Introducción
El síndrome de Boerhaave es una condición de rara presentación que consiste en la rotura longitudinal espontánea transmural de un esófago de anatomía normal. Aunque su incidencia real en todo el mundo no está clara, algunos estudios la estiman en aproximadamente 3.1 casos por 1,000,000 personas y año1. La presencia de doble perforación esofágica constituye una forma de presentación inusual de la enfermedad, y de ahí la importancia de publicar el presente caso.
El objetivo es describir el caso de una paciente con síndrome de Boerhaave con doble perforación esofágica.
Caso clínico
Mujer de 33 años con antecedentes patológicos personales de disfagia eventual a los sólidos, que nunca fue estudiada. Ingresó al servicio de urgencias de otra institución por un cuadro clínico caracterizado por dolor torácico intenso de localización retroesternal de intensidad creciente, con irradiación a ambas bases de los hemitórax, mantenido, que no se aliviaba con los cambios posturales, antecedido de un cuadro emético intenso.
En la exploración física se documentó aspecto de enferma aguda, con mucosas ligeramente secas y normocoloreadas, con índice de masa corporal de 22 kg/cm2 y temperatura de 37 °C. El murmullo vesicular estaba disminuido en los dos tercios inferiores del hemitórax izquierdo, con matidez a ese nivel sin estertores. La SO2 era del 90%. Taquicardia ligera: 115 latidos por minuto. Presión arterial: 110/70 mmHg. Exploración abdominal normal.
El hemograma mostró leucocitosis ligera con neutrofilia. La radiografía de tórax reveló radioopacidad en masa en los dos tercios inferiores del hemitórax izquierdo, con desplazamiento ligero de las estructuras de la línea media y ensanchamiento de los espacios intercostales. No se constataron signos de neumomediastino.
Se decide realizar pleurostomía mínima baja de urgencia, obteniéndose aproximadamente 1200 ml de derrame pleural de coloración oscura, sin describir otros datos del mismo.
Se instauró antibioticoterapia de amplio espectro. Evolutivamente, por la persistencia de la fiebre, la leucocitosis y las características del líquido pleural, se sospecha una perforación esofágica y se decide realizar un esofagograma por radiografías seriadas, que evidencia una perforación del tercio inferior del esófago torácico, por lo que se decide interconsultar con los especialistas del Hospital Clínico Quirúrgico Hermanos Ameijeiras y se traslada a la paciente a la unidad de cuidados intensivos.
La paciente llega al hospital con 10 días de evolución, ventilando espontáneamente, con SO2 del 94%, con sonda de Levine y Foley, leucocitosis moderada de 18,5 × 109/l con marcada neutrofilia (85%) y reactantes de fase aguda elevados considerablemente, y presentando un pico febril vespertino de 39 °C.
Se le realiza una tomografía computarizada de tórax con contraste oral que corrobora la presencia de perforación a nivel del tercio inferior del esófago, con comunicación directa con la cavidad torácica izquierda, sin extravasación hacia el mediastino.
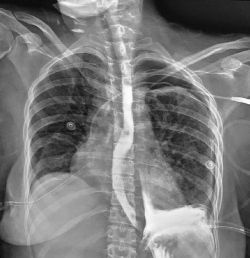
El esofagograma por fluoroscopia informa trayecto que comunica con la cavidad pleural a aproximadamente 2.7 cm por encima de la unión esofagogástrica, que mide 2 cm de longitud, en relación con fístula esofagopleural (Fig. 1).

Figura 1 Esofagograma por fluoroscopia en el que se visualiza la salida de contraste desde el tercio inferior del esófago hacia la cavidad torácica.
Se instaura tratamiento antibiótico intravenoso con meropenem a razón de 1 g/8 h, metronidazol 0,5 g/8 h y ceftriaxona 2 g/12 h.
Veinticuatro horas después del traslado se decide realizar una videotoracoscopia con decorticación pleural y recolocación de sonda pleural baja más colocación de sonda pleural alta. Además, se realiza yeyunostomía alimentaria por sonda y se coordina con el Centro Nacional de Cirugía Endoscópica para la colocación de endoprótesis esofágica.
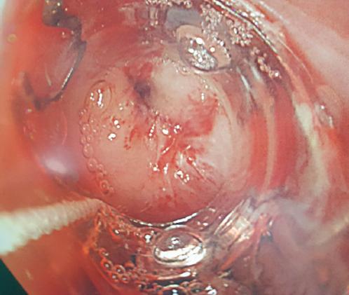
Seis días después es llevada a dicha institución, donde se corrobora la perforación de 5 mm a 38 cm de la arcada dentaria (Fig. 2) y se colocan un clip de Ovesco y una endoprótesis esofágica con cubierta siliconada y mecanismos antimigración.

Figura 2 Endoscopia digestiva alta en la que se visualiza la perforación esofágica momentos antes de colocar un clip de Ovesco.
El débito por la sonda pleural disminuyó significativamente y sin bilis, pero en la noche la paciente presentó dos vómitos de gran cuantía y comenzó de nuevo un débito de contenido gástrico mezclado con bilis por la sonda pleural inferior.
Se realiza esofagograma por fluoroscopia evolutivo y se diagnostica nueva perforación esofágica en el tercio medio del esófago (Fig. 3), con neumotórax de un 50% de colapso pulmonar.

Figura 3 Esofagograma por fluoroscopia que muestra salida de contraste desde el tercio medio del esófago hacia la cavidad torácica.
Ya en estos momentos la paciente volvía a presentar fiebre de 39-39,5 °C, leucocitosis de 17 × 109/l y como complicación sobreañadida una bronconeumonía.
Se decide llevar a la paciente al quirófano de urgencias y se realiza una exclusión pilórica más colocación de sonda de gastrostomía. Se coordina nuevamente con el centro para colocación de una nueva endoprótesis a nivel del tercio medio esofágico. En el Centro Nacional de Cirugía Endoscópica, durante la endoscopia digestiva se encuentra una zona puntiforme eritematosa, deprimida, a los 26 cm de la arcada dentaria, pero sin extravasación de contraste a dicho nivel. No obstante, se decide colocar una nueva endoprótesis.
Presentó una mejoría ostensible, pero corta, ya que a los 3 días comenzó con picos febriles de 3 horas de evolución, vespertinos, que fueron incrementando evolutivamente, con temperaturas entre 38,5 y 39 °C. No se constató leucocitosis y por la sonda pleural inferior presentó nuevamente débito de contenido gástrico mezclado con bilis. Fue necesario colocar un tubo endotraqueal y ventilación mecánica por presencia de distrés respiratorio.
Se decide en colectivo realizar una exclusión esofágica con suturador mecánico, a nivel del esófago abdominal, previa retirada de las prótesis esofágicas. Durante la endoscopia se diagnostica migración de la prótesis inferior hacia la vertiente gástrica y pérdida total de la cubierta siliconada, la cual se encontraba en el estómago (Fig. 4).

Figura 4 Imágenes de endoscopia digestiva alta en las que se observa la prótesis metálica con el recubrimiento siliconado (color verde) dislocado fuera de ella.
Se retiran ambas endoprótesis sin accidente quirúrgico y también parte del recubrimiento siliconado. Se realiza laparotomía con gastrotomía alta y extracción del resto del recubrimiento siliconado, retirada de los puntos de la exclusión pilórica, recolocación de sonda de gastrostomía y cierre de la gastrotomía.
Evolutivamente la paciente se mantuvo ventilada, con salida escasa de contenido pleural claro por la sonda y mejoría clínica discreta. A las 30 horas del posoperatorio presentó una arritmia ventricular de difícil control, cayó en paro cardiorrespiratorio y falleció a pesar de las sucesivas maniobras de resucitación.
Discusión
El síndrome de Boerhaave es una condición de rara presentación que consiste en la rotura espontánea longitudinal transmural de un esófago de anatomía normal2,3. Esta enfermedad fue descrita por primera vez en 1724 por el médico alemán Hermann Boerhaave, profesor de medicina en la Universidad de Leiden4. Este médico realizó una publicación titulada Historia de una enfermedad grave no descrita anteriormente y habló sobre el caso del barón Jan Van Wassenaer, un almirante holandés que comenzó a vomitar y presentó dolor torácico del lado izquierdo poco después de un banquete y solo sobrevivió 24 horas tras el incidente5.
Aunque se cree que el vómito es la causa más común, otras causas incluyen levantamiento de pesas, defecación, convulsiones epilépticas, trauma abdominal, lesión por aire comprimido y parto2. La mayoría de los casos ocurren en pacientes con un esófago subyacente normal, aunque la presencia de esofagitis, hernia hiatal, enfermedad de reflujo gastroesofágico asintomático, alcoholismo y úlceras también puede predisponer a esta patología6,7.
Aunque la incidencia real de la perforación esofágica en todo el mundo no está clara, algunos estudios la estiman en aproximadamente 3.1 casos por 1,000,000 de personas y año1.
Esta perforación esofágica presenta una tasa de mortalidad de aproximadamente el 20% al 50%, inclusive con tratamiento oportuno. El tratamiento quirúrgico temprano (menos de 24 horas) tiene una tasa de sobrevida aproximada del 75%, pero si se aborda de forma tardía (posterior a las 24 horas) es del 35% a 50%, y del 0% si se trata posterior a las 48 horas3.
La rotura esofágica espontánea está causada por un aumento súbito de la presión intraesofágica, que conduce a un desgarro longitudinal transmural completo en la pared del esófago3,5,6. Ocurre comúnmente en la pared posterolateral izquierda del tercio distal del esófago torácico (80% de los casos) debido a una debilidad anatómica, de 3 a 6 cm por encima del diafragma; el daño mide de 2 a 10 cm en la mayoría de los casos y se extiende hacia la cavidad pleural izquierda, conduciendo a inflamación mediastínica, enfisema o necrosis debido a que los contenidos gástricos ingresan al área3,4.
Estos pacientes presentan rápido deterioro por la infección extensa del mediastino, la cavidad pleural, la cavidad abdominal o el saco pericárdico con sustancias del tracto gastrointestinal6,7.
Las manifestaciones clínicas del síndrome de Boerhaave dependen de la localización de la rotura, del grado de fuga y del tiempo transcurrido desde la perforación6.
El médico debe sospecharlo en un paciente que se presente con dolor torácico retroesternal con o sin enfisema subcutáneo, sobre todo cuando se asocia con vómitos graves o de repetición5. Entre un 30% y un 50% de los casos se presentan con vómitos, dolor torácico inferior y enfisema subcutáneo, lo que se conoce como la tríada de Mackler2,4-7.
El tratamiento inicial es fundamental y consiste en la reposición de volumen, la cobertura antibiótica de amplio espectro y la evaluación quirúrgica. El manejo del síndrome de Boerhaave puede ser conservador en los pacientes con perforación contenida sin datos de sepsis, con una sobrevida del 75%6.
La intervención quirúrgica con reparación esofágica primaria mediante toracotomía abierta durante las primeras 24 horas de presentación es el tratamiento de referencia para el síndrome de Boerhaave. En los últimos años se ha estudiado la efectividad de tratamientos mínimamente invasivos, tales como la toracoscopia o la laparoscopia como alternativa en pacientes hemodinámicamente estables, con presentaciones tempranas y ausencia de complicaciones sépticas3,7.
En nuestra paciente, la segunda perforación esofágica fue objeto de duda, ya que podría ser consecuencia del proceder endoscópico realizado previamente. Debido a ello, se revisaron exhaustivamente todas las imágenes de control realizadas después de la colocación de la endoprótesis, y no se constató extravasación de contraste ni imágenes de neumomediastino o de neumotórax en la fluoroscopia de control.
Esta paciente en particular constituyó un reto en su manejo por varios factores de mal pronóstico: inicialmente, los días de evolución desde la perforación, con una escala de gravedad de Pittsburgh de 9 puntos; y a esto se añade la ocurrencia de una segunda perforación esofágica, con colocación de nueva endoprótesis y finalmente el fallo de la endoprótesis inicial con su deslizamiento hacia el estómago y pérdida del recubrimiento siliconado. Todos estos factores llevaron al deceso de la paciente a pesar de todos los intentos terapéuticos por salvarla.










nueva página del texto (beta)


