Study contribution
In recent years, fowl adenoviruses (FAdVs) has become widespread around the world, causing huge economic losses to the poultry industry. Among 12 serotypes of FAdVs, 8b is predominant serotype in China. In the study, the pathogenicity of the WF2014 strain of FAdV-8b in specific pathogen-free (SPF) chickens was conducted, and the results demonstrated that hepatitis, pancreatitis, proventriculitis were the primary pathological characteristics of chicken infected; the decrease in the length to depth ratio of the villus in the duodenum weakened digestion and absorption capacity; depletion of lymphocytes associated with apoptosis and lesions in immune organs suppressed the humoral immune response. This will lay the foundation for a further study of the mechanism of FAdV-8b infection in chickens.
Introduction
All fowl adenoviruses (FAdVs) belong to the Aviadenovirus genus Aviadenovirus and are divided into five species, FAdV-A (serotype 1), FAdV-B (serotype 5), FAdV-C (serotype 4 and 10), FAdV-D (serotype 2, 3, 9 and 11) and FAdV-E (serotype 6, 7, 8a and 8b).1 FAdVs are double-stranded DNA viruses with a non-enveloped structure, globally distributed, and have been implicated in a wide range of avian diseases, including gizzard erosion, hepatitis hydropericardium syndrome (HHS), and inclusion body hepatitis (IBH). Epidemiological studies have confirmed FAdV-4 as the causal agent of HHS, FAdV-2, -8a, -8b, and -11 can cause IBH, and members of the biologically more distant FAdV-1 can induce gizzard erosion.2 HHS is reported to occur primarily in broilers, causing high mortality in young chickens and resulting in substantial economic losses to the poultry industry worldwide.3 IBH usually affects commercial broiler flocks from different geographical regions and is responsible for serious economic losses due to the increased mortality rate combined with the reduced performance of the birds.4
Surveillance studies of FAdV-causing infections have identified that FAdV-4, -8a, -8b, and -11 are prevalent in China,5 and most FAdV serotypes are associated with IBH and HHS. HHS caused by FAdV-4 with a new genotype has posed a serious threat to the broiler industry in China since 2015.6 Since then, extensive epidemiologic surveys have begun, and numerous studies have been conducted in China to learn about the diagnosis, pathogenesis, and development of vaccines against FAdV-4 infection.7-9 The coordinated efforts of the research institutes and industries to control FAdV-4 outbreaks through vaccination programs in the field or by preventing transmission were fortunately fruitful to some extent, as the cases of FAdV-4 infection have declined sharply, and FAdV-8b is becoming a focus of FAdV research in China.10-13 In the same way, FAdV-8b infection has also increased in other countries, such as Korea, Poland, Japan, Turkey, Greece, Malaysia, Canada, India, Spain, Brazil, and South Africa, in the past two years.14-25 The suggestions indicate that FAdV-8b currently holds the utmost significance among serotypes worldwide.
In recent years, FAdV-8b recombinant strains have been isolated, two of which were isolated in China and are the result of the recombination between FAdV-8a and FAdV-8b,12,13 and recombination as a general feature of FAdV-D and FAdV-E.26 With the exception of two recombinant strains of FAdV-8b, the strain CH/SD/2015/09 pathogenicity results revealed that it had no obvious pathogenicity in 5-week-old SPF chickens.27 But the strain SD1356 has been studied in China, and it has been shown that FAdV-8b is fatal to chick embryos and has horizontal transmission capacity in chickens.11 But the pathogenicity of epidemic strain of FAdV-8b China is not yet clear.
The strain WF2014 was isolated in chicken hepatoma (LMH) cells from the liver of dead broilers with IBH in 2014 in Weifang, a city in Shandong Province, and identified as the current epidemic strain of FAdV-8b in China by phylogenetic analysis of 3 structural proteins (hexon, penton, and fiber) with all isolates. In this study, the pathogenicity of the WF2014 strain in specific pathogen-free (SPF) chickens, especially lesions in the digestive and immune systems, was studied. These results will contribute to current knowledge about the pathogenesis of FAdV-8b.
Materials and methods
Ethical statement
The animal study was reviewed and approved by Ethics and Animal Welfare Committee of Qingdao Agricultural University, Shandong, China. (permit number: 23-154).
Experimental infection in SPF chickens
Ten-day-old white leghorn SPF chickens (n = 140; Nanjing Meiliya Animal Health) were randomly assigned to 4 groups. About 50 birds from group 1 and 20 birds from group 3 were inoculated with 600 µL of virus WF2014 suspension (containing 105 TCID50) suspension; 50 birds from group 2 and 20 birds from group 4 were inoculated with 600 µL DMEM/F-12 medium as a negative control. The birds were inoculated by intramuscular injection into the leg muscles.28 Birds in groups 3 and 4 were immunized at 17 days with Newcastle disease (ND) vaccine (LaSota strain, 200 µL per chicken) via the ocular and intranasal routes following the manufacturer’s instructions. The chickens were housed in high-efficiency particulate air filtered negative pressure isolators and fed irradiated food and acidified water during the experiment.
Pathological examination
At 3, 7, 11, 15, and 19 days postinfection (dpi), seven birds from each group 1 and 2 were randomly weighed, were euthanatized with sacrificed by intravenous injection of sodium pentobarbital (30 mg/mL),27 and necropsied. During necropsy, each bird per group was examined for gross lesions. Organs or tissues with obvious pathological changes, small intestines (approximately 1.5 cm segments from the middle part of the duodenum, jejunum, and ileum) and samples from the organs of the immune system were collected, fixed in 10 % neutral buffered formalin, embedded in paraffin, sectioned, and finally stained with hematoxylin and eosin (HE) for histopathological examinations and histomorphological measurements.
Measurement of histomorphological parameters in the small intestine
The measured parameters included the height of the villus and the depth of the crypt. The method of measurement was according to the report of Attia et al.29 the height of the villus was measured from the apex of the villus to the junction of the villus and the crypt, while the crypt was measured from the base of the crypt upward to the region of transition between the crypt and the villus. Microscopic images were obtained using a light microscope (Axio Imager Z2) under 40× magnification. The height of the villi and the depth of the crypt were measured with Image Pro-Plus 6.0 analysis software. A minimum of five villi and crypt were scored for each bird, then a villus height to crypt depth ratio (V/C) ratio.
Detection of apoptosis in organs of the immune system
Tissue sections from the spleen, bursa of Fabricius, and thymus were prepared to examine the apoptotic process in the cells. In situ labeling of apoptotic cells was performed using terminal deoxynucleotidyl transferase-mediated dUTP nick-end labeling (TUNEL) assay with commercially available kits. To evaluate the number of stained cells, images were analyzed with Image Pro-Plus 6.0 analysis software. Five visual fields were randomly determined, and the percentage of positive cells was obtained.
Determination of the antibody titer produced in response to the Newcastle disease vaccine
Sera from all the chickens in groups 3 and 4 that were immunized with ND vaccine were collected at 7, 14, and 21 days after immunization and antibodies against ND virus were evaluated using the hemagglutination inhibition (HI) assay.
Viral load in organs of infected SPF chickens
Organs or tissues with obvious pathological changes and samples from organs of the immune system were stored at -80 °C for viral load study. The primers for detecting FAdV on the basis of the hexon gene (F: CAARTTCAGRCAGACGGT; R: TAGTGATGMCGSGACATCAT) was synthesized according to the report of Meulemans.30
The PCR product was ligated to the pMD19-T vector (TaKaRa), and this clone was transformed into E. coli-DH5α cells according to the manufacturer’s instructions. To test the sensitivity of the assay, plasmid DNA was extracted and quantified from bacteria containing the cloned PCR fragment. The curve was generated based on ten serial dilutions (diluted from 1×109 to 1×101copies/µL); the threshold cycle of these standard dilutions was plotted against the logarithmic value of the copy number of the corresponding standard plasmid.
Total DNA was extracted from these samples using the Total DNA Extraction Kit. Quantitative real-time PCR (qRT-PCR) reactions were performed using a mixture containing 16 µL of PCR mix, 1 µL of EvaGreen, 10 µM of each primer, 1 µL of DNA from each sample, and UltraPureTM DNase/RNase-free distilled water dH2O to make the final volume of 20 µL. No DNA template was used in the control vial, and the volume of cDNA was substituted with dH2O. The reaction used a 5100 real-time PCR system in fast mode with the following steps: 95 °C for 5 min, 35 cycles of 95 °C for 10 s, 55 °C for 15 s, and 72 °C for 20 s. The efficiency of qRT-PCR was also determined with the plasmid serial dilution method. The absolute quantification of FAdV DNA was calculated using a standard curve generated and presented as viral gene copies per mg of tissue.
Results
Changes in chickens body weight
As shown in Figure 1, the body weight of the chickens increased, but the weight gain was significantly lower in the infected chickens (group 1) than in the uninfected chickens (group 2) 11 to 19 dpi.
Pathological characteristics of infected chickens
The SPF chickens infected with WF2014 huddled in the corners of the pen at 4 dpi, and none of the chickens died in this experiment. During necropsy of infected chickens, mild swelling, congestion, and necrosis were observed in the liver, pancreas, proventriculus, spleen, thymus, and bursa of Fabricius, and no lesions were observed in other tissues. However, none of the tissues in the control group of birds had lesions (Figures 2 and3).

Figure 2 Pathological characteristics in organs of the digestive system of chickens in different groups at necropsy at 7 dpi. A-D, orangs in chickens infected, E-H, organs in chickens of uninfected group. A, swelling and congestion in liver. B, white necrotic spot in the swelled pancreas. C, swelling in proventriculus. D, mucosal erosion in proventriculus. E, liver. F, pancreas. G and H, proventriculus.

Figure 3 Pathological characteristics in organs of the immune system of chickens in different groups at necropsy at 7 dpi. A-C, orangs in chickens infected, D-F, organs in chickens of uninfected group. A, swelling in spleen. B, swelling in bursa of Fabricius. C, swelling and congestion in thymus. D, spleen. E, bursa of Fabricius. F, thymus.
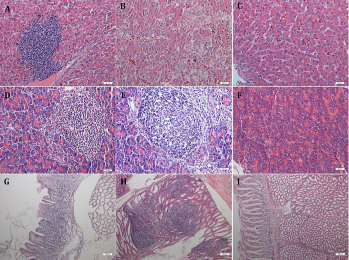
The histological characteristics of liver lesions in infected chickens were characterized by marked degeneration and necrosis of hepatocytes. Intranuclear inclusion bodies in hepatocytes were observed with large areas associated with inflammatory cell infiltration at necrotic foci; most infiltrating cells were lymphocytes and monocytes (Figure 4 A-B). There was multifocal necrosis in the pancreas that were infiltrated by lymphocytes (Figure 4 D-E). Necrosis was observed in the mucosa epithelium of the proventriculus, and many inflammatory cells infiltrated the lamina propria; the gap between the lamina propria and the mucosal muscularis was increased. Numerous inflammatory cells infiltrated into the tubules of the proventriculus, and some cells exhibited necrosis (Figure 4 G-H).

Figure 4 Histopathological changes in tissues of the digestive system of chickens in different groups at 7 dpi. A-C, liver. D-F, pancreas. G-I, proventriculus. A, B, D, E, G, and H, tissues in chickens infected. C, F and I, tissues in chickens of control group. A-F, 200×. G-I, 100×. Tissues were stained with hematoxylin and eosin (H&E).
Under a microscope, visible lesions were observed in tissue sections of immune system organs. The spleen had multiple necrotic foci that were infiltrated by lymphocytes (Figure 5 A-B). Bleeding was observed in the cortical layer of the nodule of bursa of Fabricius, and the cells were sparse and necrotic in the medulla; the space between the nodules of bursa of Fabricius was widened (Figure 5 D-E). Thymocyte necrosis and sparsity were also observed (Figure 5 G-H).
Ratio of villus height to the depth of the crypt in segments of the small intestine
The V/C ratio of each segment of the small intestine is shown in Figure 6. The V/C ratio in the small intestine was lower in infected chickens than in uninfected ones, especially the V/C ratio in the duodenum at different time points was significantly lower than in uninfected chickens (P < 0.0500 or P < 0.0100) (Figure 6A), and in the jejunum it was significantly lower at 15 and 19 dpi (P < 0.0100) (Figure 6B). However, there were obviously no differences in the ileum V/C ratio between the groups (Figure 6C). This suggested that the duodenum is the worst segment of the small intestine of infected chickens.
Apoptosis in organs of the immune system
TUNEL staining was used to investigate further cell apoptosis in the spleen, thymus, and bursa of Fabricius in infected chickens. The stained positive cells were found mainly in the splenic corpuscles and the periarterial lymphatic sheath, the lobules in the cortex of the thymus, and the medulla region adjacent to the interlayer of the lobule in the bursa of Fabricius, as shown in Figure 7. However, the regional distribution characteristics of stained-positive cells were lacking in the control group (Figure 7). The percentages of TUNEL-positive cells in the spleen, thymus, and bursa of Fabricius were significantly higher in infected chickens than in the control group at all time points during the study (Figure 8).

Figure 7 Apoptosis in the immune organs of the chickens. A-C, spleen. D-F, bursa of Fabricius. G-I, thymus. A, B, D, E, G and H, tissues in chickens infected. C, F and I, tissues in chickens of control group. A, D, G-I, 100×. B, C, E and F, 200×. TUNEL staining.
Viral load in the organs of the infected chickens
Viral DNA was detected by qRT-PCR in all damaged organs of infected chickens, and the viral load was highest at 7 dpi and amounted to 108copies/µL. Although viral loads in the liver and proventriculus were highest at 7 dpi, viral loads in the organs of the immune system were greater than those found in these three digestive organs and amounted to 2 × 106copies/µL at 11 dpi. These results show that the virus persisted longer in the organs of the immune system than in the liver, proventriculus, and pancreas (Figure 9).
Antibody titers against ND virus in immunized chickens
To study the effect of virus infection on humoral immunity, serum HI antibody titers against ND virus were determined in chickens of groups 3 and 4. As shown in Figure 10, there was no insignificant difference in HI antibody titers between groups 3 and 4 on day 7 after immunization. However, the titers in group 3 were significantly lower than those in group 4 (P < 0.0500 or P < 0.0100) at days 14 and 21 after immunization.
Discussion
FAdV-related epidemics have been common in the poultry industry around the world for many years. These epidemics have a significant economic impact due to poor performance, growth retardation, and flock mortality.2,4 The FAdV-8b epidemic, which causes IBH disease in fowl, has been reported in many countries.14-20 Recently, there have been reports regarding the various mortality of FAdV-8b, such as, the strains isolated from Malaysia, Turkey and Korea have the mortality rate of 3.8 % to 100 % in SPF chickens,15,17,18 but the SD1356 and the CH/SD/2015/09 strain, isolated in China, did not show clinical signs of IBH in any chickens.11,27
Study about the lesions in chickens infected with WF2014 by oral inoculation and intramuscular injection was conducted in our lab before. For the severity of gross and histological lesions were greatest, and according to the report of Huang et al.11 the oral inoculation was used in the study. In this study, no clinical signs or death were observed in chickens infected with strain WF2014, and this result is consistent with the study conducted with the SD1356 strain.11 Only mild lesions in the liver, pancreas, and proventriculus of chickens were observed during necropsy.
The findings of previous studies have indicated that SPF chickens infected with FAdV-8b did not experience mortality between the ages of 14 and 33 days.11,31-33 On the contrary, it has been reported that FAdV-8b infection results in severe clinical signs in 28 days of age birds inoculated with the higher dose of FAdV-8b, or in 14 days of age birds inoculated with FAdV-8b by the intramuscular route.18,23,34 Therefore, these findings suggest that the pathogenicity of FAdV-8b may be related to the age of the chickens, the dose of the virus or the route of infection. Hepatic necrosis, with basophilic or eosinophilic intranuclear inclusion bodies in hepatocytes, was observed in this study, resulting in histopathological lesions indicative of IBH.17,35
Several studies have reported necrosis, atrophy, color change, and petechiae in the pancreas of birds suffering from IBH.2,36 In this study, multifocal necrosis was observed in the pancreas and inflammatory cells, proving that pancreatitis was induced by infection with WF2014 strain. Gizzard erosion, with basophilic nuclear inclusions in gland epithelial cells, was confirmed in some chickens infected with FAdV-8b in Japan.14 But a proventriculus lesion was never the main focus of previous investigations of FAdV-8b. In this study, swelling, cell necrosis, and inflammatory cell infiltration were observed in the proventriculus of infected chickens; some FAdV-8b strains in our laboratory were isolated from cases of clinical proventriculitis. In addition, the viral load in the proventriculus is higher than in the liver at 11 dpi. These findings suggest that proventriculitis is a pathological feature of FAdV-8b-infected chickens.
The small intestine is the part in which digestion takes place, especially the duodenum, connected to the gizzard and where the effluent ducts of the pancreas and liver open through a common aperture. In the study, the V/C ratio of the duodenum was significantly down-regulated in chickens infected with WF2014, indicating that WF2014 infection damaged the structure of the villus and affected the function of nutritional absorption. It is reported that a decrease in the V/C ratio in the small intestine was observed in birds infected with coccidiosis and infected Muscovy ducklings infected with reovirus, which provides a reason for the decline in broiler performance.37,38 Lesions in the liver, pancreas, and proventriculus of chickens will affect the secretion of pancreatic and digestive enzymes, and negative effects on the morphology of the duodenum will weaken digestion and absorption capacity. And this will affect the performance of birds, as evidenced by a noticeable decrease in the body weight of infected chickens.
Co-infections usually accompany FAdV infections with immunosuppressive viruses in chickens.39 IBH was initially perceived as the result of concurrent infections by FAdV and immunosuppressive agents, and FAdV were considered opportunistic viruses. Most FAdV serotypes are not only pathogenic but also have immunosuppressive activities in chickens. FAdV-4 and FAdV-1 have been reported to suppress humoral and cellular immune responses in chickens, especially FAdV-4, which can cause immunosuppression in hosts by targeting lymphoid tissues and depleting T and B lymphocytes.40,41
In the present study, we found atrophies of the thymus cortex and bursal lymphoid along with lymphocyte depletion in both the periellipsoidal and periarteriolar areas of the white pulp with an increase in macrophages in the red pulp. These results were consistent with a previous study by Steer.35
In order to study the effect of WF2014 infection on humoral immune function, Newcastle disease vaccine immunization was conducted as an example, and the results showed that greater inhibition of antibody against NDV was observed in chickens infected with WF2014, indicating that FAd-8b infection can suppress the humoral immune response. These results were consistent with our study, in which we found high viral load in the thymus, bursa of Fabricius, and spleen. This also suggests that FAd-8b has tissue tropism to the primary and secondary organs of the immune system, proliferates in these tissues, damages these organs in morphology, and decreases immune function.
Apoptosis is a key regulator of the host’s innate immune response, which can prevent viral replication by clearing infected cells. On the other hand, many viruses have evolved mechanisms to circumvent host cell defenses by preventing the cell from initiating apoptosis during the viral replication stage and initiating apoptosis after the release of their progeny.42 Human adenovirus-induced apoptosis has been extensively studied.43 FAdV-4 has been reported to induce liver injury through apoptosis,44 and PX, a structural protein of FAdV4, acted as a major viral factor inducing this apoptotic process and accelerating viral replication.45 However, FAdV-4-induced apoptosis of immune organs and FAdV-8-induced apoptosis have not been reported.
Our study first found that FAdV-8b induced apoptosis in the thymus, bursa of Fabricius and spleen cells, and the viral load in these tissues of the immune system at 11 dpi was higher than in tissues of the digestive system. These results suggest that FAdV-8b promotes self-replication by inducing apoptosis in host cells, leading to structural and functional damage to organs of the immune system in chickens.
Conclusions
In summary, the digestive and immune systems of chickens were damaged by FAdV-8b infection. Hepatitis, pancreatitis, proventriculitis, and the decrease in the length to depth ratio of the villus in the duodenum weakened digestion and absorption capacity; Depletion of lymphocytes associated with apoptosis and lesions in immune organs suppressed the humoral immune response, and this resulted in growth retardation and immunosuppression of chickens. Our findings will contribute to a better understanding of the pathogenicity and mechanism of FAdV-8b strains isolated in China.










nueva página del texto (beta)









