Introducción
El mesotelioma es una neoplasia maligna proveniente de las membranas serosas. La presentación en el peritoneo es el segundo tipo más frecuente de esta entidad, después del tipo pleural1. Representa entre el 10 y el 20% de todos los mesoteliomas, con una incidencia anual entre 0.7 y 2.2 casos por millón2. La etiología del mesotelioma maligno peritoneal (MMP) es desconocida. En general, no está influenciada por la exposición de asbesto, como sí está establecido en la presentación pleural3.
El MMP representa un reto diagnóstico. La ausencia de signos clínicos específicos retarda el diagnóstico y hace que el diagnóstico definitivo sea histológico4. El 5.5% de los MMP presentan hernias abdominales, sobre todo de localización inguinal, las cuales generalmente son secundarias a la gran ascitis que se pueda presentar. En contraparte, solo el 0.14% de las hernias tienen un MMP5. También se ha descrito su presentación como hernia incarcerada que produce una emergencia quirúrgica2.
Presentamos el caso de un MMP insospechado dentro de una hernia paraumbilical incarcerada en una mujer de edad avanzada.
Descripción del caso
Se presenta el caso de una paciente de 90 años, proveniente de Lima, Perú, con antecedentes médicos de hipertensión arterial y diabetes mellitus diagnosticados hace 6 años, además de diverticulosis; con antecedentes quirúrgicos de colecistectomía e histerectomía. Negaba exposición a asbesto. La paciente acudió a emergencia refiriendo dolor tipo cólico, difuso, en región abdominal a predominio del mesogastrio, de intensidad moderada, que no se irradiaba. Negaba fiebre, náuseas y vómitos. Al examen físico se encontró el abdomen distendido, poco depresible, ruidos hidroaéreos aumentados y una masa en la región paraumbilical, de aproximadamente 6 cm, dolorosa a la palpación, que no era reductible. El resto del examen físico fue normal.
La analítica sanguínea resultó normal. La ecografía abdominal evidencia solución de continuidad del peritoneo, de 21 mm (cuello herniario), en la región paramediana derecha, a nivel umbilical, por donde protruyó un asa intestinal de aspecto edematoso con líquido circundante de 35 x 30 mm, con alta vascularidad al Doppler. Líquido libre perihepático y pericólico laminar. Se la diagnostica de hernia paraumbilical derecha incarcerada con signos de sufrimiento mesentérico.
Se procedió a realizar una laparotomía exploratoria de emergencia, evidenciándose un saco umbilical de 8 x 8 cm, rodeado de epiplón mayor con asas intestinales indemnes y líquido libre purulento en la cavidad. Además, se halló un divertículo en la cara anterior del colon sigmoides, de 5,5 x 3,5 x 3 cm, con una perforación de 3 x 3 cm, por lo cual se procedió a realizar una resección parcial de colon sigmoides y una colostomía de Hartman. Se lavó la cavidad y se dejó un drenaje Jackson Pratt. Se extrajeron dos piezas operatorias: el saco herniario y un segmento de colon sigmoides.
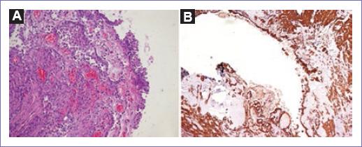
El examen patológico del saco herniario demostró un mesotelioma maligno, de morfología epitelioide, infiltrante, que compromete bordes quirúrgicos. Los estudios de inmunohistoquímica fueron positivos para citoqueratina, calretinina con un índice de proliferación (Ki-67%) entre 2 y 4%, y negativo para CD34 (Fig. 1). El estudio del segmento de colon sigmoides evidenció diverticulosis colónica con diverticulitis severa complicada, bordes quirúrgicos viables y meso congestivo.

Figura 1 Fotomicroscopia. A: hematoxilina - eosina (x10): proliferación mesotelial atípica, de morfología epitelioide. B: inmunohistoquímica (x4): calretinina, positivo.
La evolución posquirúrgica inmediata fue favorable, sin intercurrencias, y se le dio de alta hospitalaria a los siete días de la intervención, con la colostomía permeable. Posteriormente, la paciente no acudió a controles médicos. No se tuvo otro contacto posterior con la paciente, por lo que no se pudo tener un seguimiento adecuado de la enfermedad de fondo.
Discusión
Se describe el caso clínico de una paciente con MMP de presentación en una hernia abdominal incarcerada, que ofrece un diagnóstico diferencial importante para tomar en cuenta de las hernias incarceradas abdominales. Además, se destaca la importancia del análisis patológico de los sacos herniarios de manera sistemática.
La aparición de hernias, en el contexto de un MMP, fue descrita por Acherman, et al. en 6 (12%) de 51 casos de paciente con esta neoplasia. De los seis casos, todos iniciaron como una hernia nueva; cinco fueron inguinales y solo uno fue umbilical6. En la literatura científica se encontraron diferentes reportes de MMP en hernias, ya sean de tipo inguinal, femoral, o umbilicales2,7-17, los cuales presentamos a detalle en la tabla 1. No se incluyeron a los casos de MMP presentados en túnica vaginalis o en hernias incisionales.
Tabla 1 Casos de mesotelioma peritoneal en hernias reportados en la literatura científica
| Referencia | Edad/Sexo | Tipo de hernia | Macroscopia | Diagnóstico anatomopatológico | Seguimiento |
|---|---|---|---|---|---|
| Val-Bernal, et al., 20147 | 66/hombre | Hernia inguinal bilateral* | Típica de una hernia inguinal | Mesotelioma papilar bien diferenciado (primario) | Vivo 103 meses |
| Anirudhan, et al., 20128 | 48/hombre | Hernia inguinal indirecta bilateral* | Lesión granular en la entrada del saco herniario | Mesotelioma papilar bien diferenciado (primario) | Vivo evaluación posquirúrgica |
| Tsuruya, et al., 20139 | 64/hombre | Hernia umbilical | Nódulos blancos en peritoneo y ascitis | MMP epitelial | Muerte a los 6 meses |
| Chatzipantelis, et al., 200610 | 46/mujer | Hernia inguinal derecha | Masa con nódulos dispersos en saco herniario | MMP | ND |
| Ordóñez, 200511 | 67/hombre | Hernia abdominal ventral incarcerada | ND | MPP epitelial (de células claras) | ND |
| Testini, et al., 20052 | 71/hombre | Hernia inguinoescrotal bilateral† | Masa firme en saco izquierdo y efusión peritoneal† | MMP | Vive 26 meses |
| Kerrigan, et al., 200312 | 55/hombre | Hernia umbilical incarcerada | Ninguna fuera de lo normal | MMP epitelial (tubulopapilar) | Muerte en 5 meses |
| Grove, et al., 198913 | 79/hombre | Hernia femoral | Engrosamiento de mesotelioma (marrón) con granulaciones | MMP epiteloide | Muerte a los 5 años por cáncer de próstata |
| Brenner, et al., 198114 | 63/hombre | Hernia inguinal | Nódulos pequeños en saco herniario y adyacentes | MMP | Muerte en 7 años MMP diseminado |
| Chakravartty, et al., 201215 | 80/hombre | Hernia inguinal derecha incarcerada | Edema de saco herniario, sin poder identificar resto de estructuras | MMP tubulopapilar | ND |
| Torretta, et al., 200316 | 56/hombre | Hernia inguinal izquierda | Fluido ascítico y tres nódulos | MMP tubuloepitelial | Vive 13 meses |
| Serio, et al., 200917 | 71/hombre | Hernia inguinal izquierda incarcerada | Múltiples nódulos, fluido de colorstraw | MMP | Muerte en 27 meses |
*Mesotelioma peritoneal solo en el lado izquierdo.
†Recuerrente en el lado derecho e incarcerada/primaria en el izquierdo.
ND: no descrito; MMP: mesotelioma maligno peritoneal.
De los casos reportados en la literatura revisada, nuestro caso es el que tiene mayor edad, y es el segundo en una mujer, a pesar que los MMP generalmente son más prevalentes en mujeres y de corta edad18. Esta diferencia se puede deber a que las hernias son más comunes en varones19. Entonces, se tiene que tener en cuenta que la presentación del MMP en hernia podría ser más común en varones.
La hernia de nuestra paciente tuvo que ser diferenciada de una eventración, debido a los antecedentes de intervenciones quirúrgicas. Sin embargo, la localización de la zona de protrusión no tuvo relación con las incisiones antiguas. Otros escenarios clínicos a considerar en el diagnóstico diferencial son la carcinomatosis peritoneal y los carcinomas metastásicos20.
Por otra parte, el MMP se ha presentado muy rara vez asociado a alguna otra patología del tracto gastrointestinal, como la enfermedad diverticular3,4, la cual estuvo presente en esta paciente. Sin embargo, probablemente ambas patologías podrían obedecer a etiologías distintas.
El MMP, a diferencia de su presentación pleural, no tiene relación con la exposición al asbesto. Los factores que podrían estar implicados en la génesis de esta patología son el thorotrast, la radioterapia abdominal, las secuelas de tuberculosis y otras infecciones crónicas peritoneales21,22. En el presente caso, y en cinco otros casos más reportados2,11,12,15,17, dos abdominales y tres inguinales, se presentaron como hernias incarceradas. A pesar de que es un proceso inflamatorio, es una presentación aguda y no necesariamente puede ser causante del MMP.
Se recomienda que todos los sacos herniarios extraídos sean analizados por los servicios de patología, sobre todo si son abdominales23. Pese a ello, un estudio en EE.UU. reporta que solo el 20% de ellos son analizados24. En el presente caso el diagnóstico fue mediante examen patológico, y no se evidenciaba ninguna particularidad en la macroscopia. Futuros estudios deberían evaluar los diagnósticos que se hacen de manera incidental en los sacos herniarios extraídos y delimitar su costo-efectividad.
En conclusión, este caso confirma la dificultad diagnóstica del MMP y conduce a considerar que a pesar de que no se encuentran hallazgos anormales en la macroscopia de los sacos herniarios es importante considerar una evaluación histopatológica sistemática en todos los casos.










nueva página del texto (beta)


