Introducción
El síndrome de Sheehan es una complicación de la hemorragia posparto1, que fue descrito por primera vez por el patólogo británico H.L. Sheehan en 19372. Se presenta como un hipopituitarismo secundario a la necrosis de la glándula hipófisis causada por hipotensión arterial sistémica secundaria a sangrado masivo durante el trabajo de parto3. Ocurre en el 1-2% de las mujeres4 y su incidencia en México es de 1/10,000 partos5. En Islandia, la prevalencia es de 5 casos por cada 100,000 mujeres6.
Durante el embarazo se desarrolla una hiperplasia de la glándula hipófisis, sobre todo en la región anterior, con la finalidad de aumentar la producción de prolactina necesaria para la lactancia6. La irrigación de la glándula hipófisis predispone a isquemia arterial durante periodos de hipotensión arterial, puesto que la arteria hipofisaria superior penetra en el hipotálamo para formar el sistema portal de capilares, que cursa por el tallo hacia la hipofisis anterior, por lo que es perfundida con presión venosa6. La glándula hipófisis está formada por un lóbulo anterior que segrega prolactina, hormona del crecimiento, gonadotropinas, adrenocorticotropina y tirotropina; el lóbulo medio segrega melanotropinas, y en el lóbulo posterior se almacenan la oxitocina y la hormona antidiurética secretadas por el hipotálamo7. Durante el parto, la presencia de una hemorragia masiva produce hipotensión arterial, y en consecuencia se pueden generar áreas de necrosis8.
Las pacientes suelen presentarse meses o años después del episodio de hemorragia posparto9, con un tiempo medio que varía de 2 a 33 años10, debido a un daño hipofisario incompleto y una progresión lenta del daño11. En las formas tardías, los síntomas son variables dependiendo del déficit hormonal, siendo frecuentes los síntomas inespecíficos en más del 50% de las mujeres11, seguidos de amenorrea, esterilidad y disminución del vello por déficit de gonadotropinas, astenia, fatiga, intolerancia al frío y envejecimiento prematuro por déficit de tiroxina y de hormona del crecimiento4,11. Las pacientes pueden presentar una crisis suprarrenal por deficiencia de cortisol o coma mixedematoso11.
Caso clínico
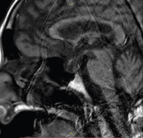
Mujer de 68 años con antecedente de hemorragia posparto a los 33 años de edad, sin secuelas clínicas tras dicho evento (agalactia ni amenorrea). Sin antecedentes familiares de insulinoma. Se le diagnosticó trastorno depresivo mayor a los 38 años, en manejo con fluoxetina. En la entrevista negó otras enfermedades crónicas degenerativas. Su padecimiento actual inició el día 12 de abril de 2019, cuando acudió a un hospital privado por presentar astenia, adinamia, diaforesis, debilidad, confusión y somnolencia; el manejo médico inicial incluyó control de deshidratación grave y de hipoglucemia mediante soluciones glucosadas parenterales, siendo egresada al tercer día por aparente mejoría general. Veinticinco días después del inicio de este cuadro presentó de nuevo la misma sintomatología, pero en esta ocasión fue llevada al servicio de urgencias de nuestro hospital. A su ingreso, la paciente presentaba un cuadro clínico caracterizado por hipoglucemia grave con debilidad, mareo, confusión y somnolencia. Los exámenes de laboratorio mostraron una concentración de glucosa sérica de 30 mg/dl y una anemia normo-normo (volumen corpuscular medio [VCM] de 87 fl y hemoglobina corpuscular media [HCM] 31 pg) asociada a hemoglobina de 9.0 g/dl, hematocrito del 24.4% y leucocitopenia de 3.9 × 10 9/l. Se le administró una carga de solución glucosada al 50% por vía parenteral que condicionó un alivio casi inmediato de los síntomas, lo que se conoce como la tríada de Whipple (baja concentración de glucosa en sangre, síntomas de hipoglucemia y mejoría una vez normalizada la glucemia). Fue ingresada al servicio de medicina interna para continuar con el protocolo de estudio de la hipoglucemia. En la tabla 1 se detallan los estudios de laboratorio al ingreso de la paciente en el servicio de urgencias, en los que son evidentes la hipoglucemia grave y la anemia. Tras su ingreso al servicio de medicina interna, la exploración física reveló despigmentación de la piel principalmente de las aréolas mamarias, involución mamaria y pérdida del vello axilar y púbico; no se encontraron estigmas de hepatopatía crónica. Los signos vitales eran normales. La presencia de insuficiencia renal, hepatopatía crónica e hipoglucemia secundaria a medicamentos u otras sustancias, tales como insulina, sulfonilureas, glinidas o alcohol, se descartó por la información y los antecedentes obtenidos en la historia clínica. Se indagó acerca de algún proceso séptico o inanición que explicaran la hipoglucemia, sin éxito. Para la evaluación de hipocortisolismo e hiperinsulinismo como causa de la hipoglucemia se determinaron el cortisol sérico y la insulina endógena; con los resultados obtenidos se pudo determinar la presencia de hipocortisolismo y valores disminuidos de insulina endógena, al contrario de lo que se podría esperar en una hiperinsulinemia. En la tabla 2 se muestran los resultados de los estudios de laboratorio realizados durante la estancia de la paciente en el servicio de medicina interna, en los que son evidentes el hipopituitarismo y el hipotiroidismo. En la tomografía computarizada de abdomen no se evidenciaron masas tumorales en el páncreas ni en la cavidad abdominal, y por lo tanto se descartó la hipótesis de un insulinoma como causante de la hipoglucemia. En virtud de los valores bajos de cortisol sérico se realizó una resonancia magnética de cráneo en busca de alteraciones anatómicas, y el resultado fue la presencia de una silla turca vacía, por lo que con el antecedente de hemorragia posparto, el panhipopituitarismo y el estudio de imagen se consideró que se trataba de un síndrome de Sheehan. En la figura 1 se muestra el resultado de la resonancia magnética de cráneo que mostró la silla turca vacía. Una vez con el diagnóstico, se inició tratamiento con reemplazo hormonal. Se administró prednisona a dosis de 5 mg/24 h por vía oral. Se eligió este fármaco porque es el disponible en nuestra institución. Las guías recomiendan el uso de hidrocortisona por vía oral como primera opción de tratamiento hormonal sustitutivo12-14, pero en México no contamos con este preparado. Se administró levotiroxina ajustada de acuerdo con el peso de la paciente a dosis de 1.6 mg/kg de peso corporal cada 24 horas (dosis final de 100 mg al día) para controlar los síntomas hipotiroideos y prevenir complicaciones como el coma mixedematoso. La mejoraría del cuadro clínico fue evidente a los 14 días de iniciado el tratamiento.
Table 1 Estudios de laboratorio al ingreso de la paciente al servicio de urgencias, en los que son evidentes la hipoglucemia grave y la anemia
| Parámetro | Valor | Rango normal |
|---|---|---|
| Glucosa | ↓ 30 mg/dl | 60-100 mg/dl |
| Nitrógeno ureico en sangre | 7 mg/dl | 8-20 mg/dl |
| Urea | 15 mg/dl | 10-40 mg/dl |
| Hemoglobina | ↓ 9.0 g/dl | 14 ± 2 gr/dl |
| Hematocrito | ↓ 24.4 (%) | 42 ± 5 (%) |
| VCM | 87 fl | 80-97 fl |
| HCM | 31 pg | 27-31.2 pg |
| Leucocitos | ↓ 3.9 ×109/l | 4.5-11.5 ×109/l |
| Plaquetas | 309,000 cel/mm3 | 150,000-450,000 cel/mm3 |
HCM: hemoglobina corpuscular media; VCM: volumen corpuscular medio.
Table 2 Estudios de laboratorio durante la estancia de la paciente en el servicio de medicina interna, en los que son evidentes el hipopituitarismo y la hipoinsulinemia
| Parámetro | Valor | Rango normal |
|---|---|---|
| Hormona del crecimiento | 0.07 ng/ml | < 10 ng/ml |
| Somatomedina | ↓ 3 ng/ml | 17-241 ng/ml |
| Hormona estimulante del folículo | ↓ 0 mUI/ml | 27-133 mUI/ml |
| Hormona luteinizante | ↓ 0.1 mUI/ml | 0.9-10.9 mUI/ml |
| Hormona estimulante de tiroides | ↓ 0.27 uU/ml | 0.47-5.01 uU/ml |
| Cortisol sérico matutino | ↓ 0,30 mg/dl | 6.2-19.4 mg/dl |
| Tiroxina libre | ↓ 0.43 ng/dl | 0.70-1,46 ng/dl |
| Insulina endógena | ↓ 1.0 uUI/ml | 3.2-16.3 uUI/ml |
Discusión
La falla de la glándula pituitaria ocurre bajo varias condiciones: enfermedades hipotalámicas como craneofaringiomas, metastasis de tumores primarios de pulmón o mama, secundaria a radiación del sistema nervioso central, infecciones como meningitis tuberculosa y traumáticas, y enfermedades hipofisiarias como adenomas o quiste de hipófisis, cirugía hipofisaria, radiación hipofisaria, hemocromatosis, infección o absceso hipofisario, y causas vasculares como apoplejía y síndrome de Sheehan. El hipopituitarismo relacionado con el síndrome de Sheehan es poco frecuente. El síndrome de Sheehan es más común en los países en vías de desarrollo15. Su diagnóstico se fundamenta en el antecedente de hemorragia posparto, falla en la lactancia, deficiencia de hormonas hipofisarias y presencia de una imagen radiológica de silla turca vacía en un estudio de resonancia magnética de cráneo16. Nuestra paciente cumplía todos los criterios, pero su presentación atípica ocurrió 35 años después del evento de hemorragia posparto y sin falla en la lactancia ni amenorrea. En los últimos años se han publicado varias series de casos sobre la presentación clínica tardía del síndrome de Sheehan17-22.
En un estudio realizado en la India en 201618 se reportó la pérdida hormonal en un grupo de 21 mujeres con diagnóstico de síndrome de Sheehan, y se encontró que la pérdida más frecuente fue para prolactina, gonadotropinas y hormona del crecimiento16-19,22-24, con manifestación clínica de insuficiencia para la lactancia y amenorrea. Es común encontrar que la caída en las cifras de cortisol se presente en un 50% de los casos. Otro estudio publicado en Xinjiang, China, en 2015, con 97 mujeres con síndrome de Sheehan, obtuvo resultados similares: la presentación clínica más frecuente fue la pérdida del vello axilar o púbico en el 85.6% de los casos estudiados, amenorrea en el 82.5% y agalactia en el 74.2%24.
Otros estudios han sugerido que la presentación aguda más común se asocia a crisis suprarrenal con colapso cardiovascular, hipoglucemia, hiponatremia y choque15,17. La presentación crónica más frecuente es con amenorrea por déficit de gonadotropinas, agalactia e involución mamaria, pudiendo iniciarse incluso después de varios años del evento hemorrágico posparto con crisis suprarrenal o hipotiroidismo, como sucedió en este caso7,15,22,23-27.
El principal diagnóstico diferencial es la hipofisitis linfocítica, la cual puede presentarse en niños y adultos de ambos sexos, comúnmente asociada a otras enfermedades autoinmunitarias, ocurre sin el antecedente de hemorragia posparto, las hormonas más habitualmente afectadas son el eje corticoide y tiroideo, se asocia a hiperprolactinemia y diabetes insípida, y en la resonancia magnética se observa como masa hipofisaria11,27, por lo que, por las características, el cuadro clínico y los resultados de laboratorio y de imagen de la paciente, es improbable este diagnóstico.
La presentación clínica de nuestra paciente consistió en dos episodios de hipoglucemia con un mes de diferencia, lo cual es una presentación atípica no reportada en otros estudios. La hipoglucemia como parte de una crisis suprarrenal aguda es un evento clínico relativamente frecuente, pero en este caso la paciente no cursó con crisis suprarrenal, sino solo con hipoglucemia aislada. En una serie de casos publicado por Ozkan y Colak28 en 2005 se encontró la presencia de hipoglucemia e hipotiroidismo en el 15% de las pacientes, lo cual confirma la baja prevalencia de esta presentación clínica. Kumar, et al.29 reportaron el caso de una hipoglucemia recurrente comopresentación tardía del síndrome de Sheehan. Otra forma de presentación reportada es con episodios de hipoglucemia e hiponatremia30.
En este caso, una vez que se realizó el diagnostico de síndrome de Sheehan se inició su tratamiento hormonal sustitutivo que produjo mejoría clínica y alta del hospital en poco tiempo. Es necesario que el personal médico tenga conocimiento de este hecho, dado que un diagnóstico y un tratamiento de reemplazo oportunos tienen un gran impacto en la morbilidad y la mortalidad de las pacientes.










nueva página del texto (beta)



