SciELO - Scientific Electronic Library Online

 
vol.67 número4La neurología de COVID-19Alteraciones inflamatorias clínicas y moleculares en enfermedad granulomatosa crónica índice de autoresíndice de materiabúsqueda de artículos
Home Pagelista alfabética de revistas  

Servicios Personalizados

Revista

Articulo

Indicadores

Links relacionados

  • No hay artículos similaresSimilares en SciELO

Compartir


Revista alergia México

versión On-line ISSN 2448-9190

Rev. alerg. Méx. vol.67 no.4 Ciudad de México oct./dic. 2020  Epub 02-Jun-2021

https://doi.org/10.29262/ram.v67i4.847 

Artículos de revisión

Seguimiento de los pacientes después de neumonía por COVID-19. Secuelas pulmonares

Follow-up of patients after COVID-19 pneumonia. Pulmonary sequelae

1Universidad de Especialidades Espíritu Santo, Samborondón, Ecuador.

2Secretaría de Salud, Instituto Nacional de Enfermedades Respiratorias Ismael Cosío Villegas, Departamento de Fisiología Respiratoria, Ciudad de México, México.


Resumen

COVID-19 es la enfermedad causada por el virus SARS-CoV-2, la cual ha ocasionado una pandemia sin precedentes, con gran cantidad de infectados y muertos en el mundo. Aunque la mayoría de los casos son leves, existe una cantidad considerable de pacientes que desarrollan neumonía o, incluso, síndrome de distrés respiratorio agudo (SDRA). Luego de recuperarse del cuadro inicial, muchos pacientes continúan con diversos síntomas (fatiga, tos seca, fiebre, disnea, anosmia, dolor torácico, entre otras), lo que ha llevado a considerar la posible existencia del “síndrome pos-COVID-19”. Aunque la definición y validez de este síndrome aún no son claras, varios estudios reportan que los individuos recuperados de la COVID-19 pueden tener persistencia de síntomas, anormalidades radiológicas y compromiso en la función respiratoria. La evidencia actual sugiere que existe gran cantidad de secuelas pulmonares despues de una neumonía por COVID-19 (engrosamiento intersticial, infiltrado en vidrio esmerilado, patrón en empedrado, bronquiectasias, entre otras.). De igual forma, parece ser que las pruebas de función pulmonar (espirometría, prueba de difusión pulmonar de monóxido de carbono, prueba de caminata de seis minutos y la medición de las presiones respiratorias máximas), además de la tomografía axial computarizada de alta resolución, son útiles para evaluar las secuelas pulmonares pos-COVID-19. En esta revisión se pretende describir las posibles secuelas a nivel pulmonar posteriores a neumonía por COVID-19, así como sugerir procedimientos diagnósticos para su correcta evaluación y seguimiento, que permitan el manejo adecuado por parte de un equipo médico multidisciplinario.

Palabras clave: Seguimiento; Neumonía; COVID-19; Secuelas; Pruebas de función pulmonar

Abstract

Coronavirus disease 2019 (COVID-19) is an infection caused by SARS-CoV-2 that has caused an unprecedented pandemic with a high rate of morbidity and mortality worldwide. Although most cases are mild, there are a considerable number of patients who develop pneumonia or even acute respiratory distress syndrome (ARDS). After having recovered from the initial disease, many patients continue with various symptoms (fatigue, dry cough, fever, dyspnea, anosmia, and chest pain, among others.), which has led to consider the possible existence of “post-COVID-19 syndrome”. Although the definition and validity of this syndrome are not clear yet, several studies report that individuals who have recovered from COVID-19 may have persistent symptoms, radiological abnormalities, and compromised respiratory function. Current evidence suggests that there is a large number of pulmonary sequelae after COVID-19 pneumonia (interstitial thickening, ground glass opacities, crazy paving pattern, and bronchiectasis, among others). Likewise, it seems that pulmonary function tests (spirometry, DLCO, 6MWT, and measurement of maximum respiratory pressures), in addition to high-resolution computed axial tomographies (CAT scan), are useful for the assessment of these post-COVID-19 pulmonary sequelae. This review aims to describe the possible pulmonary sequelae after COVID-19 pneumonia, as well as to suggest diagnostic procedures for their correct assessment and follow-up; thus, allowing proper management by a multidisciplinary medical team.

Key words: Follow-up; Pneumonia; COVID-19; Sequelae; Pulmonary function tests

Antecedentes

La enfermedad por coronavirus 2019 (COVID-19) es una infección viral causada por SARS-CoV-2; hasta noviembre de 2020 se han registrado más de 55 millones de personas infectadas, con un total de aproximadamente un millón de personas fallecidas. En América Latina se han contabilizado aproximadamente 425 000 decesos, siendo Brasil y México los países más afectados.1

La historia natural de la COVID-19, así como sus manifestaciones clínicas han sido descritas ampliamente en la literatura médica.2 Es bien conocido que el espectro clínico de COVID-19 comprende desde la infección asintomática hasta el compromiso respiratorio severo que conlleva al síndrome de dificultad respiratoria aguda (SDRA), eventos protrombóticos, falla orgánica y, finalmente, la muerte.3 Sin embargo, cada vez son más los reportes que hablan sobre un posible “síndrome pos-COVID-19”.4 Todavía no existe una definición clara sobre esta entidad, pero se ha usado dicho término para referirse a pacientes con síntomas persistentes después de haberse recuperado de COVID-19. De igual manera, los expertos aún no han llegado a un consenso claro entre ellos sobre la validez o importancia de esta condición en la práctica clínica.

En las epidemias anteriores por coronavirus (síndrome respiratorio agudo severo [SARS] y síndrome respiratorio del Medio Oriente [MERS]), los factores de riesgo como la edad y el sexo masculino se asociaron a más complicaciones y peor pronóstico de la enfermedad, siendo una de estas complicaciones la posibilidad de desarrollar una fibrosis pulmonar.5,6

Como ha sido mencionado, los individuos que se han recuperado de SARS (SARS-CoV-2) y MERS, han presentado secuelas funcionales respiratorias, incluso hasta 15 años después de haber padecido la enfermedad. Las principales anormalidades reportadas han sido en la difusión pulmonar de monóxido de carbono (DLCO) y en la prueba de caminata de seis minutos (PC6M), aunque también se ha reportado, aunque en menor grado, en la mecánica respiratoria como disminución en la capacidad vital forzada (FVC) y la capacidad pulmonar total (TLC).7,8,9,10,11

En la actualidad hay un elevado número de pacientes que han sufrido neumonía por COVID-19. Numerosos enfermos necesitan seguimiento adecuado, especialmente tomando en cuenta que ha sido reportada la posible existencia del síndrome pos-COVID-19, en el que los individuos recuperados de la enfermedad tienen persistencia de síntomas, anormalidades radiológicas y compromiso en la función respiratoria.

En la pandemia actual por SARS-CoV-2, varios reportes han demostrado que al menos a corto plazo (uno a tres meses), los pacientes recuperados de COVID-19 pueden cursar con secuelas funcionales parecidas a las reportadas por SARS-CoV y MERS. En estas series se ha señalado consistentemente, que la DLCO es la prueba más afectada en la función respiratoria. Solo un estudio ha reportado disminución en los metros caminados a través de la PC6M y en las presiones inspiratorias máximas (PiMáx). Es interesante notar que aun en los individuos que no requirieron terapia intensiva, la DLCO y algunos parámetros de la espirometría se ven afectados (Cuadro 1).12,13,14,15,16

Cuadro 1. Pruebas de función pulmonar según diferentes estudios 

Autor Yiying Huang12 Justine Frija-Masson13 Xiaoneng Mo14 Yu-miao Zhao15 Tabernero-Huguet E16
Lugar Zhuhai, China París, Francia (no se incluyeron pacientes con ARDS) Guangzhou, China Zhengzho, Henan, China Baracaldo, Vizcaya, España Ninguno de UCI
Número 57 50 110 55 104
Tiempo en días 30 30 20 ± 6 3 meses -
Edad en años 46.7 ± 13.78 54 (46-62) (media y rango) 49.1 ± 14.0 47.7 ± 15.49 -
FEV1, % predicho (media ± DE) 97.89 ± 14.91 93 (83;100) 92.70 ± 11.57 - -
FEV1 < 80 % predicho (n, %) 5 (8.8 %) - 15 (13.64 %) 6 (10.91 %) 7 %
FVC, % predicho (media ± DE) 100.96 ± 15.93 93 (85;99) 93.59 ± 12.25 - -
FVC < 80 % predicho 6 (10.5) - 10 (9.09) 6 (10.91 %) 0 %
FEV1/FVC (media ± DE) 81.22 ± 6.13 0.81 (0.75;0.87) 80.70 ± 5.81, (n =5, 4.5 %) - 11 %
DLCO, % predicho (media ± DE) 78.38 ± 13.59 80 (70;92) 78.18 ± 14.29 - -
DLCO < 80 % predicho (n, %) 30 (52.6 %) 13 (26 %) 51 (47.22 %) 9 (16.36 %) 22 (21.2 %)
TLC, % predicho (media ± DE) - 91.5 (81;103) 86.32 ± 11.32 - -
TLC < 80 % (n, %) 7 (12.3 %) - 27 (25 %) 4 (7.27 %) -
PC6M, metros (media ± DE) 561.97 (45.29) - - - -
PC6M, % predicho (media ± DE) 94.61 (6.55) - - - -
PiMáx < 80 % (n, %) 28 (49.1 %) - - - -
PeMáx <80 % (n, %) 13 (22.8 %) - - - -

ARDS = síndrome de dificultad respiratoria aguda, FEV1 = volumen espiratorio forzado en 1 segundo, % predicho = porcentaje del valor predicho, FVC = capacidad vital forzada, DLCO = prueba de difusión pulmonar de monóxido de carbono, TLC = capacidad pulmonar total, PC6M = prueba de caminata de seis minutos, PiMáx = presión inspiratoria máxima, PeMáx = presión espiratoria máxima.

Esta revisión pretende llamar la atención respecto a cuáles son las posibles secuelas que se pueden presentar en los pacientes después de una neumonía por COVID-19 y también sugerir cuáles son los exámenes complementarios que se deben solicitar para el seguimiento de este tipo de pacientes.

Manifestaciones clínicas en el síndrome pos-COVID-19

La evidencia actual sugiere que muchos pacientes experimentan síntomas persistentes después de haberse recuperado de la infección inicial por SARS-CoV-2. Según datos ingleses, hasta 10 % de los pacientes tiene síntomas por más de tres semanas y, aunque más raro, hay casos cuyos síntomas duran meses.4 Es posible que estas frecuencias varíen entre diferentes poblaciones. De hecho, un estudio estadounidense que involucró a 274 sobrevivientes de COVID-19 reveló que solo 35 % de los participantes había regresado a su estado de salud “usual”, es decir, antes de haberse infectado de SARS-CoV-2.17 Posibles explicaciones para el síndrome pos-COVID-19 incluyen la persistencia del virus en sangre, reinfección, reacciones inflamatorias o inmunes, factores psicológicos, o secuelas de la infección.4

Los síntomas del síndrome pos-COVID-19 pueden variar enormemente entre las diferentes series e, incluso, entre las personas. La mayoría de los estudios reportan la persistencia de síntomas como fatiga, tos no productiva, fiebre de bajo grado, disnea, diarrea, cefalea, dolor torácico, pérdida de peso, anosmia, ageusia, palpitaciones, artralgias, etcétera.4,18,19 De todos estos, la fatiga parece ser el síntoma más común.18,19,20 En el Cuadro 2 se presenta la frecuencia estimada de los síntomas del síndrome pos-COVID-19 después de 60 y 110.9 días del inicio de los síntomas según Carvalho-Schneider et al.18 y Garrigues et al.,19 respectivamente.

Cuadro 2. Frecuencia de los síntomas del síndrome pos-COVID-19 

Síntoma Carvalho-Schneider et al. 18
Control a los 60 días
(n= 130)
Garrigues et al. 19
Control a los 110.9 días
(n = 120)
% n % n
Fatiga/astenia 40 52 55 66
Tos no productiva - - 16.7 20
Fiebre 0 0 - -
Disnea 7.7 10 41.7 50
Anosmia 22.7 29 13.3 16
Alteraciones digestivas 11.5 15 - -
Dolor torácico 13.1 17 10.8 13
Pérdida de peso 17.2 15 - -
Palpitaciones 10.9 14 - -
Artralgias 16.3 21 - -
Alteraciones cutáneas 11.5 15 - -
Desórdenes de sueño - - 30.8 37

Anormalidades pulmonares

Los pacientes que han tenido un compromiso pulmonar por COVID-19 pueden presentar distintas lesiones pulmonares durante la evolución de su enfermedad. En epidemias anteriores por coronavirus como SARS y MERS, la neumonía organizada (NO) inducida por virus ha sido un hallazgo frecuente y bien descrito.21 Esta es una condición histológica de daño pulmonar caracterizada por un llenado en los alveolos y ductos alveolares con fibroblastos en forma de huso y miofibroblastos, los cuales posteriormente forman un tejido de granulación.22 En el caso del SARS, la prevalencia de la NO y su variante histológica denominada neumonía organizada fibrinoide aguda (AFOP) se ha estimado entre 30 y 60 % en pacientes que estuvieron en terapia intensiva.21 En COVID-19, su patrón tomográfico es casi idéntico al de NO.23 Por su parte, también se ha reportado la existencia del patrón histopatológico de AFOP en pacientes con COVID-19.24,25

Las imágenes características de la tomografía axial computarizada de alta resolución (TACAR) en pacientes con neumonía COVID-19 incluyen opacidades de vidrio esmerilado, consolidación, patrón de empedrado (crazy paving), signos de broncograma aéreo y engrosamiento del tabique intralobulillar. Los más frecuentes son el infiltrado en vidrio esmerilado y la consolidación pulmonar. Este último hallazgo se encontró principalmente en pacientes tardíos graves y con progresión de la enfermedad.26

Las TACAR realizadas en el seguimiento pos-COVID-19 han demostrado distintos patrones intersticiales que sugieren NO o AFOP.27 Por otro lado, a largo plazo se observa engrosamiento septal, bronquiectasias de tracción, perdida de volumen pulmonar, bandas fibróticas y, más raramente, imágenes en panalización; todos estos cambios son indicativos de una probable fibrosis pulmonar.28 También se ha reportado mayor presencia de hallazgos de tipo consolidativo durante el seguimiento pos-COVID-19,29 lo que apoya la presencia de NO o AFOP. Los hallazgos reportados en la TACAR de COVID-19 sugieren que estas patologías pueden ocurrir más frecuentemente de lo que se espera.

Como se mencionó anteriormente, respecto a la función pulmonar en los pacientes dados de alta despues de tener neumonía por COVID-19 (excluyendo a los pacientes críticos), se observa que 47.2 % de los pacientes tuvieron disminución de la DLCO, mayor en los pacientes con neumonía grave.14 Incluso a los tres meses del alta hospitalaria, las anormalidades residuales de la función pulmonar fueron reportadas en 25.4 % de los pacientes, siendo la DLCO la más frecuentemente afectada.15

La importancia de la detección oportuna de estas alteraciones pulmonares pos-COVID-19 radica en que un manejo oportuno con rehabilitación pulmonar puede contribuir a disminuir los síntomas y mejorar la calidad de vida de los pacientes.25

Lesiones vasculares pulmonares

COVID-19 se ha asociado a un aumento de fenómenos tromboembólicos. Este aumento de la pro-coagulabilidad vascular puede deberse a un efecto directo del virus sobre el endotelio, produciendo una inflamación endotelial difusa. Además, se produce un reclutamiento de células inmunes, lo que favorece la disfunción endotelial diseminada, la cual está asociada a mayor apoptosis. Esta endotelitis inducida por la COVID-19 podría explicar el daño microcirculatorio sistémico en diferentes lechos vasculares y sus secuelas clínicas.30

Los pacientes que han presentado un evento tromboembólico durante su hospitalización pueden presentar secuelas posteriores como hipertensión pulmonar y limitación al esfuerzo. Aunque estas secuelas no son frecuentes, las mismas son muy limitantes con afectación de la calidad de vida, por lo que se requiere seguimiento y manejo terapéutico especializado.31

Durante el seguimiento de los pacientes con probables secuelas vasculares pulmonares se recomienda la valoración luego de uno a tres meses del evento agudo. Si hay persistencia de los síntomas, a partir de los tres meses se recomienda la realización de una ecocardiografía, siempre que la radiografía del tórax no sea patológica, ya que de serlo es necesario realizar una angiotomografía torácica con cortes finos para valorar simultáneamente el intersticio pulmonar, así como también el probable compromiso vascular.32

Si durante el seguimiento el paciente que tuvo neumonía por COVID-19 presenta disnea, SatO2 baja o DLCO baja con radiografía normal, se debería realizar una ecocardiografía transtorácica para confirmar o descartar signos sugestivos de hipertensión arterial pulmonar (HAP).32

Algunos autores proponen que los pacientes que presentaron neumonía grave por COVID-19 o que requirieron terapia intensiva deberían someterse a valoración más temprana de seguimiento. Se sugiere que dicha valoración tenga lugar de cuatro a seis semanas después del alta hospitalaria.33 El Cuadro 3 muestra los tipos de pacientes con mayor riesgo de padecer complicaciones posteriores a neumonía por COVID-19.

Cuadro 3. Pacientes con más riesgo de complicaciones posterior a neumonía por COVID-1933 

Todos los pacientes que fueron dados de alta y requirieron oxígeno durante su internación.
Todos los pacientes con dependencia prolongada de fracciones inspiradas altas de oxígeno, ventilación a presión positiva continua, ventilación no invasiva o ventilación bi-nivel.
Todos los pacientes que estuvieron en unidad de cuidados intensivos (UCI) o unidades de alta complejidad.
Cualquier paciente que al ser dado de alta hospitalaria, el equipo tratante tuviera alguna duda o preocupación.

Pruebas de función respiratoria

Las pruebas de función respiratoria (PFR) se pueden dividir en las que evalúan la mecánica pulmonar, es decir, los mecanismos para que entre y salga el aire de a través de la vía respiratoria, así como los volúmenes pulmonares. Entre estas pruebas se encuentra la espirometría, pletismografía, presiones respiratorias máximas y la oscilometría. Existen, además, las pruebas que miden el intercambio de gases como la gasometría, oximetría de pulso, capnografía, DLCO y difusión pulmonar de óxido nítrico.34 También están las que evalúan los mecanismos de respuesta ventilatoria a situaciones de hipoxemia o hipercapnia. Cuando en condiciones de reposo no se encuentra un diagnóstico funcional respiratorio, se somete al individuo a situaciones de estrés, donde se miden estos mismos parámetros y generalmente se encuentra el diagnóstico; entre estas pruebas tenemos la PC6M, la prueba de ejercicio cardiorrespiratorio y las pruebas de reto bronquial, entre otras ( Cuadro 4).

Cuadro 4. Principales pruebas de función respiratoria de utilidad en la práctica clínica 

Tipo de prueba Prueba Principales parámetros de medición
Pruebas de mecánica respiratoria Espirometría
  • FEV1, volumen espirado forzado en el primer segundo.

  • FVC, capacidad vital forzada.

  • PEF, flujo espiratorio pico.

  • FEV1/FVC, porcentaje de aire que puede salir en el primer segundo de una espiración forzada.

Pletismografía
  • TLC, capacidad pulmonar total.

  • IC, capacidad inspiratoria.

  • FRC, capacidad residual funcional.

  • RV, volumen residual.

  • ERV, volumen de reserva espiratoria.

Oscilometría
  • Zrs, impedancia respiratoria.

  • Rrs, Resistencias a diferentes frecuencias.

  • Xrs, Reactancias a diferentes frecuencias.

  • Fres, frecuencia de resonancia.

  • Ax, área de reactancia.

Presiones respiratorias máximas
  • PiMáx, presión inspiratoria máxima.

  • PeMáx, presión espiratoria máxima.

Pruebas de intercambio gaseoso Gasometría
  • PaO2, presión arterial de oxígeno.

  • PaCO2, presión arterial de dióxido de carbono.

  • SatO2, saturación de oxígeno.

Oximetría de pulso
  • SpO2, saturación de oxígeno por pulso-oximetría.

Capnografía
  • EtCO2, bióxido de carbono al final de la espiración.

DLCO
  • DLCO, difusión pulmonar de monóxido de carbonoVA, volumen alveolar.DLCO/VA.

Pruebas de control ventilatorio P0.1
  • Presión ejercida a los 100 msg.

FR
  • Frecuencia respiratoria.

FC
  • Frecuencia cardiaca.

Pruebas de estrés respiratorio Prueba de caminata de 6 minutos
  • Metros caminados en 6 minutos de ejercicio submáximo.

  • SpO2, saturación de oxígeno antes, durante y después de la caminata.

  • FC, frecuencia cardiaca antes, durante y después de la caminata.

  • Disnea y fatiga, antes, durante y después de la caminata.

Prueba de ejercicio cardiopulmonar
  • VO2, consumo de oxígeno.

Como se ha mencionado, las principales pruebas estudiadas y que parecen ser de utilidad para la evaluación de los pacientes recuperados de COVID-19 son la espirometría, DLCO, PC6M y medición de las presiones respiratorias máximas;35 por ese motivo serán las que se describirán a continuación.

Espirometría

La espirometría es una prueba que evalúa la mecánica respiratoria, nos permite conocer la velocidad a la cual puede soplar un individuo, es decir, el volumen de aire que puede exhalar una persona en función del tiempo, a partir de una inspiración máxima a la capacidad pulmonar total. De esta forma se puede conocer la capacidad vital forzada (FVC, forced vital capacity), que se refiere a todo el aire que un individuo puede soplar forzadamente después de una inhalación máxima; el volumen espiratorio forzado en el primer segundo de una espiración forzada (FEV1, forced expiratory volume in 1 second), de una maniobra de FVC, el flujo espiratorio pico (PEF, peak expiratory flow) o máximo, el cual es la velocidad máxima que puede realizar un sujeto durante la maniobra de FVC y el cociente FEV1/FVC, que es el porcentaje de aire que puede exhalar una persona en el primer segundo de una exhalación forzada.36

Este porcentaje de aire (FEV1/FVC) dependiendo de la edad, estatura y sexo al nacimiento del sujeto, puede variar entre 68 y 90 %. Los adolescentes prácticamente pueden exhalar casi todo el aire de la maniobra de FVC en el primer segundo, es decir aproximadamente 90 %, mientras que las personas de mayor edad pueden exhalar alrededor de aproximadamente 70 %. De esta forma podemos inferir que el cociente FEV1/FVC será menor a medida que la vía aérea se encuentre más estrecha en enfermedades como asma, enfermedad pulmonar obstructiva crónica (EPOC) o en presencia de hiperreactividad bronquial, como sucede en los pacientes que recientemente han presentado infecciones virales. La capacidad vital se verá disminuida con enfermedades que dañan el parénquima pulmonar o que generan cierta restricción pulmonar. Si el FEV1 o la FVC aumentan ≥ 200 mL y ≥ 12 % al aplicar un broncodilatador, se considera que existe respuesta al broncodilatador.36

Medición de presiones respiratorias máximas

La medición de las presiones inspiratorias (PiMáx) y espiratorias (PeMáx) máximas, evalúan la fuerza de los músculos de la respiración. El músculo del diafragma se valora con la PiMáx y los músculos de la espiración mediante la PeMáx; se trata de pruebas sencillas. Se considera que existe disminución en la fuerza muscular al encontrar los resultados por debajo del límite inferior de la normalidad, que habitualmente corresponde a 80 % del valor predicho.37

En la Figura 1 se observa el resultado de un paciente recuperado de COVID-19, el cual requirió ventilación mecánica invasiva durante su estancia hospitalaria por 48 días. De las mediciones realizadas siempre debe tomarse la maniobra con el valor más elevado, y este se compara con el valor de referencia; el valor más alto de PiMáx es de 78 cm H2O, mientras que el PeMáx es de 53 cm H2O, que corresponde a 62 y 22 % de los valores predichos, respectivamente, los cuales se encuentran disminuidos.

Figura 1. Medición de presiones respiratorias máximas. 

Difusión pulmonar de monóxido de carbono

Como se ha mencionado, esta prueba es la que más afectada en los pacientes recuperados de COVID-19. Es una prueba con la que se evalúa el estado de la membrana alveolo-capilar y, por lo tanto, se le considera una prueba de intercambio gaseoso. La principal variable por medir es precisamente la DLCO, la cual se considera normal si se encuentra por arriba del límite inferior de la normalidad, que habitualmente coincide con 80 % del valor predicho. Es importante al evaluar esta prueba, que el resultado de la DLCO se encuentre ajustado a la presión inspirada de oxígeno de acuerdo con la altitud donde se realiza la prueba, ya que es conocido que hay varios factores que pueden modificarla como es la edad, peso, estatura, sexo, altitud, niveles de hemoglobina y carboxihemoglobina, entre otros.38 Otras variables de gran utilidad son el volumen alveolar y la TLC, ya que brindan información sobre los volúmenes pulmonares, especialmente en sujetos que no cursan con obstrucción grave al flujo aéreo y que no presentan bulas o quistes intratorácicos, lo que representaría aire no comunicado con la vía aérea, en cuyo caso los volúmenes pulmonares deberán ser medidos mediante pletismografía.

En la Figura 2 se observa un estudio de DLCO de un paciente de 68 años de edad recuperado de COVID-19, quien estuvo en ventilación mecánica invasiva durante 34 días. Como puede apreciarse, la DLCO se encuentra por debajo del límite inferior de la normalidad, con volúmenes pulmonares normales (volumen alveolar y TLC), lo cual sugiere que esta disminución en la DLCO se pueda deber a una afectación a nivel de la membrana alveolo-capilar.

Figura 2. Difusión pulmonar de monóxido de carbono en un paciente recuperado de COVID-19. 

Prueba de caminata de seis minutos

La PC6M consiste en que el individuo camine tan rápido como le sea posible a través de un pasillo de 30 m, durante seis minutos.39 El resultado final son los metros caminados por el individuo los cuales se comparan con valores predichos publicados para sujetos de su misma estatura, peso, sexo y etnia. Es de esperar que numerosos pacientes que padecieron COVID-19, que permanecieron mucho tiempo en terapia intensiva y estuvieron bajo ventilación mecánica invasiva, caminen menos metros durante la prueba. Esto se debe a la potencial afectación neuromuscular a nivel de los miembros pélvicos, que podrían experimentar dichos pacientes. Sin embargo, durante la PC6M se miden otras variables como la saturación de oxígeno por pulso-oximetría (SpO2), la frecuencia cardiaca, la tensión arterial sistémica y el grado de disnea y fatiga. De esta forma, es posible identificar a los individuos que en condiciones de reposo oxigenan normal, pero que en condiciones de estrés (como ejercicio submáximo) sufren una disminución en su saturación de oxígeno.40 Se considera que la PC6M presenta disminución en la oxigenación si existe:

  • SpO2≤ 88 % sostenidamente por un minuto.

  • SpO2< 85 % por 15 segundos.

  • Disminución de al menos 4 % de la SpO2 basal por al menos un minuto (aunque no sea inferior a 88 %).41

Prueba de desaturación

En centros donde no se cuente con un pasillo de 30 m y con las condiciones necesarias para realizar la prueba de caminata de 6 minutos, se puede realizar la prueba de desaturación en banda sin fin. Esta prueba consiste en colocar un oxímetro de pulso en el individuo, y una vez que se observa que la medición de SpO2 es estable, se registra la oxigenación, frecuencia cardiaca, tensión arterial sistémica y el grado de disnea y fatiga. El paciente sube a la banda y aumenta la velocidad o la inclinación paulatinamente durante cinco a 10 minutos, dependiendo del protocolo utilizado por el laboratorio.41 La interpretación de esta prueba es prácticamente igual que en la PC6M:

  • SpO2≤ 88 % sostenidamente por un minuto.

  • SpO2< 85 % por 15 segundos.

  • Disminución de al menos 4 % de la SpO2 basal por al menos un minuto (aunque no sea inferior a 88 %).41

  • Cuando el individuo tiene una línea arterial, se considera como prueba positiva si existe una disminución de la SaO2 de al menos 2 % en comparación con lo que presentaba en reposo, o una SaO2 de menos de 88 % durante el ejercicio, o una PaO2≤ 55 mm Hg durante el ejercicio.

En caso de presentar una prueba positiva, el paciente tendría que titularse con oxígeno suplementario.

En la Figura 3 se muestra una prueba de desaturación. Como puede apreciarse, a partir del minuto 1 existe una disminución de 4 % en la oxigenación, que llega hasta 79 %, momento en que se detiene la prueba. Posterior a ello se realiza la titulación de oxígeno y se observa que con 2 L/minutos en reposo el paciente logra una saturación de oxígeno de 96 %, y con ejercicio logra mantener una SpO2 de 90 %.

Figura 3. Prueba de desaturación y titulación de oxígeno. 

Tomografía axial computarizada de alta resolución

La TACAR de tórax se ha posicionado como una valiosa herramienta que ha complementado a la prueba de RT-PCR para el diagnóstico de COVID-19. De hecho, existen múltiples casos en los que la RT-PCR fue inicialmente negativa para SARS-CoV-2 (presumiblemente por carga viral insuficiente), mientras que la TACAR ya mostraba un compromiso pulmonar compatible con COVID-19.42 De igual manera, su gran rapidez y amplia disponibilidad la han vuelto fundamental en el abordaje de los pacientes con sospecha de COVID-19.43

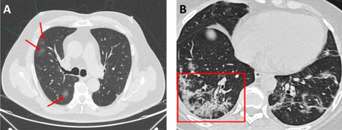
Los hallazgos tomográficos de la COVID-19 son variados y han sido descritos por múltiples series.44,45,46 Aunque dichos hallazgos dependen de la severidad y del estadio de la enfermedad,47 la evidencia sugiere que la principal característica es la presencia de opacidades en vidrio esmerilado (Figura 4A).42 La mayoría de los pacientes presentan un compromiso bilateral, que involucra múltiples lóbulos pulmonares con un marcado predominio de los segmentos inferiores. Otra de las características típicas es que las lesiones siguen una distribución subpleural o periférica.42,43,47 Se ha reportado que las opacidades en vidrio esmerilado pueden asociarse con reticulaciones intralobulares (producto del engrosamiento de los septos intralobulillares), produciendo el patrón en empedrado (crazy paving) (Figura 4B) de 35 a 40 %4 de los casos.44,45 Además, dichas opacidades en vidrio esmerilado pueden confluir y estar acompañadas de áreas de consolidación, produciendo el denominado signo del halo en 64 % de los pacientes.44

Figura 4. Tomografía axial computarizada de alta resolución (TACAR) de dos pacientes con COVID-19. A) Ligeros infiltrados en vidrio esmerilado (flechas rojas). B) Infiltrado en vidrio esmerilado asociado a reticulaciones, que se observa como patrón en empedrado (recuadro rojo). 

Con base en las características tomográficas típicas de COVID-19, la Sociedad Neerlandesa de Radiología creó el sistema de reportes e información para COVID-19 (CO-RADS) para evaluar el grado de sospecha de COVID-19 y estandarizar la comunicación entre médicos. Existen seis categorías de CO-RADS que van desde una sospecha muy baja (CO-RADS1) hasta una sospecha probada (CO-RADS 6), esta última categoría se establece con cualquier hallazgo de COVID-19 más una prueba de RT-PCR positiva. Este sistema ha demostrado una buena capacidad para predecir COVID-19 en pacientes con síntomas moderados a severos, además de tener un alto nivel de acuerdo interobservador.48 Por esta razón su uso se ha popularizado ampliamente en Europa, Estados Unidos y Latinoamérica.

La evolución natural de los hallazgos tomográficos de COVID-19 responden a cuatro fases, según lo sugerido por Pan et al.49 La fase precoz tiene lugar en los primeros cuatro días, seguida por la fase de progresión (cinco a ocho días), la fase pico (nueve a trece días) y, finalmente, la fase de absorción que tiene lugar desde el día 14 en adelante. Dichos autores asignaron una puntuación (cero a cinco puntos) a cada uno de los cinco lóbulos pulmonares dependiendo del porcentaje de compromiso. Un dato interesante es que existía un aumento progresivo de la puntuación hasta el día 10 para luego decaer progresivamente. En cada fase predominan hallazgos diferentes; en la fase 1 son características las imágenes en vidrio esmerilado, mientras que en la fase 2 hay un fuerte infiltrado en vidrio esmerilado asociado a un patrón en empedrado (crazy paving). La fase 3 se caracteriza por predominio de las consolidaciones sobre el infiltrado en vidrio esmerilado. Finalmente, en la fase 4 la infección ya está controlada y la consolidación es reabsorbida gradualmente.42,49

Por otro lado, las lesiones residuales o secuelas pulmonares en pacientes pos-COVID-19 han sido un tema de gran interés. En un estudio de 149 pacientes dados de alta luego de padecer COVID-19, se observó resolución completa de las lesiones pulmonares en las TACAR de 53 % de los pacientes. Sin embargo, en esta misma serie se reportó que hasta 40 % mostraba anomalías pulmonares residuales después de tres semanas del alta médica. La TACAR es útil para evaluar lesiones pulmonares que persisten despúes del cuadro de COVID-19, por lo cual es señalada como el examen imagenológico de elección en estos casos.32

Zhao et al. señalan que las secuelas pulmonares más frecuentes en las TACAR de pacientes pos-COVID-19 a los tres meses de seguimiento son:15

  • Engrosamiento intersticial.

  • Infiltrados en vidrio esmerilado.

  • Patrón en empedrado (crazy paving).

Otros hallazgos tomográficos incluyen bronquiectasias de tracción, disminución del volumen pulmonar y bandas fibróticas.32 Afortunadamente, los reportes de lesiones más severa como las imágenes en panalización (hallazgo tomográfico ugestivo de fibrosis pulmonar) han sido excepcionales.50,51

La evidencia actual sugiere que los pacientes graves que desarrollaron SDRA experimentan una recuperación más lenta de las lesiones. Esto a su vez se traduce en la posterior aparición de secuelas pulmonares en la TACAR.33 Se estima que la edad puede desempeñar un papel importante en la recuperación de las lesiones, ya que los adultos mayores tienen tasas más altas de progresión hacia fibrosis pulmonar. Otros potenciales predictores de fibrosis pulmonar pos-COVID-19 son la severidad de la enfermedad, estancia prolongada en UCI, necesidad de ventilación mecánica, tabaquismo y alcoholismo.52 Sin embargo se necesita una mayor cantidad de estudios para definir los patrones de predicción de fibrosis pulmonar.

Trastornos de la salud mental

El impacto de COVID-19 ha aumentado la prevalencia de comorbilidades psicosociales, tanto en la población general como en los enfermos. Recientemente se demostró que en los supervivientes de COVID-19 existe una prevalencia de 50 % de al menos un desorden psiquiátrico. Entre los desórdenes más prevalentes encontramos trastorno por estrés postraumático, depresión y ansiedad.53 Es bien conocido que las enfermedades mentales están asociadas a un mayor riesgo de mortalidad por diferentes causas.54

Es de esperar entonces que tengamos un aumento de estas enfermedades mentales, por lo tanto creemos conveniente que dentro de la evaluación pos-COVID-19 se incluya la aplicación de cuestionarios para ansiedad, depresión y estrés postraumático. Esto nos permitirá diagnosticar y tratar los desórdenes psiquiátricos y monitorear su cambio en el tiempo.32,55 Existen algunos cuestionarios validados que se usan en la práctica diaria como el cuestionario de ansiedad de Beck, la prueba de ansiedad y depresión hospitalaria (HADS) y la escala para el trastorno generalizado de ansiedad.

Estrategias de seguimiento

Diferentes sociedades médicas han desarrollado consensos, guías y estrategias de seguimiento de los pacientes que han presentado compromiso pulmonar pos-COVID-19.32,55,56 Todas estas estrategias deben ser adaptadas a la realidad de cada país, procurando de alguna manera escoger las pruebas que se encuentran a disposición a fin de detectar a tiempo complicaciones reversibles y que responden a tratamiento adecuado. De allí la importancia de conocer cuáles son los métodos y pruebas que deben solicitarse o cuándo corresponde hacerlo (Figura 5).

Figura 5. Algoritmo de seguimiento pulmonar post-SARS-CoV-2. HADS = Hospital and Depression Scale, GAD-7 = Generalized Anxiety Disorder, PTSD = screening for postraumatic stress disorder, PiMáx = presión inspiratoria máxima, SNIP = sniff nasal inspitatory pressure

Cada vez existen más pacientes que se han recuperado de COVID-19, por lo que se debe priorizar la atención oportuna, ya sea por telemedicina o en forma presencial, de todos los paciente que han presentado neumonía por COVID-19. La capacitación a los médicos de atención primaria sobre los síntomas de probables secuelas pulmonares y los exámenes funcionales que se deben solicitar, como las pruebas funcionales respiratorias y los métodos radiológicos apropiados,32 hará posible la detección temprana y, a su vez, la derivación oportuna para revisión especializada. De igual manera, después de la derivación el especialista podrá ofrecer alternativas de tratamiento para evitar potenciales secuelas irreversibles.

Siguiendo el esquema de monitoreo propuesto, es posible tener una visión oportuna de los cambios que se presentan en el seguimiento de los pacientes. Hemos reportado cómo se ve la modificación de las pruebas de función respiratoria durante los primeros seis meses de seguimiento en una paciente con neumonía grave por COVID-19.57 Claramente se puede apreciar cómo los valores van aumentando a medida que pasan los meses luego de haber iniciado tratamiento con rehabilitación pulmonar y oxigenoterapia durante las primeras semanas de convalecencia (Cuadro 5). Del mismo modo, al inicio de la enfermedad se observan imágenes de consolidación asociada a un patrón en empedrado en la TACAR (Figura 6A); en tanto que a los seis meses, en la TACAR de control es posible observar bronquiectasias de tracción, engrosamiento de septos interlobulillares y tenues infiltrados en vidrio esmerilado ( Figura 6B).

Cuadro 5. Seguimiento de pruebas de función pulmonar 

Tercer mes Cuarto mes Sexto mes
Parámetro Valor absoluto Predicho ( %) Valor absoluto Predicho ( %) Valor absoluto Predicho ( %)
Espirometría
FVC (L) 1.06 40 1.31 49 1.38 52
FEV1 (L) 0.92 44 1.12 54 1.13 54
FEV1/FVC (L) 0.87 111 86.00 109 81.70 104
FEF25-75 % (L/s) 1.40 66 1.71 80 1.33 63
Prueba de difusión pulmonar de monóxido de carbono
DLCO 8.30 41 12.10 60 11.70 58
DLCO/VA (KCO) 4.52 85 4.03 76 4.32 82
TLC sb (L) 2.00 51 3.15 80 2.86 72
Prueba de caminata de 6 minutos
DR-6m (metros) 264 55 294 61 359 75
SatO2 nasal (%) 93 N/A 96 N/A 97 N/A
SatO2 posejercicio (%) 88 N/A 91 N/A 96 N/A

FVC = capacidad vital forzada, FEV1 = volumen espiratorio forzado en 1 segundo, FEF = flujo espiratorio forzado, DLCO = prueba de difusión pulmonar de monóxido de carbono, VA = volumen alveolar, KCO = Coeficiente de transferencia de monóxido de carbono, TLC = capacidad pulmonar total, PC6M = prueba de caminata de 6 minutos, DR-6m = distancia recorrida en seis minutos. N/A = no aplica.

Figura 6. Tomografía axial computarizada de alta resolución (TACAR) en paciente con COVID-19 grave. A) La TACAR realizada durante el cuadro agudo muestra lesiones consolidativas bilaterales posteriores (círculos rojos) con broncograma aéreo en lado derecho (flechas rojas). En ubicación anterior a estas últimas lesiones se aprecian lesiones bilaterales con patrón en empedrado (recuadros rojos). B) La TACAR de control a los seis meses de haber padecido COVID-19 muestra engrosamiento bilateral de septos interlobulillares en regiones posteriores (flechas rojas). También se aprecia dilataciones bronquiales segmentarias aisladas (bronquiectasias, círculos rojos), además de infiltrados en vidrio esmerilado tenues en etapa de regresión (recuadros rojos). 

Consideraciones finales

  • Existen complicaciones respiratorias debido a neumonía por COVID-19, las cuales pueden ser tempranas o a largo plazo.

  • Complicaciones como fibrosis pulmonar y enfermedad vascular pulmonar se deben identificar en los estadios más tempranos posibles.

  • La TACAR y las pruebas funcionales respiratorias que incluyen una espirometría, la prueba de difusión de carbono, la prueba de caminata de seis minutos y la medición de presión inspiratoria máxima se deben realizar entre las seis y ocho semanas luego del alta médica.

  • La evaluación de ansiedad, depresión y estrés postraumático son evaluaciones imprescindibles en el seguimiento de los pacientes.

Conclusión

La infección por SARS-CoV-2 que produce COVID-19 ha afectado a más de 55 millones de personas hasta noviembre de 2020 y es probable que permanezca algunos años más. Por lo tanto, es de esperar que un gran número de individuos experimente secuelas a largo plazo, principalmente pulmonares. Es imperativo que exista un equipo multidisciplinario para solicitar los exámenes adecuados de forma oportuna, asegurando una correcta evaluación de los pacientes. Esto permitirá la identificación precoz de potenciales complicaciones pulmonares pos-COVID-19, con el fin de proporcionar el tratamiento adecuado y evitar secuelas posteriores.

Agradecimientos

A los doctores Xavier Delgado, Eduardo Guzmán, Fernando Alvarado y José Roberto Espinoza, de la Universidad de Especialidades Espíritu Santo, Ecuador.

Referencias

1. Muertes por COVID19 en América Latina y el Caribe [Internet]. Statista; c2021. Disponible en: https://es.statista.com/estadisticas/1105336/covid-19-numero-fallecidos-america-latina-caribe/Links ]

2. Machhi J, Herskovitz J, Senan AM, Dutta D, Nath B, Oleynikov MD, et al. The natural history, pathobiology, and clinical manifestations of SARS-CoV-2 infections. J Neuroimmune Pharmacol. J Neuroimmune Pharmacol. 2020;15(Suppl 2):1-28. DOI: 10.1007/s11481-020-09944-5 [ Links ]

3. Wang D, Hu B, Hu C, Zhu F, Liu X, Zhang J, et al. Clinical characteristics of 138 hospitalized patients with 2019 novel coronavirus-infected pneumonia in Wuhan, China. JAMA. 2020;323(11):1061. DOI: 10.1001/jama.2020.1585 [ Links ]

4. Greenhalgh T, Knight M, A’Court C, Buxton M, Husain L. Management of post-acute covid-19 in primary care. BMJ. 2020;370:m3026. DOI: 10.1136/bmj.m3026 [ Links ]

5. Hui DS, Joynt GM, Wong KT, Gommersall CD, Li ST, Antonio G, et al. Impact of severe acute respiratory syndrome (SARS) on pulmonary function, functional capacity and quality of life in a cohort of survivors. Thorax. 2005;60(5):401-409. DOI: 10.1136/thx.2004.030205 [ Links ]

6. Das KM, Lee EY, Singh R, Langer RD, Larsson SG, Enani MA, et al. Follow-up chest radiographic findings in patients with MERS-CoV after recovery. Indian J Radiol Imaging. 2017;27(3):342-349. DOI: 10.4103/ijri.IJRI_469_16 [ Links ]

7. Hui DS, Wong KT, Ko FW, Tam LS, Chan DP, Woo J, et al. The 1-year impact of severe acute respiratory syndrome on pulmonary function, exercise capacity, and quality of life in a cohort of survivors. Chest. 2005;128(4):2247-2261. DOI: 10.1378/chest.128.4.2247 [ Links ]

8. Ong KC, Ng AWK, Lee LSU, Kaw G, Kwek SK, Earnest A, et al. 1-year pulmonary function and health status in survivors of severe acute respiratory syndrome. Chest. 2005;128(3):1393-1400. DOI: 10.1378/chest.128.3.1393 [ Links ]

9. Zhang P, Li J, Liu H, Ju J, Kou Y, Jiang M, et al. Long-term bone and lung consequences associated with hospital-acquired severe acute respiratory syndrome: a 15-year follow-up from a prospective cohort study. Bone Res. 2020;8(1):1-8. DOI: 10.1038/s41413-020-0084-5 [ Links ]

10. Xie L, Liu Y, Xiao Y, Tian Q, Fan B, Zhao H, et al. Follow-up study on pulmonary function and lung radiographic changes in rehabilitating severe acute respiratory syndrome patients after discharge. Chest. 2005;127(6):2119-2124. DOI: 10.1378/chest.127.6.2119 [ Links ]

11. Ngai JC, Ko FW, Ng SS, To KW, Tong M, Hui DS. The long-term impact of severe acute respiratory syndrome on pulmonary function, exercise capacity and health status. Respirology. 2010;15(3):543-550. DOI: 10.1111/j.1440-1843.2010.01720.x [ Links ]

12. Huang Y, Tan C, Wu J, Chen M, Wang Z, Luo L, et al. Impact of coronavirus disease 2019 on pulmonary function in early convalescence phase. Respir Res. 2020;21(1):163. DOI: 10.1186/s12931-020-01429-6 [ Links ]

13. Frija-Masson J, Debray MP, Gilbert M, Lescure FX, Travert F, Borie R, et al. Functional characteristics of patients with SARS-CoV-2 pneumonia at 30 days post-infection. Eur Respir J. 2020;56(2):2001754. DOI: 10.1183/13993003.01754-2020 [ Links ]

14. Mo X, Jian W, Su Z, et al. Abnormal pulmonary function in COVID-19 patients at time of hospital discharge. Eur Respir J. 2020;55(6):2001217. DOI: 10.1183/13993003.01217-2020 [ Links ]

15. Zhao Y, Shang Y, Song W, Li Q, Xie H, Li L, et al. Follow-up study of the pulmonary function and related physiological characteristics of COVID-19 survivors three months after recovery. EClinicalMedicine. 2020;25:100463. DOI: 10.1016/j.eclinm.2020.100463 [ Links ]

16. Tabernero-Huguet E, Urrutia-Gajarte A, Ruiz-Iturriaga LA, Serrano-Fernandez L, Marina-Malanda N, Iriberri-Pascual M, et al. Pulmonary function in early follow-up of patients with COVID-19 Pneumonia. Arch Bronconeumol. 2021;57(Suppl 1):75-76. DOI: 10.1016/j.arbres.2020.07.017 [ Links ]

17. Tenforde MW. Symptom duration and risk factors for delayed return to usual health among outpatients with COVID-19 in a multistate health care systems network - United States, March-June 2020. MMWR Morb Mortal Wkly Rep. 2020;69(30):993-998. DOI: 10.15585/mmwr.mm6930e1 [ Links ]

18. Carvalho-Schneider C, Laurent E, Lemaignen A, Beaufils E, Laribi S, Stefic K, et al. Follow-up of adults with noncritical COVID-19 two months after symptom onset. Clin Microbiol Infect. 2020. DOI: 10.1016/j.cmi.2020.09.052 [ Links ]

19. Garrigues E, Janvier P, Kherabi Y, Le Bot A, Hamon A, Gouze H, et al. Post-discharge persistent symptoms and health-related quality of life after hospitalization for COVID-19. J Infect. 2020;81(6):e4-e6. DOI: 10.1016/j.jinf.2020.08.029 [ Links ]

20. Halpin SJ, McIvor C, Whyatt G, Adams A, Harvey O, McLean L, et al. Postdischarge symptoms and rehabilitation needs in survivors of COVID-19 infection: a cross-sectional evaluation. J Med Virol. 2021;93(2):1013-1022. DOI: 10.1002/jmv.26368 [ Links ]

21. Hwang DM, Chamberlain DW, Poutanen SM, Low DE, Asa SL, Butany J. Pulmonary pathology of severe acute respiratory syndrome in Toronto. Mod Pathol. 2005;18(1):1-10. DOI: 10.1038/modpathol.3800247 [ Links ]

22. Kligerman SJ, Franks TJ, Galvin JR. From the radiologic pathology archives: organization and fibrosis as a response to lung injury in diffuse alveolar damage, organizing pneumonia, and acute fibrinous and organizing pneumonia. Radiographics. 2013;33(7):1951-1975. DOI: 10.1148/rg.337130057 [ Links ]

23. Wang Y, Jin C, Wu CC, Zhao H, Liang T, Liu Z, et al. Organizing pneumonia of COVID-19: time-dependent evolution and outcome in CT findings. PLoS One. 2020;15(11):e0240347. DOI: 10.1101/2020.05.22.20109934 [ Links ]

24. Copin MC, Parmentier E, Duburcq T, Poissy J, Mathieu D, et al. Time to consider histologic pattern of lung injury to treat critically ill patients with COVID-19 infection. Intensive Care Med. 2020;46(6):1124-1126. DOI: 10.1007/s00134-020-06057-8 [ Links ]

25. Kory P, Kanne JP. SARS-CoV-2 organising pneumonia: “has there been a widespread failure to identify and treat this prevalent condition in COVID-19?” BMJ Open Respir Res. 2020;7(1):e000724. DOI: 10.1136/bmjresp-2020-000724 [ Links ]

26. Awulachew E, Diriba K, Anja A, Getu E, Belayneh F. Computed tomography (CT) imaging features of patients with COVID-19: systematic review and meta-analysis. Radiol Res Pract. 2020;2020:1023506. DOI: 10.1155/2020/1023506 [ Links ]

27. Kanne JP, Little BP, Chung JH, Elicker BM, Ketai LH. Essentials for radiologists on COVID-19: an update-radiology scientific expert panel. Radiology. 2020;296(2):E113-E114. DOI: 10.1148/radiol.2020200527 [ Links ]

28. Yang W, Sirajuddin A, Zhang X, Liu G, Teng Z, Zhao S, et al. The role of imaging in 2019 novel coronavirus pneumonia (COVID-19). Eur Radiol. 2020:1-9. DOI: 10.1007/s00330-020-06827-4 [ Links ]

29. Guan CS, Wei LG, Xie RM, Lv ZB, Yan S, Zhang ZX, et al. CT findings of COVID-19 in follow-up: comparison between progression and recovery. Diagn Interv Radiol. 2020;26(4):301-307. DOI: 10.5152/dir.2019.20176 [ Links ]

30. Varga Z, Flammer AJ, Steiger P, Andermatt R, Mehra MR, Moch H, et al. Endothelial cell infection and endotheliitis in COVID-19. Lancet. 2020;395(10234):1417-1418. DOI: 10.1016/S0140-6736(20)30937-5 [ Links ]

31. Molina-Molina M. Secuelas y consecuencias de la COVID-19. Neumonol Salud. 2020;13(2):71-77. Disponible en: http://www.neumologiaysalud.es/descargas/R13/R132-8.pdfLinks ]

32. Sibila O, Molina-Molina M, Valenzuela C, Ríos-Cortés A, Arbillaga-Etxarri A, Díaz-Pérez D, et al. Documento de consenso de la Sociedad Española de Neumología y Cirugía Torácica (SEPAR) para el seguimiento clínico post-COVID-19. Open Respir Arch. 2020;2(4):278-283. DOI: 10.1016/j.opresp.2020.09.002 [ Links ]

33. George PM, Barratt SL, Condliffe R, Desai SR, Devaraj A, Forrest I, et al. Respiratory follow-up of patients with COVID-19 pneumonia. Thorax . 2020;75(11):1009-1016. DOI: 10.1136/thoraxjnl-2020-215314 [ Links ]

34. Pellegrino R, Viegi G, Brusasco V, Crapo RO, Burgos F, Coates A, et al. Interpretative strategies for lung function tests. Eur Respir J. 2005;26(5):948-968. DOI: 10.1183/09031936.05.00035205 [ Links ]

35. Gochicoa-Rangel L, Torre-Bouscoulet L, Salles-Rojas A, Guzmán-Valderrábano C, Silva-Cerón M, et al. Functional respiratory evaluation in the COVID-19 era: the role of pulmonary function test laboratories. Rev Investig Clin. 2020;73(4). DOI: 10.24875/RIC.20000250 [ Links ]

36. Graham BL, Steenbruggen I, Miller MR, Cooper BG, Hall GL, Oropez CE, et al. Standardization of spirometry 2019 update. An official American Thoracic Society and European Respiratory Society Technical Statement. Am J Respir Crit Care Med. 2019;200(8):e70-e88. DOI: 10.1164/rccm.201908-1590ST [ Links ]

37. Mora-Romero UJ, Gochicoa-Rangel L, Guerrero-Zúñiga S, Cid-Juárez S, Silva-Calderón M, Salas-Escamilla I, et al. Presiones inspiratoria y espiratoria máximas: recomendaciones y procedimiento. Neumol Cir Torax. 2019;78(S2):135-141. DOI: 10.35366/NTS192F [ Links ]

38. Graham BL, Brusasco V, Burgos F, Cooper BG, Jensen R, Kendrick A, et al. 2017 ERS/ATS standards for single-breath carbon monoxide uptake in the lung. Eur Respir J. 2017;49(1):1600016. DOI: 10.1183/13993003.00016-2016 [ Links ]

39. Holland AE, Spruit MA, Troosters T, Puhan MA, Pepin V, Saey D, et al. An official European Respiratory Society/American Thoracic Society technical standard: field walking tests in chronic respiratory disease. Eur Respir J. 2014;44(6):1428-1446. DOI: 10.1183/09031936.00150314 [ Links ]

40. Gochicoa-Rangel L, Mora-Romero U, Guerrero-Zúñiga S, Silva-Cerón M, Cid-Juárez S, et al. Prueba de caminata de 6 minutos: recomendaciones y procedimientos. Neumol Cir Torax. 2015;74(2):10. Disponible en: https://www.medigraphic.com/pdfs/neumo/nt-2015/nt152h.pdfLinks ]

41. Vargas-Domínguez C, Mejía-Alfaro R, Martínez-Andrade R, Silva-Cerón M, Vázquez-García JC, Torre-Bouscoulet L. Prueba de desaturación y titulación de oxígeno suplementario. Recomendaciones y procedimientos. Neumol Cir Torax. 2019;78(S2):187-197. DOI: 10.35366/NTS192L [ Links ]

42. Hani C, Trieu NH, Saab I, et al. COVID-19 pneumonia: a review of typical CT findings and differential diagnosis. Diagn Interv Imaging. 2020;101(5):263-268. DOI: 10.1016/j.diii.2020.03.014 [ Links ]

43. Jalaber C, Lapotre T, Morcet-Delattre T, Ribet F, Jouneau S, Lederlin M. Chest CT in COVID-19 pneumonia: a review of current knowledge. Diagn Interv Imaging. 2020;101(7-8):431-437. DOI: 10.1016/j.diii.2020.06.001 [ Links ]

44. Han R, Huang L, Jiang H, Dong J, Peng H, Zhang D. Early clinical and CT manifestations of coronavirus disease 2019 (COVID-19) pneumonia. AJR Am J Roentgenol. 2020;215(2):338-343. DOI:10.2214/AJR.20.22961 [ Links ]

45. Liu K-C, Xu P, Lv W-F, et al. CT manifestations of coronavirus disease-2019: a retrospective analysis of 73 cases by disease severity. Eur J Radiol. 2020;126:108941. DOI: 10.1016/j.ejrad.2020.108941 [ Links ]

46. Caruso D, Zerunian M, Polici M, et al. Chest CT features of COVID-19 in Rome, Italy. Radiology. 2020;296(2):E79-E85. DOI: 10.1148/radiol.2020201237 [ Links ]

47. Kaufman AE, Naidu S, Ramachandran S, Kaufman DS, Fayad ZA, Mani V. Review of radiographic findings in COVID-19. World J Radiol. 2020;12(8):142-155. DOI: 10.4329/wjr.v12.i8.142 [ Links ]

48. Prokop M, van Everdingen W, van Rees.Vellinga T, van Ufford HQ, Stöger L, et al. CO-RADS: a categorical CT assessment scheme for patients suspected of having COVID-19-definition and evaluation. Radiology. 2020;296(2):E97-E104. DOI: 10.1148/radiol.2020201473 [ Links ]

49. Pan F, Ye T, Sun P, Gui S, Liang B, Li L, et al. Time course of lung changes on chest CT during recovery from 2019 novel coronavirus (COVID-19). Radiology . 2020;295(3):715-721. DOI: 10.1148/radiol.2020200370 [ Links ]

50. Combet M, Pavot A, Savale L, Humbert M, Monnet X. Rapid onset honeycombing fibrosis in spontaneously breathing patient with COVID-19. Eur Respir J. 2020;56(2):2001808. DOI: 10.1183/13993003.01808-2020 [ Links ]

51. Kayhan S, Kocakoç E. Pulmonary fibrosis due to COVID-19 pneumonia. Korean J Radiol. 2020;21(11):1273. DOI: 10.3348/kjr.2020.0707 [ Links ]

52. Ojo AS, Balogun SA, Williams OT, Ojo OS. Pulmonary fibrosis in COVID-19 survivors: predictive factors and risk reduction strategies. Pulm Med. 2020. DOI: 10.1155/2020/6175964 [ Links ]

53. Mazza MG, de Lorenzo R, Conte C, Poletti S, Furlan R, Ciceri F, et al. Anxiety and depression in COVID-19 survivors: role of inflammatory and clinical predictors. Brain Behav Immun. 2020;89:594-600. DOI: 10.1016/j.bbi.2020.07.037 [ Links ]

54. Cuijpers P, Vogelzangs N, Twisk J, Kleiboer A, Li J, Penninx BW. Comprehensive meta-analysis of excess mortality in depression in the general community versus patients with specific illnesses. Am J Psychiatry. 2014;171(4):453-462. DOI: 10.1176/appi.ajp.2013.13030325 [ Links ]

55. Spruit MA, Holland AE, Singh SJ, Tonia T, Wilson KC, Troosters T. COVID-19: interim guidance on rehabilitation in the hospital and post-hospital phase from a European Respiratory Society and American Thoracic Society-coordinated international task force. Eur Respir J. 2020;56(6):2002197. DOI: 10.1183/13993003.02197-2020 [ Links ]

56. Bai C, Chotirmall SH, Rello J, Alba GA, Ginns LC, Krishnan JA, Rogers R, et al. Updated guidance on the management of COVID-19: from an American Thoracic Society/European Respiratory Society coordinated International Task Force (29 July 2020). Eur Respir Rev. 2020;29(157):200287. DOI: 10.1183/16000617.0287-2020 [ Links ]

57. Chérrez-Ojeda I, Vanegas E, Felix M. The unusual experience of managing a severe COVID-19 case at home: what can we do and where do we go? BMC Infect Dis. 2020;20(1):862. DOI: 10.1186/s12879-020-05608-0 [ Links ]

Este artículo debe citarse como: Chérrez-Ojeda I, Gochicoa-Rangel L, Salles-Rojas A, Mautong H. Seguimiento de los pacientes después de neumonía por COVID-19. Secuelas pulmonares. Rev Alerg Mex. 2020;67(4):350-369

Abreviaturas y siglas

AFOP,

neumonía organizada fibrinoide aguda

Ax,

área de reactancia

COVID-19,

enfermedad por coronavirus 2019

DLCO,

difusión pulmonar de monóxido de carbono

DR-6m,

distancia recorrida en seis minutos

EPOC,

enfermedad pulmonar obstructiva crónica

ERV,

volumen de reserva espiratoria

EtCO2,

bióxido de carbono al final de la espiración

FEF,

flujo espiratorio forzado

FEV1,

volumen espiratorio forzado en el primer segundo

Fres,

frecuencia de resonancia

FVC,

capacidad vital forzada

HADS,

prueba de ansiedad y depresión hospitalaria

HAP,

hipertensión arterial pulmonar

IC,

capacidad inspiratoria

KCO,

coeficiente de transferencia de monóxido de carbono

MERS,

Middle-East respiratory syndrome

NO,

neumonía organizada

PaCO2,

presión arterial de dióxido de carbono

PaO2,

presión arterial de oxígeno

PC6M,

prueba de caminata de seis minutos

PEF,

flujo espiratorio pico

PeMáx,

presión espiratoria máxima

PFR,

pruebas de función respiratoria

PiMáx,

presión inspiratoria máxima

Rrs,

resistencias a diferentes frecuencias

RV,

volumen residual

SARS,

severe acute respiratory syndrome

SARS-CoV-2,

SARS por coronavirus 2

SatO2,

saturación de oxígeno

SDRA,

síndrome de dificultad respiratoria aguda

SNIP,

sniff nasal inspitatory pressure

SpO2,

saturación de oxígeno por pulsooximetría

TACAR,

tomografía axial computarizada de alta resolución

TLC,

capacidad pulmonar total

UCI,

unidad de cuidados intensivos

Xrs,

reactancias a diferentes frecuencias

Zrs,

impedancia respiratoria

Recibido: 04 de Agosto de 2020; Aprobado: 19 de Agosto de 2020

*Correspondencia: Iván Chérrez-Ojeda. ivancherrez@gmail.com

Creative Commons License Este es un artículo publicado en acceso abierto bajo una licencia Creative Commons