 6.5 kg, con signos vitales en parámetros de normalidad, sin datos clínicos de circulación venosa colateral en cuello y con mejoría clínica evidente.
En junio y octubre de 2022 se realizan TC de tórax, que se reportan como enfermedad estable (Figs. 5 y 6). En noviembre de 2022 presentó mejoría en patrón de actividad física, persistiendo disnea de grandes esfuerzos. Hasta esta valoración, sin síntomas de neumonitis. A la exploración física, se encontró sin alteraciones en signos vitales, con peso corporal de 80 kg y KPS del 80%. Sin datos de red venosa colateral. Por presentar adecuada evolución clínica con esquema de radioterapia hipofraccionada, se planeó continuar seguimiento estrecho.
Discusión
Ante la presentación clínica de este paciente, cuyo tumor se consideró irresecable por consenso multidisciplinario, se optó por considerar el tratamiento con radioterapia como alternativa, cumpliendo con la intención paliativa de esta, presentando respuesta imagenológica parcial y mejoría clínica, aunque la evidencia científica más sólida no recomienda esta opción de tratamiento9.
En este caso no puede descartarse que la tumoración del paciente haya tenido componente germinal mixto, ya que no fue sometido a resección quirúrgica completa. Si ese fuera el caso, existe evidencia que sustenta una mayor radiosensibilidad en TCG indiferenciados12.
En cuanto a las características por imagen, las imágenes de cortes transversales mediante TC, resonancia magnética y ultrasonografía permiten la identificación de diferentes elementos dentro de estos tumores, incluidos los tejidos blandos, los líquidos, la grasa y el calcio. En este paciente, mediante TC, se documentó un tumor mediastinal en el compartimento anterior, con densidad de tejidos blandos, en los cuales se apreció mayor involución tumoral tras el tratamiento con radioterapia, así como calcificaciones gruesas envolviendo al tronco braquiocefálico derecho, carótida común izquierda y subclavia ipsilateral con calcificaciones gruesas localizadas en el espacio prevascular, características propias de los teratomas maduros reportadas ampliamente en la literatura, a excepción del componente quístico, que en nuestro paciente no se documentó13.
Por otro lado, la valoración histopatológica a su llegada al hospital donde recibió tratamiento definitivo concuerda con la definición de teratoma maduro, siendo su composición tejido muscular infiltrado por neoplasia cartilaginosa. Radiobiológicamente, de acuerdo con el modelo cuadrático lineal (LQ), estos tejidos poseen una relación α/β de aproximadamente 3.5 Gy (0.7-6.2 con intervalo de confianza del 95%)14, lo cual significaría que recibió una dosis biológica efectiva (BED) mayor a la dosis nominal, como se expresa a continuación:
BED = nd [1 + d/(α/β)]
BED = (15) (2.5) [1 + 2.5/(3.5)]
BED (3.5 Gy) = 64.29 Gy
Donde: BED = dosis biológica efectiva; n = número de fracciones; d = dosis por fracción; α/β = relación que expresa la dosis a la que el componente lineal de muerte celular equivale al componente cuadrático, en el modelo LQ; Gy = dosis de radiación absorbida14.
Si bien históricamente los TCGNS se han clasificado como tumores radiorresistentes, la evidencia existente es escasa, dada su baja incidencia, consistiendo en series y reportes de casos, que en su mayoría datan del siglo pasado o inicios del actual, en los cuales las técnicas de radioterapia descritas son consideradas obsoletas. Actualmente, con las técnicas más modernas, sin condicionar riesgos para el paciente, es posible brindar tratamientos con radioterapia hipofraccionada, así como una mayor entrega de dosis al tumor, con alta precisión, permitiendo restringir adecuadamente la dosis que reciben los órganos en riesgo9.
Conclusiones
El tratamiento estándar de los teratomas maduros es la resección quirúrgica completa. En caso de presentación clínica que no permita este abordaje, el manejo con radioterapia hipofraccionada podría representar una alternativa terapéutica segura y efectiva para el tratamiento de tumores mediastinales irresecables, con mejor perfil de seguridad que otras opciones terapéuticas. Si bien la finalidad del tratamiento en este caso fue paliativa, se alcanzó respuesta parcial objetiva por imagen, así como evidente mejoría valorada clínicamente y reportada por el paciente.










nueva página del texto (beta)




