Introducción
En 1948 se realizó un trabajo en donde Ogilvie demostró que existía una alteración en la inervación autonómica del colon, en cuanto el sistema nervioso autónomo que participa en la motilidad del colon no se encuentra completamente definido. Esto se debe a la inervación simpática, la cual ejerce un efecto inhibitorio sobre la motilidad del colon, en contraparte con el sistema parasimpático que realiza un papel de excitador. En la interacción de estos dos sistemas se regula la motilidad colónica.1,2
Diversas investigaciones concuerdan que la dilatación aguda del colon se origina por una disminución de la actividad del sistema parasimpático, el cual surge a partir del plexo sacro (S2, S3, S4), provocando la atonía del colon en su porción distal, si bien recordamos, otra causa de oclusión funcional es la enfermedad de Hirschsprung, con la única diferencia que esta patología compromete al plexo mientérico.2-4 Se han reportado algunos episodios similares con estímulos dolorosos como los que suceden en los partos, cirugías de pelvis, que cursan con inhibición del plexo sacro en el sistema parasimpático, resultando en una dilatación del colon distal que se extiende hasta la porción inervada por el nervio vago y el hipogastrio a nivel de bazo.1,2,4
Otro grupo de estudios han propuesto la teoría de la hipertonicidad simpática a través de un reflejo inhibidor colocólico. Esto se ha visto asociado con el efecto que ejerce la anestesia epidural y el bloqueo del nervio esplácnico. Una minoría de estudios también han propuesto como responsables a las células intersticiales de Cajal, las cuales son causantes de la actividad peristáltica espontánea, un informe de casos reportó que los pacientes con pseudo-obstrucción colónica aguda ha demostrado que este tipo de células en los estudios de histopatología se han reportado como ausentes.5,6
Presentación del caso
Basado en el consenso de guías CARE (Case Report Guidelines, por sus siglas en inglés), se realiza un reporte de caso de un paciente con diagnóstico de síndrome de Ogilvie ingresado en la Unidad de Cuidados Intensivos (UCI) del Hospital Star Médica Veracruz, donde se realizó el protocolo de atención inicial, diagnóstico y resolución quirúrgica de la pseudo-obstrucción colónica aguda. Se documentaron hallazgos clínicos y paraclínicos de importancia en el curso evolutivo y desenlace.
Paciente del sexo masculino de 73 años, con antecedentes de diabetes mellitus de 10 años de diagnóstico en tratamiento con insulinoterapia, hipertensión arterial sistémica de 10 años de diagnóstico en tratamiento con losartán de 50 mg cada 12 horas, dislipidemia en tratamiento higiénico-dietético, tabaquismo desde los 20 años de edad a razón de dos cigarrillos/día. Resto de antecedentes negados.
Motivo de ingreso hospitalario: presentar pérdida del estado de alerta de forma súbita, por lo que fue trasladado a la unidad de emergencias por familiares, se inició protocolo de atención primaria documentando con tomografía simple de cráneo hematoma subdural crónico y hemorragia subaracnoidea de etiología aneurismática, valorado por equipo de neurocirugía, el cual propuso ser candidato a resolución quirúrgica. Se realizó clipaje de aneurisma de 4 mm bajo anestesia balanceada, sangrado 350 mL, balance positivo 720 mL. Durante el transquirúrgico requirió soporte cardiovascular con amina vasoactiva (norepinefrina) y continuó con soporte ventilatorio por protección de vía aérea, se decidió ingreso a UCI para cuidados de paciente postquirúrgico neurocrítico. Se realizó neuromonitoreo ecoguiado, descartando datos indirectos de hipertensión intracraneal y se brindó ventana neurológica, emergiendo de la sedación, se evaluó escala de Glasgow potencial de 11 puntos, reflejos de protección de vía aérea conservados, se realizaron predictores de retiro de soporte respiratorios con parámetros adecuados, se retiró de ventilación mecánica invasiva, dinámica ventilatoria adecuada 48 horas sin datos de fracaso. Se mantuvieron niveles de gases arteriales, perfil bioquímico (Tabla 1) y dinámica respiratoria adecuados a expensas de dispositivo de bajo flujo de oxígeno, se continuó con tratamiento farmacológico antihipertensivo, soporte nutricional enteral y se brindó terapia de rehabilitación física.
Tabla 1: Características bioquímicas del caso.
| Biometría hemática | Química sanguínea | Electrolitos séricos | Gasometría arterial | Tiempos de coagulación |
|---|---|---|---|---|
| Leucocitos 16,000 uL | Glucosa 133 mg/dL | Sodio 142 mEq/L | Ph 7.46 | Tp 12.2 seg. |
| Linfocitos 8% | Urea 43 mg/dL | Potasio 3.5 mEq/L | pCO2 35 mmHg | Tpt 27.3 seg. |
| Segmentos 79% | Creatinina 0.9 mg/dL | Cloro 93 mEq/L | PO2 115 mmHg | INR 1.02 |
| Neutrófilos 85% | Ácido úrico 3.3 mg/dL | Magnesio 2.0 mEq/L | SO2 95% | Actividad 82% |
| Bandas 6% | Colesterol 133 mg/dL | Calcio 9.2 mEq/L | HCO3 22 mEq/L | |
| Hemoglobina 12.2 mg/dL | Triglicéridos 98 mg/dL | Fosforo 3.2 mEq/L | Base 1.3 | |
| Hematocrito 32% | Procalcitonina 0.17 ng/mL | |||
| Plaquetas 254,000 uL |
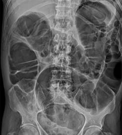
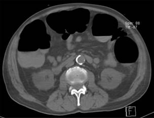
Al cursar el día nueve de ingreso hospitalario, presentó distención abdominal, por lo que se indicó permeabilizar sonda nasogástrica y mantener a derivación, así como el retiro de la nutrición enteral. Tras 48 horas sin presentar mejoría al manejo conservador, y agregándose ausencia de evacuaciones, se solicitó estudio tomográfico abdominopélvico reportando hallazgos en relación con importante dilatación colónica (Figura 1), se solicitó valoración al servicio de cirugía general por los hallazgos tomográficos, resaltando la importancia del diámetro colónico. Y por representar un riesgo incrementado de perforación intestinal se decidió ingresar a quirófano para resolución quirúrgica, se realizó hemicolectomía derecha, colocación de ileostomía tipo Brooke, con un tiempo quirúrgico de cinco horas con los siguientes hallazgos: colon ascendente con incremento de diámetro (12 cm), colon transverso dilatado (8 cm), a nivel de ciego con dilatación importante (9 cm) y pared friable, se excluyó algún fenómeno de obstrucción mecánica en trayecto colónico.
Reingresó a UCI con soporte ventilatorio, se prescribió cobertura antimicrobiana con esquema empírico normado por guías IDSA, por riesgo incrementado de perforación intestinal y peritonitis secundaria, se brindó ventana neurológica y progresó a ventilación mecánica sin incidentes. A las 36 horas del postquirúrgico se obtuvo gasto intestinal a través de ileostomía, sin datos de distención abdominal se reinició dieta enteral por sonda nasogástrica vigilando estrechamente la tolerancia, con adecuada evolución. Por paraclínicos sin criterios de falla orgánica a otro nivel, se decidió egreso de la unidad cursando 72 horas en hospitalización general y egresando por mejoría, con adecuada red familiar y equipo de terapia de rehabilitación a nivel domiciliario.
Discusión
El síndrome de Ogilvie es una entidad poco frecuente, 100 casos por cada 100,000 hospitalizados en nuestro país; si bien se han descritos factores de riesgo asociados, se presenta como una pseudo-obstrucción colónica aguda en ausencia de hallazgos mecánicos documentados.1,5 La dilatación del colon, particularmente en ciego y colon ascendente, son sitios mayormente recurrentes.7-10
El diagnóstico de esta patología se inicia cuando existe alta sospecha en pacientes hospitalizados con el antecedente de cirugía previa asociado a múltiples entidades con las que se asocia este síndrome, inclusive se debe sospechar en pacientes sometidas a procedimientos quirúrgicos de tipo ginecológicos y obstétricos (Figura 2).11-13

Figura 2: Factores de riesgo asociados a disminución de actividad parasimpática y pseudo-obstrucción colónica aguda.
La radiografía simple de abdomen en dos posiciones sigue siendo un método de diagnóstico útil para valorar la existencia de dilatación o distensión colónica con presencia masiva de gas en el colon y una distensión moderada del intestino delgado; ausencia de niveles hidroaéreos y edema en la pared hacen sospechar que no se trata de una simple obstrucción mecánica y orienta al diagnóstico de pseudo-obstrucción (Figura 3). Por otra parte, la presencia de neumoperitoneo confirma la existencia de una perforación intestinal.1,11,12
Como un método diagnóstico y terapéutico aun es útil el enema de bario, el cual apoya el diagnóstico al ser un estudio de imagen tradicional para valorar la obstrucción mecánica; como efecto secundario, el enema soluble en agua algunas veces puede resultar como una terapéutica en la obstrucción. El uso de este método diagnóstico sigue siendo contraindicado en los casos de perforación colónica.1,11
El estudio de imagen ideal sigue siendo la tomografía computarizada (TC) abdominal y pélvica con contraste intravenoso, mostrando una sensibilidad del 96% y una especificidad del 93%. Este método diagnóstico confirma la existencia de una dilatación colónica proximal y excluye otros tipos de obstrucción. La presencia de neumoperitoneo, líquido libre o neumatosis intestinal que se asocie con un colon distendido en la tomografía nos puede llevar a la fuerte sospecha de que se trata de una perforación colónica y esto indica una cirugía de laparotomía urgente.13
La colonoscopia es un procedimiento tanto diagnóstico como terapéutico y es demasiado útil para excluir la presencia de lesiones en el colón, y también lo es para descomprimir el colon dilatado. Por otra parte, la cápsula endoscópica se encuentra contraindicada debido que puede permanecer atorada debido al bajo tránsito intestinal. Se debe buscar diagnósticos diferenciales tales como obstrucción mecánica, vólvulos, peritonitis, perforación intestinal y sangrado intraabdominal o retroperitoneal.13
En la actualidad existen tres tipos de tratamientos: conservador, farmacológico e intervención quirúrgica.1 En el primero de ellos, el tratamiento conservador, se debe iniciar tan pronto se obtenga el diagnóstico de pseudo-obstrucción; este manejo se ha mantenido vigente gracias a la sociedad estadounidense de endoscopia gastrointestinal (SAGES):5
Descompresión gastrointestinal proximal (ayuno y colocación de sonda nasogástrica con succión y/o derivación).
Colocación de una cánula o tubo rectal con la función de descompresor en caso de que la distensión se extienda hasta la porción del sigmoides o recto.
Corrección de desequilibrios hidroelectrolíticos por vía endovenosa (hipopotasemia e hipomagnesemia).
Este tipo de tratamientos conservadores han demostrado una tasa de éxito bastante amplia que va de 20 a 92%, la mayor parte de los tratamientos llegan a ser conservadores.13
En cuanto al tratamiento farmacológico resulta ser útil con neostigmina, ya que es un inhibidor reversible de la colinesterasa, resultando en un bloqueo parasimpático y restaurando la motilidad colónica; al revisar en la literatura se encontró que el tratamiento con neostigmina versus placebo fue significativamente más útil desde el punto de vista metodológico en tres estudios con 85-91% contra cero.14-17 La dosis habitual de la neostigmina se encuentra en debate, pero en estos momentos los siguientes esquemas son los que han mostrado mayor tasa de efectividad: bolo intravenoso de 2 a 2.5 mg intravenoso por un lapso de tres a cinco minutos ha mostrado que la peristalsis colónica inicia a los 20 minutos con una tasa de éxito de 80%. En caso de no lograr el efecto deseado se puede dar otro segundo y tercer bolo con un espacio de tres horas cada uno.1,17
Otro esquema es la administración de neostigmina con bomba de infusión, a una velocidad de 0.4 a 0.8 mg/hora por un periodo de 24 horas.1,18 Se han hecho reportes de recurrencia después de la administración de neostigmina, la administración en conjunto de neostigmina con polietilenglicol vía oral ha reducido la recurrencia de pseudo-obstrucción. El enema con agentes de contraste hidrosoluble hiperosmótico con propiedades de laxante ha sido evaluado en ensayos retrospectivos no controlados en 18 pacientes con control con fluoroscopio, resultó en una disminución de 4.6 cm en los diámetros cecal y sin perforación del colon; debido a su bajo nivel de evidencia y resultados, actualmente no se recomienda su práctica para esta patología.1,19
La eritromicina como agente estimulante de la motilidad no se recomienda en la práctica actual, ya que tiene el bajo nivel de éxito de 40%. Otra terapéutica farmacológica es la anestesia epidural de las raíces nerviosas de T11 a T12, como bien sabemos, la hipertonía simpática resulta ser responsable en la aparición de este síndrome junto con la persistencia del megacolon, la eficacia de esta variante fue demostrada por la eliminación de gases y heces así como la disminución de la distensión abdominal y del diámetro cecal.20
En el caso del tratamiento quirúrgico con la descompresión por colonoscopia, se ha realizado en los pacientes que no responden al tratamiento médico inicial y farmacológico. El riesgo de perforación de este método llega a ser de 3% de acuerdo con la literatura. Su contraindicación está dada en aquellos pacientes con datos de perforación o isquemia intestinal.13,21
La indicación actual de cirugía es para aquellos pacientes con diámetro mayor de 9 cm a nivel del ciego. Además, un diámetro cecal mayor de 12 cm sin respuesta al tratamiento conservador por un periodo mayor de 48 horas indica laparotomía urgente. La cirugía está bien indicada en aquellos casos en que se reporte presencia de isquemia o perforación del intestino, terminando en resección intestinal o en una cecostomía con realización de colostomías y, posteriormente, se valora en un segundo acto quirúrgico la reinstalación intestinal. La cecostomía se puede realizar mediante endoscopio a través de una diminuta incisión en el ciego, favoreciendo así la descompresión del colón o bien en su defecto, dejando una cánula rectal para descompresión. El tratamiento quirúrgico es la conducta de elección cuando existe fuerte sospecha de isquemia o de perforación intestinal.13,21,22
Nuestro caso clínico refuerza la asociación a factores de riesgo documentados en la literatura, la pronta sospecha clínica y bioquímica apoyada por el gabinete de imagenología fue pieza fundamental, los hallazgos (Figura 4) en relación a la dilatación colónica brindaron armas suficientes para iniciar el tratamiento farmacológico, teniendo en cuenta el límite superior de diámetro reportado en otros casos con presencia de perforación intestinal, por lo cual la colaboración de un equipo multidisciplinario y la toma de decisiones e intervenciones oportunas incrementaron nuestra tasa de éxito, favoreciendo el pronóstico y desenlace.
Conclusiones
El síndrome de Ogilvie es de suma relevancia en el curso hospitalario de pacientes con factores de riesgo asociados, la pronta sospecha en el diagnóstico podrá evitar la ocurrencia de complicaciones graves, empleando estrategias de prevención y resolución farmacológica o quirúrgica disminuyendo los días de estancia hospitalaria, costos y mortalidad.










nueva página del texto (beta)






