Introduction
Cyclophosphamide (CP) is a medication and has been mainly used in the treatment of malignant and non-malignant disease for many years. CP exerts its effects by alkylating deoxyribonucleic acid (DNA), disrupting DNA replication and introducing DNA breaks1. Cytotoxic and mutagenic effects of CP are mostly observed in proliferating cells. Studies showed that CP is associated with significant toxicity across multiple organs such as the heart, testes, urinary bladder, gonads, and limits the use of this drug in cancer treatment2. Since CP is primarily metabolized by hepatic enzymes through hepatic oxidation system, hepatotoxicity is a major side effect of CP. Metabolization of CP generates active metabolites which cause immunosuppression and cytotoxicity3. These metabolites induce apoptosis and inflammatory response, leading to tissue damage4,5.
Rosmarinic acid (RA) is a constituent of Rosmarinus officinalis and various other plants6. RA exhibits a wide range of beneficial properties including antioxidant7, anti-inflammatory8, antiapoptotic9, antimicrobial, anti-mutagenic, anti-cancer, antidepressant, antiangiogenic, antiallergenic activities and additionally hepatoprotective, cardioprotective nephroprotective effects10-12. Many studies have investigated the role of RA in liver diseases and showed possible action of mechanisms of RA on the liver. Osakabe et al.13 found that RA protected the liver injury against lipopolysaccharide by conferring anti-tumor necrosis factor (TNF)-α and superoxide dismutase (SOD) activity. Another study demonstrated that RA can mitigate acute oxidative liver injury by reducing serum markers of hepatotoxicity, such as alanine aminotransferase (ALT), aspartate aminotransferase (AST), lactate dehydrogenase (LDH), and lipid peroxidation, following exposure to a pro-oxidant agent14. Touiss et al. found that RA alleviated hepatotoxicity caused by administration of carbon tetrachloride (CCL4) by lowering serum ALT, AST, LDH levels. The authors also found that animals restored weight loss after RA treatment15.
An experimental study showed that RA treatment significantly reduced TNF-α expression release ameliorating collagen-induced arthritis under in vivo conditions, suggesting a potential novel therapy for bone disorders such as rheumatoid arthritis and osteoporosis16. Liang et al.17 revealed that RA treatment against asthma mouse model prevented inflammation, favored the antioxidant enzymes in lung tissues. A study investigated the in vivo and in vitro effects of RA on samples from humans and revealed that RA increased serum SOD and decreased the serum malondialdehyde (MDA)18. Taking all these into consideration, RA has been found to exert different biological activities in in vitro and in vivo studies.
Given that CP has cytotoxic effects on many organs including liver, we conducted biochemical, histochemical, and bioinformatic analysis to show differential roles (anti-inflammatory, anti-oxidant, anti-apoptotic) of RA on CP-induced hepatic injury.
Methods
Study design
All animal experimentations were approved by the Animal Experiments Local Ethics Committee of Dicle University (date: April 24, 2024 and approval number: 694769). This study was conducted in accordance with the ARRIVE guidelines (Animal Research: Reporting of in vivo Experiments) to ensure transparent and reproducible reporting of animal research19. Twenty-one male Wistar Albino rats (15-16 weeks old, weighing 200-250 g) were assigned to 3 groups (7 rats/group). The animals were housed in their cages at 12/12-h day/night period at 23 ± 1°C. The animals were fed with water and animal pellets ad libitum. CP (Endoxan®, Baxter Oncology GmbH, Halle, Germany) and RA (catalog no: sc-202796, Santa Cruz Biotechnology Inc, Heidelberg, Germany) were commercially purchased. RA was dissolved in 1% ethanol. The mixture was daily prepared and freshly injected intraperitoneally (i.p.) to rats at the same time of day each day. The sample size per group (n = 7) was determined based on previous studies with similar designs that evaluated hepatotoxicity and protective agents using CP in rodents. The selected number ensured adequate statistical comparison while minimizing animal usage (Gpower v3.1 software, analysis, power: 80%, effect size: 0.6, α = 0.05). The dose of RA (20 mg/kg/day) was chosen in accordance with previous studies which demonstrated that this dose significantly ameliorated liver and kidney injury induced by toxic substances in animal models20,21.
− Control group (n = 7): Animals were given 1 mL of physiological saline solution daily for 14 days. No further treatment was done.
− CP group (n = 7): Animals were administered 20 mg/kg CP daily for 14 days. No further treatment was done.
− CP + RA group (n = 7): Animals were administered 20 mg/kg CP and then 20 mg/kg RA daily for 14 days. No further treatment was done.
At the end of the 14th day, animals were euthanized with an intramuscular injection of 90 mg/kg ketamine (Ketasol; Richter Pharma AG, Feldgasse 19, Wels, Austria) and 8 mg/kg xylazine (Rompun; Bayer, Leverkusen, Germany). Blood samples of animals were collected for biochemical analysis. Liver organs were excised and weighted for each animal per group, and tissue samples were dissected for routine paraffin wax tissue embedding protocol. Final weight of liver organs was measured and an average value was calculated per group (n = 7). Average weight of livers per group was statistically compared with other groups.
Determination of MDA levels and hepatic enzyme activity
Intracardiac blood samples were collected for colorimetric analysis of blood parameters. MDA (#MAK085, Merck, Germany), alanine transaminase (ALT, #MAK052, Merck, Germany), and AST (AST, #MAK055, Merck, Germany) kits were commercially purchased. Blood samples from each rat were centrifuged at 2000 rpm for 10 min, and the supernatant was collected. Serum plasma analyzed for MDA content (oxidative stress marker), ALT (specific hepatic injury marker), and AST (non-specific hepatic injury marker) enzymatic activities according to the manufacturer's instructions. MDA content was measured in nmol/L. Enzymatic activities of ALT and AST were measured in U/L.
Immunohistochemical protocol
Hepatic tissue samples were fixed in 10% formaldehyde solution and passed through ascending ethanol series. Samples were treated with xylene solution and incubated in paraffin wax. Paraffin blocks of tissue samples were cut in 5 μm thick. Sections were deparaffinized, passed through a descending ethanol series, and treated with antigen retrieval solution. Samples were washed in phosphate-buffered saline (PBS) and incubated with 3% hydrogen peroxide for 20 min before blocking solution for 8 min. Samples were incubated with primary antibody B-cell lymphoma-2 (Bcl-2), apoptotic protease activating factor 1 (Apaf-1) and TNF-α, (catalog no: sc-65891, sc-7382, sc-52746, Santa Cruz Biotechnology Inc, Heidelberg, Germany, dilution ratio:1/100) and Nuclear factor erythroid 2-related factor 2 (Nrf-2) (catalog no: AF0639, Affinity Biosciences, US, dilution ratio:1/100). Samples were washed in PBS, biotinylated with a secondary antibody and treated with streptavidin peroxidase for a complex of avidin-biotin peroxidase for 15 min. Diaminobenzidine chromogen was used to visualize expression. Counterstaining was performed with Harris hematoxylin, and the preparations were mounted. Sections were imaged with Zeiss light microscope22.
Semi-quantitative histological score
The staining intensity (expression) of primary antibodies was measured by Image J software (version 1.53, http://imagej. nih.gov/ij). Signal intensity was measured by the method of Crowe et al.23. Quantification was recorded by analyzing 5 fields from each specimen per group according to the method described by Aşır et al.24. In specimens, the brown color represented a positive expression of the antibody of interest, while the blue color represented a negative expression of the antibody of interest. Signal intensity from the analyzed field was calculated by dividing the intensity of the antibody of interest by the whole area of the specimen. A value for staining area/whole area was calculated for each specimen from five fields. An average value was measured for each group and recorded as semi-quantitative immunohistochemistry scoring. All images were processed and quantified using ImageJ software.
In silico analysis
To elucidate the pathways potentially implicated in regulating the mitigating effects of RA on CP toxicity, an analysis was conducted on the RA targets associated with Apaf-1, Bcl-2, Nrf-2, and TNF-α, along with their functional annotations. Potential protein targets of RA were identified by exploring various databases, including SwissTargetPrediction (https://www.swisstargetprediction.ch, accessed on: 20 February 2024), STITCH (http://stitch.embl.de/accessed on: February 20, 2024) and the ChEMBL database (https://www.ebi.ac.uk/chembl/accessed on: February 20, 2024). For the STITCH database and interactors of the 4 genes, STITCH: protein (maximum interactors: 50) and Search Tool for the Retrieval of Interacting Genes/Proteins (STRING, https://string-db.org): protein modules (maximum interactors: 100) of Cytoscape v3.10.1 (San Diego, CA, USA) were utilized, respectively. The confidence cut-off values were maintained at the default level of 0.40, representing a moderate level of confidence25. Parameters for SwissTargetPrediction and ChEMBL were also set to default, except for specifying the species as Homo sapiens. To detect the shared targets of RA and 4 proteins of interest, Venn diagrams were constructed using the jvenn tool26. Afterward, kyoto encyclopedia of genes and genomes (KEGG) pathway enrichment analysis, which refers to a computational approach that identifies biological pathways significantly associated with a list of genes or proteins of interest, was conducted using these shared proteins through ShinyGO 0.80 (http://bioinformatics.sdstate.edu/go/, accessed on: February 25, 2024)27. Pathway enrichment analysis refers to a computational approach that identifies biological pathways significantly associated with a list of genes or proteins of interest. Bar plots were generated for the top 10 ranked pathways with a false discovery rate below 0.05, encompassing KEGG and gene ontology biological process.
Statistical analysis
All statistical analyses were performed by GraphPad Prism Software (Version 9.2.0; Graph Pad Software, Inc., San Diego, CA). Data distribution was analyzed by the Shapiro-Wilk test. The non-normal distributed data was recorded as median (interquartile range, Q1-Q3). Multiple comparisons were performed by Kruskal-Wallis and followed by post hoc Dunn's test. Significance level was shown as *p ≤ 0.05, **p ≤ 0.01, ***p ≤ 0.001, ****p ≤ 0.0001.
Results
RA reduced hepatic weight, MDA content, and ALT-AST activities after CP induction
Table 1 demonstrates the protective effects of RA against CP-induced hepatic toxicity in rats. CP administration significantly increased hepatic weight, serum MDA levels, and liver enzyme activities (ALT and AST) compared to the control group, indicating oxidative stress, liver inflammation, and hepatocellular damage. Specifically, hepatic weight rose from a median of 2.4 g in the control group to 3.8 g in the CP group (p < 0.01), while MDA levels markedly increased from 9.2 nmol/L to 32 nmol/L (p < 0.0001), reflecting heightened lipid peroxidation. Serum ALT and AST levels were also significantly elevated in the CP group (p < 0.0001), confirming hepatocellular injury. Treatment with RA significantly reduced all these parameters, including hepatic weight and MDA levels (p < 0.01, p < 0.05, respectively), as well as ALT and AST activities (p < 0.05), suggesting that RA alleviates CP-induced hepatotoxicity through antioxidant and hepatoprotective mechanisms.
Table 1 Hepatic weight, serum MDA, ALT, and AST levels in experimental groups after 14 days of treatment
| Parameters | Control (n = 7) | CP (n = 7) | CP + RA (n = 7) | Group comparisons |
|---|---|---|---|---|
| Hepatic weight, g | 2.4 (1.7-2.6) | 3.8 (3.3-4.2) | 2.5 (1.8-2.7) | Control versus CP < 0.01 CP versus CP + RA < 0.01 |
| MDA (nmol/L) | 9.2 (7.9-9.7) | 32 (25-39) | 13 (12-17) | Control versus CP < 0.0001 CP versus CP + RA < 0.05 |
| ALT (U/L) | 50 (46-53) | 149 (143-153) | 118 (110-123) | Control versus CP < 0.0001 CP versus CP + RA < 0.05 |
| AST (U/L) | 54 (52-57) | 179 (168-185) | 203 (98-106) | Control versus CP < 0.0001 CP versus CP + RA < 0.05 |
*Data was presented as median (Q1-Q3). Test: Kruskal Wallis (post hoc Dunn's test); CP: cyclophosphamide; RA: Rosmarinic acid; AST: aspartate; MDA: malondialdehyde; ALT: alanine transaminase; AST: aspartate aminotransferase.
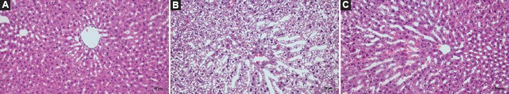
RA alleviated the histopathological alterations in hepatic tissue
Normal histology was observed in hepatic tissue with radial organization of hepatocytes, regular central vein, and hepatic sinusoids (Fig. 1A). CP toxicity caused pathology in hepatic tissue (Fig. 1B). Hepatocyte degeneration with pyknotic nuclei, dilated sinusoids with hemorrhage, glycogen depletion and disruption in radial organizations were observed in CP group. RA treatment improved the histology of liver tissue in CP + RA group, suggesting hepatoprotective effects of RA on liver tissue (Fig. 1C). Hepatic cords with hepatocytes, radial organization, and sinusoids were restored to normal histology, however, hemorrhage was continued. These findings suggest that RA has hepatoprotective effects against adverse histological changes of CP in hepatic tissue.

Figure 1 Microscopic sections of hepatic tissue from control (A), cyclophosphamide (CP) (B) and CP + rosmarinic acid (C) groups. Hematoxylin eosin staining, scale bar: 50 μm, magnification: ×20.
Impacts of RA on apoptotic pathways were analyzed by Apaf-1 expression (Fig. 2). Apaf1 expression in hepatocytes was mainly negative in control group (Fig. 2A). In CP group, overexpression of Apaf1 was observed in hepatocytes due to toxic effects of CP in liver cells (Fig. 2B). RA treatment downregulated Apaf-1 expression in CP + RA group, indicating anti-apoptotic properties of RA in hepatic tissue (Fig. 2C). Semi-quantitative analysis also showed that Apaf-1 expression was significantly reduced in CP + RA group, compared to CP group (Fig. 2D). The intersection between the targets of RA and the Apaf-1 protein network revealed 2 common target proteins (Fig. 2E). The KEGG analysis of these shared targets highlighted pathways such as the B cell receptor signaling pathway, Erythroblastic oncogene B signaling pathway, Th1 and Th2 cell differentiation (Fig. 2F). In the enrichment bar graphs, the term "fold enrichment" indicates the ratio between the observed and expected number of genes involved in a specific pathway, highlighting how prominently a particular pathway is represented among the shared targets. Here, "targets" refer to the individual proteins identified as common interactors between RA and the CP-related key molecules (Apaf-1, Bcl-2, Nrf-2, and TNF-α), whereas pathways represent the broader biological processes in which these targets are significantly involved. These findings showed that RA exerts its anti-apoptotic effect on Apaf-1 associated pathways to influence immune response and cellular signaling cascades.

Figure 2 Immunoexpression of pro-apoptotic marker of apoptotic protease activating factor 1 (Apaf-1) in hepatic tissues of control (A), cyclophosphamide (CP) (B) and CP + rosmarinic acid (RA) (C) groups, scale bar: 50 μm, magnification: ×20; (D) Immunostaining scores in groups; (E) Intersection of RA protein targets with Apaf-1. (F) Kyoto encyclopedia of genes and genomes analysis of Apaf-1-associated RA targets. Significance level was shown as *p ≤ 0.05, **p ≤ 0.01, ***p ≤ 0.001, ****p ≤ 0.0001.
Anti-apoptotic effect of RA was shown by evaluating immune stained sections of hepatic tissue with Bcl-2 (Fig. 3). Bcl-2 expression was moderate in hepatocytes in control group (Fig. 3A). CP toxicity induced apoptotic pathway, leading to downregulation of Bcl-2 expression in hepatic sections of CP group compared to control group (Fig. 3B). Upregulation of Bcl-2 was observed in hepatocytes after RA treatment in CP+RA group (Fig. 3C). Immune score for Bcl-2 was also increased after RA treatment in CP + RA group compared to CP group (Fig. 3D). The intersection of the RA targets with the Bcl-2 protein network identified 3 common target proteins (Fig. 3E). The enriched pathways of these shared targets encompassed the programmed death-ligand 1 (PD-L1)/programmed death-1 (PD-1) pathways in cancer, advanced glycation end products (AGE)- receptors of advanced glycation end products (RAGE) signaling pathway in diabetic complications, Th17 cell differentiation (Fig. 3F). Our results indicated that RA interacts with Bcl-2 with many pathways such as immune modulation and inflammation, in addition to apoptotic pathways.

Figure 3 Immunoexpression of anti-apoptotic marker of B-cell lymphoma 2 (Bcl-2) in hepatic tissues of control (A), cyclophosphamide (CP) (B) and CP + rosmarinic acid (RA) (C) groups, Scale bar: 50 μm, magnification: ×20; (D) Immunostaining scores in groups. (E) Intersection of RA protein targets with Bcl-2. (F) Kyoto encyclopedia of genes and genomes analysis of Bcl-2-associated RA targets. Significance level was shown as *p ≤ 0.05, **p ≤ 0.01, ***p ≤ 0.001, ****p ≤ 0.0001.
RA showed antioxidant activity in CP induced hepatotoxicity
To show antioxidant effects of RA, hepatic sections were immunostained with Nrf-2 (Fig. 4). Nrf-2 expression was moderate in control sections (Fig. 4A). Compared to control group, CP toxicity increased reactive oxygen species in hepatocytes, causing oxidative stress and elevation of Nrf-2 expression in CP group (Fig. 4B). With antioxidant effects of RA on hepatocytes, Nrf-2 expression was downregulated in hepatocytes after RA treatment in CP+RA group (Fig. 4C). Semi-quantitative analysis showed Nrf-2 expression was significantly decreased after RA treatment in CP + RA group compared to CP group (Fig. 4D). The intersection of RA targets with the Nrf-2 protein network identified 5 common target proteins ((Fig. 4E). The enriched pathways for the shared targets comprised leishmaniasis, PD-L1/PD-1 pathways in cancer, and interleukin (IL)-17 signaling pathway (Fig. 4F). Our results highlighted that RA interacted with oxidative stress and additionally with immune responses and inflammatory processes through Nrf-2 mediated mechanisms.

Figure 4 Immunoexpression of oxidative stress marker of Nuclear factor erythroid 2-related factor 2 (Nrf-2) in hepatic tissues of control (A), cyclophosphamide (CP) (B) and CP + rosmarinic acid (RA) (C) groups, scale bar: 50 μm, magnification: ×20; (D) Immunostaining scores in groups; (E) Intersection of RA protein targets with Nrf-2. (F) kyoto encyclopedia of genes and genomes analysis of Nrf-2-associated RA targets. Significance level was shown as *p ≤ 0.05, **p ≤ 0.01, ***p ≤ 0.001, ****p ≤ 0.0001.
RA showed anti-inflammatory activity in CP-induced hepatotoxicity
Role of RA in the inflammatory pathway was shown though expression of TNF-α (Fig. 5). TNF-α expression was mainly negative in control group (Fig. 5A). CP injection caused hepatotoxicity and promoted inflammatory response in hepatic tissue, leading to upregulation of TNF-α expression in hepatocytes compared to control group (Fig. 5B). RA administration showed anti-inflammatory effects in hepatocytes, downregulating the TNF-α expression in hepatic tissues in CP + RA group (Fig. 5C). Immune scores also reflected similar results of histological staining, indicating TNF-α expression was significantly decreased after RA treatment in CP + RA group compared to CP group (Fig. 5D). 5 common target proteins were identified in intersection of the RA targets with TNF-α interactors (Fig. 5E). The enriched pathways of these common targets included the IL-17 signaling pathway, TNF signaling pathway, PD-L1 expression and PD-1 checkpoint pathway in cancer (Fig. 5F). These data signify that RA's role in inflammatory process and cellular differentiation through TNF-α mediated mechanisms.

Figure 5 Immunoexpression of inflammation marker of tumor necrosis factor (TNF)-α in hepatic tissues of control (A), cyclophosphamide (CP) (B) and CP + rosmarinic acid (RA) (C) Groups, scale bar: 50 μm, magnification: ×20; (D) Immunostaining scores in groups; (E) Intersection of RA protein targets with TNF-α. (F) Kyoto encyclopedia of genes and genomes analysis of TNF-α-associated RA targets. Significance level was shown as *p ≤ 0.05, **p ≤ 0.01, ***p ≤ 0.001, ****p ≤ 0.0001.
Summary of our study is shown in table 2. The table presented the key protein targets affected by CP toxicity, the reversing effects of RA treatment, and their associated cellular signaling pathways identified through in silico analysis.
Table 2 Summary of immunohistological and in silico findings
| Target protein | Role in CP toxicity | Effect of RA treatment | Pathways involved |
|---|---|---|---|
| Apaf-1 | Apoptosis ↑ | Suppresses apoptosis | BCR signaling, ErbB signaling |
| Bcl-2 | Anti-apoptotic defense ↓ | Enhances anti-apoptosis | PD-L1 pathway, AGE-RAGE pathway |
| Nrf-2 | Oxidative stress response ↑ | Reduces oxidative damage | Nrf2 pathway, immune regulation |
| TNF-α | Inflammation ↑ | Inhibits inflammatory response | IL-17 signaling, TNF signaling |
↑: upregulation of molecular expression or activity.
↓: downregulation of molecular expression or activity.
CP: cyclophosphamide; RA: rosmarinic acid; Bcl-2: B-cell lymphoma 2; Apaf-1: apoptotic protease activating factor 1; Nrf-2: nuclear factor erythroid 2-related factor 2; TNF-α: tumor necrosis factor; PD-L1: programmed death-ligand 1; AGE-RAGE: advanced glycation end products-receptors of advanced glycation end products; IL: interleukin; TNF: tumor necrosis factor.
Discussion
The present study suggests pharmacological perspective targeting an oxidative stress, apoptosis, and inflammation disease module as a potential target of CP induced hepatotoxicity. In silico analysis can also reveal the association of these mechanisms and pathways related to RA. Administration of RA after CP injection ameliorated MDA content, ALT-AST activities and toxicity in hepatic tissue of rats.
In certain instances, the administration of chemotherapeutic agents may lead to the occurrence of adverse effects, thereby posing potential challenges to patient health and treatment outcomes28. CP, a commonly used chemotherapeutic agent, has been associated with hepatotoxicity, indicating its potential to induce liver damage. This hepatotoxic effect has been documented in various studies, suggesting a need for close monitoring of liver function in patients undergoing CP treatment29,30.
Jia et al.31 found that RA showed hepatoprotective effects on ovalbumin-induced hepatic injury by lowering serum ALT, AST activities and preventing expression of proinflammatory cytokines (TNF-α, IL-4 and IL-6) in liver. Another study on cholestatic liver showed that RA treatment improved hepatic histopathology, serum biochemical parameters, oxidative stress and fibrosis. The inflammatory response was also suppressed by RA treatment through modulation of NF-κB activity32. In our study, RA treatment effectively mitigated CP-induced hepatotoxicity, as evidenced by reduced hepatic weights, improved liver histology, and decreased levels of MDA, ALT, and AST, demonstrating its antioxidant and hepatoprotective properties.
Studies showed that RA can inhibit pro-apoptotic pathway Apaf-1 expression or promote anti-apoptotic pathway through Bcl-2 expression. Yıldızhan et al.33 found that RA treatment protected kidney tissue against deltamethrin toxicity, by suppressing apoptosis through inhibition of Apaf-1 expression. In an in vitro study of pancreatic β cell culture, RA was found to protect β-cells against streptozotocin toxicity by upregulating increased expression of Bcl-2 and maintaining normal morphology of β-cells34. RA administration suppressed CP-induced apoptosis by increasing Bcl-2 and reducing Apaf-1 expression in hepatic tissue. Supporting this, in silico analysis identified key enriched pathways associated with these targets, including the B cell receptor and ErbB signaling pathways for Apaf-1, and PD-L1/PD-1 and AGE-RAGE signaling pathways for Bcl-2. These pathways are closely linked to inflammatory regulation35, oxidative stress and apoptotic control36, suggesting that RA exerts its protective effects through modulation of multiple signaling networks involved in CP-induced liver injury. In silico pathway analysis is a valuable tool for predicting potential biological pathways and interactions based on gene expression data. In the context of our study with RAs hepatoprotective effects, bioinformatic analysis can suggest involvement in pathways related to apoptosis and immune signaling37,38. However, such predictions are based on existing databases and known interactions, which may not account for novel or context-specific mechanisms. Therefore, while our bioinformatical analysis provides hypotheses, it does not offer definitive proof of pathway involvement.
Oxidative stress is an indicator of cell death and Nrf-2 is a key transcription factor that regulates genes involved in antioxidant mechanisms39. Yu et al.40 studied the role of RA in neuroinflammation and found that RA administration significantly modulated Nrf-2 expression in histologically damaged brains. In a CCl4-induced hepatotoxicity, RA was found to show hepatoprotective effects by improving antioxidant mechanism, inhibiting inflammation, and hepatocyte apoptosis through Nrf-2 signaling pathway41. Recent studies have further elucidated the molecular pathways underlying the hepatoprotective effects of RA. Lu et al.38 reported that RA attenuated CCL4-induced liver injury by activating the Nrf2 signaling pathway, thereby enhancing antioxidant defense mechanisms and reducing oxidative stress and inflammation. Luo et al.42 demonstrated that RA mitigates toosendanin-induced hepatic damage by restoring autophagic flux and lysosomal functions through activation of the JAK2/STAT3/CTSC signaling axis. Moreover, Karaca et al.43 found that RA protects against tramadol-induced hepatorenal toxicity by modulating multiple pathways, including oxidative stress, inflammation, endoplasmic reticulum stress, and apoptosis. Collectively, these findings are consistent with our results, emphasizing RAs multifaceted role in reducing drug-induced hepatic injury thorugh diverse molecular mechanisms.
RA can influence the activity and response of the immune system, potentially aiding in immune function regulation and defense against pathogens or harmful substances44. RA has been shown to prevent inflammatory diseases via preventing activity of TNF-α through its anti-inflammatory activity. In an experimental osteoarthritis rat model, Hu et al.45 showed that RA inhibited extracellular matrix formation and production of IL-6 and prevented activation of IL-1β induced genes. Immunostaining revealed that CP-induced liver injury was associated with elevated Nrf-2 and TNF-α expression, reflecting increased oxidative stress and inflammation. RA treatment significantly reduced the expression of both markers, supporting its antioxidant and anti-inflammatory effects. KEGG pathway analysis identified shared targets between RA and Nrf-2 or TNF-α, highlighting enrichment in immune and stress-related pathways, including PD-1/PD-L1, IL-17, and AGE-RAGE signaling. Notably, the association of RA-Nrf-2 targets with pathways involved in leishmaniasis46 suggests broader immunomodulatory roles for RA. The strong link between TNF-α and IL-17 signaling further implies that RA may exert protective effects by modulating cytokine networks implicated in hepatic and renal toxicity47. Together, these findings support the role of RA in mitigating CP-induced liver damage through coordinated regulation of oxidative and inflammatory pathways.
Conclusion
This experimental study sheds light on the potential protective effects of RA against CP induced hepatotoxicity. Our findings demonstrate that RA ameliorated CP-induced liver damage as evidenced by reduced hepatic weight, serum liver enzymes, decreased histopathological alterations, and enhanced antioxidant defenses. The mechanistic insights revealed RA's ability to attenuate oxidative stress, inflammation, and apoptosis pathways, which are pivotal in CP-induced liver injury. For the future, RA may be a potential therapeutic candidate for clinical use. In addition, interaction between RA and CP metabolism may promise as an adjuvant therapy for CP -based chemotherapy regimens.
Limitations and future perspectives
The limitations of this study include a small sample size and potential biases due to animal model use, which may affect the generalizability of the findings. Methodological constraints and resource limitations may have also influenced the study outcomes and their applicability to broader contexts. In future studies, mechanisms through which RA may be effective in reducing CP toxicity could be elucidated at the experimental level.










nueva página del texto (beta)


