SciELO - Scientific Electronic Library Online

 
vol.33 número5Comparación de criterios de Berlín vs Kigali para diagnóstico del síndrome de insuficiencia respiratoria agudaIncidencia del síndrome de Burnout en residentes de terapia intensiva en hospitales de tercer nivel estudio multicéntrico internacional (estudio INCIBUS) índice de autoresíndice de materiabúsqueda de artículos
Home Pagelista alfabética de revistas  

Servicios Personalizados

Revista

Articulo

Indicadores

Links relacionados

  • No hay artículos similaresSimilares en SciELO

Compartir


Medicina crítica (Colegio Mexicano de Medicina Crítica)

versión impresa ISSN 2448-8909

Med. crít. (Col. Mex. Med. Crít.) vol.33 no.5 Ciudad de México sep./oct. 2019  Epub 30-Jul-2021

 

Temas de investigación

Comportamiento de la colapsabilidad de la vena cava inferior en hemorragia controlada

Behavior of collapsibility of vena cava inferior in controlled hemorrhage

Comportamento da colapsibilidade da veia cava inferior em hemorragia controlada

Juan Manuel Atlas Rojas1  * 

Felipe de Jesús Montelongo1 

Aurea Carmona Domínguez1 

1 Hospital General de Ecatepec «Las Américas» del Instituto de Salud del Estado de México. Estado de México, México.


Resumen:

Introducción:

La ultrasonografía es una herramienta indispensable en el diagnóstico y seguimiento de los enfermos en estado crítico durante las últimas tres décadas. En la actualidad, el diagnóstico de choque hipovolémico se realiza a través de la monitorización de signos vitales, la identificación y cuantificación de pérdidas sanguíneas y marcadores de hipoperfusión tisular. Sin embargo, se ha demostrado de manera amplia que la hipotensión y taquicardia no son específicas ni sensibles para realizar dicho diagnóstico al mismo tiempo que se alteran en estadios avanzados del estado de choque, por lo que resultan ineficaces en la identificación temprana y toma de decisiones, los marcadores de hipoperfusión tisular son costosos y no siempre se cuenta con los insumos necesarios.

Metodología:

Se llevó a cabo la medición de la colapsabilidad de la vena cava inferior en pacientes sanos previo y posterior a la donación de 450 cm3 en el Banco de Sangre Estatal de Ecatepec durante el periodo comprendido de marzo a agosto de 2017. Se realizó en personas de entre 16 y 65 años de edad que se encontraban sanos, que aceptaron participar en el estudio previa firma de carta de consentimiento informado y en los que técnicamente fue realizable la medición de las variables con el ultrasonido, tomando como universo la medición realizada en 87 sujetos, de los cuales 75% fueron hombres y 25% fueron mujeres, se realizó medición de la colapsabilidad de la vena cava inferior antes y después de realizar la exanguinación de 450 cm3, se calculó el volumen sanguíneo circulante y sangrado permisible, se calculó el porcentaje de sangrado permisible al que equivalen 450 cm3 en cada individuo y se homologó la pérdida sanguínea con el porcentaje de pérdida hemática propuesta por el Colegio de Cirujanos para la clasificación de choque hemorrágico.

Conclusión:

Con el universo de casos revisados se plantea agregar la medición de la colapsabilidad de la vena cava inferior como una evaluación complementaria, accesible y barata en la complementación del diagnóstico y seguimiento del choque hipovolémico en los pacientes de la UCI y Urgencias.

Palabras clave: Ultrasonografía; colapsabilidad de la vena cava inferior; hemorragia controlada; choque hipovolémico

Abstract:

Introduction:

Ultrasonography is an indispensable tool in the diagnosis and monitoring of critically ill patients during the last three decades. Currently the diagnosis of hypovolemic shock is made through the monitoring of vital signs, the identification and quantification of blood loss and markers of tissue hypoperfusion. However, it has been amply demonstrated that hypotension and tachycardia are not specific or sensitive to perform such a diagnosis at the same time that they are altered in advanced stages of the shock state, so they are ineffective in the early identification and decision making. of tissue hypoperfusion are expensive and the necessary supplies are not always available.

Methodology:

The collapse of the inferior vena cava was measured in healthy patients before and after the 450 cm3 donation in the state blood bank of Ecatepec during the period from March to August 2017. It was performed in patients between 16 and 65 years of age, who were healthy, who agreed to participate in the study after signing an informed consent letter and in which it was technically feasible to measure the variables with ultrasound, taking as a universe the measurement performed in 87 patients of which 75% were male and 25% were female, inferior vena cava collapsibility was measured before and after performing the 450 cm3 exsanguination, the circulating blood volume and permissible bleeding were calculated, it was calculated the percentage of permissible bleeding equivalent to 450 cm3 in each patient and the blood loss was homologous with the percentage of blood loss proposed by the college of surgeons for the classification of hemorrhagic shock.

Conclusion:

With the universe of patients reviewed, it is proposed to add the measurement of inferior vena cava collapsibility as a complementary, accessible and inexpensive evaluation in the complementation of the diagnosis and monitoring of hypovolemic shock in ICU and emergency patients.

Keywords: Ultrasonography; inferior vena cava collapsibility; controlled hemorrhage; hypovolemic shock

Resumo:

Introdução:

A ultrassonografia é uma ferramenta indispensável no diagnóstico e monitoramento de pacientes críticos durante as últimas três décadas. Atualmente, o diagnóstico de choque hipovolêmico é feito através do monitoramento de sinais vitais, identificação e quantificação de perdas de sangue e marcadores de hipoperfusão tecidual. No entanto, tem sido amplamente demonstrado que a hipotensão e a taquicardia não são específicas ou sensíveis para fazer esse diagnóstico ao mesmo tempo em que são alteradas nos estágios avançados do estado de choque e, portanto, são ineficazes na identificação e tomada de decisões precoces. Os marcadores de hipoperfusão de tecido são caros e os suprimentos necessários nem sempre estão disponíveis.

Metodologia:

A medida do colapso da veia cava inferior foi realizada em pacientes saudáveis ​​antes e após a doação de 450 cm3 no banco de sangue do estado de Ecatepec no período de março a agosto de 2017. Foi realizada em pacientes entre 16 e 65 anos, saudáveis, que concordaram em participar do estudo anterior assinando um termo de consentimento livre e esclarecido e no qual a mensuração das variáveis ​​com o ultrassom era tecnicamente viável, tomando como universo a mensuração realizada em 87 pacientes, dos quais 75% eram do sexo masculino e 25% do feminino, uma medida do colapso da veia cava inferior foi realizada antes e após a exsanguinação de 450 cm3, foram calculados o volume sanguíneo circulante e o sangramento permitido, a porcentagem de sangramento admissível na qual equivalente a 450 cm3 em cada paciente e a perda de sangue foi aprovada com o percentual de perda de sangue proposto pela faculdade de cirurgia para a classificação do choque hemorrágico.

Conclusão:

Com a revisão do universo de pacientes, a mensuração do colapso da veia cava inferior é considerada uma avaliação complementar, acessível e barata na complementação do diagnóstico e monitoramento do choque hipovolêmico em UTI e pacientes de emergência.

Palavras-chave: Ultrassonografia; colapso da veia cava inferior; sangramento controlado; choque hipovolêmico

Introducción

La medicina del enfermo en estado crítico es una subespecialidad que en nuestros tiempos es esencial para el funcionamiento de los centros hospitalarios, ya que se encarga de manejar a quienes ya no pueden seguir siendo tratados en áreas generales de hospitalización.1 El término de medicina crítica se introdujo a finales de 1950 en la Universidad del Sur de California; este concepto hace referencia al espacio físico, a la concentración de recursos materiales y a la presencia de personal capacitado en la atención de aquéllos en situación de gravedad que pone en peligro su vida, por lo que requieren el cuidado y monitoreo de forma continua a fin de detectar cualquier desviación de su salud, y que ésta se prevenga o corrija en forma oportuna a través de cambios o ajustes en tiempo real mediante el monitoreo electrónico de signos vitales, monitoreo hemodinámico, respiratorio, metabólico, etcétera.2

La ultrasonografía se ha posicionado como una herramienta indispensable en el diagnóstico y seguimiento de los enfermos en estado crítico durante las últimas tres décadas.1

A. La vena cava inferior es una de las estructuras que ocupan el retroperitoneo; su nombre deriva etimológicamente del latín cavus que significa hueco. Su evaluación ultrasonográfica se ha posicionado como una técnica no invasiva, segura, de fácil realización que proporciona de manera indirecta datos sobre el estado de volumen intravascular efectivo, respuesta a la administración de líquidos, provee datos hemodinámicos del ventrículo derecho y se relaciona de manera dinámica con las presiones intratorácicas.3-5

B. Anatomía de la vena cava inferior. Está formada por la confluencia de la vena iliaca común derecha e izquierda que drena la sangre de las extremidades inferiores y la pelvis, asciende en el retroperitoneo a la derecha de la aorta abdominal, su forma varía desde redondeada, ovalada o similar a una hendidura dependiendo de la técnica de apnea y del equilibrio del líquido intravascular. Recibe tributarias mayores que incluyen las venas lumbares, vena renal derecha e izquierda, vena gonadal derecha y las venas hepáticas. El flujo de la vena cava inferior representa 75% del flujo del retorno venoso totalmente proveniente de las extremidades inferiores, cavidad pélvica y cavidad abdominal. El flujo de la vena cava superior representa alrededor de 24% del retorno venoso correspondiente a cabeza, cuello, extremidades superiores y tórax; el flujo del seno venoso coronario representa 1% del flujo venoso cardiaco. La vena cava inferior está formada por cuatro segmentos: hepático, suprarrenal, renal e infrarrenal.6

Figura 1: Segmentos en que se divide la vena cava inferior, según su origen embriológico.6  

C. Anomalías de la vena cava inferior. La anomalía más frecuente de la vena cava inferior es la interrupción de su curso abdominal con drenaje cardiaco a través del sistema venoso ácigos o hemiácigos.

D. Método de exploración mediante ecocardiografía. La ecocardiografía y ecografía continúan siendo métodos accesibles y de bajo costo de los que se dispone para la evaluación de la vena cava inferior, con las desventajas de no permitir la evaluación de su recorrido completo, ser operador dependiente y la ausencia de la visualización en hasta 15% de las ocasiones por presentar el sujeto explorado mala ventana acústica.7

E. Diámetro normal de la vena cava inferior. Se ha establecido clásicamente que el diámetro normal de la vena cava inferior es de 16 ± 2 mm, obteniendo su diámetro definitivo a los 12-13 años de edad. Al evaluar el diámetro de la vena cava inferior por géneros se ha establecido como diámetro normal 17.4 mm en hombres y 16.6 mm en mujeres; asimismo se considera microcava cuando el diámetro de la vena cava inferior es menor a 10 mm y macrocava (megacava) cuando es mayor a 20 mm de diámetro.6

F. Fisiología y comportamiento de la vena cava inferior. La vena cava inferior es una estructura dinámica cuyo diámetro varía con cambios de presión intravascular e intratorácica, en consecuencia, colapsa con la inspiración debido a la presión intravascular e intratorácica, en sujetos sanos con respiración espontánea los cambios cíclicos en la presión torácica resultan en colapso del diámetro de la vena cava inferior en alrededor de 50%. Debido a las modificaciones en el diámetro durante la inspiración aumenta la presión negativa intratorácica, que se traduce en presión negativa intraluminal, lo cual favorece el retorno venoso cardiaco, esto provoca una disminución del calibre de la vena cava inferior durante la inspiración normal, mientras que en espiración el calibre es mayor.3,7-9

G. ¿Dónde y cómo se mide el diámetro de la vena cava inferior? La medición debe realizarse con espiración en la unión cavo-diafragmática derecha a 2 cm de la llegada de la vena cava inferior a la aurícula derecha, y el diámetro longitudinal a nivel de la vena porta, el punto intermedio de estas dos mediciones no debe estar en modo M por la angulación. Dicho diámetro longitudinal requiere para su cálculo la corrección del ángulo teta entre el cursor y el flujo, por lo general de 45 grados; en caso de no hacerse tal corrección angular, debe sumarse 30% al número resultante para no infravalorar la medición.

El transductor recomendado para la evaluación de la vena cava inferior es el sectorial, que presenta una superficie de contacto pequeña y de baja frecuencia con rangos de 2 a 5 MHz, se selecciona el modo bidimensional y el perfil de cardiología, si se cuenta con ello en la máquina de ultrasonografía.7

El paciente deberá encontrarse en decúbito dorsal y se localizará la ventana acústica subxifoidea o subcostal al colocar el transductor por debajo y ligeramente hacia la derecha del apéndice xifoides, dirigiendo el transductor hacia el hombro izquierdo del paciente aproximadamente a 15o, con la marca del transductor hacia la izquierda de la persona en sentido horario a las dos o tres y con una profundidad de 16 a 20 cm, con el fin de localizar el corazón para después realizar un giro continuo en sentido antihorario del transductor de las tres a las 12 y ligero desplazamiento hacia la izquierda. Deberán realizarse mediciones del diámetro mayor de un ciclo respiratorio en inspiración y espiración.7

H. ¿Qué es el índice de colapsabilidad de la vena cava inferior? En 2009, se establece la relación matemática del índice de colapsabilidad de la vena cava inferior como la relación matemática que guarda el diámetro mayor y el diámetro menor de la vena cava inferior sobre el diámetro mayor de ésta, expresado en porcentaje en los pacientes con ventilación espontánea durante un ciclo respiratorio, en principio con personas bajo tratamiento sustitutivo de la función renal a expensas de hemodiálisis en 24 pacientes, en las cuales se demostró que la variación de colapsabilidad de la vena cava inferior resultó un marcador confiable de hipovolemia,10 después la utilizan como una medición para predecir la respuesta a la administración de líquidos con un punto de corte de 40% con sensibilidad de 70% y especificidad de 80%.11

Colapsabilidad de la vena cava inferior = (diámetro mayor-diámetro menor/ Diámetro mayor) x 100

I. Diagnóstico de choque hipovolémico. Para el diagnóstico de choque hipovolémico se debe tomar en cuenta el mecanismo de lesión o la causa que lo ocasiona, en caso de que sea hemorragia se sugiere estimar las pérdidas hemáticas con base en clasificación del Colegio de Cirujanos.12

Tabla 1: Clasificación de choque hipovolémico del Colegio de Cirujanos. 

Clase I Clase II Clase III Clase IV
Pérdida hemática (mL) Menor de 750 750-1,500 1,500-2,000 > 2,000
Pérdida hemática en % Menor de 15% 15-30% 30-40% > 40%
Frecuencia cardiaca (LPM) < 100 100-120 120-140 > 140
Presión arterial sistólica Normal Normal Disminuida Disminuida
Presión de pulso Normal o incrementada Disminuida Disminuida Disminuida
Frecuencia respiratoria (RPM) 14-20 20-30 30-40 > 35
Gasto urinario (mL/h) > 30 20-30 5-15 Sin gasto
Estado mental Poco ansioso Medianamente ansioso Ansioso, confundido Confundido, letárgico

Se ha encontrado que al utilizar esta clasificación se pueden llegar a subestimar las pérdidas sanguíneas, la presencia de taquicardia e hipotensión son respuestas fisiológicas tardías y poco específicas, los cambios en el patrón respiratorio y las alteraciones del estado de conciencia se presentan en estadios avanzados, por lo que pudiera presentar retardo en el manejo inicial.12

El índice de choque es una de las herramientas que pueden utilizarse en la evaluación del choque hemorrágico; sin embargo, se ha encontrado que la utilización de este índice puede ser útil en caso de valores anormales, aunque un valor normal es insensible para descartar el choque hemorrágico, por lo que la interpretación del mismo deberá hacerse bajo las reservas de cada caso en particular.12,13

La medición de la hemoglobina o hematocrito de forma inicial se utiliza para establecer la severidad de la hemorragia, así como el seguimiento para establecer la continuidad de la misma, aunque no son sensibles para establecer el diagnóstico de choque hemorrágico.12

La medición de lactato sérico se ha utilizado desde 1960 como un parámetro diagnóstico y pronóstico en la presencia de choque hemorrágico; sin embargo, la cantidad de lactato sérico puede estar influida por alteraciones de la función hepática, y en menor medida por las alteraciones de la función renal y el consumo de sustancias como etanol, con lo cual se favorece la conversión de piruvato a lactato por la vía de la deshidrogenasa láctica, marcador indirecto de la relación entre el aporte y consumo de oxígeno, hipoperfusión tisular regional o global y la severidad del choque hemorrágico, su mayor utilidad es como método pronóstico de mortalidad en aquéllos con choque hemorrágico.12,14,15

La medición del déficit de base por gasometría arterial o venosa también es utilizada como predictor de mortalidad en personas con choque hemorrágico; Davis y colaboradores crearon tres grupos de estratificación de acuerdo al valor inicial de déficit de base, con lo cual se establece un riesgo leve de -3 a -5 mEq/L, moderado -6 a -9 mEq/L y severo < -10 mEq/L, además de una correlación con el déficit de base y la necesidad de utilizar hemoderivados, progresar a falla orgánica y mortalidad; sin embargo, tampoco se establece como un criterio diagnóstico.12,16

Hasta el momento, no hay reporte en la literatura nacional o internacional respecto al comportamiento de la colapsabilidad de la vena cava inferior en el diagnóstico precoz de choque hipovolémico de origen hemorrágico y no hemorrágico, por lo que el presente trabajo representa el primer acercamiento a esta patología con el propósito de exponer un método de tamizaje inicial no invasivo, barato y reproducible en cualquier unidad que cuente con equipo de ultrasonografía y transductor sectorial.

Material y métodos

Se realizó un estudio tipo observacional, prospectivo, transversal y comparativo en el Banco de Sangre Estatal de Ecatepec con sujetos de entre 16 y 65 años, que cumplieron con los estándares para poder donar sangre en el periodo entre el 01 de marzo de 2017 y el 31 de agosto de 2017. Se incluyó a aquéllos aceptados por el Banco de Sangre Estatal de Ecatepec que accedieron a participar previa información y firma de consentimiento informado, en quienes fue técnicamente posible realizar la medición de la colapsabilidad de la vena cava inferior, se tomaron del expediente clínico la hemoglobina, hematocrito, peso y talla para cálculo de volumen sanguíneo circulante y sangrado permisible. Se tomó como universo del estudio a 87 sujetos que cumplieron con estos requisitos. Se utilizó para el estudio un ultrasonido SonoSite de alto rendimiento portátil y se utilizó transductor sectorial; se realizó base de datos y se procesaron los mismos en el programa «IBM SPSS Statistics» en su versión número 23.

Resultados

Se realizó este estudio en 87 pacientes 75% fueron hombres y 25% mujeres, con edad mínima 18 años y edad máxima de 61, con edad media de 33.66 y moda de 29 años, con colapsabilidad de la vena cava inferior preexanguinación mínima de 0% y máxima de 50.1%, con moda de 20.01 a 30% (33 pacientes), colapsabilidad de la vena cava inferior postexanguinación mínima de 0% y máxima de 73.6%, con moda de 10.01-20% (24 pacientes), en 100% de los casos se realizó exanguinación de 450 cm3, se calculó el volumen circulante, el sangrado permisible y se estadificó a qué porcentaje de su sangrado permisible correspondía la exanguinación realizada; este valor se comparó con el porcentaje de sangrado presente en la clasificación de choque hipovolémico del Colegio de Cirujanos y se estadificó de acuerdo con este valor a qué grado de choque hipovolémico correspondía, con lo que se obtuvo que 3% correspondían a grado I de choque hipovolémico, 75% a grado II de choque hipovolémico, 14% a grado III de choque hipovolémico y 8% presentan choque hipovolémico grado IV.

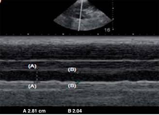
Figura 2: Medición de la colapsabilidad de vena cava inferior en modo M .7  

Figura 3: Relación del sangrado permisible (en porcentaje) y clasificación de choque de la ATLS. 

Discusión y conclusiones

En los casos en los que el volumen exanguinado fue suficiente para presentar pérdida hemática de 15 a 30% de sangrado permisible, se nota discreto aumento e incluso disminución de colapsabilidad de la vena cava inferior, quizá por la entrada en funcionamiento de los mecanismos de compensación; y en aquéllos en los que el volumen exanguinado fue de 30.01% o más se nota un marcado aumento de colapsabilidad de la vena cava inferior hasta de 56%. Con lo anterior, proponemos agregar la medición de la colapsabilidad de la vena cava inferior como una evaluación complementaria, accesible y barata en la complementación del diagnóstico y seguimiento del choque hipovolémico en los pacientes de terapia intensiva y urgencias.

Referencias bibliográficas

1. Poelaert J. Use of ultrasound in the ICU. Best Pract Res Clin Anaesthesiol. 2009;23(3):249-261. [ Links ]

2. Rodríguez TB, Franco GJ. Historia de la medicina crítica. An Med Asoc Med Hosp ABC. 2015;60(2):156-159. [ Links ]

3. Muller L, Bobbia X, Toumi M, Louart G, Molinari N, Ragonnet B, et al. Respiratory variations of inferior vena cava diameter to predict fluid responsiveness in spontaneously breathing patients with acute circulatory failure: need for a cautious use. Crit Care. 2012;16(5):R188. [ Links ]

4. De Backer D, Fagnoul D. Intensive care ultrasound: VI. Fluid responsiveness and shock assessment. Ann Am Thorac Soc. 2014;11(1):129-136. [ Links ]

5. Finnerty NM, Panchal AR, Boulger C, Vira A, Bischof JJ, Amick C, et al. Inferior vena cava measurement with ultrasound: what is the best view and best mode? West J Emerg Med. 2017;18(3):496-501. [ Links ]

6. Motta-Ramírez GA, Mundo-Gómez C, Ramírez-Arias JL. La vena cava y sus variantes anatómicas. Rev Mex Angiol. 2010;38(1):19-29. [ Links ]

7. Carrillo-Esper R, Tapia-Velasco R, Galván-Talamantes Y, Garrido-Aguirre E. Evaluación de la precarga y respuesta a volumen mediante ultrasonografía de la vena cava. Rev Asoc Mex Med Crit y Ter Int. 2015;29(2):105-112. [ Links ]

8. Arrioja AS, Herrera JE. Los secretos de la vena cava inferior. Revisión contemporánea. Av Cardiol. 2015;35(2):120-132. [ Links ]

9. Miller A, Mandeville J. Predicting and measuring fluid responsiveness with echocardiography. Echo Res Pract. 2016;3(2):G1-G12. [ Links ]

10. Guiotto G, Masarone M, Paladino F, Ruggiero E, Scott S, Verde S, et al. Inferior vena cava collapsibility to guide fluid removal in slow continuous ultrafiltration: a pilot study. Intensive Care Med. 2010;36(4):692-696. [ Links ]

11. Muller L, Toumi M, Bousquet PJ, Riu-Poulenc B, Louart G, Candela D, et al. An increase in aortic blood flow after an infusion of 100 ml colloid over 1 minute can predict fluid responsiveness: the mini-fluid challenge study. Anesthesiology. 2011;115(3):541-547. [ Links ]

12. Rossaint R, Bouillon B, Cerny V, Coats TJ, Duranteau J, Fernández-Mondéjar E, et al. The European guideline on management of major bleeding and coagulopathy following trauma: fourth edition. Crit Care. 2016;20:100. [ Links ]

13. Olaussen A, Blackburn T, Mitra B, Fitzgerald M. Review article: shock index for prediction of critical bleeding post-trauma: a systematic review. Emerg Med Australas. 2014;26(3):223-228. [ Links ]

14. Manikis P, Jankowski S, Zhang H, Kahn RJ, Vincent JL. Correlation of serial blood lactate levels to organ failure and mortality after trauma. Am J Emerg Med. 1995;13(6):619-622. [ Links ]

15. Caputo N, Fraser R, Paliga A, Kanter M, Hosford K, Madlinger R. Triage vital signs do not correlate with serum lactate or base deficit, and are less predictive of operative intervention in penetrating trauma patients: a prospective cohort study. Emerg Med J. 2013;30(7):546-550. [ Links ]

16. Mutschler M, Nienaber U, Brockamp T, Wafaisade A, Fabian T, Paffrath T, et al. Renaissance of base deficit for the initial assessment of trauma patients: a base deficit-based classification for hypovolemic shock developed on data from 16,305 patients derived from the TraumaRegister DGU®. Crit Care. 2013;17(2):R42. [ Links ]

Recibido: 31 de Agosto de 2018; Aprobado: 23 de Agosto de 2019

*Autor para correspondencia: Juan Manuel Atlas Rojas. Lago de Chapala Núm. 47, Col. La Laguna, 54190, Tlalnepantla de Baz, Estado de México. E-mail: manuatlas2005@gmail.com.

1

Patrocinio y conflicto de intereses: No se cuenta con ningún tipo de patrocinio, por lo que los autores manifestamos no tener ningún conflicto de intereses durante la realización de este trabajo.

Creative Commons License Este es un artículo publicado en acceso abierto bajo una licencia Creative Commons