Introducción
Se presenta el caso de una mujer de 33 años con dolor abdominal inespecífico, en la cual los hallazgos radiológicos muestran una tumoración quística del páncreas. Las pruebas complementarias apuntan a una neoplasia sólida pseudopapilar del páncreas. Se trata de una lesión frecuentemente asociada a mujeres jóvenes, de localización preferente en el cuello y la cola pancreáticos, de carácter premaligno, con capacidad para metastatizar hasta en un 15% de los casos1,2, por lo que un diagnóstico diferencial adecuado es de vital importancia para planificar el tratamiento. La particularidad del caso radica en la infrecuente localización de la lesión en la cabeza del páncreas, así como su relación con las estructuras circundantes (arteria hepática en su salida del tronco celíaco y ampolla de Vater), que determinó la realización de una cirugía agresiva con duodenopancreatectomía cefálica de Whipple.
Caso clínico
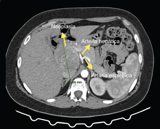
Mujer de 33 años sin antecedentes, estudiada por epigastralgia, diarreas, saciedad precoz y distensión abdominal. Se realiza una analítica que reporta marcadores tumores normales. La tomografía computarizada (TC) (Fig. 1) multifásica con contraste y la resonancia magnética (RM) (Fig. 2) evidencian una lesión a nivel de la cabeza-proceso uncinado del páncreas, hipointensa en T1 e hipertensa en T2, de diámetro mayor de 92 mm, sin asociar dilatación de la vía biliar, atrofia distal glandular ni lesiones a distancia. Se sospecha una neoplasia pseudopapilar sólida del páncreas. Es intervenida quirúrgicamente y se evidencia una gran tumoración, cuya enucleación se desestimó por afectación de la papila duodenal, llevándose a cabo una duodenopancreatectomía cefálica de Whipple (Fig. 3). El estudio anatomopatológico confirmó la resección con márgenes sin invasión ganglionar, vascular ni perineural. La paciente completó el posoperatorio sin incidencias y fue dada de alta al noveno día. Tras 18 meses de seguimiento, persiste libre de enfermedad.

Figura 1 Se aprecia una masa de 92 mm de diámetro anteroposterior, dependiente de la cabeza pancreática, adyacente al tronco celíaco y la arteria hepática, que rodea sin infiltrar.
Discusión
Distinguir las características clínicas y radiológicas de las neoplasias quísticas del páncreas es fundamental para el diagnóstico diferencial, y puede ayudarnos a adoptar la mejor actitud terapéutica. La incidencia de neoplasias quísticas del páncreas ha aumentado debido al incremento en la realización de pruebas de imagen por otros motivos, pudiendo alcanzar una incidencia del 8% en la población1. El diagnóstico diferencial puede tener implicaciones terapéuticas importantes: la anamnesis, valorar la ingesta enólica, la presencia de colelitiasis, los antecedentes de traumatismos abdominales y, sobre todo, la pancreatitis aguda o crónica, son elementos cruciales para sospechar o no neoplasias malignas2,3. La TC con contraste intravenoso y la RM con secuencias de colangiopancreatografía son las pruebas de imagen ideales para valorar las características del conducto pancreático, la presencia o no de atrofia glandular y la posible afectación de la vía biliar, y para la mejor caracterización de las lesiones quísticas4. El papel de la ecoendoscopia digestiva radica en la detección de pequeñas lesiones periampulares y pancreáticas con mayor sensibilidad que otras pruebas anteriores. Además, puede valorar las relaciones anatómicas que circundan la lesión. También permite tomar muestras para el estudio anatomopatológico y la determinación de marcadores, como el antígeno carcinoembrionario o la amilasa5.
La neoplasia sólida pseudopapilar del páncreas afecta preferentemente a mujeres jóvenes. Alcanza una incidencia del 2% según algunas series. En general es asintomática y se detecta por síntomas relacionados con la compresión de órganos vecinos. Suele localizarse en el cuerpo-cola del páncreas6,7. Tiene una apariencia típica en las pruebas de imagen (TC y RM); en la RM en fase T2 se muestra como una masa hiperintensa rodeada de una pseudocápsula.
Presenta un crecimiento expansivo, aunque raramente infiltrante. Se la considera borderline por su potencial para metastatizar8. A pesar de ello, tiene muy buen pronóstico si se reseca en estadios precoces. Por lo tanto, está asentada la indicación de resección quirúrgica una vez establecido el diagnóstico de sospecha, sobre todo en lesiones mayores de 5 cm o cercanas a la zona de la cabeza y el proceso uncinado pancreáticos9. Son factores de mal pronóstico la invasión perineural, la invasión vascular y la presencia de metástasis ganglionares o extrapancreáticas (generalmente hepáticas).
Conclusión
La particularidad de este caso radica en la localización de la lesión en la cabeza pancreática y la proximidad a estructuras vasculares y a la papila duodenal, que impidieron una resección conservadora, teniéndose que llevar a cabo una cirugía agresiva para la escisión total de la lesión.










nueva página del texto (beta)




