Introduction
Malignant melanoma is a devastating disease with a 5-year survival rate of approximately 20%. At the time of diagnosis, approximately 4% of patients course with metastatic disease, between 5% and 20% with brain metastases; the 5-year survival rate in these patients is usually less than 10%. In Colombia, for the year 2005, an approximate incidence of malignant melanoma was estimated at 13 cases per 10,000 habitants, this being the main cause of death due to dermatological diseases (40%), representing 1% of total deaths from cancer. Most patients with intracranial metastatic melanoma have been treated with holocranial radiotherapy. However, stereotactic radiosurgery is non-inferior to holocranial radiotherapy, with the advantage of preserving cognitive functions1,2. This manuscript is the case of a 68-year-old patient with multiple intracranial brain metastases and their combined management with surgery, radiosurgery, and immunotherapy.
Case report
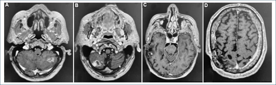
A 68-year-old male with no significant history who presents with a 1 week of evolution characterized by holocranial headache, decreased strength of the left hemibody (3/5), and epileptic seizures of focal onset that are secondarily generalized is admitted through the emergency room to the central military hospital. Treatment is started with levetiracetam 1000 mg every 12 h. Computed axial tomography and cerebral magnetic resonance imaging studies were done, which showed 6 supra and infratentorial intracranial lesions of heterogeneous intensity with enhancement ring contrast (Fig. 1).

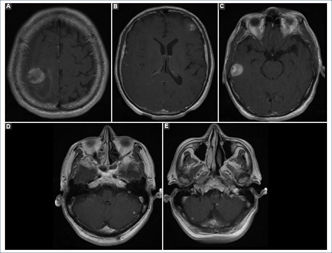
Figure 1 Pre-operative magnetic resonance imaging in the T1 sequence in the axial section A: right frontoparietal lesion of heterogeneous intensity with ring contrast enhancement. B: left frontal lesion. C: right temporal lesion. D: lesion in the left cerebellar hemisphere. E: lesion in the hemisphere right cerebellar and left cerebellar peduncle.
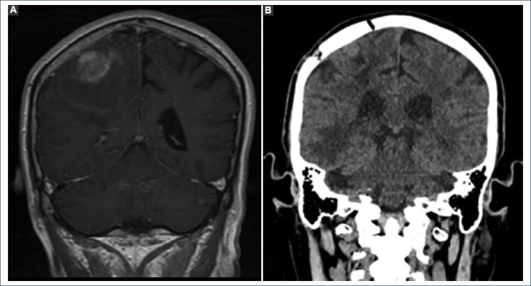
A stereotactic-guided resection of the right frontoparietal lesion was done. The pathology report documented melanoma metastasis with immunohistochemical markers HMB45-red, S 100 MELAN a, and Ki67 50%, with no BRAF mutation identified. Two months after the resection, he received a dose of immunotherapy with nivolumab without any adverse effects (Fig. 2).

Figure 2 A: pre-operative magnetic resonance imaging in coronal section T1 sequence, right parietal lesion of heterogeneous intensity with ring contrast enhancement. B: simple computed axial tomography in coronal section, right parietal craniotomy, and total resection.
The patient is sent for an evaluation by dermatologists who perform a complete examination of the patient and continuous monitoring without finding the primary melanoma lesion.
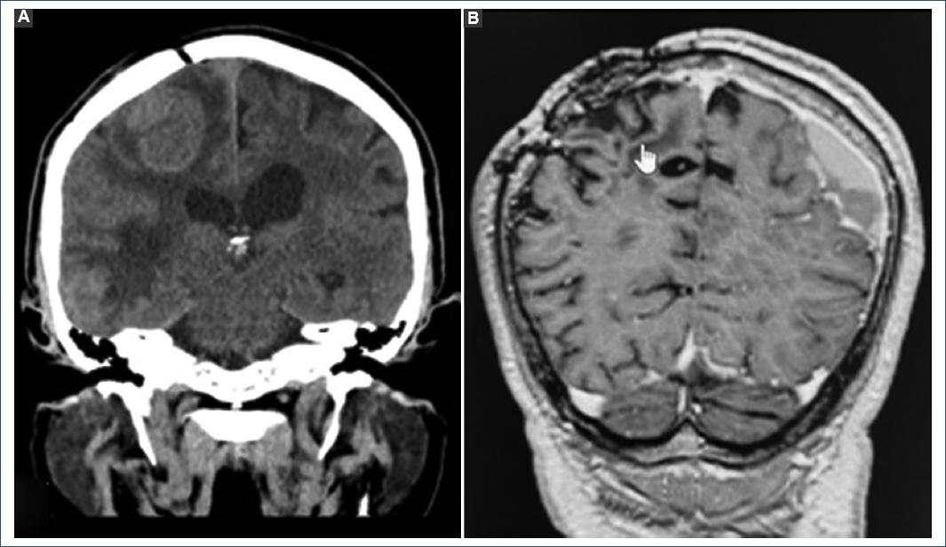
Three months after the first intervention, the patient presented left hemiparesis again and seizures of focal onset that were secondarily generalized, so phenytoin 100 mg every 8 h was added to the treatment. Neuroimaging was performed again, identifying tumor recurrence of the right frontoparietal lesion and growth of the right temporal metastasis, which requires a second surgical procedure and subsequently fractionated radiosurgery with a linear accelerator treating 5 lesions at a dose of 18 GY using modulated volumetric arctherapy (Fig. 3).

Figure 3 A: simple computed axial tomography in coronal section, tumor recurrence of right frontoparietal lesion, and perilesional vasogenic edema 3 months after intervention. B: post-operative magnetic nuclear resonance of the second intervention in the T1 sequence coronal section, total resection of the right frontoparietal lesion.
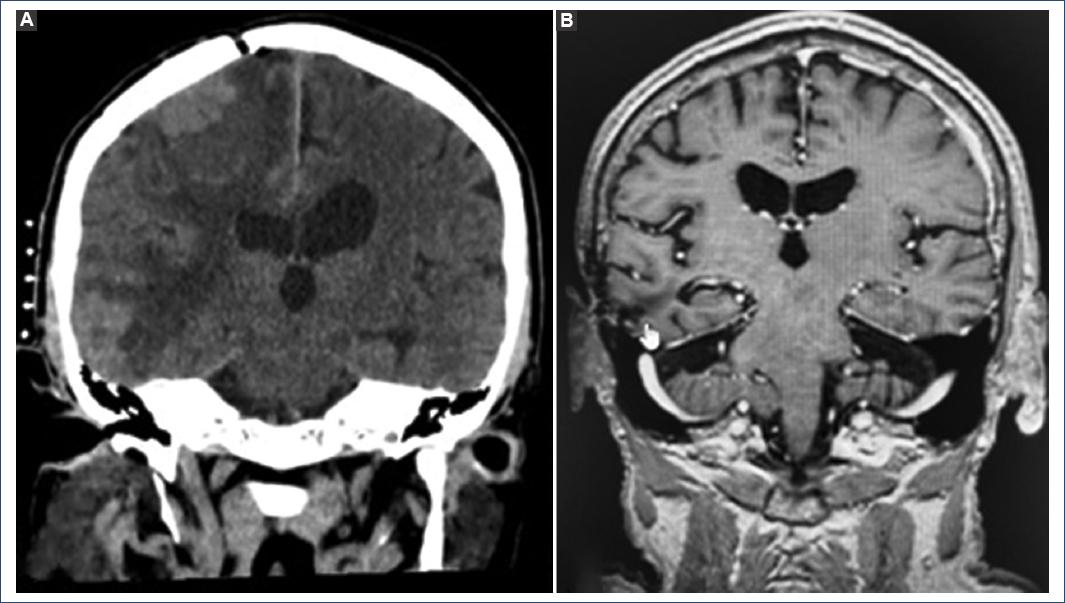
In the 4-year follow-up, there is no evidence of disease progression, the epilepsy is controlled, and the size of the tumor lesions has remained stable. To date, the patient has completed 51 cycles of immunotherapy with nivolumab without complications (Figs. 4 and 5).

Figure 4 A: simple computed axial tomography in coronal section, right temporal lesion enlarged with perilesional edema. B: magnetic nuclear resonance in coronal section post-operative T1 sequence at the second surgical stage, total resection of the right temporal lesion.

Figure 5 A: magnetic nuclear resonance in the axial section T1 sequence without evidence of the growth of the left cerebellar lesion at 4 years of follow-up. B: magnetic nuclear resonance in the axial section T1 sequence without evidence of growth of the right cerebellar lesion at 4 years of resection. C: magnetic nuclear resonance in the axial section T1 sequence, without evidence of tumor recurrence of the right temporal lesion at 4 years of follow-up. D: magnetic nuclear resonance in the axial section T1 sequence without evidence of the right frontoparietal lesion at 4 years of follow-up.
Discussion
Patients with solid tumors often present with metastases to the central nervous system; among the therapeutic options for the treatment of brain metastases are local strategies such as surgery, stereotactic radiosurgery, or holoencephalic radiotherapy to define what type of treatment is appropriate for each patient. It is necessary to individualize each case according to age, the number of intracranial metastases and extracranial metastatic involvement, the probability of survival, and the patient’s functional status3.
Malignant melanoma is a devastating disease; at the time of diagnosis, approximately 4% of patients present metastatic disease and between 5% and 20% present brain metastases with a 5-year survival rate of <10%. Recent developments in immunotherapy, stereotactic radiosurgery, and fractionated stereotactic radiotherapy have significantly improved the survival rate; the advantage of this type of therapy over holocranial radiotherapy is the preservation of cognitive functions. However, it has been shown that only 25% of patients have access to said combined therapy4,5.
Brain metastases from malignant melanoma are classically considered radioresistant to conventional fractionated external radiation therapy and holocranial radiotherapy. However, during the last decade, stereotactic radiosurgery has become an effective treatment modality for selected patients (1-4 metastases that measure < 3-4 cm)3.
Guidelines for the treatment of metastatic melanoma suggest combined therapy with stereotactic radiosurgery and immunotherapy; this therapy significantly improves overall survival compared with radiosurgery alone or holocranial radiotherapy, with no difference in the rate of radionecrosis, even in patients with more than 4 intracranial metastases; in addition, immunotherapy has demonstrated a protective effect in terms of local control: Radiosurgery induces migration of T cells toward the tumor environment, and immunotherapy requires these cells to have a significant effect5-7.










nueva página del texto (beta)


