Introducción
El adenocarcinoma gástrico primario es el tercer cáncer más letal del mundo1. Suele afectar a la población entre la 6.a y 7.a década de la vida2.
En los pacientes pediátricos es más frecuente encontrar sarcomas de tejidos blandos y linfomas3. Los tumores primarios del tracto gastrointestinal son extremadamente raros, representan aproximadamente el 5% de todas las neoplasias malignas en niños y adolescentes y constituyen el 0.05% de los tumores malignos del estómago en general4.
Suelen presentarse en estadios clínicos avanzados en el momento del diagnóstico, debido a la extrema rareza de su presentación, la falta de sospecha clínica y sus síntomas atípicos, por lo que su pronóstico es limitado5.
Presentamos el caso de un paciente varón de 17 años, sin antecedentes médicos, diagnosticado de adenocarcinoma de la unión gastroesofágica, el cual se presentó con un cuadro de pérdida de peso, dolor abdominal y anemia.
Reporte de caso
Un varón de 17 años, sin antecedentes médicos de relevancia, que inició su cuadro actual en mayo de 2021 presentando fatiga, hipodinamia e hipertermia, siendo ingresado en el área de pediatría de un hospital de primer contacto. Se negaron antecedentes heredofamiliares de cáncer. Al examen físico se encontraba afebril, con frecuencia cardiaca de 90 latidos/minuto, presión arterial de 110/60 mmHg, frecuencia respiratoria de 18 respiraciones/minuto. Los estudios de laboratorio iniciales mostraban una hemoglobina de 9.2 g/dl, un recuento de glóbulos blancos de 8 x109/l y un recuento de plaquetas de 450 x103/mm3. Se administraron suplementos de hierro para la anemia y fue dado de alta. Tres semanas después el cuadro clínico empeoró, añadiendo palidez y taquicardia. Fue ingresado en urgencias en nuestro hospital. Sus constantes vitales mostraban una frecuencia cardiaca de 115 latidos/minuto, presión arterial de 120/60 mmHg, frecuencia respiratoria de 24 respiraciones/minuto, a la exploración física estaba pálido, enfermo, deshidratado, la exploración abdominal mostraba un abdomen blando y laxo, sin masas palpables ni visceromegalias. Se solicitaron pruebas de laboratorio y se informó de una hemoglobina de 6 g/dl, se solicitó transfusión de sangre y se realizó una prueba de sangre oculta en heces, que mostró un resultado positivo.
Tras estabilizar los valores de laboratorio, el paciente fue enviada o a un gastroenterólogo, quien decidió realizar una endoscopia, en la que se informó de un tumor de crecimiento intraluminal en la unión gastroesofágica que se extendía hacia la curvatura menor del fondo y cuerpo gástrico. Se tomaron biopsias de la lesión y se reportó adenocarcinoma gástrico poco diferenciado (Fig. 1).
Se solicitó una tomografía computarizada toracoabdominal contrastada para la estadificación. Se informó de un engrosamiento mural en la curvatura menor del estómago con aspecto infiltrativo asociado a una masa periférica sugestiva de un conglomerado ganglionar, sin otras lesiones sugestivas de afectación a otros sistemas (Fig. 2A).

Figura 2 A y B: Imagen tumoral, vista por estudios de extensión (tomografía computarizada y tomografía por emisión de positrones).
Se complementaron los estudios realizando un tomografía por emisión de positrones que reportó únicamente la masa hipermetabólica a nivel de la unión gastroesofágica con actividad metabólica de 15.9 SUV en relación con proceso neoplásico primario con una lesión exofítica de 2.9 cm con actividad de 12.3 SUV asociada a una masa periférica sugestiva de conglomerado ganglionar (Fig. 2B).
Se remitió a oncología médica, que le administró dos ciclos de quimioterapia con fluorouracilo, leucovorina, oxaliplatino y docetaxel (FLOT), al mismo tiempo que se sometió a radioterapia, recibiendo 25 ciclos.
Al final de la radioterapia, se decidió enviarlo a quirófano, donde se le practicó una laparotomía exploratoria, y no se evidenciaron focos de metástasis. Se realizó gastrectomía total, cerrando el muñón duodenal con grapadora lineal, se disecaron ganglios linfáticos de los niveles I, II, III, IV, V y VI y se llevó a cabo anastomosis de yeyuno, transmesocólica a 50 cm del ángulo de Treitz, al esófago (Fig. 3).

Figura 3 Producto de gastrectomía total + disección de niveles ganglionares I-VI. Anastomosis yeyuno-esofágica, con asa transmesocólica.
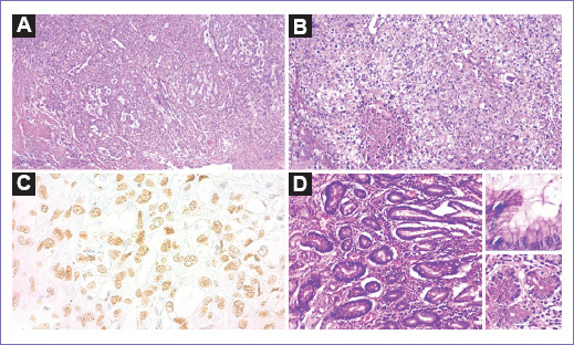
La pieza se envío a estudio anatomopatológico y fue determinada como un adenocarcinoma gástrico de tipo mixto (tubular y hepatoide) moderadamente diferenciado, con márgenes de pieza libres de neoplasia. De todos los niveles ganglionares estudiados, se reportaron únicamente en nivel I 3/10 ganglios y en nivel II 1/3 ganglios, positivos para metástasis. Se practicaron a su vez marcadores de inmunohistoquímica: RISH EBV, MLH1, MSH2, MSH6, PMS2, presentando positividad nuclear, negativos para inestabilidad microsatelital (Fig. 4).

Figura 4 A: adenocarcinoma moderadamente diferenciado con formación de estructuras tubulares (hematoxilina-eosina 4x). B: adenocarcinoma moderadamente diferenciado con patrón hepatoide y áreas de necrosis (hematoxilina-eosina 10x). C: tinción de inmunohistoquímica MSH2 con positividad nuclear, negativo para inestabilidad microsatelital (40x). D: gastritis crónica con metaplasia intestinal completa asociada a la presencia de Helicobacter pylori (hematoxilina-eosina 10x, 10x y 40x).
El paciente se recuperó sin eventualidades y se inició la alimentación oral al 7.o día postoperatorio. Fue dado de alta 10 días después de la cirugía, sin eventualidades, con seguimiento por oncología médica.
Discusión
El adenocarcinoma gástrico primario suele aparecer entre la quinta y la séptima década de la vida y es una de las principales causas de muerte por enfermedad maligna en adultos. El pronóstico de supervivencia a cinco años se estima solo en un 30% aproximadamente6. En pacientes pediátricos es extremadamente raro y representa el 0.05% de los cánceres gástricos. Su pronóstico suele ser malo, ya que inicia con síntomas inespecíficos o como síndromes gripales7 y no hay sospecha clínica en el primer examen médico, por lo que en el momento del diagnóstico suele encontrarse en estadios clínicos avanzados. Además, los estudios han demostrado que la incidencia de adenocarcinoma gástrico es mayor en la población hispana. El tiempo medio de supervivencia es de tres a cinco meses8.
Los médicos deben considerar la posibilidad de un cáncer gástrico en los pacientes que tienen antecedentes familiares o que presentan síntomas de úlcera gástrica que no mejoran con el tratamiento médico.
El tratamiento quirúrgico radical, que incluye gastrectomía total y linfadenectomía de al menos el nivel II, debe considerarse el pilar principal de la terapia y la única posibilidad de supervivencia a largo plazo9.
Conclusión
El adenocarcinoma gástrico primario en pediatría es extremadamente raro, sin embargo debe ser considerado entre los diagnósticos diferenciales en pacientes que se presentan con pérdida de peso inexplicable, intolerancia oral, saciedad temprana, dolor abdominal de larga evolución, melena o hematemesis. Con este trabajo presentamos el primer caso reportado de adenocarcinoma gástrico de la unión gastroesofágica en un paciente pediátrico en México.










nueva página del texto (beta)



