Introduction
Patellofemoral instability (PFI) is a complex condition that often follows traumatic patellar dislocation and affects one-third of individuals with below-knee amputations.1,2,3,4,5 The causes include a high-riding patella, trochlear dysplasia, and insufficiency of the medial patellofemoral ligament.6 A high-riding patella may result from gradual elongation of the patellar tendon due to prosthesis support, and trochlear dysplasia may be due to reduced use and mechanical loading during limb flexion.4,5,7
Anatomical reconstruction of the medial patellofemoral complex has become popular for treating PFI in the last 20 years, but there is limited information on its results in patients with transtibial amputations and PFI.6,7,8 In this study, we report the successful treatment of a patient with PFI and transtibial amputation through distal realignment and patellar stabilization using the reconstruction of the medial patellofemoral complex.
Case report
A 19-year-old male patient with a history of congenital intrauterine right transtibial amputation due to amniotic band syndrome (Streeter’s syndrome) was seen in the clinic. Genetic studies were normal, and the patient had a significant surgical history, including a lateral right proximal plate tibial hemiepiphysiodesis in 2014 to correct tibia vara. The patient presented with pain and patellar instability of the right knee. The patient reported experiencing instability for the past four years and multiple episodes of patellar dislocation, leading to pain and difficulty in using his prosthesis. Despite this, he walked without difficulty and engaged in regular physical activity.
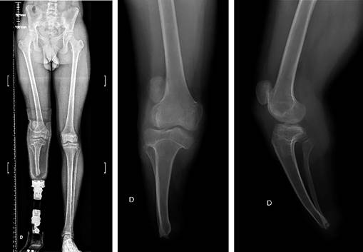
Physical examination revealed knee range of motion from 0o to 90o, altered patellar tracking, quadriceps atrophy, a positive «J» sign, and a highly positive apprehension test. Radiographic examination revealed a high-riding patella with a Caton-Deschamps index of 1.38 (normal range 0.6-1.3) and lateral displacement (Figure 1). Trochlear and tibial plateau dysplasia were observed (Figure 2). Magnetic resonance imaging revealed severe trochlear dysplasia (Dejour type C) and a laterally displaced and tilted patella. The tibial tuberosity-trochlear groove distance (TT-TG) was 18.7 mm on magnetic resonance imaging (MRI).9 The study also indicated elongation of the MPFL and absence of cartilaginous damage. After failed conservative management, involving adaptive adjustments to the prosthesis, a decision was made with the patient to undergo patellofemoral stabilization.

Figure 1: Long leg X-ray film showing limb alignment, and anteroposterior and lateral views of the right knee.

Figure 2: Comparative radiographs in the amputee leg and normal knee (upper and lower images, respectively).
Surgical technique:
The patient was placed in a supine position under general anesthesia. Knee arthroscopy was performed through standard parapatellar portals to assess trochlear dysplasia and the integrity of the patellar cartilage, menisci, and cruciate ligaments. Subsequently, an approximately 4 cm vertical incision was made at the tibial tuberosity, and a complete tibial tubercle osteotomy (TTO) with distalization and medialization was performed (Figure 3). The osteotomy was fixed in its new position using three cannulated screws.
Following the TTO, we conducted an anatomic reconstruction of the medial patellofemoral complex (MPFC) (medial patellofemoral ligament/medial quadriceps tendon femoral ligament-MPFL/MQTFL) using an allograft (semitendinosus tendon) (Figure 4). A small incision was made along the medial border of the patella. With the knee at 30o flexion, a plane was created between the vastus medialis obliquus (VMO) and the joint capsule, extending from the medial patellar edge to the adductor tubercle area, where the femoral insertion of the MPFC is located. A small incision was made at this point, just proximal and posterior to the medial epicondyle, and a guidewire with radioscopic control was positioned. The drill was then used to reach the contralateral femoral cortex, with a drill diameter 1 mm larger than the graft loop. The graft was introduced into the femoral cavity, pulled with a loop in its middle part, and secured with a bioabsorbable interference screw, leaving a shorter and a longer free end available for MPFC reconstruction. Next, a 3.5 mm anchor was placed at the superomedial patellar border, and both graft ends were passed through the plane previously created between the joint capsule and VMO from the femoral insertion. The shorter free end of the graft was secured using anchor sutures in the patella with appropriate tension. The longer end was then passed through a slot in the quadriceps tendon made between transverse layers of the tendon approximately 1.5 cm proximal to the superior border of the patella (Figure 5). Finally, the VMO fascia was closed to provide additional support for reconstruction.
Postoperative care included the application of a non-weight-bearing knee immobilizer in full extension for a duration of four weeks. Physical therapy was initiated at this stage to promote knee range-of-motion, gradually introducing partial weight-bearing activities. After four weeks, the patient progressed to full weight-bearing, and strength-building exercises commenced within the tolerance level. The patient was cleared to return to physical activities six months post-operation. At the final follow-up conducted 24 months after the surgery, the patient demonstrated the ability to engage in daily activities and sports without experiencing pain or instability.
Discussion
Patellofemoral instability presents a significant challenge in the context of transtibial amputees as it arises from complex pathological changes due to limb loss and prosthesis use.6,7 We present the case of a 19-year-old patient with congenital transtibial amputation due to amniotic band syndrome, trochlear dysplasia, and a high-riding patella who underwent medial patellofemoral complex reconstruction and distal and medial tibial tuberosity realignment.
The stability of the patellofemoral joint is influenced by various factors, including limb alignment, bony structure, integrity of static stabilizers (primarily the MPFC), and action of surrounding muscles (dynamic stabilizers).1,2 The MPFC is a crucial component, contributing 50-80% of the stabilizing force to the patella, preventing its lateral displacement.3 Regarding individuals with below-knee amputation, two studies showed that approximately one-third of these individuals had PFI.4,5Patella alta probably plays a major role in these conditions because its physiopathology is probably related to prosthesis pressure over the patellar tendon over time.4,5 Furthermore, these patients can also present with trochlear dysplasia due to genetic predisposition or congenital lower limb deficiency, which can worsen PFI over time as the limb does not have appropriate weight bearing.
There is limited information available on surgical treatments for these patients.6,7 Tawil et al. presented a case involving a 25-year-old male who underwent a double-bundle surgical technique utilizing a semitendinosus tendon allograft for MPFL reconstruction following childhood amputation, resulting in positive mid-term outcomes.6 Salzmann et al. described a case of a 16-year-old patient with below-knee amputation, trochlear dysplasia, and a high-riding patella who underwent MPFL reconstruction using an autograft from the contralateral gracilis tendon, achieving a successful outcome.7 Our approach involved performing a distal realignment, specifically medializing and distalizing the tibial tubercle, while reconstructing the medial patellofemoral complex using a semitendinosus allograft. We made the deliberate choice not to harvest the semitendinous or quadriceps tendon from the affected limb to prevent further compromise. The decision to avoid utilizing the contralateral hamstring tendons as graft sources was based on our concern for potential complications or weakness in the non-amputee leg. We opted against trochleoplasty based on existing data supporting the safety and efficacy of isolated MPFL reconstruction in addressing patellofemoral instability, even in the presence of Dejour class C or D trochlear grooves.10
Furthermore, we emphasize the importance of anatomic reconstruction of both the medial patellofemoral ligament (MPFL) and medial quadriceps tendon femoral ligament (MQTFL), along with restoring normal patellar height and distal alignment for amputees contending with muscle imbalance over time. However, as far as our knowledge extends, this is the inaugural report detailing this combined approach, and additional studies are necessary to determine its efficacy.
Conclusion
Patellofemoral instability can lead to pain and disability in patients with below-knee amputation. The physiopathology of this condition involves a complex interplay between anatomical changes, muscle imbalances, and factors related to the use of prosthetics. It is essential to recognize that prostheses supporting the patellar tendon may elongate it over time, resulting in a high-riding patella and PFI, further necessitating patellofemoral joint stabilization. Comprehensive surgical interventions directed at this subgroup of patients are pivotal in addressing patellar instability and enhancing limb function.










nueva página del texto (beta)





