Introducción
Definición
La atresia esofágica abarca un grupo de anomalías congénitas que comprenden una interrupción de la continuidad del esófago con o sin comunicación persistente con la tráquea1,2.
Epidemiología
La incidencia de atresia de esófago, con o sin fístula traqueal, es de 1 por cada 3500 nacidos vivos3,4. Sin embargo, existe una variación geográfica. En México nacen aproximadamente 2 millones de niños por año, y se estima que cada año hay entre 500 y 600 casos nuevos de atresia de esófago en el país5. En el Estado de Chihuahua no se cuenta con este dato. La mayoría de las series muestran un ligero predominio del sexo masculino, con una relación 3:1 y un aumento de la incidencia en los prematuros6,7. Se ha observado que la incidencia de atresia de esófago, así como de otras malformaciones anatómicas congénitas, se ve aumentada en pacientes producto de inseminación in vitro3.
Etiología
La etiología de la atresia esofágica es probablemente multifactorial, abarcando aspectos genéticos y ambientales1,5,8. A pesar de una baja concordancia entre gemelos y una baja incidencia de casos familiares, los factores genéticos tienen un papel importante, como se sugiere por mutaciones discretas en casos sindrómicos, como en el síndrome de Feingold, el síndrome CHARGE (coloboma, malformaciones cardiacas, atresia de coanas, retraso psicomotor o del crecimiento, hipoplasia de genitales, malformaciones auriculares o sordera) y el síndrome de anoftalmia-esofágico-genital9. Se sabe que las anormalidades cromosómicas como las trisomías (18 y 21) y las deleciones (22q11 y 17q22q23.3) están asociadas a la atresia esofágica, y se han notificado hasta en un 6% de los pacientes que tienen malformaciones asociadas en otros sistemas1,10.
Factores de riesgo
Se ha visto una mayor incidencia de atresia de esófago en productos de padres de edad avanzada, diabetes materna, madre con fenilcetonuria, ingesta de alcohol durante el embarazo, baja paridad materna, obesidad y exposición a ciertas drogas durante el embarazo (metimazol, carbimazol, cafeína, micofenolato, doxorubicina y dietilestilbestrol). Se han realizado estudios en animales y se ha comprobado que la exposición materna al cadmio altera el desarrollo del intestino anterior, así como la deprivación de vitamina A. Asimismo, se analiza la implicación de neuropéptidos presentes en esta área anatómica6-8,10,11.
Cuadro clínico
En la sala de tococirugía se debe sospechar esta anomalía anatómica cuando existe dificultad del paso de la sonda para verificación de la permeabilidad esofágica. Los datos clínicos que pueden presentar los pacientes consisten en salivación excesiva, tos, cianosis, dificultad respiratoria y distensión abdominal5.
Malformaciones asociadas
La alteración temprana en la organogénesis que ocasiona deformidades como la atresia de esófago también afecta a otros sistemas. Dichas anomalías relacionadas a menudo alteran significativamente el tratamiento y afectan la supervivencia3. Se han realizado numerosos estudios en los que se estima que alrededor del 50-70% de los pacientes pediátricos con diagnóstico de atresia de esófago tienen por lo menos otra malformación congénita asociada. Estas malformaciones incluyen los sistemas cardiovascular (24%), urogenital (21%), digestivo (21%), musculoesquelético (14%) y nervioso central (7%)3 (Tabla 1).
Tabla 1 Anomalías congenitas asociadas a atresia esofágica
| Anomalías asociadas | % |
|---|---|
| Cardiovasculares | 24 |
| Genitourinarias | 21 |
| Gastrointestinales | 21 |
| Musculoesqueléticas | 14 |
| Sistema nervioso central | 7 |
| Asociación VACTERL | 20 |
| Incidencia general | 50-70 |
VACTERL: defectos vertebrales, atresia anal, defectos cardiacos, fístula traqueo-esofágica, anomalías renales y anomalías en las extremidades.
Clasificación
La atresia de esófago puede clasificarse de tres maneras: 1) según la presencia y la localización de la atresia y la fístula; 2) basada en la asociación con otras anomalías anatómicas; y 3) según la presencia de fístula traqueoesofágica conocida en un síndrome específico6,11. La clasificación anatómica original de Vogt de 1929 todavía se usa en la actualidad. Ladd y Gross modificaron dicha clasificación, que es la que se utiliza con mayor frecuencia, dividiéndola en seis tipos:
– Tipo I: atresia de esófago con ambos cabos esofágicos ciegos sin fístula traqueoesofágica, con una incidencia del 5-8%.
– Tipo II: atresia del esófago con fístula traqueoesofágica superior y cabo inferior ciego, correspondiendo al 0.5-1%.
– Tipo III: atresia del esófago con fístula traqueoesofágica inferior y cabo esofágico superior ciego, con una incidencia del 80-85%.
– Tipo IV: atresia del esófago con fístula traqueoesofágica en ambos cabos del esófago, en un 0.5-1%.
– Tipo V: fístula traqueoesofágica en H sin atresia de esófago, en el 3-5%.
– Tipo VI: estenosis esofágica aislada, en el 0.5-1%1,12,13.
Diagnóstico
El diagnóstico de la atresia de esófago, en la mayoría de los casos, se establece durante las primeras 24 horas de vida. Sin embargo, se puede realizar de manera antenatal o puede ocurrir un retardo hasta llegar a él2,14.
DIAGNÓSTICO PRENATAL
El diagnóstico prenatal se puede sospechar al realizar un ultrasonido obstétrico después de la semana 18. El polihidramnios es el hallazgo más frecuente, originado por la incapacidad del feto para deglutir y absorber el líquido amniótico a través del intestino. Se observa en aproximadamente el 80% de los pacientes con atresia esofágica sin fístula y en el 20% de los que tienen fístula distal4-6. El ultrasonido prenatal sugiere el diagnóstico con una sensibilidad del 42% cuando no se identifica el estómago con líquido en su interior, mientras que la combinación de polihidramnios y ultrasonido prenatal sugestivo de atresia esofágica tiene un valor predictivo positivo del 56%2,5. El criterio diagnóstico de atresia esofágica mediante el uso de imágenes de resonancia magnética es la no visualización de la porción intratorácica del esófago14. Actualmente se trata de establecer el diagnóstico prenatal utilizando la sonografía y el índice para atresia de esófago de líquido amniótico, un enfoque bioquímico que mide la alfa-fetoproteína y la gamma-glutamil transpeptidasa del líquido amniótico6,11. Incluso con los avances tecnológicos en los estudios de imágenes, no existe un método de diagnóstico prenatal ideal para esta patología14.
DIAGNÓSTICO POSNATAL
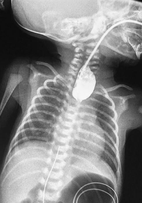
La atresia de esófago se observa en un alto porcentaje de nacimientos prematuros o de neonatos con peso bajo al nacimiento5. Los pacientes que se ven afectados por esta patología permanecerán asintomáticos en las primeras horas, pero luego mostrarán sialorrea, dificultad respiratoria, tos y ahogamiento al momento de la alimentación. Si el diagnóstico se realiza de forma tardía puede presentarse un proceso neumónico grave que ensombrece el pronóstico4-6. El diagnóstico se corrobora mediante radiografías de tórax y de cuello, tanto anteroposteriores como laterales, colocando una sonda radioopaca o bien un medio de contraste hidrosoluble (Fig. 1). Si hay una fístula traqueoesofágica distal, el aire en el estómago estará presente en las radiografías y la distensión abdominal puede ser evidente4,5,14.
Tratamiento
En el manejo del recién nacido con atresia de esófago están involucrados los sistemas de traslado-recepción del paciente, el diagnóstico, el tratamiento médico, la prevención de complicaciones, la cirugía, la anestesia, los análisis de laboratorio y gabinete, y los cuidados intensivos neonatales5. En el manejo de estos pacientes debe intervenir un equipo multidisciplinario que incluya neonatólogos, cirujanos pediatras, anestesiólogos, radiólogos, cardiólogos, neumólogos y genetistas, siendo fundamental también la participación del equipo de enfermería, así como de psicólogos y trabajadores sociales para apoyo a los padres5. El manejo inicial se debe enfocar hacia la evaluación integral del recién nacido, determinar la presencia de malformaciones asociadas y evaluar el posible compromiso infeccioso5,9,14. El manejo médico previo a la intervención quirúrgica del paciente debe consistir en la manipulación mínima del recién nacido debido a que la sobreestimulación puede provocar complicaciones respiratorias, aumento del consumo de oxígeno, estrés por frío y regurgitación del contenido gástrico a través de la fístula2,5. Se debe colocar una sonda de doble lumen para la aspiración continua con baja presión e irrigación con solución fisiológica5. La oxigenoterapia, si se requiere, debe de ser administrada para mantener una saturación óptima5,15. Se debe indicar ayuno y administrar soluciones intravenosas para asegurar un aporte adecuado de líquidos, electrolitos y glucosa5. Estos pacientes se deben ingresar o trasladar lo más pronto posible a una unidad de terapia intensiva neonatal que cuente con el equipo médico multidisciplinario mencionado2,5,15. A su llegada se realizarán los exámenes de laboratorio preoperatorios, así como los ultrasonidos renal, cardiaco y transfontanelar, para descartar otras malformaciones asociadas. Si existen datos de neumonía, se iniciará un esquema de antibiótico. También se iniciará nutrición parenteral temprana. El recién nacido se llevará a cirugía una vez que se encuentre estable, se determinen el tipo y la gravedad de las malformaciones asociadas, y se establezca un plan de tratamiento quirúrgico, que generalmente consiste en cierre de la fístula y plastia esofágica5.
Complicaciones
Las complicaciones quirúrgicas incluyen dehiscencia, fuga de la anastomosis, refistulización y estenosis8,9. Los problemas respiratorios, nutricionales y gastrointestinales prevalecen no solo en los primeros años de vida, sino también en la adolescencia y la edad adulta. El reflujo gastroesofágico, la esofagitis péptica, la metaplasia gástrica, el esófago de Barrett, los trastornos de la alimentación, la disfagia, la traqueomalacia, las infecciones pulmonares de repetición y la dismotilidad esofágica son las complicaciones más frecuentes a corto y largo plazo en los pacientes con antecedente de esta patología. En cuanto a los adultos, se debe investigar la presencia de adenocarcinoma esofágico y de carcinoma epidermoide, que se pueden ver asociados16,17.
Planteamiento del problema
La atresia esofágica es una enfermedad que se presenta en recién nacidos en todo el mundo. En México es relativamente frecuente y afecta a todos los grupos de población. Es importante su detección oportuna, de preferencia de manera prenatal, para poder realizar un manejo adecuado. Es crucial identificar a los individuos con esta anomalía para brindarles tratamiento de forma satisfactoria y de esta manera evitar posibles complicaciones que pongan en riesgo a los pacientes o su calidad de vida. Se sabe que la atresia de esófago se puede ver asociada con múltiples malformaciones congénitas, y por ello es necesario realizar un diagnóstico oportuno de estas y un abordaje multidisciplinario completo.
La intención del presente trabajo es ver la relación entre el tipo de atresia esofágica y las malformaciones cardiacas, y además analizar aspectos sociodemográficos relacionados con estos pacientes. Todo lo anterior para determinar el panorama actual en la institución de salud donde se atienden estos casos y así poder brindar el manejo adecuado que este tipo de pacientes requieren.
Método
El objetivo del presente trabajo fue realizar un estudio de la epidemiología, la clínica y la evolución de los pacientes con diagnóstico de atresia de esófago que ingresaron al Hospital Infantil de Especialidades de Chihuahua en el periodo comprendido entre los años 2017 y 2018. Para ello se llevó a cabo un estudio prospectivo de tipo observacional de los pacientes afectados con esta patología que ingresaron a la unidad de cuidados intensivos neonatales. Las principales variables analizadas fueron el sexo, la edad gestacional, el peso al nacer, la calificación de Apgar, las malformaciones asociadas y las complicaciones durante la estancia hospitalaria. También se analizaron aspectos relacionados con los padres: edad materna, patologías asociadas, escolaridad, control prenatal, etnia y lugar de residencia.
Resultados
Durante el periodo comprendido de enero de 2017 a diciembre de 2018 ingresaron al área de cuidados intensivos neonatales del Hospital Infantil de Especialidades de Chihuahua un total de 12 pacientes referidos de diferentes nosocomios del Estado con diagnóstico de atresia de esófago. De ellos, el 50% eran de sexo masculino y el 50% femenino. Las edades gestacionales comprendían desde las 27 semanas hasta las 41 semanas, con un promedio de 39 semanas. La mitad de los pacientes presentaron peso adecuado para el nacimiento, con un promedio de 3.429 kg, y talla de 51.75 cm. La calificación de Apgar a los 5 minutos en su mayoría fue de 9. Al analizar aspectos relacionados con el control prenatal se observó que el promedio de consultas durante el embarazo fue de 6.3; cabe destacar que se evidenciaron importantes diferencias en el nivel sociocultural, así como en la accesibilidad a los servicios de salud de las diferentes familias estudiadas, al encontrar que algunas pacientes llevaron un buen control prenatal, con hasta 15 consultas, en comparación con una paciente que no recibió atención médica hasta el momento del parto. El promedio de sonografías obstétricas realizadas fue de 3.8, de las cuales en siete pacientes se reportaron como normales, en tres pacientes se evidenció polihidramnios, en una paciente se identificó una variante de cordón umbilical y en otro caso no se realizó ninguna evaluación ecográfica.
En cuanto a las característica relacionadas con los padres, se observó que la edad materna promedio fue de 23.4 años y la paterna de 25.1 años. El 82% de las familias eran de etnia mestiza, el 9% de etnia tarahumara y el 9% eran menonitas. La mayoría de las madres de los pacientes analizados tenían educación secundaria completa (50%), el 17% había terminado la preparatoria, el 17% contaba con primaria completa, una madre tenía educación profesional terminada y otra era analfabeta. De los factores de riesgo analizados, ninguna de las madres tenía diagnóstico de diabetes mellitus ni otra enfermedad, y negaban haber consumido bebidas alcohólicas o algún tipo de teratógeno durante el embarazo, que son factores de riesgo que se han relacionado con el aumento en la incidencia de atresia de esófago. El lugar de residencia de la mayoría de las familias (cuatro) era la ciudad de Chihuahua, dos eran originarias de Guachochi, y el resto, una de Saucillo, una de Delicias, una de Cuauhtémoc, una de La Junta y otra de Carichi. El diagnóstico de atresia de esófago se realizó de manera posnatal en el 100% de los casos.
Al analizar las malformaciones presentes en los pacientes estudiados se observó que el 82% correspondían a atresia tipo III (con fístula traqueoesofágica distal), una correspondía al tipo I (sin fístula) y una al tipo IV (con fístula proximal y distal) (Fig. 2). Las malformaciones congénitas más frecuentes asociadas a atresia de esófago fueron las cardiacas en el 83% de los casos. Las vertebrales se observaron en un paciente con sacro incompleto. Uno se diagnóstico con malformación anorrectal baja. Las cerebrales, en un caso con hidrocefalia (Fig. 3).

Figura 2 Tipo de atresia de esófago observada en pacientes ingresados a la unidad de cuidados intensivos neonatales del Hospital Infantil de Especialidades de Chihuahua en el periodo comprendido de enero de 2017 a diciembre de 2018.

Figura 3 Malformaciones congénitas encontradas en pacientes con atresia de esófago ingresados a la unidad de cuidados intensivos neonatales del Hospital Infantil de Especialidades de Chihuahua en el periodo comprendido de enero de 2017 a diciembre de 2018.
Al analizar las malformaciones cardiacas que presentaban los pacientes afectados, se observó que el 90% de los que tenían anomalías cardiacas contaban con un defecto del tabique auricular. Cinco de los 10 pacientes tenían persistencia del conducto arterioso y uno presentaba comunicación interventricular. Otras malformaciones reportadas fueron dextrocardia, transposición de los grandes vasos y tronco arterioso (Fig. 4).

Figura 4 Malformaciones cardiacas reportadas en pacientes con atresia de esófago ingresados a la unidad de cuidados intensivos neonatales del Hospital Infantil de Especialidades de Chihuahua en el periodo comprendido de enero de 2017 a diciembre de 2018. CIA: comunicación interauricular; CIV: comunicación interventricular; PCA: persistencia del conducto arterioso; TA: tronco arterioso; TGV: transposición de los grandes vasos.
De acuerdo con lo observado en este grupo de pacientes, se reporta que el 80% de los pacientes con atresia de esófago de tipo III tienen alguna malformación cardiaca, de las cuales la comunicación interauricular es la más común (p = 0.78). Lo anterior no logra ser estadísticamente significativo, ya que no se alcanza el tamaño mínimo de muestra; sin embargo, cuenta con significancia clínica para la población en cuestión estudiada (Fig. 5)(Tabla 2).

Figura 5 Presencia de malformaciones cardiacas y su relación con el tipo de atresia de esófago en pacientes ingresados a la unidad de cuidados intensivos neonatales del Hospital Infantil de Especialidades de Chihuahua en el periodo comprendido de enero de 2017 a diciembre de 2018.
Tabla 2 Tipo de atresia de esófago y su relación con malformaciones cardiacas en pacientes ingresados a la unidad de cuidados intensivos neonatales del Hospital Infantil de Especialidades de Chihuahua en el periodo comprendido de enero de 2017 a diciembre de 2018
| Malformaciones cardiacas, n (%) | Total | ||
|---|---|---|---|
| Sí | No | ||
| Tipo de atresia | |||
| I | 1 (100.0) | 0 (0) | 1 (100.0) |
| III | 8 (80.0) | 2 (20.0) | 10 (100.0) |
| IV | 1 (100.0) | 0 (0.0) | 1 (100.0) |
| Total | 10 (83.3%) | 2 (16.7%) | 12 (100.0) |
De las complicaciones observadas, el 40% de los pacientes presentaron dehiscencia de la plastia, el 25% estenosis esofágica y el 90% desarrolló algún tipo de infección. La mortalidad fue del 42% (Tabla 3)(Fig. 6).
Tabla 3 Complicaciones presentes en pacientes con atresia de esófago ingresados a la unidad de cuidados intensivos neonatales del Hospital Infantil de Especialidades de Chihuahua en el periodo comprendido de enero de 2017 a diciembre de 2018
| Complicaciones | |
|---|---|
| Infección intrahospitalaria | 11 |
| Dehiscencia | 5 |
| Estenosis | 3 |
Discusión
La atresia de esófago requiere una detección oportuna y un manejo multidisciplinario adecuado para poder llegar a su resolución completa. Estos pacientes requieren trabajo en conjunto desde el momento del embarazo por los servicios de ginecología y obstetricia, así como de radiología, para la detección oportuna. Posterior al nacimiento, el tratamiento médico impartido por el neonatólogo y el tratamiento quirúrgico por el cirujano pediatra son fundamentales. En la valoración de estos pacientes intervienen cardiólogos pediatras, anestesiólogos, radiólogos, neumólogos y genetistas, y personal de enfermería, psicología y trabajo social. Durante la estancia hospitalaria se enfrentan posibles complicaciones: posquirúrgicas inmediatas, alto riesgo de infección y relacionadas con otras malformaciones congénitas. Se deben conocer las características del entorno de los pacientes afectados con esta patología para tratar de identificar la causa, y conocer las características de las familias para las recomendaciones al momento del alta, poder dar consejo genético y llevar un seguimiento adecuado.
El presente estudio pudo evidenciar que el diagnóstico de la atresia esofágica se hace de manera tardía, debido a la baja detección prenatal, lo que ocasiona un aumento en el tiempo de llegada a la institución a la que se refiere. Debido a que en el hospital donde se realizó dicho trabajo no cuenta con servicio de tococirugía, se reciben pacientes referidos de diferentes nosocomios de distintas partes del Estado de Chihuahua, y el manejo quirúrgico se brinda posterior a la estabilización y el estudio en la unidad de cuidados intensivos neonatales.
En el presente estudio, en el que se analizaron aspectos sociodemográficos relacionados con pacientes con diagnóstico de atresia de esófago, no se encontraron factores de riesgo relacionados con dicha patología. La mayoría de las madres eran sanas, sin exposición a tóxicos durante la gestación, y no se observó predominio geográfico en la presentación. En cuanto a los tipos de atresia de esófago, predomina el tipo III, con cabo proximal ciego y fístula traqueoesofágica distal, al igual que lo expuesto en la literatura. En cuanto a las malformaciones asociadas, las cardiacas son las principales y, de estas, los defectos del tabique interauricular son los más frecuentes, como lo reportado en otras series de casos. A diferencia de lo expuesto en la literatura, en este estudio se observa una mayor mortalidad, superior al 40%, de pacientes afectados por atresia esofágica; se cree que lo anterior es debido a los factores previamente discutidos, sobre todo los relacionados con procesos infecciosos. Así mismo, cabe destacar la baja asociación sindrómica encontrada en el presente estudio, en el que solo dos pacientes presentan algún conjunto de signos y síntomas específicos, como fue uno con síndrome de Down y otro con síndrome de Goldenhar. Aunque se analizaron en su totalidad los pacientes que ingresaron con diagnóstico de atresia de esófago durante el periodo de estudio, no son suficientes para establecer resultados estadísticamente significativos; sin embargo, los resultados expuestos aportan significancia clínica para la población con atresia de esófago.
Conclusiones
La atresia de esófago es una malformación congénita relativamente común, cuya etiología es desconocida, pero se cree que es multifactorial. La mayoría de los casos son esporádicos, no sindrómicos, asociados a casos familiares en menos del 1%. Actualmente se están realizando estudios para tratar de analizar la patogenia de esta anomalía, los cuales se centran fundamentalmente en la ontogenia de neuropéptidos relacionados con el esófago, estudios con diferentes fármacos como la doxorubicina o antitiroideos, y estudios en modelos animales. El diagnóstico se debe realizar de manera prenatal mediante métodos de imagen, donde un estómago pequeño o ausente más polihidramnios tiene un valor predictivo positivo del 56%8. Sin embargo, en el presente estudio, el diagnóstico se realizó de manera posnatal en todos los casos, mediante rayos X e instrumentos radioopacos. Se sabe que la atresia de esófago se relaciona con otras anomalías congénitas, destacando las cardiovasculares, anorrectales, genitourinarias, gastrointestinales, esqueléticas y neurológicas, entre otras. Es necesario iniciar un abordaje completo de los pacientes que presenten atresia esófagica para poder identificar alguna otra afección y brindar el tratamiento adecuado. Es fundamental realizar un ecocardiograma para poder identificar defectos cardiacos asociados, y la posición del arco aórtico y la aorta descendente para el plan quirúrgico. En este estudio se pudo observar que las malformaciones cardiacas son las más frecuentes, presentes en el 83% de los pacientes analizados, y de estas, los defectos del tabique interauricular y la persistencia del conducto arterioso fueron las principales.
Existen diferentes clasificaciones de riesgo para esta patología, las cuales toman en cuenta factores como el peso, las malformaciones cardiacas y la necesidad de ventilación mecánica. En general, la tasa de supervivencia ha aumentado y se reporta una sobrevida mayor del 90%; sin embargo, en el presente trabajo se observa una mortalidad elevada, del 42%, la cual en la mayoría de los casos estuvo relacionada con algún proceso infeccioso. En cuanto al tratamiento, se sabe que la reparación quirúrgica del esófago es urgente, pero no representa una emergencia y no se realizará hasta lograr la estabilización del paciente. Dentro de las complicaciones más frecuentes se encuentran la fuga anastomótica, la estenosis esofágica posquirúrgica, la fístula traqueoesofágica recurrente, la traqueomalacia, las infecciones y el reflujo gastroesofágico8.
En la presente investigación se pudo observar que se trata de una malformación relativamente frecuente en nuestro medio. Se detalló que las madres de los pacientes que presentan esta patología llevaron un control prenatal regular, y se trataba de mujeres jóvenes que no presentaron ninguna enfermedad importante durante el embarazo. Las edades gestacionales al momento del nacimiento en promedio fueron de término (39 semanas de gestación), la mayoría de los pacientes presentaron peso y talla adecuados al nacimiento, y la calificación de Apgar a los 5 minutos fue en su mayoría de 9. Cabe destacar que el promedio de sonografías obstétricas realizadas durante el embarazo fue de 3.8, que alrededor del 60% se reportaron como normales y que solo el 25% reportaron polihidramnios; sin embargo, no se realizó el diagnóstico de atresia de esófago de manera prenatal en ningún caso. No se observó prevalencia geográfica de esta patología en el Estado ni de etnia. En los pacientes analizados, al igual que en la literatura, la atresia esofágica de tipo III fue la más frecuente, y de las malformaciones congénitas asociadas, las cardiacas fueron las mayormente encontradas, destacando los defectos del tabique interauricular. Cabe señalar la alta mortalidad presentada en este trabajo en comparación con lo reportado en otros análisis. Lo anterior es de suma importancia para tomar medidas a futuro y así favorecer la sobrevida de los pacientes con este diagnóstico.










nueva página del texto (beta)




