Introducción
La obesidad es una enfermedad crónica que asocia comorbilidad de difícil tratamiento1. La cirugía se considera actualmente como la mejor manera de lograr una pérdida de peso a largo plazo, y dentro de esta, el bypass gástrico laparoscópico (BGL) sigue siendo para muchos autores el método de referencia en cirugía bariátrica2.
Las hernias internas son la causa más frecuente de obstrucción intestinal en estos pacientes en el seguimiento a largo plazo3. Se deben a la protrusión de asas intestinales a través de los defectos mesentéricos generados en la reconstrucción en Y de Roux durante el bypass gástrico2. La incidencia en la técnica laparoscópica oscila entre el 0.5 y el 11%4. La presentación clínica suele ser inespecífica, lo que puede conllevar una importante morbilidad e incluso mortalidad. Puede aparecer en cualquier momento del posoperatorio, pero es más frecuente entre el primer y el segundo años tras la cirugía5, al tratarse del periodo con mayor pérdida de peso y rápida disminución de la grasa mesentérica6.
En la técnica antecólica de la Y de Roux se pueden generar dos defectos mesentéricos que suponen localizaciones de riesgo para presentar una hernia interna5. El primero se corresponde con el defecto originado tras la interrupción del mesenterio en el lugar de la anastomosis yeyuno-yeyunal, y el segundo se conoce como espacio de Petersen y está delimitado por el mesenterio del asa alimentaria y el mesenterio del colon transverso7. El cierre de estos defectos durante la cirugía como medida preventiva de hernias internas continúa siendo motivo de debate, pero se sugiere una menor incidencia en los casos de cierre primario de los defectos mesentéricos2.
El objetivo del presente trabajo es presentar el caso de una hernia del espacio de Petersen tras BGL con resolución quirúrgica satisfactoria.
Caso clínico
Varón de 45 años con antecedentes de hipertensión arterial, resistencia a la insulina, síndrome de apnea obstructiva del sueño grave en tratamiento con presión positiva continua en las vías respiratorias domiciliaria y en seguimiento por depresión. Había sido intervenido previamente de hernia discal en dos ocasiones (artrodesis L5-S1) y de rotura meniscal en la rodilla derecha. Se sometió a un BGL antecólico 11 meses antes (índice de masa corporal [IMC] inicial de 44.3), con cierre de los defectos mesentéricos creados durante la cirugía. Tras un posoperatorio con buena evolución y pérdida de 55 kg (IMC de 25,7), consultó al servicio de urgencias por dolor abdominal recurrente y difuso de varias horas de evolución, que se inició en el mesogastrio y fue aumentado de intensidad, acompañándose de cortejo vegetativo. Había presentado un episodio de vómito el día anterior.
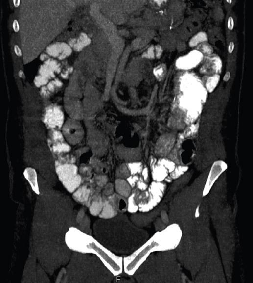
A la exploración, el paciente se encontraba en postura antiálgica, con un abdomen doloroso a la palpación en el mesogastrio, sin distensión ni signos de irritación peritoneal. En la analítica sanguínea se apreciaba neutrofilia (78.5%) sin leucocitosis ni otras alteraciones. Se realizó una tomografía computarizada (TC) de abdomen-pelvis con contraste intravenoso en la que, a nivel del pie de asa, se identificó una angulación y una disminución de calibre de un segmento de intestino delgado en el hipocondrio izquierdo (Fig. 1), junto a signos indirectos de hernia interna, como el «arremolinamiento» de los vasos del meso (Fig. 2). Se practicó una laparoscopia exploradora urgente, en la que se halló una herniación de la casi totalidad del asa alimentaria a través del ojal mesentérico de Petersen (Fig. 3) y un ojal mesentérico del pie de asa de mediano tamaño (Fig. 4). Se realizó reducción del segmento de asa herniado y cierre del ojal con sutura barbada de polipropileno 2/0, y cierre del ojal mesentérico del pie de asa con la misma sutura.

Figura 1 Tomografía computarizada abdomino-pélvica con contraste intravenoso (corte axial) en la que se aprecia, a nivel del pie de asa, una angulación y una disminución de calibre de un segmento de intestino delgado en el hipocondrio izquierdo.

Figura 2 Tomografía computarizada abdomino-pélvica con contraste intravenoso (corte coronal) en la que se evidencia rotación de los vasos mesentéricos en sentido antihorario, lo que junto a los hallazgos de la figura 1 sugiere la existencia de una hernia interna.
Tras la intervención el paciente presentó una evolución favorable, con buena tolerancia oral a partir del segundo día de posoperatorio, y fue dado de alta hospitalaria el tercer día después de la intervención quirúrgica.
Discusión
A pesar de las ventajas de la cirugía laparoscópica, en el BGL con reconstrucción en Y de Roux se aprecia una mayor incidencia de hernias internas en comparación con la cirugía abierta, debido a la menor formación de adherencias2. Esto favorece la libre movilidad de las asas intestinales y la posibilidad de su desplazamiento a través de los orificios herniarios originados en la cirugía3. Otros factores que se relacionan con su aparición son la pérdida de peso, el adelgazamiento de los mesos del intestino delgado y del colon, y la falta de cierre de los defectos creados1.
Respecto a los espacios generados con riesgo de aparición de una hernia interna, el espacio de Petersen es la localización más frecuente2. Este espacio fue descrito por el cirujano alemán Walther Petersen en 1900 durante los inicios de la cirugía de la úlcera péptica, pero en la actualidad ha recobrado interés debido al auge del BGL. El espacio se crea entre el asa alimentaria ascendida y el mesocolon transverso durante una reconstrucción antecólica en Y de Roux. Cuando las asas intestinales pasan a través del defecto se produce un tipo de hernia interna, conocida como hernia de Petersen. La evidencia ha demostrado que el cierre de este espacio no garantiza que se evite la aparición de una hernia interna, pero parece disminuir su incidencia8.
La presentación clínica es totalmente inespecífica, por lo que suele diagnosticarse por sus complicaciones (obstrucción intestinal o peritonitis). Así pues, es necesario un alto grado de sospecha acerca de su presencia para evitar un diagnóstico tardío que pueda resultar en necrosis intestinal8, como el caso descrito por Reiss y Garg9 de una paciente de 36 años intervenida 4 años antes de un BGL.
La presentación aguda se manifiesta como dolor abdominal difuso o localizado (sobre todo en el mesogastrio y el hemiabdomen izquierdo), constante o intermitente, asociado o no a vómitos y otros síntomas10. Además, se puede presentar como un cuadro crónico de dolor recurrente posprandial o reflujo enterogastroesofágico2. El dolor suele ser intenso y autolimitado, pero en nuestra opinión, ante un paciente intervenido de BGL que presenta episodios recurrentes de dolor abdominal, se debe incluir siempre en el diagnóstico diferencial la hernia de Petersen, incluso con pruebas radiológicas negativas.
En este contexto, una vez descartadas otras afecciones como colelitiasis, pancreatitis aguda y úlcera de la boca anastomótica, se deben realizar estudios radiológicos (TC abdominal con contraste)3. Dentro de los signos radiológicos típicos de la hernia interna se incluye el arremolinamiento mesentérico de los vasos y de la grasa de la raíz del mesenterio, la ingurgitación de los vasos mesentéricos, la disposición del intestino delgado por detrás de la arteria mesentérica superior, la presencia de la anastomosis yeyuno-yeyunal a la derecha del asa alimentaria y el desplazamiento hacia anterior y a la derecha del ligamento de Treitz11. En nuestro caso, en la TC se apreciaba una rotación de los vasos mesentéricos en sentido antihorario.
Siempre que se sospeche una hernia interna, aunque las exploraciones complementarias no sean concluyentes, está indicada una laparoscopia exploradora con el objetivo de identificar las brechas mesentéricas, reducir del intestino herniado evaluando su vitalidad y cerrar los defectos mesentéricos con sutura no reabsorbible8. Todos estos pasos se llevaron a cabo en el paciente que presentamos.
El cierre de los defectos herniarios es un tema de controversia en la literatura, pero se recomienda su cierre con suturas no reabsorbibles para crear las adherencias necesarias para el buen cierre mesentérico cuando el paciente pierda peso1. Así, en un ensayo clínico aleatorizado realizado por Stenberg, et al.12 con 2507 pacientes intervenidos de BGL se encontró una incidencia de hernia interna del 2.2% en aquellos a quienes se había realizado el cierre de los espacios mesentéricos y del 7.2% en aquellos sin cierre. Sin embargo, en el estudio realizado por Turchi, et al.2 no se evidenció una mayor incidencia de hernias internas tras no cerrar los defectos mesentéricos de forma primaria. En nuestro caso, el cierre de los ojales con sutura no reabsorbible (seda 3/0) se demostró insuficiente para evitar la reaparición de los orificios herniarios. Probablemente, un polipropileno de mayor grosor hubiera ofrecido mayores garantías.
Conclusiones
Ante pacientes sometidos a bypass gástrico con dolor abdominal inespecífico es necesario tener en cuenta la posibilidad de una hernia interna. Se trata de una emergencia quirúrgica, por lo que, si existe un alto índice de sospecha, aunque las exploraciones complementarias no resulten concluyentes, estaría indicada una laparoscopia exploradora durante la que se reducirían las asas intestinales herniadas y se cerrarían los defectos mesentéricos.
A pesar de que existen estudios en los que no se ha observado una mayor incidencia de hernias internas en los pacientes sin cierre primario de los orificios mesentéricos, se recomienda su sutura de forma continua con material no reabsorbible para disminuir la posibilidad de que se produzcan.










nueva página del texto (beta)




