Introducción
El schwannoma es un tumor benigno del sistema nervioso periférico, también es conocido como neurilemoma o neurinoma.1 Estos tumores surgen, como su nombre lo dice, de las células de Schwann. Las células de Schwann forman la vaina de mielina de un axón y se originan a partir de las células de la cresta neural que migran con las neuritas en crecimiento durante el desarrollo del nervio, éstas apoyan la función y la regeneración neuronal.2 Representan la tercera causa tumoral craneal, seguido de los meningiomas y los adenomas hipofisiarios, con los cuales hay que hacer diagnóstico diferencial. Además existen otras patologías que debemos descartar antes de establecer el diagnóstico de un schwannoma vestibular, como lo son el síndrome de Hakim Adams, enfermedad de Ménière, vértigo posicional benigno y presbiacusia.1,3
Los schwannomas vestibulares son tumores que surgen del nervio vestibulococlear, en el ángulo pontocerebeloso.4 Los síntomas de este tumor se deben a la compresión de la rama acústica del VIII par craneal, el nervio facial y el nervio trigémino.
Representan aproximadamente 8% de todos los tumores intracraneales; 95% son esporádicos y usualmente unilaterales, el resto está asociado a síndromes genéticos; pueden ser unilaterales o bilaterales, alrededor de 4 a 6% están asociados a neurofibromatosis tipo 2.3-5
La incidencia global de schwannomas vestibulares es de aproximadamente 1 por 100,000 años-persona en los Estados Unidos.6 La incidencia es mayor en Taiwán (2.66 por 100,000 personas-año) y los isleños del pacífico asiático (1.37 por 100,000 personas-año) y menor en hispanos (0.69 por 100,000 personas-año) y afroamericanos (0.36 por 100,000 personas-año).7 Cabe recalcar que los schwannomas son más frecuentes en pacientes con diagnóstico de neurofibromatosis tipo 2.
Aproximadamente 60% de los schwannomas benignos son vestibulares; sin embargo, representan una amenaza para las estructuras intracraneales debido al efecto de masa que provocan.8 Los síntomas más comunes incluyen pérdida auditiva progresiva (neurosensorial asimétrica) y tinnitus, otros pueden ser parestesia facial en el lado ipsilateral del tumor, vértigo y dolor de cabeza por hidrocefalia y compresión del tronco encefálico.8-10
La edad al diagnóstico es de aproximadamente 50 años. En el diagnóstico de schwannoma vestibular, generalmente se confirma la hipoacusia por audiometría. El estudio de imagen de elección es la resonancia magnética, que puede detectar tumores tan pequeños como de 1 a 2 mm de diámetro.9
El schwannoma se distingue por su reticulina parenquimatosa abundante, siendo positiva para el colágeno tipo IV. La tinción de colágeno tipo IV suele ser fuerte y difusa en estos tumores, visiblemente son más oscuros a comparación de otros tumores en el diagnóstico diferencial, además de ser positivos para las proteínas Leu-7 y S100.11
Cabe recalcar que para realizar el diagnóstico la prueba preferida es la resonancia magnética contrastada con gadolinio, que nos permitirá detectar tumores de hasta 2 mm de diámetro. Por otro lado, la tomografía axial computarizada de cráneo simple o contrastada solo detectará los tumores a partir de 1 cm de diámetro.3
El tratamiento del schwannoma vestibular se enfoca en preservar la calidad de vida y las funciones neurológicas, particularmente de los nervios facial y vestibulococlear.12 La elección del tratamiento depende de la presentación clínica, el tamaño del tumor y la experiencia del centro de tratamiento, puede ser observación, resección quirúrgica, radioterapia fraccionada y radiocirugía (Gamma Knife).5
En tumores pequeños se recomienda la observación y se valora la radiocirugía, en tumores grandes es obligatoria la descompresión quirúrgica, seguida de radioterapia fraccionada o radiocirugía.5
Caso clínico
Se presenta caso de varón de 88 años de edad, que tiene como antecedentes hipoacusia de siete años de evolución, disfagia, periodos de somnolencia y neumopatía en tratamiento desde hace cuatro años, además presenta debilidad en miembros pélvicos. Como antecedentes personales patológicos refiere alergia a la lidocaína, prostatectomía e hipertensión arterial en tratamiento con losartán. Ingresa a hospitalización debido a cuadro neumónico de 15 días de evolución con tos productiva, expectoración purulenta, síndrome febril, ataque al estado general con bajas de oxígeno (75%) y taquipnea. Al segundo día de hospitalización ocurre paro cardiorrespiratorio presenciado.
La parada revierte tras reanimación cardiopulmonar, con una duración estimada de anoxia total de 10 minutos, se reporta asistolia; se administra adrenalina cada 3 minutos y manejo avanzado de la vía aérea con cánula orotraqueal número 7; se observan abundantes secreciones espesas por lo que se aspira, las maniobras continúan por 10 minutos con retorno de la circulación espontánea y gasometría arterial con acidosis respiratoria grave pH 7.1, pCO2 98 mmHg, glucosa 61 mg/dL (Tabla 1), por lo que se administra solución glucosada al 50% y se inicia norepinefrina.
Tabla 1: Gasometrías arteriales, pre, trans y postparo cardiorrespiratorio.
| Paro cardiaco | |||
|---|---|---|---|
| Pre | Trans | Post | |
| pH | 7.38 | 7.13 | 7.37 |
| pCO2 (mmHg) | 51.9 | 98.2 | 48.5 |
| pO2 (mmHg) | 85.7 | 122 | 52.2 |
| HCO3 (mEq/L) | 30.3 | 31.6 | 27.9 |
| Lactato (mg/dL) | 0.9 | 5.6 | 6.3 |
| Glucosa (mg/dL) | 113 | 61 | 193 |
| Na (mEq/L) | 139 | 154 | 153 |
| K (mEq/L) | 3.4 | 6.7 | 3.2 |
A la exploración física en el primer día en la Unidad de Cuidados Intensivos, se encuentra inconsciente, actitud pasiva, sin apertura ocular, pupilas con anisocoria, pupila derecha arrefléctica e izquierda con hiporreflexia, narinas con presencia de sonda nasogástrica, mucosa oral hidratada con cánula endotraqueal; cuello cilíndrico con presencia de catéter venoso central de lado derecho, se palpa pulso carotídeo sin adenopatías; tórax con movimientos de amplexión y amplexación acorde con la ventilación mecánica, campos pulmonares hipoaereados con estertores y sibilancias bibasales; ruidos cardiacos rítmicos de buen tono e intensidad; abdomen plano con peristalsis disminuida, a la palpación blando y depresible sin visceromegalias; genitales acordes a edad y sexo con colocación de sonda Foley; extremidades superiores e inferiores hipotérmicas e hipotróficas, con llenado capilar de cuatro segundos, sin edema, fuerza no valorable. Reflejos osteomusculares, tricipital ++, bicipital ++, estilorradial ++, patelar +, aquíleo plantar +, Babinski negativo.
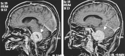
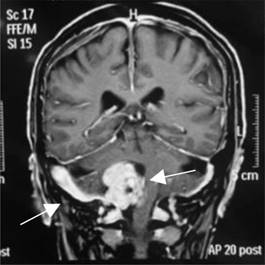
Se realiza resonancia magnética de cráneo debido a la sintomatología antes mencionada; reporta un schwannoma de localización intra y extracraneal (Figuras 1 y 2).
Después de 15 días de estancia hospitalaria, el paciente es intervenido quirúrgicamente. Se realiza una craneotomía y resección de tumor cerebral de fosa posterior. Durante el procedimiento quirúrgico se encuentra que el tumor está adherido a bulbo y nervio vestibular, por lo que se decide la resección parcial subtotal del tumor para descompresión. Se realiza biopsia transoperatoria, la cual da un reporte definitivo de schwannoma.
Posteriormente, el paciente permanece cuatro días más en la Unidad de Cuidados Intensivos, con intubación orotraqueal, soporte hemodinámico con aminas. Se valora el retiro del apoyo ventilatorio y vasopresores.
Discusión
Los schwannomas son tumores benignos encapsulados de lento crecimiento y se caracterizan por dar síntomas de efecto de masa. Provienen de la zona de transformación entre la mielina central y la periférica, también llamada zona de Obersteiner-Redlich.13
El estudio de elección para diagnosticar los schwannomas es la resonancia magnética, siendo la prueba de mayor definición. En este caso, encontramos afectado el bulbo raquídeo que contiene estructuras como el centro cardiorrespiratorio, los nervios glosofaríngeo y vestibulococlear y el centro de deglución; el efecto de masa explica los síntomas de hipoacusia sensorial ipsilateral y disfagia por la abolición del reflejo de deglución. Otra estructura afectada es el centro cardiorrespiratorio, que al estar siendo comprimido resulta en un estado de acidosis respiratoria crónica.
El tratamiento del caso reportado fue únicamente resección parcial de la masa para descompresión del bulbo raquídeo y disminuir la hipercapnia crónica del paciente, la cual produjo a una acidosis espiratoria crónica y dio lugar al paro cardiorrespiratorio.
La acidosis respiratoria es un trastorno ácido-base que se caracteriza por la presencia de un pH arterial disminuido, se clasifica en aguda si el pH es < 7.35 y crónica cuando va de 7.35 a 7.39; también hay un aumento de la presión arterial de dióxido de carbono (pCO2) de más de 45 mmHg con una respuesta secundaria o compensadora manifestada por un incremento variable de la concentración de bicarbonato (HCO3 −).14
El estímulo ventilatorio producido por el dióxido de carbono (CO2) se origina principalmente al ser detectado el aumento de la pCO2 en los quimiorreceptores centrales a través del aumento de la concentración de iones hidrógeno (H+) en el líquido cefalorraquídeo, que envían señales aferentes al grupo de neuronas dorsales en el centro respiratorio a nivel del bulbo raquídeo, lo que produce la contracción de los músculos de la inspiración los cuales son el diafragma y los músculos intercostales externos.15 Al ser la ventilación alveolar el modo de eliminación de CO2 corporal, cualquier alteración ya sea a nivel central, musculoesquelético o de vía aérea superior, generará hipercapnia, lo que conllevará a acidosis respiratoria.
En este caso, la primera causa de la alteración en la eliminación de CO2 es a nivel central por el efecto de masa hacia el bulbo raquídeo, posteriormente ocurre obstrucción por secciones de vía aérea superior a causa de la abolición del reflejo de deglución.
La hipercapnia se acompaña de hipoxemia; esto porque en la ecuación de gas alveolar y bajo la ley de Dalton «La presión de una mezcla de gases es igual a la suma de las presiones parciales de todos los gases presentes», la hipercapnia disminuye la presión alveolar de oxígeno y también, la presión parcial de oxígeno.16 En algunos casos, la compresión del tronco encefálico puede dar lugar a una obstrucción de flujo del líquido cefalorraquídeo, ocasionando un aumento de la presión intracraneana (PIC), siendo perjudicial para el paciente.3
En pacientes de edad avanzada y en casos de hipoacusia se deberá explorar más allá que la región auditiva, ya que, como se mostró en el caso clínico, la causa de hipoacusia era una masa que comprimía estructuras adyacentes. Por lo tanto, no dejaremos de lado la exploración de pruebas de audición en las ramas de otorrinolaringología ni tampoco las pruebas de imagen y exploración física en la rama neurológica, ya que los diagnósticos pueden integrarse y culminar en un beneficio para el paciente.
Conclusiones
Es de vital importancia realizar una historia clínica detallada para un diagnóstico certero en el paciente y un tratamiento eficiente, también se debe destacar la importancia de la monitorización de signos vitales y la toma de gasometrías en pacientes graves o con problemas neumónicos, para descartar hipercapnia y, si hay presencia de ésta, podremos evitar la consecuencia de un paro cardiorrespiratorio. Además, no debemos dejar de lado la búsqueda de masas neuronales en cuadros clínicos poco frecuentes en los que no es fácil correlacionar la sintomatología.
Es importante recalcar que, en este tipo de patologías y el antecedente de enfermedad respiratoria recurrente, tenemos que descartar la presencia de una lesión en el tronco encefálico.
Las estructuras involucradas neurológicamente en el paciente, llevan a un cuadro clínico confuso, ya que la masa tiene una localización intra y extracraneal, algo poco frecuente en los schwannomas.










nueva página del texto (beta)




