Introducción
Gracias al conocimiento en el movimiento de los gases en los diferentes compartimentos pulmonares de la vía aérea logramos entender cómo la oxigenación es un proceso dinámico que de acuerdo al principio de inertancia a partir de presión y de temperatura puede generar volumen de convección, presión positiva de fin de espiración no mecánica y lavado de vía aérea ahorrando volumen tidal, velocidad de flujo y presión positiva al final de la espiración con los beneficios que esto concede a la perfusión pulmonar y a la preservación de pulmón homogéneo. Existe casuística clínica diversa, pacientes con pulmón heterogéneo de origen traumático o clínico se beneficiaron de esta estrategia disminuyendo ostensiblemente la lesión relacionada con la ventilación mecánica, fenómeno de relevancia mayor en tiempos de pandemia.1-3
Presentación del caso
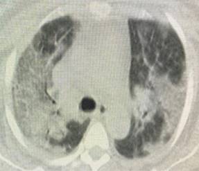
Presentamos una serie de casos de cuatro pacientes con SARS-CoV-2 con un compromiso importante de la oxigenación a pesar del uso de sistemas de alto flujo. En la Tabla 1 se describen grupos etarios, sexo, morbilidades, condiciones clínicas y escalas de severidad pronóstica de ingreso. Evolucionan tórpidamente frente al uso de cánula de alto flujo con índices de Rox por debajo de dos puntos en las primeras 12 horas.4 Se inicia ventilación mecánica no invasiva con progresión a falla respiratoria por aumento de la carga inspiratoria, por lo que requirieron protección de vía aérea. Se documenta un serio deterioro de la mecánica ventilatoria con sobredistención, aumento del trabajo respiratorio y caída de las distensibilidades; variables de monitoreo de la ventilación mecánica tomada en zona cero de flujo justo antes de cada inspiración. Adicionalmente evoluciona con importante deterioro de la ventilación minuto alveolar y de la oxigenación frente a la ventilación mecánica instaurada y a la posición prono, con poca tolerancia a la presión positiva direccionada por bucle presión volumen, meseta, fracción inspirada de oxígeno y curva presión tiempo.5-7 Con base en imágenes escanográficas que documentan infiltrados esmerilados, se describen cuatro campos pulmonares y zonas de condensación en las Figuras 1-4, además de compliance menor de 40 cm y requerimientos de PEEP entre 17 y 20 cm de agua, con el antecedente de volúmenes corregidos espiratorios durante la ventilación mecánica no invasiva entre 15 y 20 puntos se precisa SARS-CoV-2.8 Con base en la evolución descrita se decide instaurar protección pulmonar con 3 mL por kilogramo de peso más insuflación de gas traqueal con 5 L por min con el ánimo de ahorrar presión positiva de fin de espiración (PEEP por sus siglas en inglés positive end expiratory pressure), volumen tidal y velocidades de flujo. En la Tabla 2 se registra evolución gasimétrica antes y después de la estrategia. Se descartan coexistencias infecciosas de acuerdo al reporte de la microbiología. En los cuatro pacientes se documentaron defectos segmentarios de distribución vascular compatibles con enfermedad pulmonar tromboembólica. Evolucionan satisfactoriamente permitiendo desmontar estrategia de rescate con base en mecánica ventilatoria e índice de oxigenación,9 pudiendo implementar asa cerrada en asistencia proporcional con 40% de asistencia por flujo y volumen, PEEP de 10 cm y fracción inspirada de oxígeno de 50%. Se realizan monitoreos en asa cerrada que se muestran en la Tabla 3, documentándose trabajo respiratorio limítrofe, serio deterioro de las propiedades pulmonares mecánicas dinámicas y estáticas sin poder liberar de manera convencional, por lo que se programa para traqueostomía y traslado a cuidado crónico.
Tabla 1: Variables demográficas.
| Paciente | 1 | 2 | 3 | 4 |
|---|---|---|---|---|
| Edad, [años] | 60 | 55 | 68 | 50 |
| Sexo | Masculino | Masculino | Femenino | Masculino |
| Vacunación | Ausente | Ausente | Ausente | Ausente |
| Morbilidades | Diabetes | Hipertensión | Hipertensión | Sin morbilidad |
| PaFiO2 de ingreso (puntos) | 95 | 60 | 100 | 90 |
| Apache de ingreso (puntos) | 27 | 25 | 28 | 20 |
| Dímero D, [mg/dL] | 5 | 10 | 9 | 5 |
| Linfocitos, [mm3] | 430 | 220 | 110 | 320 |
| Prono | 16 horas | 24 horas | 20 horas | 16 horas |
Condiciones clínicas de ingreso.

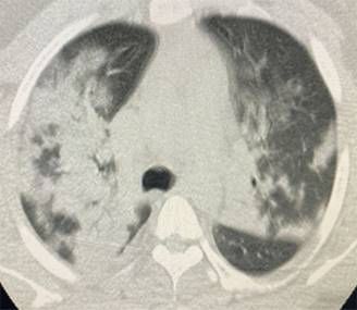
Figura 1: Condensaciones bronconeumónicas cuatro campos pulmonares. Colapso segmento lateral lóbulo medio. Imágenes subpleurales esmeriladas.

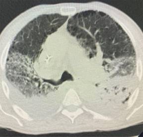
Figura 2: Enfermedad pulmonar intersticial esmerilada cuatro campos pulmonares. Broncograma en la língula. Colección derecha. Pequeñas bullas subpleurales.

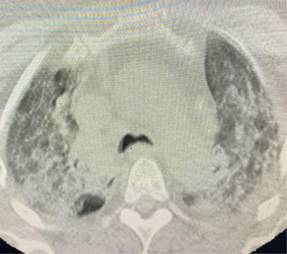
Figura 3: Infiltrados cuatro campos pulmonares y colecciones laminares bilaterales. Condensaciones posterobasales.
Tabla 2: Evolución gasimétrica.
| PaCO2 [mmHg] | PaFiO2 | |
|---|---|---|
| Ingreso | 105 ± 5 | 86 ± 15 |
| Día 1 | 115 ± 8 | 80 ± 4 |
| Día 2 | 87 ± 4 | 93 ± 10 |
| Día 4 | 76 ± 7 | 115 ± 7 |
| Día 7 | 66 ± 6 | 131 ± 10 |
| Día 9 | 60 ± 5 | 149 ± 8 |
| Día 13 | 55 ± 4 | 180 ± 6 |
| Día 15 | 44 ± 5 | 205 ± 10 |
Evolución gasimétrica.
Discusión
Los efectos deletéreos de la ventilación mecánica en la arquitectura pulmonar en los grupos de pacientes con órgano heterogéneo como el síndrome de dificultad respiratoria del adulto (SDRA) o el síndrome respiratorio agudo severo por COVID-19 (SARS-CoV-2) son determinantes de desenlaces fatales.10,11 Desde la modificación en la inmunidad humoral de la vía aérea hasta la alteración en la relación alfa 1 antitripsina/elastasa de los polimorfonucleares se ven afectadas por el uso del volumen tidal, del PEEP y de la velocidad de flujo durante la ventilación mecánica en este tipo de pacientes, lo cual es contraproducente y determinante en el riesgo exponencial de lesión asociada al ventilador, de mecanotrauma y de cambios inmersos en la anatomía diafragmática generados por estrés oxidativo.12-15 Desde la implementación de la protección pulmonar en las últimas dos décadas se ha logrado reducir de manera notable la mortalidad al interior de las unidades de cuidados intensivos en pacientes con SDRA; sin embargo, es bien conocido que la protección pulmonar no escapa al impacto mecánico emitido por la velocidad de flujo, la frecuencia respiratoria y el volumen tidal aumentando exponencialmente el riesgo de lesión asociada al ventilador, y de manera lineal los requerimientos de presión positiva también inciden en este sentido.15,16 Inducir reposo funcional sin comprometer la oxigenación ni la ventilación genera beneficios importantes para proteger pulmón y evitar la disfunción orgánica múltiple, siendo el pulmón su principal órgano generador. La insuflación de gas traqueal se implementa a través de una manguera lisa conectada a una fuente adicional de oxígeno en la torre de vida del paciente críticamente enfermo y se posiciona en el extremo distal de la vía aérea artificial del paciente justo después de la bifurcación de los circuitos. Su función se argumenta sobre la base del principio de inertancia, donde se modifica la densidad del gas por presión, aumenta su difusión por unidad de tiempo generando volumen de convección en los compartimentos pulmonares de la vía aérea proximal venciendo la resistencia de la vía aérea; en los compartimentos pulmonares de la vía aérea intermedia la oxigenación se optimiza a partir de la mezcla de flujos, desacelerante de la ventilación mecánica y continua de la fuente adicional de oxígeno produciendo arremolinamientos, lo cual aporta PEEP no mecánico, freno espiratorio, efecto dispersión de Taylor y reclutamiento. En los compartimentos pulmonares de la vía aérea distal el gradiente generado entre el volumen prefijado y el volumen exhalado produce lavado de la vía aérea y apertura de derivaciones interalveolares, interbronquiales y broncoalveolares, sosteniendo la eficiencia ventilatoria sin alejarse de los beneficios clínicos en términos de antiapoptosis e inmunorregulación de la acidosis hipercápnica.17-25
Conclusiones
La insuflación de gas traqueal asociada a la protección pulmonar es una estrategia que impacta favorablemente en los desenlaces clínicos de los pacientes con pulmón heterogéneo logrando ahorrar presión positiva, volumen tidal, velocidad de flujo y frecuencia respiratoria, lo que induce reposo funcional sin afectar la oxigenación ni la ventilación; disminuye ostensiblemente la disfunción orgánica múltiple y optimiza además la impedancia pulmonar con sus componentes en términos de resistencia, compliance e inertancia. Esto se traduce en variables de impacto, como se ve reflejado en las secuencias gasimétricas de nuestros pacientes.









nueva página del texto (beta)



