Introduction
Colonic diverticula are the most common structural abnormality of the intestine1. Its prevalence has increased in relation to the greater longevity of the population and its detection. The spectrum of presentation is very varied, and treatment has evolved to more conservative strategies1.
The presence of diverticula is directly related to age, with a prevalence of 5% in those under 40 years of age and increasing to 60% in those over 80 years of age. The risk of developing acute diverticulitis is 10 to 25% and one in five will present some type of complication such as abscess or obstruction. Less than 1%, only 1-2% of acute diverticulitis present as a free intestinal perforation. About 80% of patients with acute diverticulitis are over 50 years of age and only 2-5% is under 40. The most common location is the sigmoid colon in up to 90% of cases2.
Diverticula are small sacculations of mucosa that protrude through the muscular layer of the colon (pseudodiverticula), they occur due to genetic predisposition as well as environmental factors, mainly diets low in dietary fiber and chronic constipation, which consequently lead to increased intestinal pressure, mainly in the sigmoid colon, a phenomenon known as compartmentalization, which leads to the formation of pseudo-diverticula found more frequently in areas of weakness of the intestinal wall caused by the entry of circulation to the mucosa3.
The pathophysiology of diverticulitis is not yet fully understood, but it is postulated that the neck is the site of obstruction of the diverticulum by fecal matter, which induces ischemia of the mucosa and bacterial overgrowth, initiating an inflammatory process that can occur from microperforations that they produce a localized inflammatory process (phlegmon) until free fecal perforation into the cavity with the subsequent inflammatory response and sepsis1.
Diverticular disease has a wide spectrum of clinical presentation from asymptomatic until one of its complications occurs; inflammation, bleeding, abscess, perforation, or obstruction. The classic presentation of diverticulitis is the triad of left lower quadrant pain associated with fever and leukocytosis. These findings occur together in a portion of patients diagnosed with computed tomography (CT)-confirmed acute diverticulitis depending on the setting, ranging from 47% in outpatients to 93% of those seen in the emergency department. Diverticular bleeding can occur in 30-50% of patients without involving inflammation of the diverticula. On examination, the rebound in CII with guard is the most guiding sign toward the diagnosis, being able to find masses in relation to the presence of abscesses or frank data of peritoneal irritation in case of perforation. If the patient presents data of systemic inflammatory response such as associated hypotension, tachycardia, dehydration or oliguria, an abdominal sepsis process originating from the acute diverticular process complicated with abscess, fistula or free perforation is evident4.
The spectrum of differential diagnoses includes gynecological conditions, urinary tract diseases, colon carcinoma, Chron, ischemic colitis, and acute appendicitis in cases in which the sigmoid is very redundant, among the most common2.
The study of choice is computed axial tomography, which has come to replace contrast radiographic studies with a sensitivity of 95% and specificity of 100%. The presence of diverticula associated with fat stratification as well as thickening of the colon wall are the most frequently found findings in 70-100% of cases4. It also allows establishing the extension of the inflammatory process as well as identifying possible complications as well as ruling out other differential diagnoses.
The classification of diverticular disease encompasses a spectrum of presentations from pericolic inflammation to perforation and fecal peritonitis2. Depending on clinical parameters such as laboratory and imaging, it is classified as complicated and uncomplicated. The most used classification for prognosis and treatment is the Hinchey classification, which classifies it into four stages4 (Table 1).
Table 1 Hinchey classification
| 1a | Pericolonic phlegmon and inflammation, no fluid collection |
| 1b | Pericolonic abscess < 4 cm |
| 2 | Pelvic or inter-loop abscess or abscess > 4 cm |
| 3 | Purulent peritonitis |
| 4 | Feculent peritonitis |
As with other classifications, there are modifications in which some of the stages are subdivided; IIa, and IIb depending on the size of the abscess. Mortality for stages HI and HII is less than 5%, increasing from 13% in HIII to 43% in HIV. It is worth mentioning that this classification does not take into account comorbidities or pre-existing factors in patients4.
Case presentation
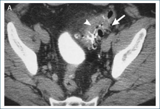
This is a 57-year-old male patient with no pathological history relevant to the case, who began his condition 8 h before going to the hospital with pain in the left iliac fossa as well as little tolerance to oral administration. On arrival, laboratories and CT scans are obtained, reporting Hinchey IIA diverticulitis, for which he is treated with conservative management based on antibiotics, to which the patient shows unfavorable evolution. In a second tomography study, the diagnosis of intestinal obstruction secondary to an acute diverticular inflammatory process was made (Fig. 1). The obstructive process did not progress favorably for 24 h, so it was decided to operate on the patient. In this case, a laparoscopic approach is chosen.

Figure 1 Axial cut of abdominal tomography with oral contrast at the level of the pelvis. Multiple saccular defects are observed at the level of sigmoid colon associated with mural thickening and edema of adjacent mesenteric fat. Findings consistent with diverticulitis.
Pneumoperitoneum was established with a direct vision trocar. On entering the peritoneal cavity, multiple adhesions of the omentum to the peritoneal and visceral surface were found, which were released with blunt dissection using a grasper. At the moment of separating the greater omentum from the intestine, multiple interloop abscesses were found, which opened with the traction of the omentum, some of them already open to the cavity (Fig. 2). Blunt dissection of the omentum was continued with suction irrigation which allowed drainage and lavage of the numerous small abscesses between the loops of small intestine. The round ligament was divided to allow superior mobilization of the greater omentum out of the work area. As the separation of the omentum continued, more abscesses were found and drained with blunt dissection and suction irrigation. The dissection of the loops of the small intestine was carefully performed at the same time.
With the separation of the omentum and the drainage of the abscesses, an area was identified in which the loops of the small intestine were adhered to the inflammatory plastron caused by the acute diverticular process adjacent to the thickened walls of the sigmoid colon, which conditioned the obstruction of the ileum with distension of the loops before this transition zone and subsequently without content (Fig. 3).
The release of the small intestine was performed using blunt dissection and hydrodissection in the same way until the release of the ileum loops, which were carefully examined, as well as the sigmoid, without finding leaks or perforations. Intraoperative colonoscopy was also performed. The colonoscope was advanced to the site of acute inflammation where the only finding was a decrease in the lumen without being significant and without evidence of perforation. An exhaustive lavage of the peritoneal cavity was performed with 4 L of physiological solution with a 0.5% dilution of iodine before the placement of 2 suction drains.
In this case, the selection of the patient was made according to the CT findings, which initially classified it as acute Hinchey II diverticulitis. At the time of surgery, generalized purulent peritonitis was evidenced, which did not correlate with what was reported by the radiology department.
The patient’s clinical conditions were initially those of a patient with sepsis of abdominal origin with criteria for systemic inflammatory response but who responded adequately to initial resuscitation as well as to antibiotic management. The unfavorable evolution was due to the intestinal obstructive process secondary to the diverticular inflammatory process.
In the particular case of this patient, the minimally invasive management allowed the release of adhesions, drainage of the abscesses caused by the diverticular inflammatory process, and mobilization of the small intestine, which was folded by the inflammatory process.
Access to the abdominal cavity in a patient with dilated loops of the small intestine is a relative contraindication for laparoscopy given the reduced visual and working field. With an adequate technique of entering the cavity, in this case, under direct vision it is possible to access, keeping aside the risk of perforation, to any of the loops of the small intestine that are dilated, so far there is no evidence on what the modality is. to establish the pneumoperitoneum in this class of patients, however, the particular observation is that the Veress needle is the least reliable alternative, on the other hand, open access (Hasson) or with a trocar with direct vision are the safest methods to access to the peritoneal cavity with the least number of complications, of which the most important would be to perforate a pressurized intestine due to an obstructive process.
Discussion
Perforated diverticulitis with leakage of pus or feces into the peritoneal cavity is considered a complicated diverticulitis that corresponds to Stages III or IV according to Hinchey’s classification4. Historically, surgical procedures begin in 1907 by Mayo who described the three-stage surgery. Later, with the introduction of perioperative antibiotics, the Hartman procedure or two-stage surgery became the standard of care initially described by Henri Hartman as a surgical treatment for colon cancer). This showed lower mortality as well as morbidity, mainly with a significant decrease in the number of fistulas generated in three-stage procedures in which the affected colon segment was not resected 1. The Hartman procedure is a two-stage surgery in which the affected segment is resected during the acute inflammatory process, lavage, end colostomy and closed distal loop for subsequent reconnection in the next 6 months.
Primary resection and anastomosis are another of options available for the surgical management of perforated diverticulitis, with a mortality very similar to PH (14% vs. 14.4%), in addition to the fact that in properly selected patients an anastomotic leak rate of 6% is achieved. One of the most important aspects to consider is the rate of stoma reversal, since up to 60% of patients with terminal colostomy by Hartman procedure; remain with colostomy without reversal of it; against 85% stoma reversal in case of ileostomy by resection and primary anastomosis2.
In recent years, minimally invasive techniques have been postulated with the advent of laparoscopy; including laparoscopic lavage and drainage (LLD) strictly in patients with diverticulitis complicated by purulent peritonitis (Hinchey III). The approximately 3% mortality compared to 14% for the Harman procedure placed the LLD as a promising option for the management of perforated diverticulitis5.
The correct classification of patients according to the Hinchey stage is vital for the selection of the procedure to be performed. In the case of laparoscopic lavage, it is the procedure of choice for infection control caused by purulent diverticulitis. In the scenario in which a free fecal perforation is identified, a different technique should be selected, either HP or resection with primary anastomosis with or without a protective ileostomy, since LLD is not a means of controlling the source of infection in patients in the case of leakage of fecal matter from the colon. Reports of series with primary closure of the perforation with washing are scarce and with inconclusive results; Therefore, there is currently not enough evidence in favor or finding of this technique6,7.
According to the pathophysiology of purulent diverticulitis, it is caused by the rupture of an abscess, whereas peritonitis is caused by the outflow of pus into the peritoneal cavity. Based on this, it is postulated that laparoscopic lavage is effective in controlling the source of infection, as well as continuous drainage of the cavity6,7.
In this way, the LLD with the inherent advantages of minimally invasive surgery is an alternative to reduce the number of emergency laparotomies, resections, and stomas, reducing the morbidity associated with the urgent management of Hinchey III diverticulitis, with a reduction in surgical times and a shorter stay in the hospital7.
The present case was initially diagnosed as uncomplicated diverticulitis, for which management guidelines with bowel rest, broad-spectrum antibiotics and hydration were initiated. The evolution of the patient was not favorable, subsequently presenting symptoms of intestinal obstruction, so after 72 h of conservative management, surgical management was decided.
At the time of defining what the approach would be, it was decided to perform a diagnostic laparoscopy and, if necessary, proceeds to open surgery. Given the already suspected conditions of the patient, it was possible to start the laparoscopic procedure in which the stage of Hinchey 3 diverticulitis could be defined due to the presence of multiple abscesses that conditioned a purulent diverticulitis but without evidence of direct leakage of intestinal material. Due to the inflammatory process, loops of the adjacent small intestine were folded in the inflammatory plastron, which conditioned a transition zone or obstruction to the passage of intestinal material. Through laparoscopic surgery, the correct dissection of the adhesional process was achieved, as well as the washing and drainage of the abdominal cavity. The patient evolves satisfactorily, never presents data of systemic inflammation, tolerates the oral route satisfactorily, and presents bowel movements of satisfactory consistency. The patient is discharged home on the third postoperative day. In the outpatient follow-up, I did not present complications.
Conclusions
Management will depend on the degree of severity of the diverticulitis picture. In general, uncomplicated diverticulitis included in Grades I and II responds adequately to medical management based on bowel rest or a low-residue liquid diet, depending on tolerance to the oral route and the general conditions of the patient. Broad-spectrum antibiotics should be started with coverage for anaerobes and gram negatives. Patients in good general condition and without data of systemic inflammatory response can be managed as outpatients in selected cases. Patients who present severity data; oral intolerance, poor general condition, severe pain, or SIRS; requiring therapeutic interventions (e.g., percutaneous drainage) should be hospitalized.
On the other hand, complicated diverticulitis, usually Hinchey Stages II with large abscesses, III and IV, must be hospitalized, start management with bowel rest; broad-spectrum antibiotics, analgesia, and resuscitation in case of SIRS data or management of sepsis and septic shock depending on the severity of the presentation.
In cases of uncomplicated diverticular disease, management will be based on broad-spectrum antibiotics, bowel rest, analgesia, and general measures, without requiring therapeutic or surgical intervention in most cases. Patients with uncomplicated diverticulitis will have a favorable evolution with this management, even in some series the use of antibiotics in mild cases of diverticulitis is questioned8,9.
In stage II with large abscesses (> 4 cm), the most effective and least invasive intervention is image-guided drainage by CT or sonography.
Stages III and IV cover cases of diverticulitis complicated with purulent or fecal peritonitis, for which they must necessarily be hospitalized patients who will require urgent surgical intervention in addition to management of sepsis, severe sepsis, and septic shock depending on the degree of severity and the evolution of the patient.
As the incidence of diverticulitis increases in our environment, our knowledge regarding its treatment advances. A case is shown in which with the appropriate conditions a minimally invasive approach shows satisfactory results. More research should be done regarding this type of approach and its results in diverticulitis.









nueva página del texto (beta)




