Introduction
Stress cardiomyopathy (SCM), also known as Takotsubo syndrome or broken-heart syndrome, is a known form of acute left ventricular (LV) dysfunction that is often completely reversible, mimicking regional wall motion abnormalities seen in coronary artery disease, with the absence of angiographic evidence of coronary artery obstruction. Usually, the regional wall motion extends beyond the territory perfused by a single coronary artery. It presents as an acute coronary syndrome (ACS); therefore, acute myocardial infarction and also myocarditis are two important entities that must be ruled out when diagnosing SCM. Approximately 1-2% of patients presenting with an ACS may have SCM1,2. The true incidence of SCM is unknown, data from two large cohorts of patients report an incidence of approximately 15-30 cases per 100,000 per year in USA and Europe3,4.
Although SCM associates with serious complications that present early in its clinical course such as cardiogenic shock, pulmonary edema, LV outflow obstruction, ventricular arrhythmias, and thrombus formation; among patients with ACS, those who have SCM had a higher prevalence of pulmonary, rheumatologic, and endocrine disorders, but paradoxically a lower risk of death.
Several variants of SCM have been described, the classical or apical variant consists of a hyperkinetic LV base with focal apical akinesis resulting in apical ballooning and reduced ejection fraction. Other variants such as the inverted or basal pattern (circumferential basal hypokinesis and apical hypercontractility), the mid-LV variant (circumferential midventricular hypokinesis and both apical and basal hypercontractility), and the biventricular apical and right ventricular pattern have been described5-7.
Herein we present a prototype case in an elderly lady with the classical apical variant associated with syndrome of inappropriate antidiuretic hormone secretion (SIADH).
Case presentation
An 85-year-old female patient, smoker with TI of 60; with a past medical history of rapid atrial fibrillation electrically cardioverted in 2014, when severe aortic stenosis was diagnosed. At that time, percutaneous coronary intervention was performed with angioplasty and medicated stent placement over the marginal branch of the circumflex artery with a thrombosis in myocardial infarction (TIMI) flow grading system 3. Three weeks later she was treated with Transcatheter aortic valve replacement, having an embolic stroke to the left medium cerebral artery, with motor aphasia as a sequel.
In January 2018, she was readmitted with a painful displaced hip and failed osteosynthesis performed 3 weeks earlier after an intertrochanteric fracture.
On admission, she was unwell, with a heart rate of 85 beats/min, peripheral oxygen saturation of 93% breathing ambient air, respiratory rate of 22 breaths/min, and blood pressure of 130/70 mmHg. She had aphasia with difficulties findings words for expressive language but was able to communicate excruciating pain in the right hip that started a week after discharge from the hospital; it increased with any movement of the extremity. She had denied any cardiovascular symptoms since 2015; currently on aspirin, rosuvastatin, and bisoprolol.
Scheduled for surgery the next day; however, the pre-operative evaluation was carried out, finding sodium of 117 meq/L, urinary osmolality of 499 mOsm/L, urinary sodium of 57 meq/L, with normal glucose, blood urea nitrogen, creatinine, plasma cortisol, and TSH. A diagnosis of SIADH was done, surgery canceled and water restriction and furosemide prescribed. Twelve hours later, she started with sudden respiratory distress, generalized rales and oxygen desaturation. The surface electrocardiogram (EKG) showed ST-segment elevation from V1 to V3 and a previously known complete left bundle branch block (Fig. 1). Chest X-ray was compatible with acute pulmonary edema. She was treated with loop diuretics and admitted to the coronary care unit (CCU) to continue monitoring and noninvasive mechanical ventilation.

Figure 1 Electrocardiogram during the myocardiopathy; sinus tachycardia with a left bundle branch block, inferior ST segment descent, "J" point elevation in V1 inferior ST-segment descent, "J" point elevation -V3.
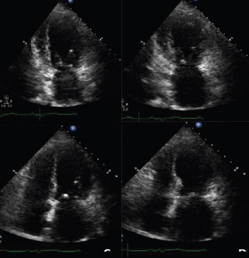
Transthoracic echocardiography (Figs. 2 and 3) showed akinesia in the middle and apical third of all walls with a LV ejection fraction (LVEF) of 30%, pulmonary systolic arterial pressure (PSAP) 45 mmHg and a normally functioning prosthetic aortic valve with a small paravalvular leak. It is important to highlight that the patient had an echocardiogram of November 2017, with normal contractility and LVEF of 70%.

Figure 2 Echocardiogram in 4-chambers view and 2-chambers view at systole and diastole showing the apical akinesia, and left ventricular ejection fraction 30%, with classical apical ballooning, during the cardiomyopathy.

Figure 3 Evolution by strain echocardiogram evaluation during and after the cardiomyopathy. (1) Normal, (2) hypokinesia, (3) akinesia.
Subsequent EKGs reported atrial fibrillation, and laboratory test BNP of 1900 pg/ml and negative ultrasensitive cardiac Troponin I; that increased in later days until it reached a peak of 608 ng/L to descend again (normal value 0.0-15.0).
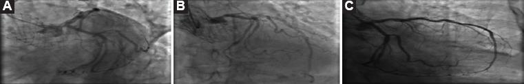
Cardiac catheterization was performed 6 days after admission, (Fig. 4) finding an anterior descending artery with calcified lesion with 60% severity, rest of the permeable vessel without significant lesions, TIMI flow grading system 3, circumflex with irregularities, stent in marginal branch with 40% neointimal hyperplasia TIMI 3 distal flow, left dominance, and non-dominant right coronary artery without lesions. Despite the findings, the lesion in the anterior descending artery does not coincide with the alterations found in the echocardiogram or the EKG, thus confirming the diagnosis of SCM or Takotsubo syndrome.

Figure 4 Cardiac catheterization. A: left anterior oblique caudal. B: AP cranial (anteroposterior). C: right anterior oblique caudal (right anterior oblique).
During her stay in the CCU, she was treated with noninvasive mechanical ventilation, water restriction, diuretics, and rosuvastatin. Echocardiogram on February 6 reported a left ventricle. Normal global contractility with a longitudinal systolic strain of -19% and LVEF 66%, moderate diastolic dysfunction and PSAP 40 mmHg. The patient was discharged from the hospital 14 days after admission without cardiovascular symptoms.
Discussion
The pathophysiology of SCM or Takotsubo syndrome is unknown, the syndrome was described in Japan in 1990. In Japanese, "Takotsubo" means "octopus pot," which describes the shape of the ventricle during systole. In México, the first case was reported by Gaspar and Gómez Cruz in 20048; from that day, only eight cases have been reported in México, none of them related to SIADH9-16. Ninety percent of all reported cases of SCM occurred in postmenopausal women; therefore, a protective effect of sex hormones has been postulated. Menopause results in exaggerate reactivity to stress through an autonomic surge in the absence of supplemental estrogens17.
The association of SCM and increasing levels of both emotional and physical stress acting as triggers have long been established. In this regard, continuous pain, anxiety, and inflammation suffered by the patient were also potent stimulus for the release of vasopressin by the neurohypophysis, where excess vasopressin became a clinical problem when there was a retention of water producing hypo-osmolality, which contributed to SIADH. The severity and velocity with which hypo-osmolality secondary to hyponatremia develops are likely to be a deciding factor for the occurrence of SCM, as chronic persistent hyponatremia is a less likely trigger18. Cardiac magnetic imaging suggesting myocardial edema has been reported in SCM, which could mean that some cell swelling attributed to hyponatremia could also induce myocardial damage and interfere with inotropism by modulation of cardiomyocyte Na+/Ca2+ exchange19,20.
The patient was diagnosed with SCM in accordance with the 2014 international Takotsubo syndrome diagnostic criteria21, the patient had clinical criteria and known epidemiological background such as age, gender, postmenopausal status, as well as stressors such as intense hip pain and anxiety; both of them known triggers for SCM; moreover, social and economic pandemic related-stress mechanism has been recently postulated as triggers, as there was an almost fourfold increase in the incidence of SCM during the COVID-19 pandemic in noninfected population when compared with prepandemic periods in two large hospitals22.
Although the pathophysiology of SCM remains poorly understood, the role of severe hyponatremia facilitating a catecholamine surge in the circulation postulates some kind of cardiotoxicity generating severe stunning of the myocardium due to microvascular alterations and spasm in the coronary arteries. Overwhelming adrenergic stimulation may shift the beta receptor from its stimulatory G protein-mediated pathway to an inhibitory G protein pathway, thereby decreasing cyclic adenosine monophosphate levels, calcium load, and myocardial contractility.
Clinical medicine is full of complex physical, psychosocial, and metabolic interactions that are here represented by this case of SCM; until we gather more data about the pathophysiology of SCM, the challenge for physicians will be the way they combine the set of reasoning strategies and diagnostic criteria that allow them to synthesize diverse data into a working diagnosis of ACS and SIADH and to advance it into the complex trade-offs between the risks and benefits of tests to differentiate SCM. The increasing availability of bedside ultrasonography/echocardiography in medical acute care settings, adopted by several major society guidelines, including critical care medicine, emergency medicine, and cardiology, will certainly help23,24.










nueva página del texto (beta)


