Introducción
Las perforaciones esofágicas pueden ser iatrogénicas, traumáticas, por cuerpos extraños, relacionadas con otras patologías o espontáneas. Las lesiones espontáneas pueden afectar solo una parte de la pared esofágica (síndrome de Mallory-Weiss) o constituir una rotura de espesor total del órgano, dando lugar al síndrome de Boerhaave, que representa el 8-56% de todas las perforaciones esofágicas1. La primera descripción de una lesión emetógena del esófago se atribuye al cirujano holandés Hermann Boerhaave. Su informe del paciente y la lesión estaba contenido en una monografía de 70 páginas publicada en 1724. Su famoso paciente fue el Gran Almirante de los Países Bajos, el barón Von Wassenauer, quien presentó un dolor de pecho insoportable repentino posterior a una emesis autoinducida. Cuando poco tiempo después murió, el Dr. Boerhaave realizó una autopsia y encontró la perforación esofágica que ahora lleva su nombre2.
La rotura esofágica espontánea, conocida como síndrome de Boerhaave, es poco frecuente, pero tiene una gran mortalidad. Muchas veces se manifiesta solo como un dolor abdominal3. Independientemente del mecanismo de acción, la rotura esofágica se considera la más grave del tracto digestivo4,5, con una mortalidad superior al 30%6. El retraso en el diagnóstico ocurre hasta en un 50% de los pacientes7. El diagnóstico temprano suele estar entorpecido por la amplitud y la mayor prevalencia de los diagnósticos diferenciales, entre los que se encuentran la úlcera gástrica o duodenal perforada, el infarto agudo de miocardio, la pericarditis, el neumotórax, la tromboembolia pulmonar, la hernia diafragmática, el aneurisma disecante de la aorta y la pancreatitis aguda8.
Caso clínico
Varón de 73 años sin antecedentes de importancia que acude al servicio de urgencias, por su propio pie, por un cuadro de 5 horas de evolución que inició tras la ingesta de una comida copiosa. Presenta sensación de plenitud posprandial y posteriormente vómito gastroalimentario en cinco ocasiones, con posterior dolor en la región retroesternal, intenso (8/10 en la escala analógica visual), opresivo, con irradiación hacia la espalda, y disnea progresiva.
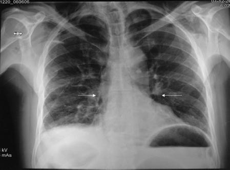
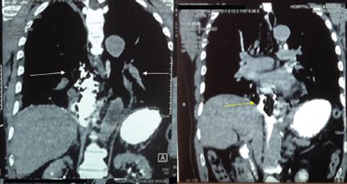
En la exploración física el paciente se encuentra despierto, escala de Glasgow 15 puntos, facies álgica, polipneico, con enfisema subcutáneo en la región supraclavicular y el tórax superior bilateral con crepitación, sin equimosis, con requerimiento de oxígeno suplementario por puntas nasales a 5 l/min, con disminución del murmullo vesicular en la región basal del hemitórax derecho y dolor abdominal a la palpación superficial y profunda en la región epigástrica, así como intolerancia al decúbito supino. El resto de la exploración no mostraba alteraciones, con los siguientes signos vitales: presión arterial 130/80 mmHg, frecuencia cardiaca 100 latidos por minuto, frecuencia respiratoria 20 respiraciones por minuto, temperatura 36.6 °C, saturación de oxígeno 96% y fracción inspirada de oxígeno 30%. Los parámetros de laboratorio fueron: hemoglobina 15.7 g/dl, hematocrito 45.9%, leucocitos 12.3 × 103/ml, glucosa 128 mg/dl, procalcitonina 34 ng/ml y troponina I < 0,04 ng/ml. El electrocardiograma mostró ritmo sinusal, frecuencia cardiaca 97 latidos por minuto, AQRS 0°, QRS 0.12 s y sin alteraciones del segmento ST. Se decidió realizar una radiografía de tórax, en la que se observó un enfisema subcutáneo en la región supraclavicular y ensanchamiento del mediastino (Fig. 1), y una tomografía computarizada de tórax con medio de contraste oral hidrosoluble, que confirmó el enfisema subcutáneo con extensión hasta la región escapular bilateral. También se observó neumomediastino bilateral, neumopericardio y fuga del medio de contraste hidrosoluble a nivel del tercio inferior del esófago hacia el mediastino medio, la cavidad pleural y el pericardio (Figs. 2 a 4). Se inició antibioticoterapia intravenosa (betalactámico y clindamicina).

Figura 1 Radiografía de tórax posteroanterior en la que se observa un enfisema subcutáneo en el cuello y la región supraclavicular bilateral, así como ensanchamiento del mediastino y dilatación ventricular (flechas).

Figura 2 Tomografía computarizada de tórax, ventana para mediastino (corte coronal), con medio de contraste hidrosoluble, en la que se observa neumomediastino bilateral de predominio a nivel medio y posterior (flechas blancas), el cual no desplaza ni comprime las estructuras adyacentes. Se observa neumopericardio (flecha amarilla).

Figura 3 Tomografía computarizada de tórax, ventana pulmonar (corte transversal), en la que se observan una zona de mayor densidad en el segmento posterior del lóbulo inferior derecho(flecha blanca) y derrame pleural bilateral de predominio derecho con ocupación aproximada del 20% (flecha amarilla).

Figura 4 Tomografía computarizada de tórax (corte sagital) con medio de contraste hidrosoluble que muestra neumomediastino medio y posterior, y fuga del medio de contraste por el hiato aórtico hacia el retroperitoneo (flecha blanca).
Por la localización de la perforación en el tercio inferior del esófago y la fuga del medio de contraste hacia el retroperitoneo se decidió someter al paciente, a las 4 horas de ingreso, a una laparoscopia para drenaje del líquido pleural, mediastinal y retroperitoneal observado en los estudios de imagen, así como a cierre primario con funduplicatura. El paciente ingresó a quirófano para laparoscopía, en la cual se localizó el hiato esofágico, donde se observó en su cara anterior una zona de mucosa irritada y se realizó disección del ligamento esofagofrénico, identificando los pilares y liberando los vasos cortos. Posteriormente se realizaron ventana retroesofágica y disección de hiato esofágico, donde se observó una perforación de la pleura derecha con presencia de abundante contenido gástrico en la pleura y el mediastino, y se identificó la zona de perforación en el tercio inferior de la cara lateral derecha del esófago, de 1.5 cm de longitud, que se cerró con sutura y pegamento. A continuación se realizó funduplicatura tipo Dor y se colocaron drenajes en hiato esofágico y subdiafragmático izquierdo, y sonda endopleural en el espacio pleural derecho. Al egreso del quirófano, el paciente ingresó a la unidad de terapia intensiva por choque séptico, con presión arterial de 80/50 mmHg, frecuencia cardiaca de 110 latidos por minuto, frecuencia respiratoria de 18 respiraciones por minuto, temperatura de 37.0 °C, saturación de oxígeno del 94%, fracción inspirada de oxígeno del 80% y llenado capilar de 5 s, requiriendo manejo vasopresor con norepinefrina a dosis de 0.19 μg/kg/min y vasopresina a dosis de 0.03 U/min, así como ventilación mecánica invasiva y nutrición parenteral (Fig. 5). Los resultados de los cultivos reportaron crecimiento de Candida glabrata sensible al voriconazol (≤ 0.12 μg/ml), por lo que se realizó escalamiento terapéutico y se logró la extubación a las 72 horas del ingreso a la unidad de terapia intensiva. Se realizó esofagograma de control a los 5 días del procedimiento quirúrgico y no se observó evidencia de fuga esofágica (Fig. 6). El paciente tuvo una evolución favorable, con resolución del cuadro de sepsis, reinicio y tolerancia de la vía oral, y egreso a los 10 días de ingreso hospitalario, con seguimiento posterior con estudio de imagen de control por consulta externa.
Discusión
La rotura espontánea del esófago se define como una dehiscencia de la pared esofágica en una zona macroscópicamente sana, en general como consecuencia de un aumento brusco de la presión esofágica combinado con una presión intratorácica negativa causada por el vómito o un esfuerzo9. Los datos obtenidos de cadáveres frescos con la porción medial del esófago pinzada han revelado que una presión de 150 mmHg puede producir un desgarro de la unión gastroesofágica10. La porción intratorácica inferior del esófago es la parte más frágil del órgano, ya que es relativamente pobre en fibras musculares longitudinales y no está protegida por estructuras anatómicas; además, la presencia de un gran número de estructuras vasculares y nerviosas debilita la pared11. La perforación esofágica completa se produce en la pared lateral izquierda en el tercio inferior, 3-5 cm por arriba de la unión gastroesofágica del esófago distal, en el 90% de los casos12-14. En ello influyen varios factores anatómicos, como el estrechamiento del músculo a nivel del esófago distal, el debilitamiento de esta pared por la entrada de vasos sanguíneos y nervios, la falta de apoyo de las estructuras circundantes y el hecho de que el esófago está inclinado hacia adelante a nivel del pilar diafragmático izquierdo15. La longitud de la perforación varía de 0.75 a 7.5 cm16,17. En el 80% de los casos hay comunicación con el espacio pleural, por lo que los contenidos del estómago y del esófago se desplazan hacia el tórax por la presión negativa18.
Afecta con mayor frecuencia a los varones entre 50 y 70 años de edad5, y presenta una gran asociación con el consumo de alcohol y la enfermedad por reflujo gastroesofágico19. Otros factores precipitantes son tos intensa, asma aguda, epilepsia, estreñimiento, parto, levantamiento de pesas, traumatismos toracoabdominales y maniobras de endoscopia19,20.
Clínicamente conforma la tríada de Mackler (vómito, dolor torácico intenso y enfisema subcutáneo cervical), pero rara vez esta se presenta de forma completa, siendo los síntomas principales vómito, dolor torácico (el más frecuente, presente en el 70% de los pacientes), disnea, disfagia, enfisema subcutáneo, taquicardia, fiebre, taquipnea y dolor epigástrico. En casos raros la perforación esofágica puede manifestarse por hematemesis u otros signos de hemorragia gastrointestinal, incluyendo la melena21,22.
El retraso en el diagnóstico explica la alta tasa de mortalidad de esta patología: del 10-25% en los casos tratados dentro de las primeras 24 horas hasta del 40-60% en los tratados a las 48 horas21. El pronóstico mejora si se logra instaurar el tratamiento dentro de las primeras 24 horas18.
La radiografía de tórax muestra alteraciones en el 80-90% de los casos, con derrame pleural de predominio izquierdo, neumotórax, enfisema subcutáneo y neumomediastino. El estudio tomográfico permite un análisis más detallado del mediastino, evidenciar los abscesos adyacentes a la pleura, el esófago o el mediastino, y detectar la comunicación o la presencia de aire entre el esófago y el mediastino. La prueba diagnóstica de referencia ante la sospecha de una rotura esofágica es la esofagografía con contraste hidrosoluble, que aporta información sobre el tamaño y la localización de la perforación; además, es de gran utilidad en la planificación del abordaje quirúrgico23-25.
El tratamiento conservador está indicado en los pacientes hemodinámicamente estables con perforaciones contenidas y sin signos de sepsis. Incluye la colocación de un stent tubotorácico, gastrostomía o yeyunostomía de alimentación. Las opciones quirúrgicas son cierre primario, cierre primario reforzado (músculo intercostal, pleura, diafragma, estómago, epiplón y pulmón) y exclusión o resección esofágica. El cierre primario con refuerzo es el tratamiento de elección cuando el tiempo de evolución es menor de 24 horas. En casos de perforaciones largas, contaminaciones extensas, enfermedad esofágica asociada, fallo del cierre primario o sepsis persistente, están indicados procedimientos más agresivos, como exclusión y resección esofágica26.
Conclusiones
La perforación o rotura esofágica representa un desafío diagnóstico y terapéutico. El reconocimiento oportuno respaldado por imágenes radiológicas y el tratamiento con antibioticoterapia de amplio espectro, la realización de cultivos y, principalmente, el abordaje quirúrgico temprano, son determinantes pronósticos importantes. La elección del tratamiento depende del estado, el sitio, la extensión y la duración de la fuga, así como de la presencia de sepsis. Es importante considerar su diagnóstico ante cualquier presentación de dolor precordial y evento previo de vómito, el cual puede ser el factor desencadenante, como en el caso presentado.










nueva página del texto (beta)




