Introduction
Stereotactic brain biopsy (SBB) in adult patients was established several decades ago and advanced together with the advent of head computed tomography (CT). Its utilization increased by including pediatric patients, with multiple reports revealing a high diagnostic value, as well as a low rate of complications1-8. Various techniques are known to perform SBB, with the patient in supine or semi-sitting positions through a precoronal burr-hole for transcerebral approach, and in prone position through transcerebellar-transpeduncular approach3,7,9,10. Lesions located on pons, medulla oblongata, cerebellar peduncles, as well as deep cerebellar, may correspond to various clinical entities with high diagnostic and therapeutic difficulty, such as primary and secondary neoplasms, and infectious, inflammatory, vascular, and demyelinating diseases, among others5,9.
At present, magnetic resonance imaging (MRI) is an important and daily tool in the practice of neurosurgery and neurology, it allows locating small lesions in the brainstem, and integrates sequences such as spectroscopy, providing valuable characteristics for an approximation to the specific diagnosis2,7,11; reports combining this with positron emission tomography (PET) may improve interpretation of lesions11. Even with all these elements, sensitivity (Sn) and specificity (Sp) are not high enough, and SBB is a fundamental procedure to establish definitive diagnosis and treatment of neoplastic and non-neoplastic pathologies of the brainstem, difficult to access through a conventional craniotomy due to their location, and associated with a high risk of permanent neurological deficits and increased mortality4,5,11-14. Furthermore, SBB diagnostic yield varies, and occasionally a second procedure is required to determine a histopathologic diagnosis or no definitive results could be obtained8,14-16. Detailed information from several groups for the SBB technique used for intra-axial lesions of posterior fossa structures is available8,15,10, although there is no consensus about atypical clinical or radiological characteristics, such as focal appearance or contrast enhancement of lesions subject to this procedure1,14,15,17,18. Associated adverse events are hematomas7, sensory deficits, ophthalmoparesis, nystagmus, facial paresis, and anacusis, which may be transient or persistent15.
The aims of this study are to describe the technique performed in our national reference center, including advantages and disadvantages, evaluate its effectiveness and safety, and establish comparisons with other series.
Material and methods
A retrospective study was carried out for evaluation of concordance and diagnostic yield of SBB for posterior fossa lesions in the period from February 2014 to June 2018. Patients with disorders on pons, medulla oblongata, cerebellar peduncles, and deep cerebellar were included, which did not allow to take biopsy samples by open and direct technique, without age restriction. Individuals with midbrain and pineal gland lesions were excluded since in these cases our preferred procedure is transcerebral SBB using a precoronal burr-hole.
Before performing surgeries, all patients and their caregivers signed an informed consent with approval from the bioethics committee following the 1964 Helsinki Declaration, who had a brain contrast-enhanced T1-weighted MRI, with 1 mm slices (Fig. 1). Under local anesthesia with 2% lidocaine at the site of each pin, the Zamorano-Dujovny stereotactic frame (ZD; FL Fischer, Freiburg, Germany) was placed, aligned to the orbitomeatal line, with its fiduciary system inverted (Fig. 2). Subsequently, a contrast-enhanced head CT was performed, with 2 mm slices without interval, for exportation to Praezis Plus Version 3.1.0.112 software (TatraMed s.r.o., Bratislava, Slovakia) for fusion with MRI, and stereotactic planning of two targets on the lesion, defining trajectories to evade vascular, ventricular or cisternal structures, as well as areas with diffusion restriction because they were considered of poor diagnostic value. Successively, at the operating room, general anesthesia was administered to all patients for prone positioning and head coupled to the fixation device, with the surgical table in the semi-Fowler arrangement. When we treated pediatric patients, the ZD stereotactic frame was placed at the operating room under general anesthesia and endotracheal intubation, to later transfer them to CT, and then return to proceed with SBB. Negative right or left mounting of the stereotactic arch was achieved after verification of pre-established stereotactic coordinates. After the skin incision, an occipital burr-hole was made with a 14 mm auto-stop drill to allow dural opening by monopolar electrosurgery electrode applied to the tip of the Sedan-type biopsy needle (FL Fischer, Freiburg, Germany) to prevent cerebrospinal fluid (CSF) drainage that could cause brain shift (Fig. 3). Through a transcerebellar-transpeduncular approach, according to the planned trajectory, the biopsy needle was inserted for tissue aspiration from the 4 quadrants of the target through its 2.5 mm lateral window. Intraoperative changes in heart rate (HR) and blood pressure (BP) that might arise were always monitored.

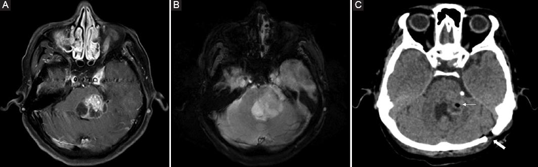
Figure 1 Brain magnetic resonance imaging (MRI) in axial sections, contrast-enhanced T1-weighted sequence, in which a heterogeneous image is observed at pontine level with intense enhancement to gadolinium in its solid portion, associated with hypointense areas suggestive of necrosis (A), while in T2-weighted sequence shows similar heterogeneity and irregular borders (B), whose histopathological diagnosis was Grade IV astrocytoma. Post-surgical head simple computed tomography (CT) demonstrates the biopsy site (thin arrow) and the burr-hole (thick arrow) (C).

Figure 2 Placement of the Zamorano-Dujovny (ZD) stereotactic frame with inverted mounting under local anesthesia (A and B). Using the laser from the gantry, head contrast-enhanced computed tomography (CT) allows confirming the adequate position of the frame and the alignment of the fiducials (C and D).

Figure 3 Digital planning and contouring of the target, defining the trajectory of the biopsy needle (A) by linear and angular stereotactic coordinates (B). Zamorano-Dujovny (ZD) stereotactic frame three-dimensional reconstruction and the trajectory in head contrast-enhanced computed tomography (CT) (C). Patient in the prone position with the stereotactic frame coupled to the fixation device (D). A post and pin have been removed to concede better access of the biopsy needle to the posterior fossa (E).
The neuropathology team, present in the operating room, collected, and labeled the samples, used Hematoxylin-Eosin (H&E) staining for microscopic analysis, and examined the sufficiency of the material; if it was considered insufficient, the second target was biopsied for a similar new evaluation. Once the sample was declared satisfactory and the intraoperative result was reported, all samples were immersed in paraffin and transported to the neuropathology unit for specific immunohistochemical staining and testing. The incision was closed in two planes, the stereotactic system was dismantled, the patient was discharged to the general room for observation and, in the following 24 h, a simple head CT was obtained to rule out subclinical complications and corroborate the biopsied site by fusion of studies.
Statistical analysis was carried out using Microsoft Excel for Microsoft 365 MSO Version 16.0.13328.20262 software (Microsoft Corporation, Redmond, WA, USA) using descriptive measures such as percentages, means, confidence intervals (CI), standard deviations (SD), and Chi-square tests (χ2); for clinical-radiological agreement, Cohen’s kappa coefficient (κ) was used; and for diagnostic validity of clinical and radiological tests regarding the histopathological study (gold standard), Sn, Sp, positive (PPV) and negative predictive values (NPV), as well as positive (LR+), and negative likelihood ratios (LR-) were obtained.
Results
During the established period, 140 consecutive SBB were executed. Ten patients with posterior fossa lesions met the inclusion criteria, of whom six were men and four were women. The mean age was 32.6 years (± 14.6; range, 10-55 years; 95% CI: 10.5), of whom three patients were at pediatric age. The locations were pontine in seven cases, and pontomedullary in three occasions.
Clinical diagnoses were five gliomas (astrocytoma and brainstem glioma), one demyelinating disease, and four neuroinfections (one neurotoxoplasmosis and three nonspecific). The diagnoses from radiological studies were ninie gliomas (astrocytoma, diffuse astrocytoma, and brainstem glioma) and one tuberculoma. Histopathological diagnoses were six gliomas, two neuroinfections, one cavernous malformation, and one neuroblastic tumor; among gliomas, four Grade II astrocytomas, and two Grade IV astrocytomas were found, while neuroinfections included one neurotoxoplasmosis and one non-specific infectious process (Table 1).
Table 1 Demographic characteristics of the patients and aspects related to their intra-axial posterior fossa lesions.
| Patient | Gender | Age (years) | Anatomic location | Clinical diagnosis | Radiological diagnosis | Histopathological diagnosis |
|---|---|---|---|---|---|---|
| TSD | Male | 10 | Pontine | Astrocytoma | Astrocytoma | Grade II astrocytoma |
| RCA | Male | 34 | Pontomedullary | Demyelinating disease | Tuberculoma | Neurotoxoplasmosis |
| JGJ | Female | 13 | Pontine | Brainstem glioma | Brainstem glioma | Cavernous malformation |
| CGH | Male | 34 | Pontomedullary | Neuroinfection | Astrocytoma | Grade II astrocytoma |
| MOE | Male | 42 | Pontomedullary | Neurotoxoplasmosis | Astrocytoma | Neuroblastic tumor |
| GME | Female | 43 | Pontine | Astrocytoma | Glioma | Grade IV astrocytoma |
| AMH | Male | 33 | Pontine | Neuroinfection | Glioma | Nonspecific infectious process |
| EVM | Male | 44 | Pontine | Astrocytoma | Glioma | Grade II astrocytoma |
| HHP | Female | 55 | Pontine | Neuroinfection | Glioma | Grade IV astrocytoma |
| EAE | Female | 18 | Pontine | Astrocytoma | Diffuse astrocytoma | Grade II astrocytoma |
Frequency of clinical and histopathological diagnoses differed from other previously published series (χ2 = 0.00 and χ2 = 0.07, respectively). Clinical-radiological concordance was poor or insignificant (κ = 0.20). The validity of the clinical diagnosis regarding the histopathological analysis had intermediate values (Sn = 66.7%, Sp = 75%, PPV = 80%, NPV = 60%, LR += 2.7, LR- = 0.4), while radiological studies were more sensitive (Sn = 100%, Sp = 25%, PPV = 66.7%, NPV = 100%, LR += 1.3, LR −= 0.0). Diagnostic yield was 100%.
No patient died or had persistent and aggregate neurological deficits secondary to the neurosurgical procedure. However, one patient had intraoperative bradycardia (HR = 20 beats/min) at the time of biopsy sampling, with immediate recovery and no subsequent sequelae.
Discussion
At our center, we have decided to establish the SBB technique for pontine, medullary, cerebellar peduncles, and deep cerebellar lesions under general anesthesia, in the prone position and head coupled to fixation device, to avoid patient discomfort, allow better control of airway by anesthesiology, and avoid air embolism that could originate from semi-sitting position8,10. The transcerebellar-transpeduncular approach, despite being considered a long path to access pons or medulla oblongata, is safe6, demonstrated by the absence of permanent morbidity related to the procedure in our experience. We had no associated mortality, and a correct diagnosis was obtained for specialized treatment in all cases11,13,16, although the frequency of these may differ from other series carried out in similar populations8. The high diagnostic yield obtained is related to the presence of neuropathology staff during surgery, since under their criteria it was possible to determine the sufficiency of the tissue extracted for analysis; therefore, no procedure had to be repeated. Furthermore, we must indicate the high Sn and NPV of radiological studies, which allows identifying most of the tumors and other disorders of the brainstem with great certainty through a pattern of serial testing, which compensates for the poor concordance between clinical and radiological criteria.
Despite being a national reference center and having a long recruitment period for pediatric and adult patients, the number of SBB for posterior fossa is low, which had an impact on pathologies found8, since in our sample, we were unable to observe some previously described tumors or we found a cavernous malformation, rarely subject to SBB. It is worth mentioning that most of the series reported also include lesions located on the midbrain, pineal region, and thalamus, which we have excluded because we prefer to use the transcerebral approach through a precoronal burr-hole3,5,7,9. Multiple stereotactic frames, positions, and approaches have been used in SBB for posterior fossa, although none of them had statistical significance to determine their superiority16.
Globally, there is a possibility that many patients are receiving inadequate treatments, incorrect diagnoses2, or are simply denied reaching an accurate diagnosis due to the anatomical location of their lesions. We recommend the utilization of our SBB for posterior fossa method based on the retrospective design and results of this study, but each center must be effective with their local technique to achieve accurate diagnoses and minimize complications, for which we encourage to replicate our findings in their patient series. We suggest carrying out prospective, blind, and multicenter studies to have an adequate cohort of subjects subjected to the same procedure and to acquire more appropriate conclusions.










nueva página del texto (beta)


