Introducción
El síndrome de lisis tumoral (SLT) es una complicación provocada por la liberación masiva de ácidos nucleicos, potasio y fosfato hacia la circulación sistémica como resultado de la lisis celular en las neoplasias, puede ocurrir durante el tratamiento de neoplasias hematológicas malignas (20-40%) o con menor frecuencia, debido a tumores sólidos como el carcinoma de mama, neuroblastoma, carcinoma de pulmón de células pequeñas, tumor de células germinales, timoma, tumor de tejidos blandos, carcinoma de ovario y carcinomas escamosos de cabeza y cuello.1,2 El SLT ha sido reportado con frecuencia en los enfermos con leucemia linfoblástica aguda (LLA) y linfoma de Burkitt. Otras enfermedades hematológicas como la leucemia linfocítica crónica (LLC), leucemia mieloide aguda (LMA) y mieloma múltiple, son asociada en menor frecuencia con SLT.3 El SLT puede ocurrir como consecuencia de la rápida destrucción de las células tumorales posterior al inicio de la quimioterapia, pero también de manera espontánea en una tercera parte de los casos.4 La fisiopatología es determinada por rápida degradación celular que conduce a la liberación del contenido intracelular a la circulación, permitiendo que grandes cantidades de potasio y fosfato salgan al compartimiento extracelular y no puedan eliminarse de forma eficaz por la orina.4
La incidencia de LMA durante el embarazo es similar a la de la población general, sin embargo, se han reportado tasas de uno por cada 75,000 a uno por cada 100,000 embarazos.5 El diagnóstico durante el embarazo es complicado, lo cual podría suponer un retraso su detección y en la progresión de la enfermedad. La mayoría de los pacientes inicia en el segundo y tercer trimestre, se estima que 23% de las leucemias se diagnostica en el primer trimestre, la relación con la presencia de SLT representa una incidencia de 26%.6 En la mayoría de los casos el SLT aparece después de iniciar la quimioterapia, desconociendo su asociación con SLT espontáneo. La presencia de LMA durante el embarazo es rara y el subtipo M3 (promielocítica) de la clasificación FAB (franco-angloestadounidense) con presencia de SLT espontáneo no está aún bien descrito, por lo que consideramos el presente caso clínico de interés médico.
Presentación del caso
Se trata de mujer de 25 años, tercera gesta, cursa con amenorrea de 34 semanas por fecha de última regla, acudiendo a cuatro consultas de control prenatal durante su embarazo. Un mes previo a su internamiento en esta unidad presenta astenia y adinamia, acude a su Centro de Salud donde se evidencia anemia y trombocitopenia. Es enviada al Hospital Civil de la Ciudad de Oaxaca, donde se diagnosticó embarazo de 34.6 semanas por ultrasonografía, presentando mayor deterioro hematológico por lo que se decide interrupción del embarazo vía abdominal con los siguientes hallazgos: útero gestante ocupado con recién nacido femenino vivo, presencia de hematoma 2 × 2 sangrante. Se realizó ligadura de la arteria uterina izquierda reportando sangrado de 900 mL, se trasfundieron tres concentrados eritrocitarios, 16 concentrados plaquetarios, 10 crioprecipitados y dos plasmas frescos congelados. Durante su estancia presenta datos de lesión renal aguda e insuficiencia respiratoria ameritando intubación orotraqueal con inicio de ventilación mecánica. Se solicita traslado a tercer nivel con los diagnósticos de: probable síndrome mielodisplásico, síndrome de distrés respiratorio agudo moderado por clasificación de Berlín y lesión renal aguda KDIGO 3. El sexto día posterior a la interrupción del embarazo es trasladada a nuestro hospital e ingresada a la unidad de cuidados intensivos.
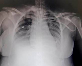
Al momento de su ingreso a unidad de cuidados intensivos (UCI), se encuentra a la exploración física con tensión arterial de 100/52 mmHg, presión arterial media de 68 mmHg, frecuencia cardiaca 91 lpm y temperatura de 37 grados, bajo efectos de sedación con propofol, RASS-5 (por sus siglas en inglés Richmond Agitation-Sedation Scale), intubación orotraqueal conectada a ventilador mecánico en modalidad control volumen, con volumen tidal 375 mL, PEEEP (por sus siglas en inglés positive end-expiratory pressure) 5, cmH2O, FiO2 40%, reporte de gasometría arterial pH 7.20, PaCO2 40 mmHg, PaO2 83 mmHg, HCO3 15.7, DB -12.5, con saturación periférica 96%, hemodinámicamente sin requerimientos de vasopresor, en anuria. Se objetivó en la analítica clínica deterioro de la función renal con incremento en las cifras de azoados, aumento de transaminasas, bilirrubina: deshidrogenasa láctica (DHL) y elevación importante de ácido úrico, así como anemia, trombocitopenia e incremento en el conteo leucocitario: urea 140 mg/dL, creatinina 7.34 mg/dL, ácido úrico 8.5 mg/dL, los electrolitos reportaron Na 136 mEq/L, K 6.8 mEq/L, CL 106 mEq/L, P 11.7 mEq/l, Mg 5.3 mEq/L, Ca 7.28 mEq/L, las pruebas de función hepática reportaron aspartato aminotransferasa 32 UI/L, alanina aminotransferasa 64 UI/L, fosfatasa alcalina 78 UI/L, DHL 3575 UI/L, bilirrubina total 0.24 mL/dL, en lo hematológico con presencia de gingivorragia y hematomas en extremidades, reporte de laboratorio con Hb 7.5 g/dL, hematócrito (HTO) 22.7, plaquetas 17, 000, leucocitos 36, 410, tiempo de protrombina (TP) 13.7, tiempo parcial de tromboplastina (TPT) 29.5, INR 1.21. Se calculó un SOFA score a su ingreso de 11 puntos con mortalidad de 50%. Se inició tratamiento de reanimación con líquidos para optimizar la función renal sin mejoría, considerándose candidata para terapia de reemplazo renal. Se realiza transfusión una aféresis plaquetaria, colocación de catéter de hemodiálisis e inicio de terapia de reemplazo renal lenta continua (TRRLC) mediante hemodiafiltración venovenosa continua (HDFVVC). La radiografía anteroposterior de tórax mostró tejidos blandos de adecuada densidad, estructuras óseas de densidad normal, parénquima pulmonar normal con presencia de derrame pleural bilateral (Figura 1).
En las primeras 12 horas del ingreso a la UCI es valorada por el servicio de hematología quien realiza aspirado de médula ósea reportando médula ósea hipocelular con presencia de 70% de promielocitos (hipergranular) con diagnóstico de leucemia mieloide aguda subtipo M3 (promielocítica) de riesgo alto con datos de lisis tumoral solicitando inmunofenotipo y búsqueda de traslocación t15:t17, iniciando tratamiento con ATRA (ácido transretinoico) más daunorrubicina, dexametasona, alopurinol y tretinoína. El control analítico mostró urea 131 mg/dL, creatinina 5.33 mg/dL, ácido úrico 7.1 mg/dL, Na 128 mEq/L, K 5.4 mEq/L, Cl 95 mEq/L, fósforo 7.4 mEq/L, Mg 4.1 mEq/L, Hb 8.1 g/dL, HTO 23.8, plaquetas 49,000, neutrófilos 17,050, linfocitos 240, TP 11.3, TPT 29.6, INR 1.21.
A las 48 horas de su ingreso a UCI, presenta cambios en estado neurológico con pupilas midriáticas de 5 mm sin respuesta a estímulos luminosos, hipotensión arterial que requirió inicio de vasopresor. Se realiza tomografía simple de cráneo que reporta edema cerebral difuso y hemorragia subaracnoidea (Figura 2). Se realiza electroencefalograma que reporta ausencia de actividad cortical cerebral. En el tercer día de su ingreso a la UCI, presenta hipotensión arterial con incremento en las dosis de vasopresor, presentando de manera posterior bradicardia y asistolia, iniciando maniobras de reanimación cardiopulmonar sin retorno a la circulación espontánea.
Discusión
Se estima que 15% de los pacientes ingresados a la UCI presenta alguna patología neoplásica al momento de ser admitidos, siendo el SLT una de las causas que puede motivar su ingreso.7 En los últimos años, se ha presentado una notable mejoría en el pronóstico de los pacientes con neoplasias sólidas y hematológicas malignas admitidas en UCI, siendo de 21% para paciente con tumores sólidos y 45% para pacientes hematológicos.7 Las estimaciones de la incidencia de SLT varían con tasas hasta de 40% en algunos pacientes con neoplasias hematológicas y una mortalidad que se ha estimado en alrededor de 20%. Durante el embarazo el hallazgo de leucemia es poco frecuente y representa de 1.9 a 3.2% de todas las enfermedades hematológicas malignas en la mujer embarazada.8 Al igual que en el presenta caso, el diagnóstico suele ser difícil de realizar de manera inicial y se establece basado en una fuerte sospecha clínica y confirmado con el análisis morfológico de la médula ósea, por lo general es diagnosticado en las etapas finales del embarazo. Las alteraciones observadas en los análisis sanguíneos en ocasiones son atribuidas a otros trastornos que se presentan durante el embarazo como síndrome preeclampsia-eclampsia y síndrome de HELLP lo cual retrasa el diagnóstico y el inicio del tratamiento. En el año 2004, Cairo y Bishop9 publicaron una modificación a la clasificación propuesta por Hande y Garrow10 del SLT (Tabla 1), dividiéndola en dos alteraciones clínicamente diferenciadas: 1) criterios clínicos (detección de un elemento clínico) o 2) criterios de laboratorio (dos alteraciones detectadas en los estudios de laboratorio), los cambios de los parámetros de laboratorio deben ser simultáneos dentro de las 24 horas porque el paciente puede desarrollar una anomalía y de manera posterior otra, no relacionada con SLT (por ejemplo, hipocalcemia asociada a la sepsis).4,6,8,9,10 En nuestro caso la paciente presentó 1 criterio clínico (incremento en la creatinina) y tres criterios de laboratorio (hiperpotasemia, hiperfosfatemia e hiperuricemia).
Tabla 1: Criterios de definición de los síndromes de lisis tumoral de Cairo-Bishop.
| Valor | |
|---|---|
| Metabólico | |
| Ácido úrico | ± 8 mg/dL o incremento de 25% sobre el basal |
| Potasio | ± 6 mEq/L o incremento de 25% sobre el basal |
| Fósforo | ± 1.45 mmol/L o ≥ 4.5 mg/dL o incremento de 25% sobre el basal |
| Calcio | < 1.75 mmol/L o < 7.0 mg/dL o descenso de 25% sobre el basal |
| Datos clínicos | |
| Creatinina | ± 1.5 veces el límite superior de normalidad (ajustado a la edad) |
| Arritmias | |
| Muerte súbita | |
| Crisis convulsivas |
En esta paciente se presentó un SLT espontáneo que contribuyó al rápido deterioro clínico, que de acuerdo con lo reportado en la literatura se asocia con una mayor gravedad y peores resultados.7 El SLT presenta una alta mortalidad relacionada con las complicaciones potencialmente letales debido a que afectan al metabolismo hidroelectrolítico y renal, las que se asocian con más frecuencia son la hiperpotasemia, la hiperfosfatemia y la hipocalcemia.2 La hiperfosfatemia es el factor precipitante de la insuficiencia renal aguda (secundaria a la precipitación de cristales de fosfato de calcio en los túbulos renales).3 En pacientes con hiperuricosuria e hiperuricemia relacionada con la alta tasa de rotación de células, se puede observar insuficiencia renal aguda espontánea debido a la precipitación de cristales de ácido úrico en los túbulos renales.3 El tratamiento del SLT implica una correcta reposición de líquidos, alcalinización de la orina, uso de agentes hipouricemiantes y empleo de terapia de reemplazo renal. El SLT espontáneo se ha relacionado con un mayor requerimiento de terapia de reemplazo renal, que como se ha mencionado supone un peor pronóstico.4 En cuanto a la técnica utilizada, no se menciona diferencia entre las técnicas continuas o intermitentes, algunos estudios mencionan un mayor beneficio en la eliminación de fosfatos con la hemodiálisis que con la hemofiltración, aunque un efecto rebote puede ser observado con el empleo de dicha técnica, por lo que la asociación de ambos métodos puede estar indicado.7 Sin embargo, las urgencias metabólicas en el paciente oncológico se deben tratar de manera temprana para disminuir los efectos negativos en la calidad de vida y en la supervivencia.
Otro factor de mal pronóstico en nuestra paciente fue la patología de base; la leucemia promielocítica aguda es diferente de los otros tipos de LMA debido a que el riesgo de complicaciones mortales es mayor.11,12 Esto se debe a que las células leucémicas de la leucemia promielocítica aguda contienen gránulos cargados de proteínas y enzimas que al ser liberadas a la circulación ocasiona consumo de factores de coagulación, lo que unido al descenso del conteo plaquetario puede ocasionar hemorragias graves como hemorragia cerebral y coagulación intravascular diseminada con fenómenos de trombosis.13-15 En nuestra paciente se complicó con la presencia de hemorragia subaracnoidea y edema cerebral que contribuyó al resultado final.
Conclusiones
En el caso en cuestión, el retraso en el diagnóstico impidió el inicio de un tratamiento oportuno, lo que condicionó un desenlace fatal y temprano a causa de diversas complicaciones que desencadenaron falla orgánica múltiple. La agresividad en su presentación desembocó en un resultado fatal a las 72 horas de ingresada la paciente a la unidad de cuidados intensivos. Lo anterior nos hace reflexionar sobre la importancia de la identificación temprana durante el embarazo para la instauración de un tratamiento preventivo, y el inicio rápido y agresivo del manejo terapéutico una vez que las complicaciones se han presentado, lo cual nos permitirá reducir la mortalidad en este tipo de patologías.









nueva página del texto (beta)




