Introducción
Durante el embarazo se presentan una serie de cambios fisiológicos y hormonales que alteran la función tiroidea. Las pruebas de funcionamiento tiroideo cambian durante el embarazo debido a la influencia de dos hormonas principalmente: la gonadotropina coriónica humana (hGC) y los estrógenos (Tabla 1). La hGC puede estimular la tiroides en forma leve, los niveles altos circulantes de esta hormona en el primer trimestre pueden resultar en una disminución de tirotropina (TSH). Y por su parte, los estrógenos aumentan la cantidad de proteínas ligadoras de hormonas tiroideas en el suero, aumentado así los niveles de hormona tiroidea en sangre, ya que 99% se unen a proteínas. La glándula tiroidea puede aumentar de tamaño durante el embarazo (Bocio), principalmente en países con disminución de ingesta de yodo.1,2 Se incrementa de dos a tres veces las concentraciones de globulina trasportadora de tiroxina, un aumento de 30-100% en triyodotironina (T3), y en concentraciones de tiroxina.
Tabla 1: Pruebas de funcionamiento tiroideo en el embarazo.
| Primer trimestre | Segundo trimestre | Tercer trimestre | |
|---|---|---|---|
| TSH | Normal o baja | Normal | Normal |
| T4 libre | Normal | Normal | Normal |
| T3 libre | Normal | Normal | Normal |
| T4 total | Alta | Alta | Alta |
| T3 total | Alta | Alta | Alta |
| Captación de resina T3 | Baja | Baja | Baja |
| Índice de T4 libre | Normal | Normal | Normal |
TSH = hormona estimulante de tiroides.
El hipertiroidismo ocurre en 1-2 de cada 1,000 embarazos (0.1-0.4% de todos los embarazos)1,2 y se presenta con TSH baja, T4 libre elevada y/o T3 elevada, siendo raro durante el embarazo.3 Dentro de las manifestaciones clínicas, muchos de los síntomas son inespecíficos que pueden ser asociados al embarazo; taquicardia, intolerancia al calor, taquipnea, ansiedad, temblor, pérdida de peso, teniendo en ocasiones datos clínicos más específicos como el bocio y oftalmopatía que sugieren hipertiroidismo por enfermedad de Graves.4 El hipertiroidismo causado por la enfermedad de Graves tiende a empeorar durante el primer trimestre, mejorar en el segundo/tercer trimestre y empeorar en el puerperio,1,4,5 existen diferentes etiologías del hipertiroidismo en embarazo, las cuales se muestran en la Tabla 2.
Tabla 2: Etiología de hipertiroidismo durante el embarazo.8
| Enfermedad de Graves (80-90%) relación de1:500 embarazos |
| Tiroiditis subaguda |
| Bocio multinodular tóxico |
| Tirotoxicosis TSH dependiente |
| Adenoma funcional de tiroides |
| Ingesta de hormonas tiroideas |
| Tiroiditis postparto |
| Causas asociada al embarazo |
| Hiperémesis gravídica (hipertiroidismo transitorio) |
| Mola hidatidiforme |
TSH = hormona estimulante de tiroides.
Dentro de las complicaciones maternas del hipertiroidismo durante el embarazo, se describen aborto espontáneo, trabajo de parto prematuro, bajo peso al nacer, muerte fetal, trastornos hipertensivos del embarazo, preeclampsia, desprendimiento de la placenta, insuficiencia cardiaca y rara vez tormenta tiroidea.4,6 Las complicaciones fetales y neonatales: muerte fetal, bajo peso al nacer, bocio, hipo e hipertiroidismo neonatal.6,7
Caso clínico
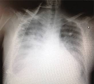
Mujer de 21 años con carga genética materna y paterna para diabetes mellitus tipo 2. Antecedente de diabetes mellitus tipo 1 en tratamiento con dieta e insulina 10 unidades subcutáneas de acción intermedia (NPH) por la mañana y 10 unidades NPH más 4 unidades de insulina de acción rápida por la noche. Antecedentes ginecoobstétricos: cinco gestas, dos partos, dos abortos, grupo sanguíneo O Rh positivo. Menarca: 12 años. Ritmo 35 × 7 días. No uso de método de planificación familiar. Embarazo de 30 semanas de gestación por amenorrea, acude al Servicio de Urgencias por presentar actividad uterina, signos vitales a la exploración física: tensión arterial 150/90 mmHg, frecuencia cardiaca 92 por min, frecuencia respiratoria 20 por minuto, temperatura 36.7o, paciente tranquila, consciente y orientada, sin alteraciones cardiorrespiratorias, abdomen con útero gestante con fondo uterino de 29 cm, frecuencia cardiaca fetal (FCF) 156 por minuto, al tacto vaginal cérvix central, blando, con 10 cm de dilatación, se traslada a la Unidad Tocoquirúrgica donde se atiende parto pretérmino obteniendo recién nacido femenino de 1,530 gramos, talla 42 cm, APGAR 7/8 SA. 0 Capurro de 30.2 semanas de gestación, con sangrado de 500 cc postparto. En el puerperio inmediato presenta descontrol hipertensivo 160/110 mmHg, FC 146 por minuto, FR 26 × minuto, disnea, temperatura de 37.6o, índice de proteínas urinarias/creatinina urinaria de 0.3, proteínas en labsctik ++, ingresando a Unidad de Cuidados Intensivos (UCI) con diagnóstico de preeclampsia severa/emergencia hipertensiva con edema agudo pulmonar, iniciando tratamiento antihipertensivo intravenoso con nitroprusiato de sodio y vía oral con alfametildopa 500 mg vía oral cada ocho horas, e hidralazina 50 mg vía oral cada seis horas, persistiendo incremento de trabajo respiratorio, saturación por oximetría de pulso 83% con FiO2: 33%, gasometría arterial; pH 7.37 pO2 56 pCO2 24 HCO3 18.2 Sat: 85% déficit base -5.2, lactato sérico 2.1, con trastorno mixto de acidosis metabólica, con alcalosis respiratoria, insuficiencia respiratoria tipo I, por lo que se decide colocar en ventilación mecánica no invasiva PS/CPAP con los siguientes parámetros (PS) presión soporte de 12 cmH20, CPAP o PEEP 5 cmH2O FiO2: 60%, disminuyendo trabajo respiratorio, aumentado la oximetría de pulso ≥ 94%, radiografía de tórax en la cual se observan datos de edema agudo pulmonar (Figura 1).
Disminuyendo cifras tensionales TA: 128/77 mmHg, administración de diurético furosemida dosis inicial 60 mg IV, después con horario 40 mg IV cada ocho horas. Se toman estudios de laboratorios los cuales reportan: Hb 12.5 g/L, Hto 37.7%, Leu 11.6 mil/mm3, plaquetas 120 mil/mm3, glucosa 90 mg/dL, urea 25 mg/dL, creatinina 0.36 mg/dL, ácido úrico 4.5 mg/dL, Na 132 mEq, K 3.74 mEq, Cl 97.5 mEq, Ca 7.8 mEq, TGO 30 UI/L, TGP 20 UI/L, DHL 346 UI/L, BT 1.15 mg/dl, BI 0.30 mg/dL. Paciente manejado con antihipertensivos intravenosos, ventilación mecánica no invasiva, se colocó monitorización continua y monitor de bioimpedancia eléctrica, el cual nos mostró gasto cardiaco alto (GC) 7.5 litros/minuto, incremento en las resistencias vasculares sistémicas (RVS) 1,865, presión venosa central (PVC) alta 12 mmHg. Electrocardiograma taquicardia sinusal FC: 125 × minuto eje eléctrico + 60o, no datos de isquemia, no necrosis ni lesión, onda p = 0.08 PR: 0.12 QRS: 0.08. Ecocardiograma: dilatación de aurícula izquierda, con movilidad de ventrículo izquierdo normal, función sistólica de ventrículo izquierdo normal, FEVI 57%, función sistólica del ventrículo derecho normal con TAPSE de 23 mmHg, insuficiencia mitral leve, presión pulmonar sistólica de 45 mmHg.
Paciente persistiendo con taquicardia FC 123 × minuto, temblor fino, intolerancia al calor y aumento de glándula tiroidea, solicitando pruebas de funcionamiento tiroideo: TSH 0.168 uU/mL (0.4-4.0), T3 458 ng/dL (0.60-1.81), T4 libre mayor de 6.0 μg/dL (0.8-1.5), anticuerpos antimicrosomales ≥ 1,000, UI/mL, anticuerpos antitiroglobulina 25 UI/mL. Iniciando tratamiento con tapazol 10 mg vía oral cada ocho horas y propanolol 40 mg vía oral cada ocho horas. Se realizó ultrasonido (USG) tiroides donde se reporta: aumento de tamaño de manera global y difusa observando que ambos lóbulos traspasan la arteria carótida por delante. De textura heterogénea, a la aplicación de Doppler color se observa aumento de la perfusión de manera global, no se observan nódulos o lesiones focales propiamente formadas. Evidencia de bocio multinodular difuso caracterizado por el aumento generalizado de volumen de la glándula (Figura 2).

Figura 2: Ultrasonido de glándula tiroidea: aumento de tamaño de manera global y difusa observando que ambos lóbulos traspasan la arteria carótida por delante. De textura heterogénea, a la aplicación de Doppler color se observa aumento de la perfusión de manera global, no se observan nódulos o lesiones focales propiamente formadas. Evidencia de bocio multinodular difuso caracterizado por el aumento generalizado de volumen de la glándula
La paciente continuó con tratamiento establecido con medicamentos antitiroideos: tapazol de 10 mg vía oral cada ocho horas, propanolol 40 mg vía oral cada ocho horas, antihipertensivos vía oral alfametildopa 500 mg vía oral cada ocho horas, furosemida 10 mg IV cada ocho horas, egresando de la UCI por mejoría, con control por medicina interna y endocrinología.
Concluyendo que la paciente presentó en el puerperio inmediato tormenta tiroidea con emergencia hipertensiva, edema agudo pulmonar y preeclampsia severa.
Discusión
El hipertiroidismo con presencia de TSH baja, T4 libre elevada y/o T3 elevada es raro durante el embarazo, ocurre entre 0.1-0.4% de todos los embarazos.9 La incidencia de enfermedades tiroideas es cuatro a cinco veces más frecuente en mujeres. En cuanto a las manifestaciones clínicas, muchos de los síntomas se asocian con el embarazo; taquicardia, palpitaciones, intolerancia al calor, taquipnea, ansiedad, temblor, pérdida de peso, labilidad emocional, así como resultados específicos como el bocio y oftalmopatía sugieren hipertiroidismo por enfermedad de Graves,4,5,10 por lo que se deben realizar estudios de laboratorio para su diagnóstico: medición de TSH sérica, T4 o T3, así como otros estudios de laboratorio que nos pueden orientar, como hipercalcemia (10%), aumento de la fosfatasa alcalina, elevación de enzimas hepáticas y presencia de autoanticuerpos de tiroides.11,12 Los anticuerpos antimicrosomales tiroideos (anticuerpos contra la peroxidasa tiroidea o TPO anticuerpos) se incrementan en la mayoría (80-90%) de las pacientes con anticuerpos contra el receptor de la hormona de la enfermedad de Graves y la tiroides (TRAb). La medición de anticuerpos TPO favorece un diagnóstico de hipertiroidismo autoinmune sobre otras etiologías. El curso de la enfermedad de Graves durante el embarazo inicia con un empeoramiento en el primer trimestre debido al aumento de la actividad de la glándula tiroides, mejoría en la segunda mitad del embarazo a causa de la supresión inmune y el agravamiento en el periodo postparto debido a rebotes del sistema inmunológico.13
Luewan14 en un estudio de 180 embarazos complicados por hipertiroidismo en comparación con 360 controles observó en el grupo 1 hipertensión arterial materna, RR (1.3-1.4), mayor riesgo de restricción de crecimiento fetal, bajo peso al nacer y parto prematuro. Complicaciones del hipertiroidismo y embarazo: aborto espontáneo, trabajo de parto prematuro, bajo peso al nacer, muerte fetal, preeclampsia, insuficiencia cardiaca.15 La tirotoxicosis se debe a una sobreproducción de hormonas tiroideas como secuelas de la enfermedad de Graves, siendo más grave en el primer trimestre o en el puerperio.2,15
La tormenta tiroidea es una emergencia médica infrecuente caracterizada por un estado hipermetabólico producido por la elevación de las hormonas tiroideas. Se presenta en 1% de las mujeres con hipertiroidismo no tratado durante el embarazo; presupone un alto riesgo de falla cardiaca, insuficiencia cardiaca materna, alteraciones neurológicas, estupor, coma, y una mortalidad materna hasta en 25% de los casos.14
Es relevante considerar en mujeres durante el embarazo, parto y puerperio los antecedentes de hipertiroidismo, así como presencia de fiebre inexplicable, alteraciones del estado mental, arritmia cardiaca, falla cardiaca, confusión y crisis convulsivas. Se han asociado factores precipitantes como traumatismo, cirugía, infección, estrés, preeclampsia y cetoacidosis a la presencia de tormenta tiroidea.
El tratamiento no difiere de las mujeres no embarazadas y debe realizarse un manejo interdisciplinario compuesto por médicos especialistas: obstetras, materno-fetal y endocrinólogos en la UCI con monitoreo fetal continuo. Así, el manejo multimodal debe incluir bloqueadores betaadrenérgicos (propanolol) dosis de propiltiouracilo (PTU) y esteroides; además de la administración de oxígeno, antipiréticos, reanimación con volumen y nutrición adecuada.15
Para la interrupción del embarazo, deben valorarse las condiciones fetales. Las mujeres con tormenta tiroidea presentan aumento de presión arterial, cefalea, dolor abdominal, falla cardiaca, insuficiencia cardiaca y edema agudo pulmonar, datos que pueden ser compatibles con la presencia de preeclampsia severa, lo que puede dificultar el diagnóstico de una tormenta tiroidea.16
Los signos clínicos como el aumento de la glándula tiroides, bocio, soplo tiroideo, o exoftalmos son más específicos para mujeres con hipertiroidismo. Dentro de los estudios de laboratorio, se incluyen pruebas de funcionamiento tiroideo: hormona estimulante de tiroides (TSH), triyodotironina libre (FT3), y tiroxina libre (FT4), biometría hemática completa, panel metabólico completo y electrolitos séricos.
El diagnóstico de tormenta tiroidea cuenta con presencia de hipertiroidismo y datos clínicos compatibles. Algunos otros datos indicativos son hiperglicemia, hipercalcemia, elevación de enzimas hepáticas y alteraciones hidroelectrolíticas.
Burch y Wartosfky17 han elaborado un sistema de puntuación clínica comúnmente citado para la probabilidad de tormenta tiroidea. Se consideran: la elevación de la temperatura, la frecuencia cardiaca, y algunas disfunciones que indican una alta, media o baja probabilidad de diagnóstico (Tabla 3).
Tabla 3: Escala de Burch y Wartofsky para el diagnóstico de tormenta tiroidea.
| Disfunción termorreguladora | |
|---|---|
| Temperatura oC | |
| 37.2-37.7 | 5 |
| 37.8-38.2 | 10 |
| 38.3-38.8 | 15 |
| 38.9-39.2 | 20 |
| 39.3-39.9 | 25 |
| > 40 | 30 |
| Disfunción cardiovascular | |
| Taquicardia (latidos por minuto) | |
| 90-109 | 5 |
| 110-119 | 10 |
| 120-129 | 15 |
| 130-139 | 20 |
| > 140 | 25 |
| Fibrilación auricular | |
| Ausente | 0 |
| Presente | 10 |
| Insuficiencia cardiaca congestiva | |
| Ausente | 0 |
| Leve | 5 |
| Moderada | 10 |
| Severa | 15 |
| Disfunción gastrointestinal-hepática | |
| Ausente | 0 |
| Moderada (diarrea, dolor abdominal, náuseas) | 10 |
| Severa (ictericia) | 20 |
| Alteraciones del sistema nervioso central | |
| Ausente | 0 |
| Leve (agitación) | 10 |
| Moderada (delirium, psicosis, letargia) | 20 |
| Severa (crisis convulsivas) | 30 |
| Evento precipitante | |
| Ausente | 0 |
| Presente | 10 |
| Puntaje total | |
| ≥ 45 puntos tormenta tiroidea | |
| 25-44 puntos tormenta tiroidea inminente | |
| ≤ 25 puntos tormenta tiroidea poco probable |
Burch H, et al.17
En casos donde se presente bradicardia fetal, presencia de alteraciones del ritmo cardiaco o la falta de respuesta a maniobras de resucitación maternas, se deberá realizar operación de cesárea.
Tratamiento de tormenta tiroidea (Tabla 4)
Tabla 4: Tratamiento de tormenta tiroidea en la paciente embarazada.
| Materno |
|---|
| Pruebas de laboratorio |
| Pruebas de funcionamiento tiroideo, TSH, T3L, T4L |
| Biometría hemática completa. Gasometría arterial |
| Pruebas de funcionamiento hepático, electrolitos séricos |
| Radiografía de tórax |
| Electrocardiograma |
| Estudios complementarios (cultivos, tomografía computarizada) |
| Ingreso a UCI |
| Ingreso a Unidad de Cuidados Intensivos, monitorización materno-fetal. (telemetría, oximetría de pulso, FCF, presión arterial media) |
| Manejo multidisciplinario; UCI, endocrinología, materno fetal |
| Manejo inicial |
| Oxígeno alta concentración; mantener saturación por oximetría de pulso 94-98% |
| Colocar accesos periféricos |
| a. Líquidos cristaloides a 150-250 mL/h con vigilancia estrecha por riesgo de falla cardiaca o congestión venopulmonar |
| Mantener eutermia |
| a. Medidas de enfriamiento |
| b. Antipiréticos IV (paracetamol 500 mg cada seis horas) |
| Medicamentos |
| Primera línea: PTU dosis de carga de 600-1,000 mg seguidos de 250 mg vía oral cada cuatro a seis horas, con reducción de dosis conforme la disminución de los síntomas |
| Síntomas no severos: 100 a 300 mg cada ocho horas y reducción de 50 mg administrados dos a tres veces al día(19) |
| a. Yoduro de potasio cinco gotas cada ocho horas |
| Bloqueadores T4 a T3 |
| Dexametasona 2 mg IV cada seis horas × cuatro dosis o hidrocortisona 100 mg IV cada ocho horas |
| Control de la frecuencia cardiaca |
| Propanolol 40-60 mg PO/SNG cada seis horas |
| Fetal |
| Monitoreo |
| Iniciar la monitorización fetal si alcanza la viabilidad |
| Manejo conjunto con medicina materno-fetal |
| Optimización fetal |
| Decúbito lateral izquierdo |
| Suplemento de oxígeno (mantener saturación materna 94-98%, PaO2 70 mmHg) |
| Estabilizar la condición materna antes del parto |
TSH = hormona estimulante de tiroides, UCI = Unidad de Cuidados Intensivos, FCF = frecuencia cardiaca fetal, IV = intravenosa, PTU = propiltiouracilo, propanolol 40-60 mg vía oral cada seis horas.
Es recomendable mantener a la paciente eutérmica, para lo cual se emplean medidas de enfriamiento, colocar accesos periféricos para mantener adecuado equilibrio acido base, monitoreo continuo, con vigilancia estrecha de la saturación por oximetría de pulso por el riesgo de falla cardiaca, toma de trazo electrocardiograma, ecocardiograma y control de arritmia cardiaca (la más frecuente es fibrilación auricular).
En ocasiones, en pacientes sin mejora en fallas cardiacas y con insuficiencia respiratoria, puede requerirse intubación y apoyo de ventilación mecánica invasiva.17 Además del soporte y vigilancia en la UCI, el manejo de la tormenta tiroidea requiere de una serie de medicamentos:
Para la disminución de los niveles de hormonas tiroideas: propiltiouracilo (PTU) y metimazol son las tionamidas y actúan en la glándula tiroides para inhibir el crecimiento folicular, desarrollo y producción de yodotironinas en T4 y T3.
PTU disminuye la producción de hormonas tiroideas, así como la conversión a nivel periférico. Se ha asociado a casos de falla hepática fulminante y muerte asociada.
Metimazol: vinculado con algunos efectos teratogénicos (aplasia cutis y atresia coanal).
Yoduro de potasio: inhibe la liberación de activos de hormona tiroidea; dosis oral de cinco gotas cada ocho horas o IV yoduro de sodio 500-1,000 mg cada ocho horas.
Esteroides: parte fundamental en el manejo de la paciente con tormenta tiroidea ayuda a la disminución de la inflamación sistémica y de los efectos a nivel periférico de la conversión de T4 a T3.
Beta bloqueadores: como el propanolol, reduce la conversión periférica de T4 a T3 y reduce las complicaciones como taquicardia, arritmia y falla cardiaca. Su uso a largo plazo se asocia con la restricción del crecimiento fetal, pero se considera seguro en el embarazo en un balance riesgo/beneficio.18
Medicamentos de apoyo.
La tormenta tiroidea es una enfermedad poco frecuente, pero representa una condición que amenaza la vida de la madre y complica el embarazo. Requiere de reconocimiento precoz, atención multidisciplinaria y terapia agresiva para mejorar los desenlaces maternos y fetales.
La tiroidectomía está indicada en casos de fracaso del tratamiento con fármacos antitiroideos en dosis altas o que se presenten efectos adversos al mismo. Este procedimiento se puede llevar a cabo de manera óptima durante el segundo trimestre del embarazo. El yodo radiactivo está contraindicado durante el embarazo, ya que atraviesa fácilmente.
Conclusiones
El diagnóstico temprano y manejo de las alteraciones tiroideas durante el embarazo son esenciales para disminuir los resultados adversos materno-fetales. El hipertiroidismo en el embarazo no es común, el ginecólogo debe ser capaz de diagnosticar de forma oportuna este trastorno. La evaluación de la función tiroidea durante el embarazo y puerperio se debe realizar mediante evaluación clínica y medición de TSH y hormonas tiroideas libres. La medición de autoanticuerpos de tiroides también puede ser útil en casos seleccionados para detectar la enfermedad de Graves materna o la tiroiditis (Figura 3).6 La tirotoxicosis materna ocurre aproximadamente en 1 de 500 embarazos y el diagnóstico puede ser difícil debido a que el aumento de gasto cardiaco, taquicardia, calor e intolerancia al calor son datos clínicos durante el embarazo.7









nueva página del texto (beta)




