Introduction
Postoperative intraabdominal adhesions (PIA) are an undesirable and frequent complication of modern surgery. It is also an obvious cause of postoperative morbidity. Postoperative adhesions are usually asymptomatic. In the early postoperative period, they may cause difficult-to-treat infections, mechanical obstructions, and anastomosis complications. In the late postoperative periods, they can cause many complications such as chronic abdominal pain, adhesive ileus, and infertility. 54-74% of all intestinal obstruction cases develop due to intraabdominal adhesions1. This situation is seen in 1-3% of patients who admit to general surgery clinics. 3-8% of patients who have undergone abdominal surgery are reoperated for brid ileus2. Medical problems caused by adhesion also cause loss of workforce and increase in health expenses in patients. For PIA, various solutions (steroids, some antibiotic drugs, heparin solution, tissue plasminogen activators, icodextrin, hyaluronic acid solution, protein concentrates, transforming growth factor-beta isoforms, and neurokinin-1 receptors, etc.) have been studied for many years and minimal invasive surgical procedures have been adopted3-5. Despite the advancement of minimally invasive surgical techniques, the presence of adhesions has revealed the necessity of using substances that prevent or suppress adhesion.
In this experimental study, our aim is to compare the adhesion prevention effects of 4% icodextrin, which has been studied in recent years on its anti-adhesion effect, with magnesium sulfate, which has a lubricating effect, and saline, which is the most commonly used in routine surgery.
Materials and methods
This study is a single-center, prospective, randomized controlled clinical trial, which has been carried out in the Department of General Surgery, Ankara Research and Training Hospital. This study was conducted with the permission of the ethics committee (No:2010-0377) in our center to investigate the effects of 4% icodextrin, magnesium sulfate, and saline in the prevention of PIA. Also, the protocol of the experiment was approved by the Local Animal Experiments Committee. The experimental procedures were performed in accordance with the Guide to the Care and Use of Laboratory Animals (National Institutes of Health Publications No. 8023, revised 1978). The number of rats was calculated by Mead method3.
Thirty-two male Wistar Albino rats weighing between 250 and 350 g were used in the study. A total of four groups were formed, eight in the control group, eight in the icodextrin group, eight in the magnesium sulfate group, and eight in the saline group.
Standard surgical instruments were used for surgical procedures. Relaparotomy was performed on the 14th day for histopathological evaluation. In the presence of adhesion, the adhesive tape was resected together with the affected organs. In cases without adhesion, the anterior cecum was resected together with the parietal peritoneum and studied in the pathology laboratory.
All rats used in the study were kept in the same laboratory environment for a week before the experiment. During the experiment, rats were fed with city water and standard commercial rat food in cages. The rats were housed in a light and dark environment for 12 h before and after surgery, between 20-24 degrees and 30-70% humidity.
15 mg/kg intramuscular anesthesia with ketamine hydrochloride was applied to the subjects after 12 h of fasting. The abdominal skin was shaved and the field was cleaned with povidin-iodine. In order to apply the adhesion model, laparotomy was performed with a standard midline incision following anesthesia in rats. After it was determined that there was no adhesion in the abdomen, the cecum was revealed.
The anterior wall of the cecum taken outside the abdomen was determined, and wipings were made with gauze until serosal punctate hemorrhage occurred. After the cecum abrasion, it was kept for 5 min before being returned to the abdomen, and it was cooled and dried.
Then, 1 cm long incision were applied on the peritoneum on both sides of the incision, perpendicular to the incision, one on the right and left, and bleeding was ensured.
Group K: After the described surgical procedures were performed, the organs were returned to the abdomen.
Group M: In the Magnesium Sulfate group, after the mentioned surgical procedures were performed, the organs were returned to the abdomen and intraperitoneally under the incision, 1 ml of magnesium sulfate diluted in 1 in 1 distilled water was given.
Group I: After surgical procedures were performed in the 4% icodextrin group, the organs were returned to the abdomen and 1 ml of 4% icodextrin was given intraperitoneally under the incision.
Group SF: After performing the mentioned surgical procedures in the saline (SF) group, the organs were returned to the abdomen and 1 ml of SF was given to the area under the incision.
In all patients, the anterior abdominal wall muscle layer was sutured with continuous sutures with 4/0 round vicryl and the skin was sutured with 4/0 round prolene.
Considering the potential cardiac side effects of Magnesium Sulphate, magnesium sulfate was diluted with 1 in 10 distilled water and then 1 ml was preferred.
Following the sacrifice of all rats with high doses of ether on the 14th day in accordance with the Helsinki agreement, a U incision was made in the abdomen and the abdominal walls were retracted downwards to provide maximum vision. Then, adhesions were quantitatively evaluated with the classification defined by Nair et al. (Table 1 and Fig. 1). The evaluation was carried out by two separate persons, in accordance with the classification previously described to them, and in a double-blind manner. The average of the two evaluations was used for statistical evaluation.
Table 1 “Nair” macroscopic adhesion classification
| Grade 0 | No adhesion | |
|---|---|---|
| Insubstantial Adhesion | Grade 1 | Single band of adhesions between viscera or from one viscus to the abdominal Wall |
| Substantial Adhesion | Grade 2 | Two bands between viscera or between viscera and abdominal Wall |
| Grade 3 | More than two bands between viscera or between viscera and abdominal wall, or the entire intestine forming a mass adhering to the abdominal wall to the abdominal wall | |
| Grade 4 | Viscera directly attached to the abdominal wall, regardless of number or extent of bands |
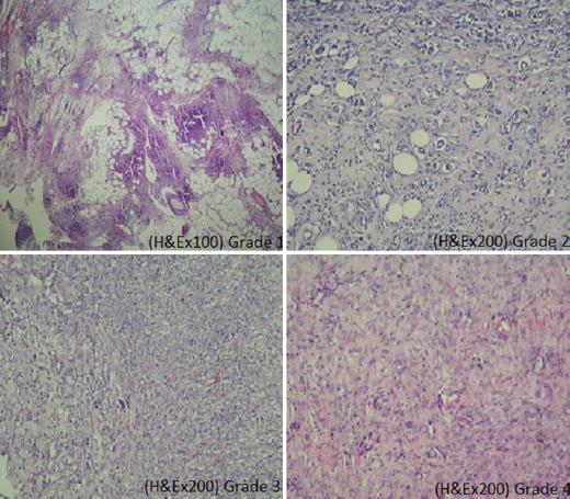
Following macroscopic evaluation, the affected organs were excised together with the adhesion band in rats that developed adhesion, while in those without adhesion, the cecum anterior wall and parietal peritoneum were excised for pathological sampling, including all layers except skin. Pathological pieces were fixed in 10% buffered formol. Sections with a thickness of 5 micrometers were taken on a slide. The pathologist conducting the examination did not know from which group the plays were taken. After histopathological evaluation, the plays were subjected to microscopic grading defined by Zuhlke4 (Table 2 and Fig. 2).
Table 2 “Zuhlke” microscopic adhesion classification
| Grade 1 | Weak, connective tissue, rich cell, new and old fibrin, thin reticulin fibriles |
| Grade 2 | Connective tissue which has cells and capillaries. Few collagen fibers |
| Grade 3 | Thicker connective tissue. Few cells and elastic and smooth muscle fibers, more vessels |
| Grade 4 | Old and thick granulation tissue, poor cells, difficult seperation of serosal surfaces |
All operations, scoring and evaluation of findings were carried out by the same team.
Statistical analysis
All statistical analyzes were performed using SPSS software version 22 for Windows (SPSS Inc., Chicago, IL, USA) and the results were considered statistically significant if p < 0.05. Descriptive statistics were shown as median (minimum-maximum). The significance of the difference in macroscopic and microscopic staging between the groups was investigated with the KruskalWallis test.
Results
During the study period, no rats in the groups died. There were no rats in poor health that would require sacrifice. Surgical procedures and administration of drugs were well tolerated during the study period.
Macroscopic evaluation results according to the Nair classification are shown in table 3 and microscopic evaluation results according to Zuhlke classification are shown in table 4.
Table 3 Macroscopic staging according to groups
| Groups | Macroscopic Staging median (min-max) |
|---|---|
| Group K | 3 (2-4)a,b,c |
| Group M | 2 (1-4)a |
| Group I | 1.5 (1-3)b |
| Group SF | 2 (1-4)c |
aThe difference between Group K and Group M is statistically significant (p = 0.005),
bThe difference between Group K and Group I is statistically significant (p < 0.001),
cThe difference between Group K and Group SF is statistically significant (p < 0.001).
Table 4 Microscopic staging according to groups
| Groups | Microscopic Staging median (min-max) |
|---|---|
| Group K | 3 (2-4)a,b |
| Group M | 2 (2-3)a |
| Group I | 2 (1-3)b |
| Grup SF | 2.5 (1-3) |
aThe difference between Group K and Group M is statistically significant (p = 0.030).
bThe difference between Group K and Group I is statistically significant (p < 0.001).
According to the comparison results of the groups among themselves (Table 5);
Table 5 Results of multiple comparison between groups regarding macroscopic and microscopic staging
| Multiple comparisons | Macroscopic | Microscopic |
|---|---|---|
| Group K – Group M | p = 0.005 | p = 0.030 |
| Group K – Group I | p < 0.001 | p < 0.001 |
| Group K – Group SF | p < 0.001 | p = 0.053 |
| Group M – Group I | p = 0.119 | p = 0.207 |
| Group M – Group SF | p = 0.638 | p = 0.788 |
| Group I – Group SF | p = 0.267 | p = 0.129 |
The macroscopic staging degree was statistically significantly lower in Group M, I, and SF compared to Group K (p = 0.005; p < 0.001 and p < 0.001). Again, the degree of microscopic staging was significantly lower in Groups M and I compared to Group K (p = 0.030 and p < 0.001). With Group M, respectively; no statistically significant difference was found between Group I and Group SF in terms of macroscopic staging (p = 0.053; p = 0.207). With Group M, respectively; no statistically significant difference was found between Group I and Group SF in terms of microscopic staging (p = 0.207; p = 0.788). No statistically significant difference was found between Group I and Group SF in terms of macroscopic staging (p = 0.267). No statistically significant difference was found between Group I and Group SF in terms of microscopic staging (p = 0.129).
Discussion
PIA is an important cause of long-term morbidity. Strategies such as the use of various pharmacological agents as well as rigorous surgical techniques have been adopted to prevent adhesion formation. Currently, available knowledge suggests that three major methods have the potential to reduce PIA: (I) reduction of peritoneal trauma using minimally invasive approaches; (II) use of pharmacological agents to inhibit fibrin formation; and (III) reducing contact between intraabdominal organs and peritonized structures after dissection using film or fluid barriers. However, none of these approaches have been adopted as standard therapy, and research is still ongoing for a final solution5.
There are studies showing that 4% Icodextrin reduces primary PIA and their recurrence by separating the damaged area during the healing phase6,7. A prospective randomized controlled study by Catena et al. showed that the use of icodextrin in small bowel obstructions due to adhesions is safe and reduces the risk of PIA formation and re-obstruction. Icodextrin causes less scarring by stimulating the local inflammatory and immunological response, not as a simple physicochemical barrier that reduces cell activation and invasion. The authors concluded that the application of 4% Icodextrin to extensively deserosalized surfaces is more suitable than other non-adherent barriers. In contrast to these studies, there are articles in the literature showing that 4% Icodextrin does not reduce adhesion formation. Ditzel et al. and Bellon et al. investigated 4% Icodextrin in two different studies and failed to show a significant reduction in PIA8,9. In our study, it was seen that 4% Icodextrin reduced adhesion macroscopically and microscopically.
In our study, three different liquid materials were used, based on the adhesion prevention effect, keeping the adhesion foci away and forming fluid surfaces and preventing adhesion. Recently, many studies have been carried out on intraabdominal barriers to keep possible adhesion surfaces away from each other to prevent adhesion formation10-12. These substances keep the damaged ischemic tissues separate from each other. It also inhibits the binding of free macrophages and reduces local fibroblastic infiltration. In this way, it is thought that the process that results in the development of adhesion is prevented by preventing ischemic tissues from approaching neighboring organs for blood supply13. The most appropriate anti-adhesive material should not be permanent; It should not contain adhesiogenic properties; should continue its effect in the presence of blood and should not adversely affect wound healing14. All of these have required the investigation of agents that are more effective, cheaper, relatively free of side effects and toxicity, and easy to apply and make them suitable for clinical use13. One of the agents developed for this purpose is Icodextrin. It is a disposable, sterile, clear, colorless to pale yellow liquid containing icodextrin at 4% concentration in an electrolyte solution for intraperitoneal administration. It is an iso-osmolar and biologically degradable, high molecular weight (12,000-20,000 dalton) kind of glucose polymer solution. It is used intraperitoneally to reduce adhesions after abdominal surgery.
Although there are studies in the literature with adhesion inhibitors containing icodextrin, there is no study comparing this substance with saline and magnesium sulfate. Magnesium sulfate was chosen both because it is in the icodextrin solution and because it is a lubricant and thickener.
In our study, 4 groups were formed as the icodextrin group (Group I), the saline group (Group SF), and the magnesium sulfate group (Group M), one of which is a control (Group K). There was no statistically significant difference between Group K and Group SF in terms of microscopic staging. The high degree of both microscopic and macroscopic adhesion in the control group compared to the other three groups indicates that our anti-adhesion model was successful.
When the adhesion prevention potentials of magnesium sulfate, icodextrin, and saline applications were compared; although it has been observed that icodextrin reduces adhesions more at the macroscopic level, it is revealed that these three substances are not statistically superior to each other in terms of adhesion prevention.
The success of icodextrin solution in preventing adhesions compared to the control group is an expected result. Compared to the relatively more professional 4% icodextrin produced for adhesion prevention, it is important that the adhesion prevention effect of magnesium sulphate used for the 1st time is as high as icodectrin, since it is a new material used for this purpose. Considering the potential cardiac side effects during the study, we think that the fact that it prevents adhesion, although it is diluted every 10 times, will allow the planning of new studies for this substance.
Icodextrin shows some local and systemic side effects in case of high amount and prolonged contact with the peritoneum. Some of those; abdominal pain, peritonitis, nausea, vomiting, sweating, flu-like symptoms, headache, hypertension, and hyperglycemia. It may interact with adefovir, blood pressure medications, digoxin, entecavir, insulin, metformin, or HIV or AIDS medications. It is not recommended for use in pregnant women15. Magnesium sulfate has side effects such as chest pain, respiratory distress, confusion, decreased reflexes, hypotension, and anxiety. It can be used in pregnant women16.
The small sample group is one of the weak points of our study. The reason for this is the insufficient facilities in the animal laboratory at the time of the study and different animal experiments were carried out in the same period.
Conclusion
Despite all the new scientific developments, due to the fact that auxiliary techniques for postoperative adhesions are not fully accepted, new research focuses on finding intraperitoneally applicable materials that significantly reduce adhesions, are affordable and do not cause side effects such as wound healing, infection, and bleeding.
Three different materials were used in our study. It was observed that they significantly reduced adhesions. Although the magnesium sulfate used for the 1st time was diluted, its adhesion prevention effect was comparable to that of 4% icodextrin and SF. In this respect, we think that magnesium sulfate is a material that needs to be studied for its anti-adhesion effect.
This study once again demonstrates the limited ability of these materials to prevent adhesion, despite the wide variety of materials used, and the need for careful adherence to tissue-respectful universal surgical techniques.










nueva página del texto (beta)




