Introducción
Las hernias diafragmáticas se definen como la transposición de órganos abdominales a la caja torácica a través de defectos del músculo frénico, existen tres tipos básicos de hernia diafragmática congénita, incluyen la hernia de Bochdalek (HB), la hernia de Morgagni (HM) y la hernia de hiato.1,2
Las hernias diafragmáticas posterolaterales o de Bochdalek representan el tipo más común de hernia diafragmática congénita. La HB se produce por una alteración en el desarrollo embriológico del diafragma, causando una zona de debilidad anatómica que permite la protrusión de órganos intraabdominales hacia la caja torácica, siendo resultantes de una falla en el desarrollo de los agujeros diafragmáticos posterolaterales para fusionarse adecuadamente. Fueron descritas por primera vez por el checo Vincent Alexander Bochdalek en 1848.2
La prevalencia de la hernia de Bochdalek es de uno en 2,200 nacimientos y se ubica en el lado izquierdo en 80-90%, sólo 5-10% permanece indetectable en la niñez.1 Las hernias del lado izquierdo permiten la herniación del intestino delgado y grueso y los órganos sólidos intraabdominales en la cavidad torácica. En las hernias del lado derecho (13% de los casos), sólo el hígado y una porción del intestino grueso tienden a herniar.2 Su diagnóstico en el adulto es excepcional y se han descrito pocos casos en la bibliografía. Se descubren generalmente en la edad adulta de forma incidental o tras volverse sintomáticas por compromiso intestinal o respiratorio y en el caso de mujeres son asintomáticas hasta el momento del embarazo cuando se presenta como una complicación fatal en forma de estrangulamiento visceral.1
Presentación del caso
Femenino de 28 años de edad, en su primer embarazo (22 semanas de gestación), con control prenatal regular desde el primer trimestre y sin anormalidades.
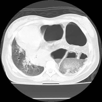
Cuadro de una semana con presencia de dificultad para respirar; tipo progresivo, posteriormente se agrega saciedad temprana e intolerancia a la vía oral con presencia de cuatro vómitos al día de contenido gastroalimentario, acude a hospital donde realiza revisión clínica y se documenta tomografía axial computarizada simple de abdomen, en la imagen digital y cortes axiales se observa presencia de asas de intestino grueso, niveles hidroaéreos en hemitórax izquierdo con atelectasia pulmonar total izquierda, desplazamiento contralateral de todas las estructuras mediastinales (Figuras 1 y 2). Por lo que se refiere a nuestra unidad, se ingresa a la Unidad de Cuidados Intensivos Obstétricos por la presencia de insuficiencia respiratoria, hipokalemia severa e intolerancia a la vía oral, por lo que se decide manejo de vía aérea, y posteriormente se pasa a quirófano para manejo quirúrgico por la presencia de oclusión intestinal. En quirófano se realiza hemicolectomía derecha por la presencia de isquemia y necrosis de pared del ciego y microperforaciones más plastia diafragmática posterior izquierda de aproximadamente 8 cm2 (Figura 3), posteriormente con colocación de sonda endopleural, presentando reexpansión pulmonar, con una evolución satisfactoria para el binomio hasta su egreso de la Unidad de Cuidados Intensivos Obstétricos.

Figura 1: Escaneo topográfico donde se aprecian estructuras con lateralización hacia hemitórax derecho con escoliosis torácica compensatoria, con disminución de parénquima pulmonar derecho. Hemitórax izquierdo con ausencia de parénquima pulmonar, engrosamiento de las paredes y distensión de asas intestinales; a nivel pélvico, con presencia de estructuras óseas fetales en pelvis.

Figura 2: Tomografía axial computarizada con tres asas de intestino grueso ocupando todo el hemitórax izquierdo, con componente liquido aire en su interior, con colapso pulmonar total, y desplazamiento contralateral de todos los órganos mediastinales.
Discusión
Presentamos a una mujer primigesta que desarrolló oclusión intestinal por estrangulamiento de una hernia diafragmática, mostrando criterios para choque séptico e insuficiencia respiratoria aguda, por lo que ameritó manejo multidisciplinario, debido al estado de choque se trató con vasopresor, esteroides, vitamina C, y manejo de la vía aérea y soporte con ventilación mecánica, posteriormente pasó a quirófano donde se realizó hemicolectomía derecha y plastia de HB, siendo exitosa (Figura 4).

Figura 4: La imagen es una proyección radiográfica AP de la cavidad torácica, la cual presenta artefactos de monitoreo, estructuras óseas en cuello con discreta rotación hacia la derecha, tráquea central con cánula endotraqueal, retorno de las estructuras centrales en situs solitus, con sonda intrapleural posterior apical izquierdo con datos de reexpansión pulmonar con atelectasia y derrame pleural izquierdo.
En nuestro caso hubo una respuesta rápida al manejo médico y quirúrgico; sin embargo, no se cuenta con evidencia bibliográfica en México del manejo de este tipo de pacientes, además este caso es interesante por ser el primero reportado en México en paciente adulta embarazada, la cual de acuerdo a la bibliografía a nivel mundial es reportada como inusualmente diagnosticada en la edad adulta, con una incidencia de 0.17-6%, con un índice femenino-masculino de 17:5 y postulada como herencia familiar a través de un patrón autonómico recesivo. El defecto congénito herniario de Bochdalek se presenta debido a la fusión incompleta del septum transverso y los pliegues pleuroperitoneales durante las semanas ocho y 10 de gestación,3 asociándose con un defecto anatómico de aproximadamente 2 × 3 cm,4 con contenido visceral abdominal hacia el tórax. en la literatura se han descrito 56 casos de hernias diafragmáticas maternas durante el embarazo, se reporta que 54% se presentaron después de las 24 semanas de gestación, 21% antes de las 24 semanas, 20% durante el trabajo de parto o el postparto y 5% no informó gestación.5 En este caso, coincidente con lo descrito en la literatura, fue identificada como complicación en el segundo trimestre del embarazo4 debido al incremento de la presión intraabdominal secundario al crecimiento uterino y al aumento en la secreción de progesterona que se asocia a la relajación diafragmática.6 La evolución clínica de la patología fue coincidente con lo reportado ante la presencia de dolor torácico y epigástrico, acompañada de náusea, vómitos, taquicardia y disnea debido al aumento del trabajo ventilatorio asociado a colapso pulmonar izquierdo por contenido intraabdominal documentado por TC torácica al ser la técnica que se asocia con una sensibilidad de 78% en este tipo de hernias.7 El tratamiento quirúrgico de la hernia diafragmática generalmente se realiza mediante laparotomía, toracotomía, laparoscopia, toracoscopia o un abordaje toracoabdominal combinado.8 Al no existir consenso descrito en la literatura respecto al manejo terapéutico, se decidió el mismo con base en la presentación y la edad gestacional menor de 24 semanas,9 bajo laparotomía con cierre primario, resección de colon y derivación intestinal ante la emergencia del caso debido a la clínica de la paciente, el tamaño del defecto, la presencia de posibles incidencias y tratamiento conservador obstétrico para lograr madurez fetal hasta la semana 30 de gestación.5,10
El reto potencial del manejo de complicaciones como la sepsis, el neumotórax, los trastornos hidroelectrolíticos, intercambio de gases y el adecuado aporte nutricional fueron abordados de manera multidisciplinaria apegados a las recomendaciones reportadas en la literatura internacional.
Conclusiones
El presente caso clínico fue detonado por el incremento de la presión intraabdominal inducido por el embarazo de una paciente que nunca tuvo sintomatología previamente, desarrollando una hernia diafragmática con estrangulamiento de asas intestinales en una paciente obstétrica en el segundo trimestre. Cursó estado de choque, el cual se manejó tanto médica como quirúrgicamente, y mostró una evolución satisfactoria para el binomio.










nueva página del texto (beta)



