Introducción
El dermatofibrosarcoma protuberans (DFSP) es un sarcoma de piel infrecuente, que representa el 1% de los sarcomas de tejidos blandos, con una incidencia de 0.8 a 5 casos por millón de habitantes anualmente. La edad media del diagnóstico es de los 20 a los 59 años, pero también han sido descritos casos congénitos y pediátricos1. Existe una ligera predominancia del sexo masculino. Se calcula que del 80 al 90% son de bajo grado y menos del 3% dan lugar a metástasis, sin embargo, las recaídas locales son comunes debido a su carácter infiltrativo y estas se asocian con una morbilidad significativa. Los pacientes con diagnóstico de DFSP cuentan con una supervivencia global a los cinco años muy alta, cerca del 99%2. Aproximadamente el 10% de los DFSP tienen el antecedente de un trauma previo, cicatriz de cirugía o quemadura, e incluso inmunizaciones en el sitio de la enfermedad, aunque no se ha encontrado una evidente relación causal3.
Las características histopatológicas del DFSP han sido bien descritas: infiltración de fascículos y células fusiformes, con difusa expresión de CD34. Las células presentes en el DFSP usualmente muestran características de un retículo endoplasmático grueso en los fibroblastos, similares a los dendrocitos dérmicos, con un núcleo en forma de huso y lobulado. Esta tumoración mal delimitada se infiltra difusamente en toda la dermis y se extiende al tejido celular subcutáneo4.
El DFSP es una neoplasia dérmica profunda, su crecimiento es asimétrico, con proyecciones en forma de dedos, la extensión lateral o profunda es impredecible y puede variar de 0.3 a 12 cm sobre el borde macroscópico1. El tamaño de la lesión es variable, desde 2 hasta 30 cm4. El aspecto clínico dependerá del tiempo de evolución, ya que normalmente se trata de un tumor de crecimiento lento. En el adulto, la forma más común de presentación es una placa de gran tamaño, con múltiples nódulos en su superficie; en el niño son más comunes las formas no protuberans, con placa de morfea y en los casos congénitos con una placa de atrofodermia o tipo malformación vascular2.
Molecularmente, el DFSP se caracteriza por una traslocación que involucra a los cromosomas 17 y 22, que conduce a la formación de transcriptores de fusión del colágeno tipo 1 alfa 1 y el factor de crecimiento derivado de plaquetas subunidad beta (COL1A1-PDGFB)4. Esta fusión proteínica causa una activación continua del receptor beta tirosina cinasa PDGF, que promueve un crecimiento celular del DSFP1.
El DFSP cuenta con múltiples variantes histológicas: mixoide, pigmentado, atrófico, fibroblastoma de células gigantes y el DFSP con cambios fibrosarcomatosos (DFSP-FS). Este último ha recibido particular atención debido a su capacidad de diseminación hematógena, representando del 7 al 16% de los DFSP diagnosticados. El DFSP-FS se diferencia del DFSP clásico por un cambio abrupto o gradual de la arquitectura estoriforme a fascicular o a forma de herradura, por su incrementada celularidad, atípica citología, actividad mitótica y su rara expresión de CD34. Asimismo, presenta mayores casos de recurrencia (36%), metástasis a distancia (13%) y muertes4.
Presentación del caso
Mujer de 29 años de edad con lesión en región ciliar izquierda, resecada y presentando recurrencia a los dos años. Se vuelve a resecar y a los tres años de esta última intervención presentó un nuevo crecimiento con oclusión del ojo izquierdo, el cual aún se encontraba funcional. A la exploración se encontró un gran tumor en región ciliar y frontal, con infiltración total del párpado, traccionando el párpado derecho y extendiéndose hacia pirámide nasal, con una superficie lisa y no ulcerada. Se realizó biopsia incisional del tumor, cuyo reporte histopatológico dictó un DFSP desdiferenciado (áreas de fibrosarcoma 60% y dermatofibrosarcoma residual 40%) (Fig. 1).

Figura 1 Fotografía clínica preoperatoria. A: vista frontal. B: vista lateral derecha. C: vista lateral izquierda.
Se realizaron estudios de inmunohistoquímica con los siguientes resultados en las células neoplásicas: CD34 positivo, factor XIIIa y CD117 (c-kit) negativos, resultados que apoyaron el diagnóstico de DFSP .
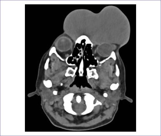
Al reporte de la tomografía axial computarizada (TC) de cuello, macizo facial y tórax se encontró una lesión exofítica localizada en región ciliar izquierda que abarca el dorso nasal y se extiende hacia la región frontal, desplaza el ojo en sentido posterior y lateral, que mide 10.8 x 11.7 x 5.2 cm (Fig. 2).

Figura 2 Tomografía axial computarizada de macizo facial. Se encontró una lesión exofítica localizada en región ciliar izquierda que abarca el dorso nasal y se extiende hacia la región frontal, desplaza el ojo en sentido posterior y lateral, que mide 10.8 x 11.7 x 5.2 cm.
Con base en lo anterior, se realizó una resección amplia de tumor en región frontonasal izquierda, fresado del hueso frontal y raíz nasal más reconstrucción inmediata con colgajo microvascular de dorsal ipsilateral. Los hallazgos fueron tumor de 12 x 10 x 6 cm en región previamente descrita que comprometía ambos párpados, ambos globos oculares se encontraban íntegros, estructuras óseas y seno frontal ipsilateral sin alteración. Se encontraron bordes quirúrgicos superior a 3.5 cm, inferior a 0.1 cm, medial a 0.7 cm y lateral a 2.2 cm, lecho quirúrgico a menos de 0.1 cm, con fascia discontinua. La paciente presentó trombosis arterial del colgajo dorsal, por lo que fue reintervenida, realizando colgajo microvascular de radial, el cual también presentó complicaciones, dejándolo en esta ocasión de forma parcial para formación de tejido de granulación y finalmente se realizó toma y aplicación de injerto de espesor parcial. La paciente fue valorada para recibir adyuvancia, sin embargo, no fue candidata a radioterapia por alta morbilidad. Se ha realizado biopsia de párpado con resultados negativos a malignidad en tres ocasiones. Actualmente, a seis años de la intervención, sin evidencia de recaída (Fig. 3).
Discusión
El DFSP se presenta clásicamente como una lesión cutánea no dolorosa, con progresión lenta que puede comenzar como una placa violeta o rosada. Se origina comúnmente en la dermis del tronco (50-60% de los casos) y miembros inferiores (25%), en nuestro caso la presentación de cabeza y cuello representan del 10 al 15%4. Paulatinamente esta placa puede crecer lenta o rápidamente, desarrollando múltiples nódulos, de ahí el nombre de protuberans, aunque también se han descrito casos que presentan morfología protuberante desde el inicio2. Si estas lesiones no son tratadas pueden llegar a ulcerarse y/o sangrar1. La examinación clínica se enfoca en la visualización y palpación de la lesión. Aunque la diseminación linfática es rara, la evaluación clínica de los nódulos regionales es apropiada, particularmente si el diagnóstico de DFSP no ha sido establecido aún5. En toda lesión sospechosa de DFSP se debe realizar biopsia incisional o excisional3. Ante la sospecha histológica de un DFSP es recomendable realizar un estudio inmunohistoquímico dirigido a descartar otros tumores, el hallazgo inmunohistoquímico más característico es la positividad del anticuerpo CD34, el cual estuvo presente en este caso y de acuerdo con Llombart, et al. se manifiesta en entre un 80 y un 100% de las células neoplásicas, sin embargo la ausencia de este marcador no excluye el diagnóstico. El CD34 también es útil tras la cirugía, asegurando que los márgenes de extirpación están libres de tumoración, para distinguir entre neoplasia residual y tejido cicatricial2.
El DFSP raramente hace metástasis. Reportan Allen, et al. que menos del 5% de los pacientes con este padecimiento lo presentan, cuando llegan a ocurrir recurrencias distantes se encuentran principalmente en nódulos linfáticos y en pulmón1. En nuestro caso, en la tomografía de tórax se identificó un nódulo subsólido en el segmento lateral del lóbulo inferior de 3 mm, sugiriéndose origen inflamatorio; se mantuvo en vigilancia sin cambios hasta el día de hoy.
El DFSP-FS ocurre en una minoría de casos. La expresión de CD34 está usualmente disminuida o perdida, y el reordenamiento de PDGFB aún se encuentra presente mediante hibridación fluorescente in situ (FISH). El DFSP-FS se ha asociado con mayor número de recurrencias y metástasis6. Sin embargo, a pesar de que al reporte histopatológico de nuestra paciente se encontró un área del 60% de fibrosarcoma y no recibió adyuvancia con radioterapia, se encuentra libre de enfermedad a seis años de seguimiento.
Debido a la morfología similar con lesiones benignas, la sospecha diagnóstica puede variar, teniendo como diagnósticos diferenciales a quistes sebáceos, lipomas y dermatofibroma. El diagnóstico definitivo será dado por el examen histológico del material de la biopsia (incisional o excisional) con tinción inmunohistoquímica7.
Los métodos de imagen pueden proveer una mejor definición de la extensión local de la lesión y permitir un plan quirúrgico más preciso. La TC y la resonancia magnética (RM) nos muestran tejido blando que pueden realzarse con contraste. La RM ponderada en T1 y contraste con gadolinio ha demostrado ser útil en la evaluación local y extensa debido a la alta señalización que presenta, esto resulta importante para planificar la cirugía y escoger la estrategia de reconstrucción más apropiada5.
El pilar del tratamiento del DFSP es la escisión quirúrgica completa con márgenes histológicamente negativos. Como ya se mencionó, debido al crecimiento en forma de dedos o tentáculos, las escisiones incompletas son comunes y pueden causar recurrencias, comunes en tumores de cabeza y cuello, probablemente por la dificultad de alcanzar márgenes amplios en estas áreas1. Por tales motivos, la principal preocupación al tratar un DFSP es la recurrencia local, siendo la principal meta de cirugía la resección con márgenes negativos5. Comparativamente con nuestro caso, teniendo márgenes de resección limitados, el inferior a 1 mm, y el margen profundo con fascia discontinua positiva es imperativo tener en consideración el aspecto tridimensional en áreas complejas como la cara, ya que en nuestro caso todo el lecho quirúrgico óseo fue fresado, por lo que consideramos que al ser esta una barrera de diseminación es al mismo tiempo la razón del buen control local, a pesar de que los factores de riesgo para recurrencia que más se han identificado son el cambio a histología fibrosarcomatosa (DFSP-FS), resección quirúrgica R1 (márgenes de resección menos a 1 mm o la presencia microscópica de DFSP en el margen de resección) y tumores que midan más de 5 cm8.
El tratamiento inicial consiste en una escisión local amplia con márgenes de 2.0 cm6. La cirugía micrográfica de Mohs (CMM) es un procedimiento quirúrgico en el que se incluye el control microscópico, después de cada extracción de lesión y mientras el paciente espera, el tejido es examinado mediante un estudio transoperatorio en búsqueda de células tumorales, lo cual ayuda a determinar al cirujano si es necesaria una resección más amplia9, esto ha demostrado un menor porcentaje de recurrencias (3 vs. el 30% que representaba la cirugía convencional con márgenes amplios), así como una mayor preservación de tejido sano. La CMM es altamente recomendable en lesiones recurrentes o en localizaciones complicadas, como cabeza y cuello2. En el caso de nuestra institución, al no contar con acceso a la CMM, se optó por la escisión quirúrgica completa, siendo exitosa, con resultados a seis años posteriores a la cirugía libre de recaídas.
La radioterapia se reserva para casos realmente excepcionales, como tratamiento paliativo a nivel local con DFSP irresecables o en pacientes con DFSP metastásico2. Los efectos adversos de la radioterapia aumentan el riesgo de complicaciones, que incluyen fibrosis, necrosis, edema y fallas en injertos cutáneos1.
La terapia sistémica puede ser utilizada en tumores primarios inoperables, enfermedad local recurrente inoperable o en enfermedad metastásica. El objetivo de esta terapia es actuar sobre la proteína fusionada responsable del crecimiento de DFSP mediante inhibidores de la tirosina cinasa, como el imatinib, mostrando efectividad en pacientes con traslocación en los cromosomas 17 y 22, por lo que se recomienda que previo al inicio de terapia con imatinib se haga la detección de la fusión de traslocación COL1A1-PDGFB mediante FISH o reacción en cadena de la polimerasa en tiempo real (RT-PCR). El imatinib ha sido utilizado como terapia neoadyuvante antes de la CMM, con resultados de disminución del tumor del 20 y el 31.5% en dos y tras meses, respectivamente1. Es recomendable comenzar el tratamiento con 400 mg día, dosis que muestra la misma eficacia que dosis más altas y es mejor tolerada2.
Generalmente, el pronóstico de DFSP es bueno cuando se realiza una escisión amplia con márgenes negativos, con tasas de supervivencia a los dos y cinco años del 97 y 92%. El estado de los márgenes quirúrgicos se ha relacionado con incidencia de recurrencia local, mientras que el tamaño del tumor no ha demostrado tener una relación directa con la recurrencia4. Se considera como opción razonable usar un margen de seguridad de por lo menos 2 cm. Desafortunadamente, la escisión amplia conlleva amplios defectos de tejidos blandos que requerirán reconstrucción10.
El DFSP-FS se considera un tumor con mucho mayor riesgo de recurrencia y metástasis. Se realizó un metaanálisis, incluyendo 1,422 casos de DFSP y 225 casos de DFSP-FS, donde se observó una recurrencia del 13.7 y del 29.8%, respectivamente6.
La importancia de este caso clínico radica en la localización del tumor, ya que se presentó en una zona poco común, con datos de alta probabilidad de recurrencia, y pese a esto, a seis años de la resección amplia la paciente no ha presentado signos de recaída.










nueva página del texto (beta)



