ANTECEDENTES
La miel es un fluido producido por abejas del género Apis mellifera o diferentes subespecies generado a partir del néctar de las flores y de otras secreciones extraflorales que las abejas liberan, transportan, transforman y combinan con otras sustancias, y posteriormente deshidratan, concentran y almacenan en sus panales.
Constituye uno de los alimentos más primitivos que el hombre aprovechó para nutrirse. Su composición es compleja y los carbohidratos representan la mayor proporción nutrientes, incluidos la fructosa y glucosa, y en menor cantidad contienen diferentes sustancias, por ejemplo: enzimas, aminoácidos, ácidos orgánicos, antioxidantes, vitaminas y minerales.1
Durante la recolección, los granos de polen se mezclan con la materia prima, y de esta forma pueden encontrarse de 20 a 100,000 granos de polen por cada 10 g de miel, que posteriormente conservan sus propiedades alergénicas durante la elaboración de la miel.2
La alergia por consumo de miel se ha reportado de forma ocasional, con una tasa de incidencia de 0.001–2.3% en la población general. Aunque la información al respecto es limitada, se sospecha que puede producir gran variedad de reacciones, desde leves a sistémicas. La principal causa de alergia a la miel se relaciona con las proteínas del polen y algunas enzimas.2,3
El propósito de este estudio fue caracterizar los componentes alergénicos de la miel mediante inmunotransferencia e inhibición de IgE
REPORTE DE CASO
Paciente masculino de 44 años, sin antecedentes de interés para el padecimiento actual, que acudió a servicio médico por prurito faríngeo de forma inmediata luego de la ingesta de miel. En una segunda ocasión, después de varios días, manifestó un nuevo episodio de prurito faríngeo, seguido de prurito palmo-plantar y axilar, disfagia, mareos y sudoración, de forma inmediata luego de consumir torrijas con miel. No acudió al servicio de Urgencias en ninguna de las dos ocasiones, puesto que los síntomas desaparecieron de forma espontánea, en pocos minutos. Debido a las reacciones evitó el consumo de miel; sin embargo, ha tolerado la ingesta de caramelos que contenían miel sin incidencias. De forma aislada, posterior al consumo de un batido de yogurt de plátano, manifestó leve prurito faríngeo. Refirió la picadura de una avispa en la infancia, manifestando reacción local, sin síntomas adicionales.
Se realizaron pruebas intraepidérmicas con batería de alimentos (cereales, cacao, vegetales, frutas, frutos secos, legumbres, anisakis, mariscos, pescados, leche de vaca, caseína, huevo, ovomucoide, mostaza, LTP, profilina) e inhalantes (ácaros, epitelios, hongos y pólenes), además de prick-prick con miel. Se utilizó histamina y solución como control positivo y negativo, respectivamente. La prueba de prick-prick con miel resultó positiva y el resto de los estudios negativos. Las pruebas de laboratorio informaron: triptasa basal normal (5.03 ug/L), IgE total de 212.2 kU/L, IgE específica para miel de 37.3 kU/L y para Apis de 0.69 kU/L.
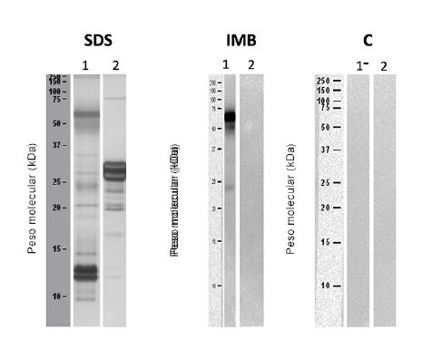
Se solicitaron las pruebas de SDS-PAGE e inmunoblott de extractos de miel y yogurt de plátano (Figura 1), y SDS-PAGE e inmunoblott de extracto de veneno de abeja (Figura 2).
Los patrones de migración electroforética mostraron bandas de 12 a 70 kDa para miel y 12 a 35 kDa para yogurt de plátano. El suero del paciente reconoció proteínas de alto peso molecular, con alta sensibilización a 70 kDa en la miel (Figura 1). No reconoció proteínas en el yogurt de plátano. En cuanto al veneno de abeja, el extracto reportó bandas de 10 a 50 kDa y el paciente reconoció dos proteínas: una compatible con el alérgeno mayor Api m 1 de 16 kDa y otra compatible con Api m 10 de 50 kDa, descritos en WHO/IUIS (Figura 2).

Figura 1 SDS-PAGE (SDS), immunoblot (IMB) y Control negativo (C-). Carril 1: miel; carril 2: yogur de plátano
DISCUSIÓN
Las reacciones alérgicas a la miel se asocian con asma bronquial, urticaria, angioedema y anafilaxia. Sin embargo, la prevalencia de esta alteración se desconoce, puesto que existe información respecto de estos casos. Hoy día se tienen identificados 12 alérgenos de Apis mellifera registrados en la base de alérgenos de la organización Mundial de la Salud/Organización y Unión Internacional de Inmunología (OMS/IUIS). Once pertenecen al veneno de abeja (Api m1-10 y Api m12), mientras que las dos isoformas de Api m 11 (Api m1 1.0101 y Api m 11.0201) provienen de las secreciones de las glándulas productoras de jalea real.
Erban y sus colaboradores4 emprendieron un estudio proteómico de 13 mieles, donde se describieron 8 alérgenos; de éstos, Api m10 (icarapin) y Api m 11.0201 (MRJP9) se encontraron en todas las mieles. El resto de los alérgenos detectados fueron: Api m 2 (hialuronidasa), Api m 7 (serina proteasa CUB), Api m 3 (fosfatasa ácida), Api m 1 (fosfolipasa A2), Api m 4 (melitina) y Api m 12 (vitelogenina).4
Rodríguez-Pérez y su grupo5 revisaron 7 casos de pacientes alérgicos a la miel y encontraron MRJP de Apis mellifera como alérgeno común en todos los casos. De esta forma registraron la isoforma 11.0301 y la consideraron en la base de datos de alérgenos alimentarios.5
Anwar s y su equipo de trabajo7 evaluaron el efecto de los alérgenos de abejas en Arabia Saudita, luego de preparar una lista de alérgenos potenciales de Apis mellifera, y posteriormente una estructura 3D utilizando el servidor web SWISS-MODEL y la base de datos PDB para recuperar la estructura de la región de unión al antígeno del fragmento E de inmunoglobulina (IgE-Fab). Los resultados del acoplamiento (servidor web clusPro) y de la dinámica molecular (Schrödinger) revelaron que la proteína B2DOJ5 de Apis mellifera puede ser la proteína clave asociada con la respuesta alérgica mediada por IgE.6,7
CONCLUSIÓN
El paciente del caso aquí expuesto se encuentra sensibilizado a diferentes proteínas de la miel (2 entre 50-75 kDa y 1 entre 20-25 kDa). No se ha reconocido ninguna proteína en el yogur de plátano. Adicionalmente, se ha identificado una proteína del veneno de abeja de 50 kDa (compatible con Api m 11), lo que sugiere que ésta es la vía de sensibilización primaria. El diagnóstico de alergia a la miel se establece con la historia clínica y el estudio alergológico exhaustivo. El consumo de miel se ha incrementado en los últimos años debido a beneficios nutricionales reconocidos; puede encontrarse en forma de alimento oculto o como trazas en otros suministros, por lo es importante efectuar el estudio meticuloso en caso de reacción alérgica. Durante el proceso de elaboración de la miel participan las glándulas salivales y faríngeas, ubicadas principalmente en la cabeza de las abejas. Este informe de caso demuestra, mediante SDS-page, la sensibilización a varias proteínas de la miel. Es probable que haya reactividad cruzada entre las proteínas de la miel y del veneno de abeja a las que es alérgico el paciente; por tanto, es importante emprender un estudio detallado para ofrecer recomendaciones alimentarias y de alergia a himenópteros adecuadas.










nueva página del texto (beta)




