Introducción
Los PEComas (o tumores de células neoplásicas perivasculares epitelioides) constituyen una familia de tumores de reciente clasificación. La OMS los considera tumores mesenquimales de células epitelioides perivasculares con una histología e inmunohistoquímica distintivas. En la década de 1990 se agruparon por primera vez como entidad diferenciada y se observaron en un principio en los tumores de células claras del pulmón y los angiomiolipomas. Con posterioridad se han relacionado también con la linfagiomiomatosis y un amplio y diverso número de tumores viscerales, de tejidos blandos y óseos. También se ha observado una conexión entre esta familia de tumores y la esclerosis tuberosa.
En el plano macroscópico, los PEComas evolucionan habitualmente como masas en crecimiento, no infiltrativas y a menudo con focos hemorrágicos en su interior. Presentan vasos de gran calibre y tortuosos en el espesor de la neoplasia.
En términos microscópicos, la presencia de células epitelioides es típica y se disponen siempre en la muscular del vaso, comprometen su luz y reemplazan al tejido muscular liso normal y al colágeno. Asimismo, se pueden observar células fusiformes o células con acúmulos de lípidos, lo que hace algunas veces difícil el diagnóstico diferencial con otros tumores, por ejemplo los tumores del músculo liso, los carcinomas y los tumores adipocíticos1.
En fecha reciente se ha observado una tendencia de ciertos PEComas a convertirse en malformaciones malignas dado que poseen la capacidad de infiltrar y metastatizar. Se ha establecido una serie de criterios para sospechar una naturaleza maligna, incluidos el tamaño del tumor > 5 cm, el patrón infiltrativo de crecimiento, la presencia de núcleo grande e hipercrómico, la necrosis tumoral y la actividad mitótica > 1/50 replicaciones por campo. Se considerarían malignos los PEComas que tuvieran dos o más de estas características2.
El tratamiento óptimo de este tipo de tumores, dada su baja incidencia, es todavía una incógnita.
Caso clínico
Se presenta el caso de una mujer de 50 años, diabética, con mal control de la glucemia y dislipémica, que ingresó en el servicio de medicina interna por fiebre alta de 10 días de evolución, con repercusión del estado general (bacteriemia), dolor en fosa renal derecha y clínica miccional. En este contexto, al sospechar una pielonefritis aguda de causa obstructiva, se solicitó una ecografía abdominal que identificó una lesión ocupante de espacio (LOE) hepática de 8.9 x 9.4 cm en el segmento VI. Dicha LOE se describió como isoecogénica, redondeada y bien definida con una cápsula fina hiperecogénica, con imágenes puntiformes hipodensas en su espesor y con clara vascularización intralesional.
Durante el ingreso se realizó un estudio completo de la lesión mediante resonancia magnética (RM) hepática dinámica (Fig. 1), que delineó la lesión y se determinó que presentaba características consistentes con adenoma hepático de 9.6 x 9.6 x 9.3 cm de tamaño. La realización de una colonoscopia, una gastroscopia y una tomografía computarizada (TC) de extensión no detectó otras alteraciones adicionales. La unidad de los autores valoró a la paciente y la programó para una hepatectomía laparoscópica del segmento VI, dados el tamaño de la lesión, el riesgo de sangrado y la malignización, que se practicó sin incidencias.
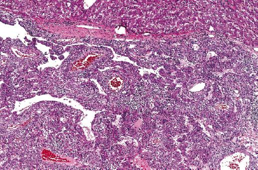
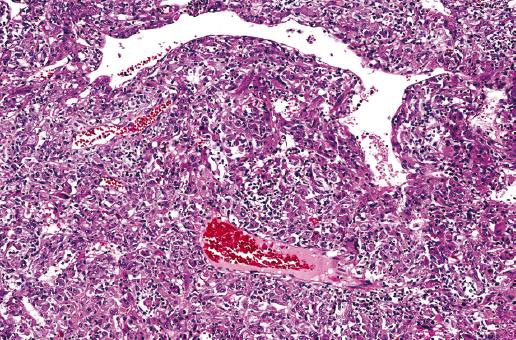
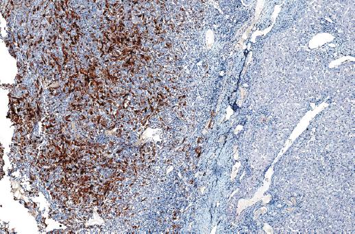
La enferma recibió el alta al quinto día postoperatorio sin ninguna complicación. El resultado de la anatomía patológica mostró la existencia de un PEComa (angiomiolipoma epitelioide monotípico) mayor de 10 cm, con presencia de extensas áreas de necrosis en su interior y ausencia de permeación vascular. En el plano microscópico, la neoplasia se encontraba separada del hígado por una seudocápsula fibrosa, y estaba constituida por células epitelioides, poligonales, algunas veces fusiformes, y dispuestas de forma perivascular. Dichas células presentaban abundante citoplasma eosinófilo, claro de modo ocasional, con núcleos vesiculares grandes y atípicos, y nucléolo predominante (Figs. 2 y 3), signos típicos de este tipo de tumores. Se realizó inmunohistoquímica, también consistente con PEComa: positivo para vimentina, AML, HMB45 (Fig. 4) y Melan-A (Fig. 5), y negativo para proteína S100 y desmina. Se determinó a su vez el índice proliferativo mediante Ki67, que fue del 10%.
Dadas las características que presentaba el tumor (tamaño tumoral > 10 cm, extensas áreas de necrosis y bordes expansivos), contaba con factores de mal pronóstico. Se planificó un seguimiento estrecho en consultas externas de esta paciente mediante pruebas de imagen cada seis meses durante los primeros dos años y de forma anual después.
Discusión
Los PEComas hepáticos son una entidad rara. En la actualidad sólo hay 24 referencias de este tumor en las publicaciones médicas, y alrededor de 33 casos notificados, de los cuales sólo cuatro presentaron características de malignidad e incluso metástasis a distancia. Estos tumores, aunque pueden aparecer en cualquier localización anatómica, suelen hallarse en los riñones o el útero. Parecen predominar en pacientes mujeres de 30 a 50 años, si bien pueden diagnosticarse a cualquier edad.
El diagnóstico del PEComa antes de la operación es muy difícil debido a la similitud de su apariencia en pruebas de imagen respecto de otras lesiones hepáticas, en particular el adenoma. Su diagnóstico es casi siempre incidental en la pieza quirúrgica, ya que no causan síntomas. Si existe una sospecha preoperatoria es aconsejable la realización de una biopsia de la lesión hepática3,4.
Hoy en día se sabe poco del tratamiento de este tipo de tumores, en virtud de su rareza. La mayoría de PEComas se considera benigna. Sin embargo, hay ciertas características histológicas que llevan a sospechar una naturaleza maligna ante una neoplasia de esta familia de tumores. En este subgrupo de riesgo está indicada la resección quirúrgica de la lesión con márgenes libres de enfermedad y el seguimiento estrecho para documentar posibles recidivas locales e incluso lesiones metastásicas.
En el caso de establecer un diagnóstico preoperatorio e identificar un tumor grande (irresecable de modo inicial), se consideran en la actualidad nuevos tratamientos neoadyuvantes para favorecer la posibilidad de resección. La administración de un inhibidor de la mTOR como sirolimus ha demostrado ser efectiva en angiomiolipomas y hasta el momento se ha usado en un caso de PEComa hepático para conseguir una resección R0, con buenos resultados5-7. Otra opción en vías de investigación es la radioterapia neoadyuvante. En el trabajo de Kirste, et al., fue posible la reducción del tamaño tumoral de un PEComa hepático mediante la administración de ocho sesiones de radioterapia estereotáctica con 7.5 Gy, sin complicaciones8.










nueva página del texto (beta)







