Introducción
La necrosis avascular (NAV) de la cabeza femoral es un tipo de osteonecrosis aséptica causada por la interrupción del flujo sanguíneo a la cabeza femoral, lo que ocasiona la muerte celular de los osteocitos.1 Este proceso patológico puede llevar a la degeneración y colapso de la cabeza femoral, causando dolor significativo e incapacidad funcional.
La edad promedio de presentación es aproximadamente a los 47 años de edad, con una relación hombre:mujer de 3:1.2 En los Estados Unidos más de 10,000 nuevos pacientes se ven afectados por la enfermedad cada año, representando hasta 10% de las artroplastías totales de cadera.3
La etiología de la necrosis avascular se divide en dos grupos: traumáticos y no traumáticos. En el primer grupo, la isquemia es secundaria a un traumatismo que ocasiona fractura o luxación que causa lesión vascular. En el segundo grupo, las lesiones vasculares pueden originarse por obstrucción intravascular patológica (microémbolos lipídicos o gaseosos, estado de hipercoagulabilidad), compresión extravascular (hipertrofia de adipocitos medulares, edema intramedular, proliferación intramedular) o daño celular a los osteocitos (citotoxicidad por drogas o alcohol).4
Los factores de riesgo más estudiados son la administración de corticoides y el consumo de alcohol. Inducen la vasoconstricción e incrementan la producción de factores procoagulantes. También aumentan la adipogénesis, disminuyen la osteogénesis y regulan a la baja la reparación y remodelación óseas a través de la producción de émbolos grasos, ocasionando un síndrome compartimental intraóseo.2
La presentación clínica inicialmente es asintomática, suelen desarrollar dolor en pliegue inguinal irradiado a la rodilla o glúteo ipsilateral. En el examen físico, presentan limitación de los arcos de movilidad, especialmente a la rotación interna forzada. Se sospecha en pacientes con dolor a nivel del pliegue inguinal, radiografías normales y factores de riesgo como corticoides o alcohol. Se presenta de manera bilateral hasta en 70% de los casos.5
El diagnóstico se basa en hallazgos clínicos y estudios de imagen. En las radiografías se puede observar el «signo de la media luna», el cual indica colapso subcondral; mientras que la captación de tecnecio-99m revela el «signo de la dona», que indica aceleración del recambio óseo. La resonancia magnética (RM) es el estándar de oro, demostrando cambios en la médula ósea, el tamaño y localización del área necrótica, el efecto sobre el cartílago acetabular y la profundidad del colapso.6
La clasificación más utilizada es el sistema cuantitativo de Steinberg. Esta clasificación incluye seis etapas que evalúan el grado de compromiso de cada etapa. Permite distinguir entre una etapa leve (menos de 15% de afectación de la cabeza femoral en radiografía); moderada (15-30% de afectación de la cabeza femoral) y severa (más de 30% de afectación de la cabeza femoral).1,7 Es importante evaluar el riesgo de progresión para determinar el tratamiento adecuado. Aunque no existe un consenso establecido, los factores de riesgo de colapso son un mayor volumen de lesión, necrosis en más de 40% de la superficie de carga y un radio de necrosis superior a 200 a 250.8
En las etapas iniciales de la necrosis avascular de la cabeza femoral, se puede considerar el tratamiento conservador, restringiendo la carga de peso para retrasar la progresión. Farmacológicamente, se han propuesto varios agentes, incluidos bisfosfonatos, estatinas y vasodilatadores, aunque la evidencia científica aún no es concluyente. Terapias adicionales como la terapia de ondas de choque extracorpóreas (ESWT) y la oxigenoterapia hiperbárica han mostrado resultados prometedores en la reducción del dolor y mejora de la densidad ósea, pero se necesitan más estudios para confirmar su eficacia.1,2
El tratamiento quirúrgico se basa en procedimientos de preservación articular, como la descompresión central ósea y los injertos óseos vascularizados y no vascularizados, los cuales restauran la estructura y circulación de la cabeza femoral. Otra alternativa es la realización de osteotomías. La terapia con células madre carece de evidencia científica. La artroplastía total de cadera se reserva para etapas avanzadas.1,2
Los cambios o defectos acetabulares de la articulación se empiezan a observar en etapas avanzadas de la enfermedad, etapa 4 de acuerdo a la clasificación de Ficat y Arlet,2 y a partir de la etapa 5 conforme a la clasificación de Steinberg, siguiendo el curso natural de la enfermedad desarrollando cambios degenerativos articulares avanzados.1 El tratamiento de los cambios acetabulares se basa en la extensión del defecto óseo.9 Existen técnicas quirúrgicas cementadas y no cementadas para reconstrucción acetabular, como el componente acetabular no cementado con autoinjerto óseo, el bloqueo de aloinjerto estructural, las megacopas y copas oblongas, los anillos de reforzamiento, las jaulas óseas, las aumentaciones metálicas porosas, las construcciones acetabulares triflangulares y la distracción acetabular.10
El objetivo del presente trabajo es mostrar el resultado exitoso de un caso de reemplazo articular total de cadera con una técnica poco utilizada como la malla de titanio y la impactación de injerto óseo en el contexto de un caso de necrosis avascular de la cabeza femoral.
Presentación del caso
Paciente masculino de 54 años que cuenta con antecedente de artroplastía total de cadera izquierda 13 años atrás por necrosis avascular secundaria a alcoholismo, la cual cursa sin complicaciones hasta la actualidad. El paciente refiere inicio de padecimiento actual con dolor a nivel de pliegue inguinal derecho, de 10 años de evolución, de intensidad 9/10 en la escala visual analógica (EVA), que se ha tornado progresivo, que se exacerba a la movilización y la deambulación y se atenúa con el reposo, actualmente considerado incapacitante, requiriendo uso de bastón monopodal como auxiliar de la marcha y refiriendo claudicación.
Se observa un acortamiento de aproximadamente 2.5 cm en comparación con la contralateral. Dolor a la palpación a nivel de pliegue inguinal. Los arcos de movilidad de la cadera se encontraban limitados y con dolor, mientras que la fuerza por grupos musculares de cadera se presentaba únicamente con resistencia parcial (4/5 de acuerdo a la escala de Daniels). El examen neurovascular es normal. Las maniobras de log roll y Patrick fueron positivas.
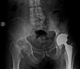
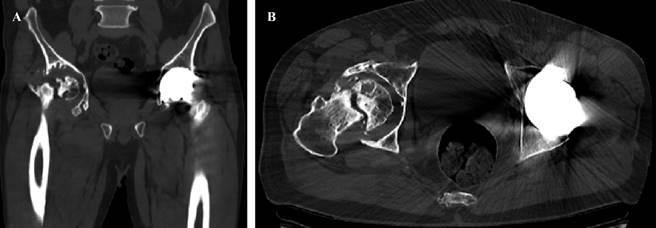
Se realiza radiografía anteroposterior (AP) de pelvis donde se observa pérdida de la esfericidad de la cabeza femoral, presencia de osteofitos, esclerosis con colapso subcondral, disminución del espacio articular, todo compatible con cambios degenerativos avanzados que se acompañan de cambios acetabulares secundarios a la osteonecrosis. En la cadera izquierda se observan componentes protésicos acetabular y femoral adecuadamente colocados y orientados, sin datos de interfaz, lisis o aflojamiento (Figura 1). Para identificar adecuadamente la morfología femoral y acetabular, se toma tomografía computarizada donde se aprecian múltiples quistes subcondrales, así como defecto óseo contenido, con pérdida considerable de hueso esponjoso principalmente de la pared posterior (Figura 2).

Figura 1: Radiografía anteroposterior de pelvis en la que se observa cadera derecha con colapso de la cabeza femoral, abundantes osteofitos, datos de esclerosis y presencia de quistes subcondrales. La cadera izquierda se observa con material protésico adecuadamente colocado, sin datos de rotura ni fatiga.

Figura 2: Tomografía computarizada simple de pelvis para precisar características del defecto acetabular derecho. A) corte coronal en el que se observa defecto acetabular con presencia de múltiples quistes subcondrales. B) corte axial en el que se evidencia defecto acetabular predominantemente de la pared posterior y compromiso parcial de la columna posterior.
Se decidió llevar a cabo tratamiento quirúrgico que consistió en colocación de malla de titanio (Figura 3), la cual se fijó con dos tornillos de 1.5 × 1.0 cm para cubrir defecto acetabular, además de impactación de autoinjerto y aloinjerto cadavérico (ambos de cabeza femoral) (Figura 4) más colocación de artroplastía total de cadera derecha con componentes acetabular y femoral no cementados.

Figura 3: Malla de titanio para colocar y fijar con tornillos posterior a la impactación del injerto óseo.

Figura 4: A la izquierda, aloinjerto cadavérico de cabeza femoral y, a la derecha, cabeza femoral del paciente para utilizarse como autoinjerto. Ambas antes de morcelizar y colocar en defecto acetabular.
La artroplastía total de cadera se realizó con una prótesis con sistema DePuy Synthes de Johnson & Johnson (Warsaw, IN, USA) con una copa acetabular no cementada Pinnacle Porocoat Acetabular Shell Multi-Hole II de 58 mm, la cual se fija con tres tornillos de 6.5 × 20,2 y 30 mm,1 inserto de polietileno de 32 mm, cabeza femoral metálica de 32 mm +1 y vástago femoral no cementado Summit 12/14 estándar #1 de 125 mm. El reemplazo articular se llevó a cabo por medio de un abordaje lateral directo donde, previo a la colocación del componente acetabular, se impacta autoinjerto y aloinjerto de cabeza femoral con el apoyo de la rima acetabular en sentido reverso para posteriormente colocar malla de titanio (Figura 5). La herida se cubre con un apósito convencional estéril y se toma control radiológico postquirúrgico con una proyección anteroposterior de pelvis (Figura 6).

Figura 5: Malla de titanio colocada en defecto acetabular posterior a la impactación del injerto óseo mediante un abordaje lateral directo.

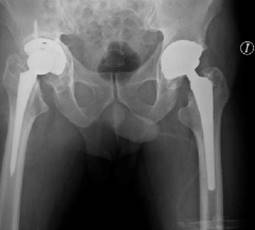
Figura 6: Radiografía anteroposterior de pelvis con resultado postquirúrgico de artroplastía total de cadera derecha posterior a impactación de injerto óseo y malla acetabular.
Durante el período postoperatorio, el paciente permaneció cuatro días hospitalizado, restringiendo el apoyo con peso de la extremidad pélvica derecha en todo momento y realizando traslados al reposet para favorecer la movilización continua y la liberación de puntos de presión. El paciente fue dado de alta clínica y hemodinámicamente estable, sin necesidad de transfusión de hemoderivados.
Durante su seguimiento en el período postoperatorio (6-12 semanas), el paciente continúa sin apoyo hasta la semana 4, en el cual comienza con apoyo completo a tolerancia aún acompañado de andadera como auxiliar de la marcha. Se lleva a cabo control radiológico a las cuatro y a las ocho semanas observando adecuadamente todos los componentes protésicos sin datos de osteólisis o aflojamiento. Actualmente se encuentra realizando actividades de la vida diaria con ligera limitación debido a la claudicación ocasionada por la incisión en el glúteo medio; sin embargo, expresó una gran satisfacción con el resultado funcional del procedimiento.
Discusión
La osteonecrosis de la cabeza femoral es una condición médica devastadora que afecta a pacientes entre la tercera y quinta décadas de la vida; usualmente su evolución natural progresa a colapso de la cabeza femoral, requiriendo como método terapéutico de elección la artroplastía total de cadera.11
En nuestro caso, la etiología de la necrosis es el consumo crónico de alcohol, el cual se ha identificado como uno de los principales factores de riesgo para desarrollar esta enfermedad.12 Como hasta en 70% de los casos de necrosis avascular de la cabeza femoral,5 el nuestro también se presentó de forma bilateral, motivo por el cual acude con nuestro equipo contando con el antecedente de artroplastía total de cadera izquierda años atrás.
Dentro del abordaje diagnóstico se toman radiografías anteroposteriores de pelvis y tomografía computarizada para definir las características precisas del defecto acetabular. En este caso no se solicita resonancia magnética, debido a que este estudio se reserva para casos en etapas tempranas, en los que existe la sospecha clínica mediante interrogatorio y exploración física con radiografías normales.13
La mejor opción de tratamiento en nuestro caso es el reemplazo articular, ya que nuestro paciente se encuentra en estadios avanzados de la enfermedad, presentando aplanamiento de la cabeza femoral y cambios artrósicos en la articulación, incluidos cambios acetabulares.14 El tratamiento no quirúrgico se reserva principalmente para etapas tempranas de la enfermedad sin antecedente de trauma. Usualmente, estos pacientes corresponden a los estadios con estudios de imagen normales o con cambios únicamente identificables por resonancia magnética.2 Por otro lado, hablando del tratamiento quirúrgico, nuestro paciente no es candidato a procedimientos que puedan preservar la cabeza femoral, ya que, al existir colapso del hueso subcondral, la única alternativa viable es llevar a cabo un reemplazo articular total.15
La artroplastía total de cadera ha probado ser un tratamiento costo efectivo que puede restaurar rápidamente la función de la articulación, aliviar el dolor y mejorar de forma importante la calidad de vida del paciente.16 La restauración de la masa ósea es fundamental para la reconstrucción del acetábulo, ya que permite asegurar la estabilidad del componente protésico.17 El manejo de los defectos acetabulares es importante para reconstruir el centro de rotación de la cadera y proveer estabilidad inicial a los componentes protésicos. Los métodos para reconstruir el acetábulo incluyen las copas jumbo, el uso de un centro de rotación más alto para evadir el defecto, anillos especiales de reconstrucción, aumentos metálicos porosos modulares e injerto óseo en gran volumen o morcelizado.18 La reconstrucción mediante injerto óseo es la única opción que restaura el remanente óseo. Este injerto puede ser autólogo o heterólogo y colocarse de forma estructural con resultados inciertos19 o en forma de injerto impactado. Una opción descrita es el uso de la cabeza femoral en forma de autoinjerto o aloinjerto fresco congelado, el cual se morceliza en pequeñas piezas de hueso esponjoso, para posteriormente ser impactados dentro del defecto antes de colocar el componente acetabular primario o de revisión.20 Los defectos cavitarios pueden ser manejados con impactación ósea únicamente; sin embargo, los defectos segmentarios o combinados usualmente requieren implantes complementarios como mallas metálicas, anillos o jaulas que cierren el defecto periférico y conviertan un defecto no contenido en un defecto contenido.19
De acuerdo con el estudio retrospectivo de Li y colaboradores, la colocación de injerto óseo impactado en combinación con el uso de malla de aleación de titanio tiene resultados satisfactorios desde el punto de vista funcional y radiológico, en el contexto de defectos acetabulares en cirugía de revisión de artroplastía total de cadera;21 sin embargo, también mencionan que se requieren estudios a mayor escala que permitan dilucidar los resultados a largo plazo. De igual manera, existen estudios que evalúan el uso de impactación de injerto óseo en artroplastía total de cadera primaria, los cuales reportan buenos resultados con 40% de los pacientes presentando una mejoría en la escala Harris Hip de más de 50 puntos y una integración completa del injerto en 70% de los casos. Todos los pacientes presentaron retrabeculación y remodelación. Los factores que se asociaron con incorporación completa del injerto fueron la cirugía primaria, el uso de autoinjerto, las copas no cementadas, defectos acetabulares contenidos y el menor tamaño en grosor de la capa de injerto.22 Mozafari y asociados reportaron una tasa de 96.5% de incorporación completa del injerto en pacientes con displasia de cadera con un defecto acetabular mayor a 30% que fueron sometidos a impactación con autoinjerto y artroplastía total de cadera no cementada con un seguimiento promedio de 93.3 meses.23
En nuestro caso se utilizó una copa no cementada; D’Apolito y su equipo realizaron una revisión en la que se argumenta que el uso de copas no cementadas con las nuevas coberturas de superficie con tecnología de tantalio y alta porosidad de titanio ofrecen cambios biológicos que toman lugar en el injerto durante el período postoperatorio.24 Mientras que el fenómeno de integración tipo «ingrowth» se promueve por el sangrado del hueso hospedero, la integración tipo «ingrowth» a través de injerto morcelizado probablemente tome años en ocurrir.25 Por ello, como en nuestro caso, el contacto de al menos 25-30% entre la copa y el hueso hospedero es esencial para la integración de una copa no cementada.26
Park y colaboradores realizaron un estudio en el que compararon la artroplastía total de cadera cementada contra no cementada de componentes acetabular y femoral en pacientes con osteonecrosis de la cabeza femoral. Concluyen que el riesgo de cualquier revisión que incluya la copa acetabular o el vástago femoral fue notablemente más alta en pacientes en los que se utilizó la técnica cementada,27 teniendo como resultado una mayor tasa de supervivencia del implante en pacientes con técnica no cementada.
En este caso se decidió no iniciar algún tipo de apoyo con peso de la extremidad pélvica operada durante la estancia hospitalaria y comenzar con apoyo completo a tolerancia a las cuatro semanas del período postquirúrgico, una vez completado el proceso de osteointegración del componente protésico, el cual dura típicamente de cuatro a seis semanas.21,28
La aplicación de aloinjerto y autoinjerto óseo en combinación con una malla de aleación de titanio representa una opción para pacientes con defectos óseos acetabulares con buenos resultados funcionales y radiológicos; sin embargo, no existen estudios que hablen de indicaciones óptimas en comparación con algún otro tipo de reconstrucción.21
Conclusiones
La necrosis avascular de la cabeza femoral es una entidad que presenta amplio espectro clínico y alto grado de complejidad en cuanto a su abordaje diagnóstico y manejo terapéutico. En etapas avanzadas y con cambios artrósicos evidentes, el reemplazo articular total representa el tratamiento de elección, el cual debemos individualizar en cada caso para identificar factores que pueden representar algún obstáculo dentro del procedimiento quirúrgico. En casos complejos en los que la necrosis avascular ha condicionado un defecto acetabular importante, debemos hacer uso de todas las opciones terapéuticas existentes para poder llevar a cabo una adecuada reconstrucción. Esto incluye recursos válidos y con evidencia como la malla acetabular de titanio y la impactación con injerto, lo cual confiere una ventaja biológica y mecánica al constructo. Conocer este tipo de opciones terapéuticas poco utilizadas nos ayuda como cirujanos ortopedistas a poder extender nuestro arsenal terapéutico en pro de la buena funcionalidad de los pacientes. A pesar de los avances en el manejo ortopédico, todavía queda la necesidad de poder estandarizar y desarrollar indicaciones precisas para el uso de ciertos implantes y aún más en el contexto de pacientes con defectos importantes como aquellos con necrosis avascular de la cabeza femoral.










nueva página del texto (beta)


