Antecedentes
Las urgencias neurológicas que reúnen la constelación de síntomas, alteraciones del estado de conciencia, síntomas neuropsiquiátricos, movimientos anormales, deterioro del lenguaje, disautonomías, cefalea, vómito o crisis convulsivas alertan al médico1 y suponen que existe daño severo en el sistema nervioso central. El síndrome encefálico implica un proceso inflamatorio del parénquima cerebral se manifiesta como un conjunto de síntomas y signos con disminución o alternancia del nivel de conciencia, que suele prolongarse por más de 24 horas. Este escenario está relacionado con causas agudas metabólicas, tóxicas e infecciosas, siendo está última la más común, vinculada a déficit temporal o permanente según el agente etiológico.2,3
La encefalitis autoinmune se presenta como un cuadro subagudo con fuerte asociación infecciosa en los casos pediátricos. Sin embargo, en los últimos 20 años la frecuencia de casos no infecciosos ha aumentado de manera significativa.4 Por evolución tórpida del paciente, susceptibilidad mayor a infección y autoinmunidad, se sospecha causa posible por lesión inmunológica. Se estudian los compartimientos de respuesta humoral y celular.
Caso clínico
Niño de ocho años tres meses, natural y procedente de Bogotá, Colombia. Fue hospitalizado por cuadro clínico de cinco días de evolución de astenia, adinamia, hiporexia, somnolencia, cefalea global intensidad severa, vómito en proyectil (siete episodios), diplopia horizontal, asistencia para la marcha.
Sin antecedentes patológicos de relevancia, neurodesarrollo normal, en el ámbito escolar con buen desempeño, sin trastornos del sueño. El paciente mostró reacción adversa a cefalexina y amoxicilina. Poseía esquema de vacunación completo. Sin antecedentes familiares de inmunodeficiencias o enfermedades autoinmunes, enfermedades neurológicas progresivas o muertes inexplicables. No existía consanguinidad ni endogamia.
Examen neurológico de ingreso
A la hospitalización, el paciente se encontraba alerta, orientado en tiempo, espacio y persona; seguía órdenes complejas, su lenguaje era adecuado en contenido y velocidad, no presentaba afasias ni agnosias. La oftalmoscopia bilateral fue normal, se observó isocoria reactiva de 3 mm, reflejo fotomotor positivo, reflejo consensual bilateral, sin oftalmoparesias. Durante la exploración negó diplopía, aunque indicó que la presentaba en forma intermitente. Se observó simetría facial, lengua y úvula centradas; el paciente indicó presencia de reflejo nauseoso. La fuerza cervical se encontraba conservada, el tono y la fuerza muscular eran normales en las cuatro extremidades, reflejos normales, respuesta plantar flexora, marcha sin alteraciones, sin signos encefálicos, meníngeos o cerebelosos, ni movimientos anormales.
Evolución hospitalaria
La evolución fue tórpida a las 48 horas, con deterioro neurológico progresivo; el lenguaje se tornó incoherente, ecolálico y el estado de conciencia fluctuaba de agitación severa a somnolencia y estupor. Los movimientos de los ojos eran anormales. El paciente fue traslado a la unidad de cuidados intensivos pediátricos, donde se registró hipertensión arterial sistémica, hipotiroidismo e hiponatremia asociada a síndrome de secreción inadecuada de hormona antidiurética y crisis convulsivas focales no provocadas. El estado neurológico evolucionó a mínima conciencia, síndrome distónico y trastorno deglutorio (gastrostomía).
Tratamiento
Consisitió en corticosteroides (30 mg/kg de metil-prednisolona, tres dosis), plasmaféresis (cuatro recambios) e inmunoglubulina humana (2 g/kg de IgG intravenosa). Ante pobre respuesta se administraron 375 mg/m2 de superficie corporal de rituximab (cuatro dosis) y 500 mg de ciclofosfamida (dos dosis). En el Cuadro 1 se resumen los estudios de diagnóstico y tratamiento. El paciente fue egresado con manejo médico y recomendaciones de terapia física y respiratoria en casa, con diagnóstico de encefalitis autoinmune-encefalitis límbica.
Cuadro 1. Estudios ante sospecha de encefalitis autoinmune
| • Imagen por resonancia magnética cerebral simple y contrastada: edema vasogénico talámico dorsomedial y pulvinar bilateral mayor derecho, hiperintensidad en T2 y FLAIR isointenso en T1. Difusión con restricción asociada en la misma zona, con extensión a región cingular |
| • Angiorresonancia: fases angiográficas normales, hiperintensidades en tálamo, compromiso en estructuras mediales sugestivo de encefalitis límbica |
| • Videoelectroencefalograma de seis horas: encefalopatía difusa moderada/grave. Actividad lenta focal frontal. Actividad epileptiforme temporal y fronto-centro-parietal izquierda |
| • PET-scan: marcador fluorodeoxiglucosa normal |
| • Líquido cefalorraquídeo: presión de apertura 22 cm H2O, leucocitos 8, glucosa 87 mg/dL, proteínas 34.45 mg/dL, ácido láctico 3.3 mmol/L |
| • Detección de patógenos por reacción en cadena de polimerasa, panel meningitis FilmArray® negativo |
| • Anticuerpos antirreceptor NMDA negativo |
| • PCR Mycobacterium tuberculosis negativo |
| Perfil inmunológico de ingreso |
| • Inmunoglobulinas: IgE 568.3 UI (alta), IgA 1.8 g/dL (normal), IgG 6.70 g/dL (normal límite bajo), IgM 0.2 g/dL (normal límite bajo), C3 110 mg/dL, C4 23 mg/dL (normales), CH50 923.4 (normal) |
| • ANAS, ANCAS, antiRO-antiLA negativos |
| • Anticoagulante lúpico: reactivo 31.6 |
PET-scan = tomografía por emisión de positrones, PCR = reacción en cadena de la polimerasa, ANA = anticuerpos antinucleares, ANCAS = anticuerpos anticitoplasma de neutrófilos, AntiRo-antiLA = anticuerpos nucleares extractables anticuerpos antirreceptor, NMDA = N-metil-D-aspartato.
Seguimiento
El paciente reingresó cuatro meses después por fiebre de ocho días de evolución asociada a tos productiva y crisis convulsiva. Por radiografía de tórax se documentó engrosamiento peribronquial bilateral con tendencia a consolidación del lóbulo superior derecho y opacidades alveolares bilaterales con predominio central y basal (ampicilina-sulbactam). El panel viral indicó positividad a influenza A y B (oseltamivir); en el cultivo del catéter central se identificó Klebsiella oxytoca multisensible (ampicilina-sulbactam).
Por persistencia de fiebre durante la hospitalización se diagnosticó disfunción termorreguladora hipotalámica como secuela de la encefalitis autoinmune, dado que la temperatura corporal se modificaba con la del ambiente. Se solicitó valoración por inmunología clínica.
El perfil inmunológico indicó IgG baja (3.5), linfocitos LBCD19+ ausentes (absolutos y porcentuales), linfocitos T CD3 normales (1.953), NK normales (154), CD8 normales (1.001), CD4 normales (479-39.8 %), CD4/CD8 bajos (0.76). La prueba de citomegalovirus indicó IgG de 204 (+) y la del virus de Epstein-Barr, IgG de 4.75 (+) e IgM de 0.03. En las subclases de IgG se encontró G1 y G2 altas (16.84 y 8.73 g/L), así como G3 y G4 normales (0.8 y 0.73). También se registró linfopenia leve sostenida (830 células/μL) y leucocitos totales normales (5600).
Por los resultados anteriores se sospechó error innato del sistema inmunológico en órgano blanco (sistema nervioso central), defecto en células B, falla de memoria inmunológica, por posible variante de inmunodeficiencia común variable. Se indicó inmunoglobulina intravenosa para suplir el déficit y para inmunomodulación (1 g/kg). Posterior al egreso de la segunda hospitalización se indicaron pruebas de laboratorios control cada seis meses (Cuadro 2).
Cuadro 2. Perfil Inmunológico. Tomado de la historia clínica del paciente estudiado
| Marcadores celulares | Células/μL | % |
| Linfocitos B CD19+ | 871 (228-516) | 42.3 (9.8-17.7) |
| IgD+/CD27-vírgenes | 833 (133-389) | 95.6 (69.4-80.4) |
| IgD+/CD38+ transicionales | 89 | 10.2 |
| IgD−/CD38++ plasmablastos | 1 (2-12) | 0.2 (0.7-3.5) |
| CD24++/CD38++ transicionales | 89 (13-36) | 10.2 (4.5-9.2) |
| IgD−/CD27+ memoria | 21 (38-74) | 2.4 (12.7-24.5) |
| IgD+/CD27+ memoria sin cambio de isotipo | 16 (22-43) | 1.9 (7.5-12.4) |
| IgD−/CD27+ memoria con cambio de isotipo | 5 (16-31) | 0.5 (5.2-12.1) |
| Linfocitos totales CD45+ | 2.810 | |
| Linfocitos totales CD3+ | 1.384 | 55.84 |
| TCR-gamma/delta | 82.03 | 4.05 |
| TCR alfa/beta doble negativos | 50.9 | 4.05 |
| Linfocitos totales CD4+ | 678 | 25.5 |
| Linfocitos totales CD8+ | 586 | 22 |
| CD4/CD8 | 1.39 | |
| Linfocitos totales doble positivos | 18 | 0.69 |
| Linfocitos LBCD19+ (confirmatoria) | 537 | 24.6 |
| Linfocitos totales CD16+ 56+/CD3+ | 171 | 7.8 |
| C4 | 0.39 g/L | |
| C3 | 1.68 g/L |
IgM 0.31 g/L normal, IgE 201 UI/mL alto, IgG 10.12 g/L normal posinfusión cada cuatro semanas de inmunoglobulina intravenosa (cuatro ciclos).
Discusión
En 2007, Dalmau5 describió un caso de encefalopatía autoinmune causada por anticuerpos antirreceptor N-metil-D-aspartato en un paciente con teratoma de ovario. Este hallazgo desató un cambio radical en el abordaje de este trastorno y significó la apertura al estudio de otros cuadros de encefalitis y su asociación con síndromes paraneoplásicos. La encefalopatía autoinmune se asocia a producción de anticuerpos contra diferentes receptores del sistema nervioso central; su ausencia no excluye la posibilidad de alteración inmunológica y una prueba positiva no siempre implica un diagnóstico específico.2,4,6 Los criterios publicados en 2016 por Francesc Graus se exponen en el Cuadro 3.7
Cuadro 3. Criterios diagnóstico para encefalopatía autoinmune
| Cuando se cumplen los tres criterios: |
| 1. Inicio subagudo (progresión rápida en menos de 3 meses) de déficit memoria de trabajo (pérdida de memoria a corto plazo), estado mental alterado* o síntomas psiquiátricos |
| 2. Al menos uno de los siguientes:
|
| 3. Exclusión razonable de causas alternas |
*Estado mental alterado definido como nivel de conciencia disminuido o alterado, letargo o cambio de personalidad.
No obstante, el abordaje neurológico de la encefalitis autoinmune engloba criterios clínicos, de líquido cefalorraquídeo, imágenes, cambios en el electroencefalograma, como presencia de "cepillo-delta" extremo por antirreceptor de N-metil-D-as-partato,8,9 por lo que se hace necesario buscar otras causas probables como las de origen inmunológico que puedan esclarecer la evolución clínica.
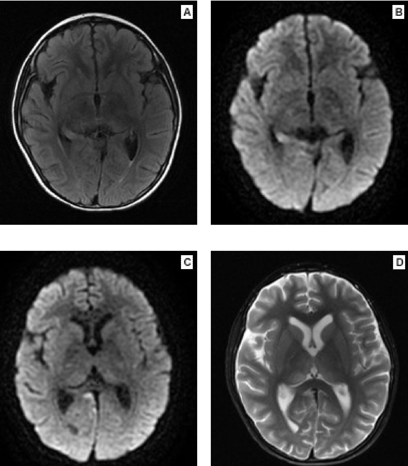
La encefalopatía límbica se caracteriza por cuadro súbito asociado a confusión, déficit de memoria, cambios de humor y, a menudo, convulsiones. El desarrollo subagudo de pérdida de memoria a corto plazo se considera el sello distintivo de este trastorno;7 los criterios diagnósticos se describen en el Cuadro 4 y los hallazgos por imagen de resonancia magnética cerebral se aprecian en la Figura 1.
Cuadro 4. Criterios diagnóstico de encefalitis límbica
| Cuando se cumplen cuatro* de los siguientes criterios: |
| 1. Inicio subagudo (progresión rápida menos de tres meses) de déficit de memoria de trabajo, convulsiones o síntomas psiquiátricos que sugieren la participación del sistema límbico. |
| 2. Anomalías cerebrales bilaterales en la resonancia magnética de recuperación de inversión atenuada por líquido ponderada en T2 altamente restringida a los lóbulos temporales medios† |
| 3. Al menos uno de los siguientes: |
| 4. Exclusión razonable de causas alternativas |
*Si no se cumple uno de los primeros tres criterios, solo se puede hacer un diagnóstico de encefalitis límbica definitiva con la detección de anticuerpos contra proteínas de la superficie celular, sinápticas u onconeurales.
†El 18-fluorodeoxiglucosa (18F-FDG) PET se puede utilizar para cumplir este criterio. Los resultados de los estudios de los últimos 5 años sugieren que la imagen de 18F-FDG-PET podría ser más sensible que la imagen de resonancia magnética para mostrar un aumento en la captación de FDG en los lóbulos temporales internos de apariencia normal.
Modificado de referencia 7.

Figura 1. Imágenes de resonancia magnética cerebral. A) Corte coronal secuencia FLAIR, con hiperintensidad en región mesial derecha. B y C) Corte axial difusión, con restricción asociada en la misma zona y extensión a región cingular. D) Corte axial T2 en el que se observa hiperintesidad con edema vasogénico a nivel pulvinar y dorsomedial del támalo progresivo. Cortesía: Servicio de Radiología del Hospital Infantil Universitario de San José, Bogotá, Colombia.
En el paciente reportado no se documentó el anticuerpo antirreceptor de N-metil-D-aspartato. Sin embargo, el compromiso límbico1 podría estar relacionado con un tipo de encefalitis antirreceptor AMPA, antirreceptor GABAB, antirreceptor LGI1 (asociado a hiponatremia), antirreceptor CASPR2, o bien, antirreceptor dopamina-2 (compromiso de ganglios basales y movimientos anormales).
Por evolución clínica y de laboratorios se sospechó lesión inmunológica asociada a cuadro fenotípico de encefalitis autoinmune-encefalitis límbica. El perfil inmunológico indicó patrón de linfocitos B defectuoso por marcada disminución de subpoblaciones de memoria, con y sin cambio de isotipo.10
Se propuso como posibilidad diagnóstica de exclusión, inmunodeficiencia común y variable con compromiso autoinmune de sistema nervioso central, hipogamaglobulinemia y disminución marcada de células de memoria, que orienta a reacción germinal insuficiente probablemente por bloqueo en la transición de células T1 a T2.11
Se describe que las células pro-B derivadas de médula ósea (CD19− CD10+/− CD20− CD22+ CD24− vpreB-Igα+/−) se diferencian a pre-B (CD19+ CD10+ CD20- CD24+ verb+ Igα+ intracelular μ+) y posteriormente a células B inmaduras o transicionales (CD19+ CD10+ CD20 CD24++ IgM+).
Solamente de 10 a 20 % de estas células B transicionales abandonan la médula ósea, convirtiéndose en células B de transición tipo1 (IgMhi IgD− CD21− CD23+) y células B de transición tipo 2 (IgMhi IgD+CD21intCD23+). Estas células B transicionales pueden convertirse en células B de zona marginal (CD27+ CD38− IgMhi IgD−), célula B folicular sin infección (CD27− CD38+ IgMint), diferenciándose posteriormente en célula B de memoria (plasmablasto), con cambio de isotipo (CD27+ CD38+ CD24++ IgM− IgD−).12 El compartimento de las células B es muy dinámico a lo largo de la vida y los defectos de estas células pueden variar según la edad. El marcador CD19 es una glucoproteína que se expresa exclusivamente en todo el desarrollo de las células B. El recuento disminuido de los linfocitos B de memoria persiste en los pacientes con inmunodeficiencia común variable.
En este caso, documentamos un error innato del sistema inmunológico por cuadro clínico neurológico severo con daño permanente e irreversible, secundario a falta de memoria inmunológica por lesión de los linfocitos B en el contexto clínico amplio de una inmunodeficiencia común variable.
Conclusión
Consideramos importante informar a los médicos pediatras sobre la presencia de este tipo de enfermedades, no necesariamente relacionadas con patología oncológica, paraneoplásica o puramente infecciosa.
Debemos empezar a pensar en las enfermedades raras para que dejen de serlo. El tamizaje inmunológico se debe considerar en todo paciente con una enfermedad grave compleja de difícil resolución. La intervención especializada de un equipo transdisciplinario y el manejo correcto y oportuno desde el primer contacto pueden significar un cambio fundamental en términos de morbimortalidad y calidad de vida de los pacientes.










nueva página del texto (beta)



