SciELO - Scientific Electronic Library Online

 
vol.22 suppl.1Tumor gástrico subepitelial. Presentación de un caso y revisión de la literaturaAmpulectomía transduodenal por adenoma velloso índice de autoresíndice de materiabúsqueda de artículos
Home Pagelista alfabética de revistas  

Servicios Personalizados

Revista

Articulo

Indicadores

Links relacionados

  • No hay artículos similaresSimilares en SciELO

Compartir


Gaceta mexicana de oncología

versión On-line ISSN 2565-005Xversión impresa ISSN 1665-9201

Gac. mex. oncol. vol.22  supl.1 Ciudad de México jul. 2023  Epub 11-Sep-2023

https://doi.org/10.24875/j.gamo.22000145 

Clinical cases

Immunopathological evaluation of oral squamous cell carcinomas: a case series

Evaluación inmunopatológica de carcinomas orales de células escamosas: serie de casos

Vinícius G. de Souza1 

Damilys J. Santos2 

Tatiana S. Araújo2 

Ana G. Silva3 

Rosy I. Ribeiro3 

Adriano M. Loyola4 

Sérgio V. Cardoso4 

Carla S. Siqueira-Miranda1  2  5  * 

Ludimila P. Cardoso1  5 

1Special Academic Unit of Health Sciences, Federal University of Jataí, Jataí, Goiás

2Stomatological Diagnostic Clinic of Southwest Goiás (ADESGO), Federal University of Jataí, Jataí, Goiás

3Medical Course, Experimental Pathology Laboratory, Federal University of São João del-Rei, São João del-Rei, Minas Gerais

4Faculty of Dentistry, Oral Pathology, Federal University of Uberlândia, Uberlândia, Minas Gerais

5Sciences Applied to Health, Federal University of Jataí, Jataí, Goiás. Brazil


Abstract

The evaluation of the expression of programmed cell death protein (PD-L1) is an eligibility criterion for anti-PD-L1 immunotherapy in oral squamous cell carcinoma (OSCC). Other components of tissue microenvironment should also be evaluated. Here, four cases of oral squamous cells carcinoma were reported. Histopathological analysis of tumor grade and TILs and immunohistochemistry for CD4, CD8, and PD-L1 was done. The cases were classified according to the tissue microenvironment in adaptive immune resistance, immunological ignorance, tolerance, or intrinsic induction. This analysis highlights the importance of understanding the immunological microenvironment that the OSCC can present for the identification of more effective therapeutic targets against the disease.

Keywords Immunotherapy; Oral neoplasms; Tumor microenvironment

Resumen

La evaluación de la expresión del ligando 1 de muerte programada (PD-L1) es un criterio de elegibilidad para la inmunoterapia anti-PD-L1 en el carcinoma oral de células escamosas (COCE). También deben evaluarse otros componentes del microambiente tisular. Aquí se informaron cuatro casos de carcinoma de células escamosas orales. Se realizaron análisis histopatológicos del grado tumoral y TIL (infiltrado inflamatorio asociado a tumor) e inmunohistoquímica para CD4, CD8 y PD-L1. Los casos se clasificaron según el microambiente tisular en resistencia inmunitaria adaptativa, ignorancia inmunológica, tolerancia o inducción intrínseca. Este análisis destaca la importancia de comprender el microambiente inmunológico que puede presentar el COCE para la identificación de dianas terapéuticas más eficaces contra la enfermedad.

Palabras clave Inmunoterapia; Neoplasias orales; Microambiente tumoral

Introduction

Oral squamous cell carcinoma (OSCC), the most common site of head-and-neck squamous cell carcinoma, is clinically characterized as a persistent ulcer, with hardening and peripheral infiltration, which may or may not be associated with erythematous and/or leukoplastic spots. In the context of OSCC, several studies highlighted the importance of immune system evaluation in diagnosis, prognosis, and therapeutic approaches1-4.

The immune system plays an important role in controlling tumor progression and growth, in addition to contributing to the effectiveness of some therapies through the immunogenic induction of tumor death. In the tumor microenvironment, there are several types of cells, molecules and cytokines that have important effects on this progression. These immune infiltrates are highly heterogeneous, not only between tumor types, but also between different patients with the same type of neoplasia2,5,6.

The programmed cell death protein (PD-1) molecule, a constituent of the family of regulatory molecules of the adaptive immune system, exerts an inhibitory effect on several immune cells. The main ligand of PD-1, PD-L1, is expressed in dendritic cells, macrophages, T, B cells, and neoplastic cells7.

In 2016, the Food and Drug Administration approved two anti-PD-1 monoclonal antibodies – nivolumab and pembrolizumab – for the treatment of refractory and metastatic OSCC associated with other therapies3,8. Subsequently, in 2019, pembrolizumab was approved as monotherapy for neoplasms with combined expression of PD-L1 in tumor and immune cells ≥ 1% (combined positive score [CPS])2.

Although the evaluation of the presence of the PD-L1 inhibitory molecule in tumor cells is a predictive factor for the selection of patients who could benefit from anti-PD-1/PD-L1 immunotherapy, not all patients with this expression have a good response to treatment6. On the other hand, authors reported that even patients with no expression of PD-L1 on the surface of tumor cells benefited from nivolumab immunotherapy9. Thus, the analysis of the tumor microenvironment must be carried out comprehensively and in other contexts in addition to the presence of PD-L1, such as intrinsic genetic factors of carcinoma, type of neoplasia, and cellular infiltrate10.

The analysis of the interaction between carcinoma and tumor infiltrating lymphocytes (TILs) is also an important and necessary part to understand the immunogenicity of the tumor. Although challenging, the evaluation of the number of TILs and the profile of the infiltrated cells can contribute as a marker of response to immunotherapy6.

Considering that, this paper aims to report four cases of OSCC and discuss, according to Teng et al.5 and Ock et al.6, the profile of the tissue microenvironment present in the evaluated samples and, thus, which cases could benefit from anti-PD-1/PD-L1 immunotherapy.

Case report

Four cases of OSCC were selected from a specialized stomatology service, with access to sociodemographic, clinical, and histopathological data.

Histopathological analysis and immunohistochemical analysis for PD-L1, CD4, and CD8 molecules were performed according to protocol described by our group1.

For the evaluation of the tumor microenvironment, malignant neoplasms were analyzed according to the presence of TILs and PD-L1 and, classified into four groups: PD-L1+/TILshigh/CD8high; PD-L1-/TILslow/CD8low; PD-L1+/TILslow/CD8low; and PD-L1-/TILshigh/CD8high5,6.

Case 1

Male patient, 70 years old, white, smoker, had an ulcerated and painless lesion on his lower lip. In addition to the lip injury, he also had a highly invasive squamous cell carcinoma in his right wrist. Incisional biopsy was performed and, on histopathological examination, moderately differentiated squamous cell carcinoma was observed, characterized by: the presence of tissue that was sometimes ulcerated or covered by stratified squamous epithelium, with loss of epithelial stratification. Part of this tissue infiltrated toward the connective tissue, with the presence of pleomorphic cells, nuclear hyperchromatism, evident nucleoli, dyskeratoses, corneal pearls, and atypical mitoses permeated by TILhigh (Fig. 1A). Immunohistochemical analysis revealed low frequency of CD4+ cells located predominantly in the tumor stroma region (Fig. 1B) and high frequency of CD8+ cells located predominantly around the tumor (Fig. 1C), and immunoexpression of PD-L1 (CPS ≥1%) (Fig. 1D) with membrane marking of tumor cells and immunostaining of membrane and cytoplasmic immune cells.

Figure 1 Case 1. A: High density of TILs in Hematoxylin and Eosin stain. B: Low frequency of CD4+ cells, C: High frequency of CD8+ cells and D: Expression of PD-L1 in tumor and immune cells. Scale: 50 μm. 

Case 2

Female patient, 76 years old, white ethnicity, smoker, presented painless lesion in the lower left alveolar ridge. An incisional biopsy was performed and, on histopathological examination, a poorly differentiated squamous cell carcinoma was observed, characterized by: intense pleomorphism, dyskeratosis, nuclear hyperchromatism, atypical mitoses, invasion of underlying tissue, hemorrhagic areas, mild chronic inflammatory infiltrate, and TILs (Fig. 2A). Immunohistochemical analysis revealed the absence of PD-L1 expression and low frequency of CD4+ (Fig. 2B) and CD8+ cells (Fig. 2C), located mainly in the tumor stroma region and around the tumor, respectively.

Figure 2 Case 2. A: Low density of TILs in Hematoxylin and Eosin stain. B: Low frequency of CD4+ cells and C: Low frequency of CD8+ cells. Scale: 50 μm. 

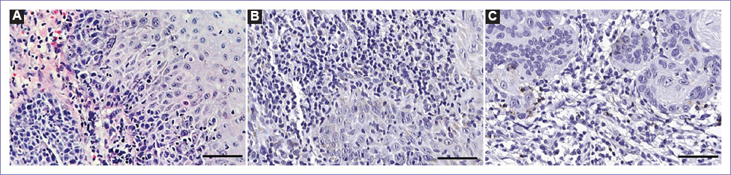
Case 3

Male patient, 79 years old, white ethnicity, smoker, had an upper lip lesion. Histopathological examination revealed a moderately differentiated carcinoma characterized by: neoplastic epithelial tissue whose cells morphologically proved to be pleomorphic, multinucleated, hyper-chromatic; nests of neoplastic cells in the depth of the tissue exhibited formation of keratin pearls; in the lamina propria and reticular, the dense fibrous connective tissue was permeated by moderate inflammatory infiltrate, mainly in the subepithelial region and TILslow (Fig. 3A). The immunohistochemical analysis revealed low frequency of CD4+ cells (Fig. 3B) and CD8+ cells (Fig. 3C), both located predominantly around the tumor, and immunoexpression of PD-L1 (CPS ≥1%) (Fig. 3D) with only membrane marking of tumor cells and immunomarking both membrane and cytoplasmic of immune cells.

Figure 3 Case 3. A: Low density of TILs in Hematoxylin and Eosin stain. B: Low frequency of CD4+ cells, C: Low frequency of CD8+ cells and D: Expression of PD-L1 with predominance in tumor cells. Scale: 50 μm. 

Case 4

Male patient, 87 years old, white ethnicity, smoker, presented lesion in the lower lip. Histopathological examination revealed a poorly differentiated carcinoma characterized by: fragment of mucosa sometimes coated with keratinized pavy epithelium, sometimes ulcerated; presence of nests, islands, and epithelial cells invading the underlying tissue with pleomorphic, hyperchromatic characteristics and little differentiation; salivary glands with intense inflammation and hyperemia; intense muscular and neural invasion of undifferentiated cells, intense inflammatory infiltrate, and TILshigh (Fig. 4A). Immunohistochemical analysis revealed absence of PD-L1 expression, high frequency of CD4+ cells (Fig. 4B) located predominantly in the stromal region and around the tumor and high frequency of CD8+ cells (Fig. 4C), located predominantly in the stromal region.

Figure 4 Case 4. A: High density of TILs in Hematoxylin and Eosin stain. B: High frequency of CD4+ cells and C: High frequency of CD8+ cells. Scale: 50 μm. 

Discussion

As the isolated evaluation of PD-L1 expression is not able to predict the clinical outcome, the combination with other indicators, such as lymphocyte diversity, including the presence of CD4+ and CD8+ cells11, study and the microenvironment surrounding the tumor and surrounding tissue are needed to improve response in larger patient populations2.

The expression of PD-L1 in tumor cells can be regulated by several mechanisms. In the extrinsic pathway, an antitumor cellular immune response is driven by NK and CD8+ cells, mainly inducing the production of IFN-γ, which induces the activation of molecular pathways that lead to increased expression of PD-L1 in these cells12. As an example, it is inferred that in Case 1, an adaptive induction occurred due to the high presence of CD8+ cells in the tumor microenvironment that, through IFN-γ, induces the expression of the PD-L1 molecule3,13. The expression of PD-L1 in tumor cells and immune cells supports this hypothesis. Thus, the microenvironment of Case 1 would be favorable to the indication of immunotherapy with anti-PD-L1, since the inhibitory pathway block, associated with the high infiltration of CD8+ cells, could contribute to a better antitumor response.

In case 4, there is an intense infiltration of TILs, CD4+ and CD8+ cells, in the absence of PD-L1 expression, initially suggesting tumor immunogenicity. Sathiyasekar et al.14 point out that the higher density of infiltration of mononuclear cells related to carcinoma is associated with greater cytotoxic activity of lymphocytes and with a better prognosis for OSCC patients. On the other hand, it was showed that, despite being present, CD8+ T cells showed reduced cytotoxic action and low IFN-γ production in lesions and peripheral blood, suggesting less effectiveness in the immune response or in the regulatory activity in OSCC cases4.

In addition to the above, the assessment of the presence of regulatory T cells (Treg), which play a crucial role in the modulation and reduction of immune responses, may be important in Case 415. Thus, in Case 4, further analyzes could be performed to better characterize the lesion, including the expression of other regulatory molecules, such as cytotoxic T-lymphocyte-associated protein 4, T-cell immunoreceptor with immunoglobulins and ITIM domains, Indoleamine 2-3-dioxigenase, TGF-β, IL-10, and the presence of Treg cells.

Another mechanism by which the expression of PD-L1 in tumor cells can be modulated is by an intrinsic pathway in which certain oncogenic signaling pathways present in the neoplastic cell lead to overexpression of PD-L1, such as changes in the PTEN gene and mutations in the epidermal growth factor receptor16. This high expression of PD-L1 in tumor cells, together with other molecules and soluble inhibitory factors, can prevent the function of TILs and decrease their amount in the tumor microenvironment17. This is observed, for example, in Case 3, in which the expression of PD-L1, in the presence of low infiltrates of TILs and CD8 cells, suggests an intrinsic induction, inhibiting the proliferation and activation of effector cells. In this case, only PD-L1 positivity cannot be considered a predictive factor for a good response to anti-PD-1/PD-L1 immunotherapy as a single agent.

Regarding the tumor microenvironment in Case 2, it was characterized as immunologically ignorant, since the expression of PD-L1 was absent and T CD4+, T CD8+, and TILs cells presented in a low frequency. For this microenvironment, a poor prognosis is predicted based on the lack of detectable immune reaction and, in the absence of immune infiltrate, a low response to immunotherapy with anti-PD1/PD-L1. Considering that, other immunotherapeutic approaches should be considered5.

Conclusions

Despite advances in the description of predictive factors for immunotherapy in OSCC, the immunoexpression of PD-L1 is the only biomarker validated so far to be defined as a standard of treatment. Understanding the microenvironmental complex that involves malignant neoplasia can clarify doubts and questions about combinations of therapeutic approaches and, thus, improve the prognosis of these patients. Stratifying the tumor microenvironment based on the presence of PD-L1/CD8+/TILs is probably a modest method of knowing the vast tumor universe, but it can be efficient in the eligibility for anti-PD-L1 immunotherapy.

References

1. de Souza VG, Santos DJ, Silva AG, de Azambuja Ribeiro RI, Loyola AM, Cardoso SV, et al. Immunoexpression of PD-L1, CD4+and CD8+cell infiltrates and tumor-infiltrating lymphocytes (TILs) in the microenvironment of actinic cheilitis and lower lip squamous cell carcinoma. J Appl Oral Sci. 2022;30:e20210344. [ Links ]

2. Cohen EE, Bell RB, Bifulco CB, Burtness B, Gillison ML, Harrington KJ, et al. The society for immunotherapy of cancer consensus statement on immunotherapy for the treatment of squamous cell carcinoma of the head and neck (HNSCC). J Immunother Cancer. 2019;7:184. [ Links ]

3. Kim HR, Ha SJ, Hong MH, Heo SJ, Koh YW, Choi EC, et al. PD-L1 expression on immune cells, but not on tumor cells, is a favorable prognostic factor for head and neck cancer patients. Sci Rep. 2016;6:36956. [ Links ]

4. de Souza Malaspina TS, Gasparoto TH, Costa MR, de Melo EF Jr., Ikoma MR, Damante JH, et al. Enhanced programmed death 1 (PD-1) and PD-1 ligand (PD-L1) expression in patients with actinic cheilitis and oral squamous cell carcinoma. Cancer Immunol Immunother. 2011;60:965-74. [ Links ]

5. Teng MW, Ngiow SF, Ribas A, Smyth MJ. Classifying cancers based on T-cell infiltration and PD-L1. Cancer Res. 2015;75:2139-45. [ Links ]

6. Ock CY, Keam B, Kim S, Lee JS, Kim M, Kim TM, et al. Pan-cancer immunogenomic perspective on the tumor microenvironment based on PD-L1 and CD8 T-cell infiltration. Clin Cancer Res. 2016;22:2261-70. [ Links ]

7. Barroso DH, Falcão SD, da Motta J, Santos LL, Takano GH, Gomes CM, et al. PD-L1 may mediate T-Cell exhaustion in a case of early diffuse leishmaniasis caused by Leishmania (L.) amazonensis. Front Immunol. 2018;9:1021. [ Links ]

8. Cohen EE, Soulières D, Le Tourneau C, Dinis J, Licitra L, Ahn MJ, et al. Pembrolizumab versus methotrexate, docetaxel, or cetuximab for recurrent or metastatic head-and-neck squamous cell carcinoma (KEYNOTE-040):a randomised, open-label, phase 3 study. Lancet. 2019;393:156-67. [ Links ]

9. Ferris RL, Blumenschein GJ, Fayette J, Guigay J, Colevas AD, Licitra L, et al. Nivolumab vs investigator's choice in recurrent or metastatic squamous cell carcinoma of the head and neck:2-year long-term survival update of CheckMate 141 with analyses by tumor PD-L1 expression. Oral Oncol. 2018;81:45-51. [ Links ]

10. Ribas A, Hu-Lieskovan S. What does PD-L1 positive or negative mean?J Exp Med. 2016;213:2835-40. [ Links ]

11. Wang X, Teng F, Kong L, Yu J. PD-L1 expression in human cancers and its association with clinical outcomes. Onco Targets Ther. 2016;9:5023-39. [ Links ]

12. Gonçalves AS, Mosconi C, Jaeger F, Wastowski IJ, Aguiar MC, Silva TA, et al. Overexpression of immunomodulatory mediators in oral precancerous lesions. Hum Immunol. 2017;78:752-7. [ Links ]

13. Chen S, Crabill GA, Pritchard TS, McMiller TL, Wei P, Pardoll DM, et al. Mechanisms regulating PD-L1 expression on tumor and immune cells. J Immunother Cancer. 2019;7:305. [ Links ]

14. Sathiyasekar AC, Chandrasekar P, Pakash A, Kumar KU, Jaishlal MS. Overview of immunology of oral squamous cell carcinoma. J Pharm Bioallied Sci. 2016;8:S8-2. [ Links ]

15. Facciabene A, Motz GT, Coukos G. T-regulatory cells:key players in tumor immune escape and angiogenesis. Cancer Res. 2012;72:2162-71. [ Links ]

16. Concha-Benavente F, Srivastava RM, Trivedi S, Lei Y, Chandran U, Seethala RR, et al. Identification of the cell-intrinsic and-extrinsic pathways downstream of EGFR and IFNg that induce PD-L1 expression in head and neck cancer. Cancer Res. 2016;76:1031-43. [ Links ]

17. Dong Y, Sun Q, Zhang X. PD-1 and its ligands are important immune checkpoints in cancer. Oncotarget. 2017;8:2171-86. [ Links ]

FundingThis research had not received any specific grants from agencies in the public, commercial, or for-profit sectors.

Ethical disclosures

Protection of human and animal subjects. The authors declare that the procedures followed were in accordance with the regulations of the relevant clinical research ethics committee and with those of the Code of Ethics of the World Medical Association (Declaration of Helsinki).

Confidentiality of data. The authors declare that they have followed the protocols of their work center on the publication of patient data.

Right to privacy and informed consent. The authors have obtained the written informed consent of the patients or subjects mentioned in the article. The corresponding author is in possession of this document.

Received: December 12, 2022; Accepted: December 14, 2022

* Correspondence: Carla S. Siqueira-Miranda E-mail: carlassiqueira@ufj.edu.br

Conflicts of interests

The authors declare no conflicts of interest.

Creative Commons License Sociedad Mexicana de Oncología. Published by Permanyer. This is an open ccess article under the CC BY-NC-ND license