Introducción
El sarcoma pleomórfico indiferenciado (SPI), también conocido como histiocitoma fibroso maligno, es el sarcoma de partes blandas más frecuente en adultos. Su incidencia aproximada es de 1 por cada 100,000 individuos1.
Más frecuente en el sexo masculino, entre la sexta y séptima década de vida. Se localiza con mayor frecuencia en las extremidades inferiores1. La recidiva es predominantemente local. El pulmón es la localización más frecuente de diseminación a distancia, siendo las metástasis pancreáticas extremadamente raras1.
Solo un 2% de los tumores que se localizan a nivel de la glándula pancreática son metástasis y su presentación más común es en el contexto de una enfermedad ya diseminada a otros órganos2,3. El cáncer que con mayor frecuencia produce metástasis, generalmente únicas, localizadas a nivel pancreático es el renal, seguido del colorrectal, melanoma, cáncer de mama, carcinoma pulmonar y sarcoma2,3.
El beneficio de la resección pancreática en estos pacientes vendrá determinado por el origen del primario y sus características histopatológicas2.
Hasta un 50% se presentan sin síntomas y se diagnostican en el seguimiento del tumor primario2. Su morfología y características radiológicas varían según su histología. La tomografía por emisión de positrones puede ser de utilidad para descartar metástasis a otros niveles2.
Caso clínico
Presentamos el caso de un varón de 71 años sometido a una exéresis musculoesquelética amplia por un SPI localizado en el tercio superior del muslo derecho. Se realizó tratamiento adyuvante con radioterapia (66 Gy) y quimioterapia (ifosfamida y doxorubicina). La anatomía patológica del espécimen quirúrgico reveló un SPI de 13 x 11 x 6.8 cm con márgenes quirúrgicos libres. Por su grado de diferenciación, recuento mitósico y necrosis tumoral fue clasificado como un grado 3 (estadio IIIb) (AJCC 8.a edición)4.
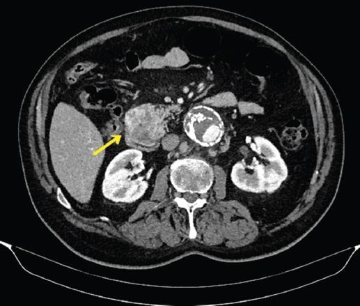
A los dos años de la cirugía se diagnostica mediante tomografía computarizada toraco-abdomino-pélvico de una masa heterogénea de 50 x 47 mm en la encrucijada duodenopancreática sin dilatación de la vía biliar ni del conducto de Wirsung (Fig. 1). Una biopsia percutánea orienta a un origen sarcomatoide de la masa, por lo que se decide realizar una duodenopancreatectomía cefálica (Figs. 2 y 3). El diagnóstico anatomopatológico confirma una metástasis de SPI de 5 x 4,5 x 4,2 cm originada en el proceso uncinado pancreático, bordes libres de tumor y adenopatías negativas (Fig. 4). El paciente presentó una buena evolución postoperatoria, sin complicaciones. En el seguimiento al año permanece asintomático y sin signos de recidiva.

Figura 1 Corte axial de tomografía abdominal: masa sólida y heterogénea de 50 x 47 mm en la encrucijada duodenopancreática.
Discusión
Las metástasis pancreáticas de origen sarcomatoide son extremadamente raras2. La mayoría de lo publicado a este respecto son series de casos y casos clínicos aislados, habiendo solo encontrado en la literatura tres casos de metástasis pancreáticas únicas de SPI1,3,5 tras la reclasificación de la World Health Organization en 20026. La cirugía de resección radical es el único tratamiento potencialmente curativo y que conlleva un aumento del periodo libre de enfermedad1,2, no existiendo consenso en cuanto al beneficio de la quimioterapia o radioterapia complementaria para este tipo de tumores1.
Las resecciones atípicas pancreáticas o enucleaciones aumentan el riesgo de recidiva local y además tienen un porcentaje muy elevado de fistulas pancreáticas, por lo que se recomienda realizar una pancreatectomía estandarizada2,7,8. Se recomienda realizar esta cirugía en hospitales especializados en cirugía pancreática y con un número elevado de procedimientos2.
El pronóstico de estos pacientes dependerá de la agresividad del primario, siendo las de origen renal las que mejor pronóstico presentan9. La recurrencia local es frecuente.
La ausencia de estudios prospectivos y metaanálisis sobre metástasis únicas pancreáticas de origen sarcomatoide no nos permiten conocer con exactitud el pronóstico y supervivencia de estos pacientes.
Conclusiones
Las series publicadas sobre resecciones de metástasis pancreáticas son cortas, aunque sus autores refieren un prolongado intervalo libre de enfermedad en muchos de los pacientes. Por lo que, aunque el tratamiento debe ser individualizado, se recomienda la cirugía siempre que sea posible2,3,10.










nueva página del texto (beta)





