Introducción
La enfermedad por coronavirus se describe por primera vez el 29 de diciembre de 2019 en la ciudad de Wuhan, provincia de Hubei, China, donde se identifica inicialmente como una «neumonía viral» y en enero de 2020 se identifica al patógeno en el documento «Novel coronavirus 2019», a fin del mismo mes la OMS (Organización Mundial de la Salud) declaró emergencia sanitaria; sin embargo, es en febrero cuando se nombra oficialmente «enfermedad de coronavirus 2019».1
La neumonía COVID-19 es una enfermedad específica con fenotipos peculiares, aunque puede cumplir con la definición de la SDRA de Berlín (Tabla 1),2 su principal característica es la disociación entre la gravedad de la hipoxemia y el mantenimiento de una mecánica respiratoria relativamente buena.3
Tabla 1: Criterios de Berlín para síndrome de distrés respiratorio agudo.
| Infiltrados pulmonares bilaterales en estudio de imagen (radiografía de tórax, tomografía computarizada o ultrasonido pulmonar) |
| Edema pulmonar no justificado principalmente por falla cardiaca (evidenciado de forma objetiva, ej. ecocardiografía) |
| PaO2/FiO2 < 300 (con PEEP/CPAP ≥ 5 cmH2O) |
| Afección pulmonar de inicio menor de siete días |
PaO2/FiO2 = presión alveolar de oxígeno/fracción inspirada de oxígeno; PEEP = presión positiva al final de la espiración; CPAP = presión positiva continua en las vías respiratorias; cmH2O = centímetro de agua.
El periodo de incubación se definió como el intervalo entre la fecha potencial de contacto más temprana de la fuente de transmisión y la fecha más temprana de aparición de los síntomas, y éstos pueden aparecer desde el segundo hasta el día 12 posterior a la exposición.4
La ruta de transmisión de este virus es por contacto, gotitas de Flügge y aerosoles. Las manifestaciones clínicas descritas son fiebre, tos, odinofagia, cefalea, fiebre, mialgias, artralgias, en casos leves, mientras que en casos graves se presenta disnea progresiva, incluso síndrome de dificultad respiratoria aguda, así como afección a otros órganos con insuficiencia renal aguda e insuficiencia cardiaca.4
La base del diagnóstico del COVID-19 es la prueba de reacción en cadena de polimerasa en tiempo real (RT-PCR por sus siglas en inglés, reverse transcriptase-polymerase chain reaction) que incluyen hisopado orofaríngeo, nasofaríngeo, esputo, lavado bronco alveolar y aspirados traqueales.4,5
Hasta la fecha no hay un tratamiento específico y probado contra la infección, se recomienda de forma inmediata establecer las medidas de prevención y control, con una monitorización estrecha; en los casos leves se puede dar manejo ambulatorio y en los casos graves proporcionar tratamiento de soporte respiratorio y orgánico.6,7
Caso clínico
Se trata de paciente masculino de 59 años, residente y originario de Sonora, casado, católico, estudios de postgrado y trabajador de la salud, dentro de los antecedentes crónico degenerativos refiere hipertensión arterial de 12 años de evolución en tratamiento con losartán; y tabaquismo, el cual fue suspendido 12 años atrás, niega alergias y hospitalizaciones previas.
Inicia padecimiento posterior a tener contacto previo con personas provenientes de España, con inicio de sintomatología el día 18 de marzo de 2020 cuando presenta mialgias, artralgias, febrícula de 37.7 grados, posteriormente fiebre de 38.4 grados, disnea, fatiga y odinofagia; acude a consulta y se hospitaliza, otorgando tratamiento con cloroquina, azitromicina y oseltamivir por cuatro días y se tomó de muestra para COVID-19.
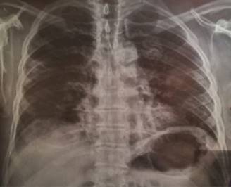
El paciente presentó aumento de trabajo respiratorio, se tomó radiografía de tórax (Figura 1) con opacidades heterogéneas periféricas de ambos pulmones, comportándose como neumonía por COVID-19 y se solicitó tomografía simple de tórax (TC) donde se observa imagen de vidrio despulido en las periferias pulmonares, zonas de consolidación y atelectasias (Figura 2). Los laboratorios iniciales con leucocitos de 11,200, neutrófilos de 88% y linfocitos de 8%, hemoglobina (Hb) 14 g/dL, hematocrito (Hto) 42.2%, plaquetas de 359,000, PCR 96, DHL de 684. Se recaba prueba RT-PCR positiva, se agrega disnea progresiva e hipoxemia requiriendo manejo avanzado de la vía aérea.

Figura 1: Radiografía simple de tórax donde se observan opacidades heterogéneas periféricas de ambos pulmones. Día del estudio 27 de marzo de 2020.

Figura 2: Tomografía de tórax que muestra imagen de vidrio despulido de distribución periférica, zonas de consolidación así como atelectasias. Día del estudio 28 de marzo de 2020.
Se traslada a la Unidad de Cuidados Intensivos Metabólicos donde se recibe con ventilación mecánica (VM) con los siguientes parámetros ventilatorios, variable control: presión, secuencia respiratoria: mandataria continua, estrategia: fija, FiO2 80%, presión inspiratoria: 10, Ti 1.3 segundos, FR 16, PEEP 10, Rampa 0.3, con índice de Kirby de 83 mmHg, su gasometría con pH 7.10, pCO2 82, PO2 47, SO2 65%, HCO3 25.5. Los laboratorios al ingresar con leucocitos en 22,000, linfocitos 18.3%, neutrófilos 72%, Hb 13.2 g/dL, Hto 40%, plaquetas de 698,000, fibrinógeno 1,132, troponina I ultrasensible 8.6, creatinfosfoquinasa (CPK) 40.10, colesterol inicial 185, control de 305, dímero D 50 inicial, control de 830 (Tabla 2).
Tabla 2: Laboratorios desde el inicio de la enfermedad.
| Reactivos (UM) | Inicio | Día 1 en UCI | Día 10 en UCI |
|---|---|---|---|
| Hb (mg/dL) | 14.1 | 13.21 | 12.39 |
| Hematocrito (%) | 42 | 40.3 | 37.9 |
| Leucocitos (10(3)/μL) | 11,200 | 22.8 | 10.4 |
| Linfocitos (%) | 8 | 18.3 | 54.3 |
| Neutrófilos (%) | -- | 72.5 | 54.3 |
| Plaquetas (×10(3)/μL) | 352 | 698.1 | 515.1 |
| Fibrinógeno (mg/dL) | -- | 1,132.4 | 981.27 |
| TP (seg) | -- | 16.9 | 15.3 |
| TPT (seg) | -- | 32.3 | 33.6 |
| Dímero D (ng/mL) | 0.3 | 50 | 830 |
| FA (UI/L) | 136 | 79 | 326 |
| DHL (UI/L) | 684 | 451 | 513 |
| TGO (UI/L) | 72 | 78 | 55 |
| TGP (UI/L) | 70 | 80 | 66 |
| CPK (UI/L) | -- | 147 | 131 |
| CPK-mb (U/L) | -- | 40 | 25 |
| Troponina I HS | -- | 8.6 | -- |
| PCR (mg/L) | 96 | 17.1 | 10.8 |
| Glucosa(mg/dL) | 107 | 164 | 78 |
| Colesterol | -- | 185 | 305 |
UM = unidades de medida; UCI = Unidad de Cuidados Intensivos; Hb = hemoglobina; TP = tiempo de protrombina; TPT = tiempo de tromboplastina parcial; FA = fosfatasa alcalina; DHL = deshidrogenasa láctica; TGO = transaminasa glutámico oxalacética; TGP = transaminasa glutámico-pirúvica; CPK: creatinfosfoquinasa; CPK-mb: creatinfosfoquinasa fracción mb; PCR = proteína C reactiva. HS = ultrasensible
Datos obtenidos del expediente.
Durante su estancia en la UCI se mantiene con sedación y analgesia, en los primeros cuatro días se utilizó relajante muscular por hipoxemia refractaria en la VM se utilizó ventilación protectora con volumen tidal a 6 ml/kg de peso predicho, cuidando presión plateau < 30 mmH2O ideal < 28 mmH2O (Tabla 3). Para reducir el daño pulmonar por VM se aplicaron cambios de posición constantemente y así evitar microatelectasias, al mismo tiempo que el uso de heparina de bajo peso molecular a dosis de anticoagulación. Se realizaron cultivos de orofaringe para no abrir circuito y causar aumento de aerosoles, y se obtuvo desarrollo > 100,000 UEC de Pseudomonas aeruginosa, y pasado el periodo de mayor contagio (14 días) se tomó cultivo de secreción bronquial que reportó Escherichia coli multidrogorresistente BLEE positivo sensible a tigeciclina.
Tabla 3: Monitoreo ventilatorio en Unidad de Cuidados Intensivos.
| Día/hora | 1/10:20 | 2/10:25 | 3/10:30 | 4/13:00 | 5/09:00 | 6/08:50 | 7/7:00 | 8/09:00 | 9/09:50 | 10/10:25 | 11/10:30 | 12 | 13 | 14 | 15 |
|---|---|---|---|---|---|---|---|---|---|---|---|---|---|---|---|
| Modo ventilación | A/CV | A/CV | A/CV | A/CV | A/CP | A/CP | A/CP | CPAP | CPAP | CPAP | CPAP | Ret. tubo | Esp. | Esp. | Alta |
| PEEP | 8 | 8 | 8 | 8 | 8 | 8 | 8 | 8 | 8 | 8 | 8 | ---- | ---- | ---- | ---- |
| FiO2 % | 65% | 40% | 40% | 45% | 40% | 40 | 35% | 30% | 27% | 27 | 21 | 21 | 30 | 25 | 21 |
| SAT VC | 75% | 80% | 72% | 66% | 80% | 83% | 68 | ---- | ---- | ---- | ---- | ||||
| Relajado | Sí | Sí | Sí | Sí | Sí | No | No | No | No | No | No | ----- | ---- | ---- | ---- |
| VT | 430 | 420 | 450 | 450 | 500 | 530 | 422/379 | 530 | 580 | 606 | 626 | ----- | ---- | ---- | ---- |
| VM | 6.8 | 6.3 | 6.8 | 7.19 | 8.5 | 8.8 | 7.18 | 8.1 | 8.0 | 9.9 | 11.4 | ---- | ---- | ---- | ---- |
| R | 8 | 8.5 | 8.2 | 9.1 | 9.4 | 9 | 10.6 | 7.9 | ----- | ---- | ---- | ---- | |||
| P. pico | 23 | 25 | 21 | 24 | 22 | 24 | 23 | 22 | 21 | 24 | 19 | ----- | ---- | ---- | ---- |
| P. meseta | 16 | 23 | 22 | 22 | 22 | 22 | 18 | 17 | 16 | 19 | 15 | ----- | ---- | ---- | ---- |
| P. media | 13 | 12 | 12 | 11 | 13 | 13 | 12 | 12 | 13 | 13 | 11 | ----- | ---- | ---- | ---- |
| FR | 16 | 15 | 17 | 16 | 16 | 18 | 18 | 18 | 17 | 16 | 18 | 20 | 23 | 25 | 22 |
| I:E | 1:2.4 | 1.23 | 1:2.2 | 1:2.4 | 1:1.9 | 1:2 | 1:2 | 1:2 | 1:2 | 1:2.6 | 1:2 | ---- | ---- | ---- | ---- |
| pH | 7.27 | 7.31 | 7.36 | 7.44 | 7.52 | 7.51 | 7.45 | 7.44 | 7.40 | 7.45 | 7.40 | 7.40 | 7.39 | 7.41 | 7.40 |
| PaO2 | 70 | 120 | 61 | 74 | 67 | 65 | 70 | 81 | 71 | 83 | 67 | ---- | ---- | ---- | ---- |
| pCO2/HCO3 | 68/28 | 67/30.3 | 64/36 | 55/40 | 50/40 | 50/36.6 | 52/36.1 | 48/30 | 45/27 | 36/25 | 44/27.36 | 24 | ---- | ---- | 24 |
| Saturación % | 93 | 98 | 94 | 95 | 95 | 94 | 95 | 95 | 96 | 97 | 93 | 96 | 95 | 96 | 95 |
| IK: | 116 | 168 | 152 | 164 | 167 | 162 | 200 | 212 | 256 | 307 | 316 | 300 | ---- | ---- | ---- |
| Gaa: | 313 | 80.6 | 142 | 171.25 | 154 | 156 | 113 | 85 | 56 | 63 | 26 | ------- | ---- | ---- | ---- |
| QSQT: | 17 | 4.4 | 7.8 | 9.5 | 8.5 | 8.6 | 6.2 | 5 | 3.1 | 13.4 | 1.4 | ----- | ---- | ---- | ---- |
| DD: | 24 | 28 | 55 | 22.5 | 34.7 | 30 | 28 | 35 | 41 | 32.6 | 56 | ------ | ---- | ---- | ---- |
| Peso | 91.5 | 97.5 | 95 | 98 | 98.5 | 105 | 96.5 | 96 | 95 | 96 | 91.5 | 95 | 94 | 92 | 88 |
| Driving pressure/R | 15 | 15 | 14 | 12 | 14 | 14 | 10 | 9.5 | 9 | 11 | 7 | ---- | ---- | ---- | ---- |
| Poder mecánico | 2.9 | 6.1 | 7 | 11.2 | 10 | 9.3 | 11.5 | 8 | 8 | 11.5 | 11.7 | ----- | ---- | ---- | ---- |
| IOX | 12 | 4 | 6 | 9 | 7 | 8 | 7 | 7 | 6 | 3.5 | 3.9 | ----- | ---- | ---- | ---- |
| TAM | 83 | 78 | 90 | 90 | 90 | 80 | 80 | 85 | 81 | 78 | 90 | 85 | 80 | 82 | 85 |
| PVC | 14 | 15 | 14 | 13 | 10 | 9 | 9 | 8 | 7 | 8 | 10 | 11 | 9 | 10 | |
| FC | 99 | 73 | 68 | 60 | 50 | 74 | 69 | 80 | 77 | 89 | 77 | 66 | 68 | 70 | 66 |
| Temp.o | 37.0 ° | 35.9 | 36.2 | 36.4 | 36.2 | 36.8 | 36.8 | 36.5 | 36 | 36.8 | 37.0 | 36 | 36 | 36 | 36 |
Referente al soporte circulatorio el paciente cursó con choque séptico, utilizando dosis tituladas de noradrenalina para mantener perfusión y garantizar la microcirculación, así como glucocorticoides de tipo hidrocortisona hasta completar el ciclo recomendado a dosis de 200 mg cada 24 horas.
Posterior al retiro del relajante muscular, y al disminuir dosis de sedantes se inició rehabilitación temprana del paciente. En el día 11 de estancia en la UCI se logró progresar ventilación mecánica hasta destete de ésta, egresándose de dicho servicio dos días después.
El presente caso evolucionó de leve-moderado-severo-crítico, donde progresa el daño pulmonar causando falla respiratoria que requirió ventilación mecánica, y el tratamiento crítico consistió en fortalecer la dinámica de calidad en nuestra unidad, asegurar un aporte calórico adecuado (25 Kcal/kg), mantener un balance de líquidos y electrolitos adecuado para mantener la estabilidad metabólica, monitorear signos vitales, saturación de oxígeno y paraclínicos.
Discusión
A inicios de diciembre de 2019 en Wuhan, capital de la provincia de Hubei, se presentan los primeros casos de neumonía de origen desconocido. El patógeno se identificó y nombró coronavirus del síndrome respiratorio agudo 2 (SARS-CoV-2), ya que se encontró una similitud filogenética con el SARS-CoV. Dada su rápida propagación, la Organización Mundial de la Salud (OMS) llamó recientemente a la enfermedad coronavirus 2019 (COVID-19).1,4,6
El SARS-CoV-2 es un coronavirus β, que está envuelto en un virus ARN de sentido positivo no segmentado que pertenece a la subfamilia Orthocoronavirinae, al subgénero Sarbecovirus; se caracteriza por ser un virus ARN de cadena positiva que bajo microscopia electrónica posee una apariencia de corona. Recientemente se descubrió que este nuevo coronavirus tiene gran afinidad por el receptor de enzima convertidora de angiotensina-2 (ACE-2) con la que establece una unión covalente máxima y que tiene una gran expresión en el neumocito.7
De acuerdo con la recomendación más reciente, la enfermedad por coronavirus 2019 se clasifica en cuatro tipos: casos leves, ordinarios, graves y críticos. Los casos leves y ordinarios tienen buen pronóstico, pero los casos graves, especialmente los críticos, siempre presentan una disfunción orgánica sistemática y una hospitalización prolongada con una recuperación deficiente.8
Las evaluaciones de laboratorio consistieron en un conteo sanguíneo completo, análisis químico sanguíneo, pruebas de coagulación, evaluación de la función hepática y renal, y medidas de electrolitos, procalcitonina y creatina quinasa; considerando a la proteína C reactiva, lactato deshidrogenasa y los glóbulos blancos como predictor de gravedad.5,9
En cuanto a los estudios de gabinete, las imágenes hasta hoy características de neumonía viral por COVID-19 son infiltrados heterogéneos bilaterales, periféricos en la radiografía de tórax, mientras que en la TC se observan opacidades con atenuación de vidrio esmerilado periférico, focal o multifocal, y bilaterales en 50-75% de los casos. Al progresar la enfermedad entre los días 9 y 13, aparecen lesiones en patrón de mosaico de pavimentación, dichas lesiones desaparecen en un mes o más. Sin embargo, la ACR (American College of Radiology por sus siglas en inglés) sugiere que no se debe usar la tomografía computarizada para detectar o como prueba de primera línea para diagnosticar COVID-19, ya que las imágenes encontradas no son específicas para dicha patología, siendo la prueba viral el único método específico de diagnóstico.10,11
En cuanto al tratamiento, los pacientes con neumonía COVID-19, que cumplen los criterios de Berlín para el SDRA, presentan una forma atípica del síndrome, por ello el tratamiento ventilatorio en este caso se apegó a lo referido por Karbing y colaboradores,12 en el que se identifica que el uso de PEEP en pacientes con SDRA puede tener efectos tanto benéficos como perjudiciales, ya que una PEEP alta en un pulmón poco reclutable tiende a resultar en un severo deterioro hemodinámico, hipoxemia, aumento de cortocircuito y retención de líquidos, por lo tanto se debe individualizar la estrategia ventilatoria y tratar de descubrir qué efecto tendrá el PEEP en el pulmón a ventilar, en este caso encontramos que el uso de PEEP elevado (> 10 cmH2O) perjudica la ventilación y deteriora su distensibilidad encontrando que el valor ideal para este pulmón es de 8 cm H2O, en el que se obtiene mejor ventilación y disminución de corto circuitos pulmonares, ya que el movimiento del volumen es diferente en las distintas regiones pulmonares según sea el daño en dicho sitio pulmonar ya establecido, con gran beneficio en metas de protección pulmonar, y así lograr un mejor equilibrio entre el intercambio de O2 y preservar el intercambio de CO2 (ventilación) en la distensibilidad, no impactando de manera negativa en la frecuencia cardiaca, tensión arterial, saturación de oxígeno y presión plateau.11
Conclusión
El SDRA en el paciente con COVID-19 es una entidad nueva, aún de prevalencia inespecífica. En México actualmente nos encontramos en la fase de contingencia cuya mortalidad hoy es de 10.7%. En este trabajo se pretende registrar el manejo que se otorgó en SDRA por SARS-CoV-2 y mostrar que la presentación clínica fue similar a lo reportado en la bibliografía; sin embargo, en el tratamiento se priorizó en metas de protección pulmonar y se obtuvo una evolución exitosa. El pronóstico en la mayoría de los casos es incierto, aunque si el abordaje es precoz y oportuno, la evolución puede ser favorable.









nueva página del texto (beta)


